腹主动脉瘤代谢相关蛋白的评价。

IF 2.3 4区 医学 Q3 PERIPHERAL VASCULAR DISEASE
Journal of Vascular Research Pub Date : 2025-01-01 Epub Date: 2025-02-05 DOI:10.1159/000543768
Amanda Balboa Ramilo, Nikiforos Chandrinos, Elefantia Tsichlia, Josefin Jönsson, Kevin Mani, Anders Wanhainen, Dick Wågsäter
{"title":"腹主动脉瘤代谢相关蛋白的评价。","authors":"Amanda Balboa Ramilo, Nikiforos Chandrinos, Elefantia Tsichlia, Josefin Jönsson, Kevin Mani, Anders Wanhainen, Dick Wågsäter","doi":"10.1159/000543768","DOIUrl":null,"url":null,"abstract":"<p><strong>Introduction: </strong>Abdominal aortic aneurysm (AAA) development is inversely associated with diabetes mellitus. Targeting glucose metabolism seems to be a beneficial strategy for preventing AAA growth. Several metabolism-related factors are associated with AAA development. This study aimed to analyse the expression of the so far unstudied proteins irisin, follistatin, activin A, and ghrelin (ligand and receptor) in human and murine aneurysmal tissue, to assess the involvement of these pathways in AAA.</p><p><strong>Methods: </strong>Gene and protein expression was evaluated in aneurysmal and control tissue samples, by qPCR and immunohistochemistry. Vascular smooth muscle cells (VSMCs) were studied in vitro for expression. Circulating levels of the proteins of interest in human plasma samples were evaluated by ELISA.</p><p><strong>Results: </strong>In human aneurysmal tissue, the proteins of interest were predominantly expressed by VSMCs in neovessels. Expression by human VSMCs was confirmed in vitro. In human plasma, the concentration of irisin was higher in AAA (+/- diabetes) compared to controls. Patients with AAA and type 2 diabetes treated with metformin had lower levels of follistatin and ghrelin.</p><p><strong>Conclusion: </strong>This study demonstrates irisin, follistatin, and ghrelin as interesting proteins to be studied in the context of the observed negative association between AAA development and type 2 diabetes.</p>","PeriodicalId":17530,"journal":{"name":"Journal of Vascular Research","volume":" ","pages":"145-156"},"PeriodicalIF":2.3000,"publicationDate":"2025-01-01","publicationTypes":"Journal Article","fieldsOfStudy":null,"isOpenAccess":false,"openAccessPdf":"https://www.ncbi.nlm.nih.gov/pmc/articles/PMC12136604/pdf/","citationCount":"0","resultStr":"{\"title\":\"Evaluation of Metabolism-Associated Proteins in Abdominal Aortic Aneurysm.\",\"authors\":\"Amanda Balboa Ramilo, Nikiforos Chandrinos, Elefantia Tsichlia, Josefin Jönsson, Kevin Mani, Anders Wanhainen, Dick Wågsäter\",\"doi\":\"10.1159/000543768\",\"DOIUrl\":null,\"url\":null,\"abstract\":\"<p><strong>Introduction: </strong>Abdominal aortic aneurysm (AAA) development is inversely associated with diabetes mellitus. Targeting glucose metabolism seems to be a beneficial strategy for preventing AAA growth. Several metabolism-related factors are associated with AAA development. This study aimed to analyse the expression of the so far unstudied proteins irisin, follistatin, activin A, and ghrelin (ligand and receptor) in human and murine aneurysmal tissue, to assess the involvement of these pathways in AAA.</p><p><strong>Methods: </strong>Gene and protein expression was evaluated in aneurysmal and control tissue samples, by qPCR and immunohistochemistry. Vascular smooth muscle cells (VSMCs) were studied in vitro for expression. Circulating levels of the proteins of interest in human plasma samples were evaluated by ELISA.</p><p><strong>Results: </strong>In human aneurysmal tissue, the proteins of interest were predominantly expressed by VSMCs in neovessels. Expression by human VSMCs was confirmed in vitro. In human plasma, the concentration of irisin was higher in AAA (+/- diabetes) compared to controls. Patients with AAA and type 2 diabetes treated with metformin had lower levels of follistatin and ghrelin.</p><p><strong>Conclusion: </strong>This study demonstrates irisin, follistatin, and ghrelin as interesting proteins to be studied in the context of the observed negative association between AAA development and type 2 diabetes.</p>\",\"PeriodicalId\":17530,\"journal\":{\"name\":\"Journal of Vascular Research\",\"volume\":\" \",\"pages\":\"145-156\"},\"PeriodicalIF\":2.3000,\"publicationDate\":\"2025-01-01\",\"publicationTypes\":\"Journal Article\",\"fieldsOfStudy\":null,\"isOpenAccess\":false,\"openAccessPdf\":\"https://www.ncbi.nlm.nih.gov/pmc/articles/PMC12136604/pdf/\",\"citationCount\":\"0\",\"resultStr\":null,\"platform\":\"Semanticscholar\",\"paperid\":null,\"PeriodicalName\":\"Journal of Vascular Research\",\"FirstCategoryId\":\"3\",\"ListUrlMain\":\"https://doi.org/10.1159/000543768\",\"RegionNum\":4,\"RegionCategory\":\"医学\",\"ArticlePicture\":[],\"TitleCN\":null,\"AbstractTextCN\":null,\"PMCID\":null,\"EPubDate\":\"2025/2/5 0:00:00\",\"PubModel\":\"Epub\",\"JCR\":\"Q3\",\"JCRName\":\"PERIPHERAL VASCULAR DISEASE\",\"Score\":null,\"Total\":0}","platform":"Semanticscholar","paperid":null,"PeriodicalName":"Journal of Vascular Research","FirstCategoryId":"3","ListUrlMain":"https://doi.org/10.1159/000543768","RegionNum":4,"RegionCategory":"医学","ArticlePicture":[],"TitleCN":null,"AbstractTextCN":null,"PMCID":null,"EPubDate":"2025/2/5 0:00:00","PubModel":"Epub","JCR":"Q3","JCRName":"PERIPHERAL VASCULAR DISEASE","Score":null,"Total":0}
引用次数: 0

摘要

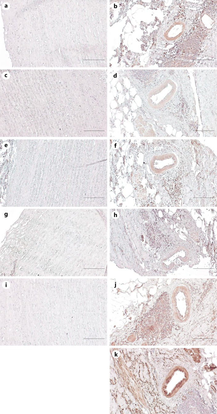
腹主动脉瘤(AAA)的发展与糖尿病呈负相关。靶向葡萄糖代谢似乎是防止AAA生长的有益策略。一些代谢相关因素与AAA的发生有关。本研究旨在分析鸢尾素(irisin)、滤泡素(follistatin)、激活素A (activin A)和胃饥饿素(ghrelin)等蛋白(配体和受体)在人和鼠动脉瘤组织中的表达情况,以探讨这些途径在动脉瘤和对照组织中的作用。方法:采用qPCR和免疫组化方法检测动脉瘤和对照组织样本中基因和蛋白的表达情况。体外研究了血管平滑肌细胞(VSMC)的表达。用ELISA法测定人血浆样品中相关蛋白的循环水平。结果:在人动脉瘤组织中,相关蛋白主要由新生血管中的VSMCs表达。体外证实了人VSMCs的表达。在人血浆中,与对照组相比,AAA(+/-糖尿病)患者的鸢尾素浓度较高。接受二甲双胍治疗的AAA和2型糖尿病患者的卵泡抑素和胃饥饿素水平较低。结论:本研究表明鸢尾素、卵泡抑素和胃饥饿素是值得研究的有趣蛋白,在观察到AAA发展与2型糖尿病负相关的背景下。
本文章由计算机程序翻译,如有差异,请以英文原文为准。

Evaluation of Metabolism-Associated Proteins in Abdominal Aortic Aneurysm.

Evaluation of Metabolism-Associated Proteins in Abdominal Aortic Aneurysm.

Evaluation of Metabolism-Associated Proteins in Abdominal Aortic Aneurysm.

Evaluation of Metabolism-Associated Proteins in Abdominal Aortic Aneurysm.

Introduction: Abdominal aortic aneurysm (AAA) development is inversely associated with diabetes mellitus. Targeting glucose metabolism seems to be a beneficial strategy for preventing AAA growth. Several metabolism-related factors are associated with AAA development. This study aimed to analyse the expression of the so far unstudied proteins irisin, follistatin, activin A, and ghrelin (ligand and receptor) in human and murine aneurysmal tissue, to assess the involvement of these pathways in AAA.

Methods: Gene and protein expression was evaluated in aneurysmal and control tissue samples, by qPCR and immunohistochemistry. Vascular smooth muscle cells (VSMCs) were studied in vitro for expression. Circulating levels of the proteins of interest in human plasma samples were evaluated by ELISA.

Results: In human aneurysmal tissue, the proteins of interest were predominantly expressed by VSMCs in neovessels. Expression by human VSMCs was confirmed in vitro. In human plasma, the concentration of irisin was higher in AAA (+/- diabetes) compared to controls. Patients with AAA and type 2 diabetes treated with metformin had lower levels of follistatin and ghrelin.

Conclusion: This study demonstrates irisin, follistatin, and ghrelin as interesting proteins to be studied in the context of the observed negative association between AAA development and type 2 diabetes.

求助全文
通过发布文献求助,成功后即可免费获取论文全文。 去求助
来源期刊
Journal of Vascular Research
Journal of Vascular Research 医学-生理学
CiteScore
3.40
自引率
0.00%
发文量
25
审稿时长
>12 weeks
期刊介绍: The ''Journal of Vascular Research'' publishes original articles and reviews of scientific excellence in vascular and microvascular biology, physiology and pathophysiology. The scope of the journal covers a broad spectrum of vascular and lymphatic research, including vascular structure, vascular function, haemodynamics, mechanics, cell signalling, intercellular communication, growth and differentiation. JVR''s ''Vascular Update'' series regularly presents state-of-the-art reviews on hot topics in vascular biology. Manuscript processing times are, consistent with stringent review, kept as short as possible due to electronic submission. All articles are published online first, ensuring rapid publication. The ''Journal of Vascular Research'' is the official journal of the European Society for Microcirculation. A biennial prize is awarded to the authors of the best paper published in the journal over the previous two years, thus encouraging young scientists working in the exciting field of vascular biology to publish their findings.
×
引用
GB/T 7714-2015
复制
MLA
复制
APA
复制
导出至
BibTeX EndNote RefMan NoteFirst NoteExpress
×
提示
您的信息不完整,为了账户安全,请先补充。
现在去补充
×
提示
您因"违规操作"
具体请查看互助需知
我知道了
×
提示
确定
请完成安全验证×
copy
已复制链接
快去分享给好友吧!
我知道了
右上角分享
点击右上角分享
0
联系我们:info@booksci.cn Book学术提供免费学术资源搜索服务,方便国内外学者检索中英文文献。致力于提供最便捷和优质的服务体验。 Copyright © 2023 布克学术 All rights reserved.
京ICP备2023020795号-1
ghs 京公网安备 11010802042870号
Book学术文献互助
Book学术文献互助群
群 号:604180095
Book学术官方微信