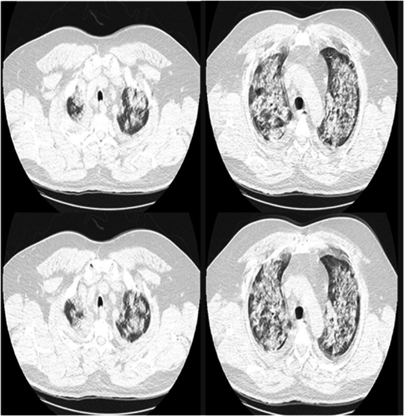
一名COVID-19患者的汉坦病毒肺综合征,玻利维亚,2022年。

IF 5.4 Q2 INFECTIOUS DISEASES
Wilmer E. Villamil-Gomez , Rosmery Gross , Cristian D. Pacheco-Jiménez , Mariana Aza-Rivera , Alfonso J. Rodriguez-Morales
{"title":"一名COVID-19患者的汉坦病毒肺综合征,玻利维亚,2022年。","authors":"Wilmer E. Villamil-Gomez , Rosmery Gross , Cristian D. Pacheco-Jiménez , Mariana Aza-Rivera , Alfonso J. Rodriguez-Morales","doi":"10.1016/j.nmni.2025.101564","DOIUrl":null,"url":null,"abstract":"","PeriodicalId":38074,"journal":{"name":"New Microbes and New Infections","volume":"63 ","pages":"Article 101564"},"PeriodicalIF":5.4000,"publicationDate":"2025-02-01","publicationTypes":"Journal Article","fieldsOfStudy":null,"isOpenAccess":false,"openAccessPdf":"https://www.ncbi.nlm.nih.gov/pmc/articles/PMC11783111/pdf/","citationCount":"0","resultStr":"{\"title\":\"Hantavirus pulmonary syndrome in a COVID-19 patient, Bolivia, 2022\",\"authors\":\"Wilmer E. Villamil-Gomez , Rosmery Gross , Cristian D. Pacheco-Jiménez , Mariana Aza-Rivera , Alfonso J. Rodriguez-Morales\",\"doi\":\"10.1016/j.nmni.2025.101564\",\"DOIUrl\":null,\"url\":null,\"abstract\":\"\",\"PeriodicalId\":38074,\"journal\":{\"name\":\"New Microbes and New Infections\",\"volume\":\"63 \",\"pages\":\"Article 101564\"},\"PeriodicalIF\":5.4000,\"publicationDate\":\"2025-02-01\",\"publicationTypes\":\"Journal Article\",\"fieldsOfStudy\":null,\"isOpenAccess\":false,\"openAccessPdf\":\"https://www.ncbi.nlm.nih.gov/pmc/articles/PMC11783111/pdf/\",\"citationCount\":\"0\",\"resultStr\":null,\"platform\":\"Semanticscholar\",\"paperid\":null,\"PeriodicalName\":\"New Microbes and New Infections\",\"FirstCategoryId\":\"1085\",\"ListUrlMain\":\"https://www.sciencedirect.com/science/article/pii/S2052297525000022\",\"RegionNum\":0,\"RegionCategory\":null,\"ArticlePicture\":[],\"TitleCN\":null,\"AbstractTextCN\":null,\"PMCID\":null,\"EPubDate\":\"\",\"PubModel\":\"\",\"JCR\":\"Q2\",\"JCRName\":\"INFECTIOUS DISEASES\",\"Score\":null,\"Total\":0}","platform":"Semanticscholar","paperid":null,"PeriodicalName":"New Microbes and New Infections","FirstCategoryId":"1085","ListUrlMain":"https://www.sciencedirect.com/science/article/pii/S2052297525000022","RegionNum":0,"RegionCategory":null,"ArticlePicture":[],"TitleCN":null,"AbstractTextCN":null,"PMCID":null,"EPubDate":"","PubModel":"","JCR":"Q2","JCRName":"INFECTIOUS DISEASES","Score":null,"Total":0}
引用次数: 0

摘要

本文章由计算机程序翻译,如有差异,请以英文原文为准。

Hantavirus pulmonary syndrome in a COVID-19 patient, Bolivia, 2022

Hantavirus pulmonary syndrome in a COVID-19 patient, Bolivia, 2022
求助全文
通过发布文献求助,成功后即可免费获取论文全文。 去求助
来源期刊
New Microbes and New Infections
New Microbes and New Infections Medicine-Infectious Diseases
CiteScore
10.00
自引率
2.50%
发文量
91
审稿时长
114 days
×
引用
GB/T 7714-2015
复制
MLA
复制
APA
复制
导出至
BibTeX EndNote RefMan NoteFirst NoteExpress
×
提示
您的信息不完整,为了账户安全,请先补充。
现在去补充
×
提示
您因"违规操作"
具体请查看互助需知
我知道了
×
提示
确定
请完成安全验证×
copy
已复制链接
快去分享给好友吧!
我知道了
右上角分享
点击右上角分享
0
联系我们:info@booksci.cn Book学术提供免费学术资源搜索服务,方便国内外学者检索中英文文献。致力于提供最便捷和优质的服务体验。 Copyright © 2023 布克学术 All rights reserved.
京ICP备2023020795号-1
ghs 京公网安备 11010802042870号
Book学术文献互助
Book学术文献互助群
群 号:604180095
Book学术官方微信