经导管血管栓塞成功治疗良性胰岛素瘤。

IF 1.2 Q3 Medicine
Maria Iriarte-Durán MD , Jose Teleche-Loaiza MD , Alberto Rosero-Guerrero MD , Edgar Folleco-Pazmiño MD , Andrés García-Trujillo MD , Guillermo Guzmán-Gómez MD
{"title":"经导管血管栓塞成功治疗良性胰岛素瘤。","authors":"Maria Iriarte-Durán MD ,&nbsp;Jose Teleche-Loaiza MD ,&nbsp;Alberto Rosero-Guerrero MD ,&nbsp;Edgar Folleco-Pazmiño MD ,&nbsp;Andrés García-Trujillo MD ,&nbsp;Guillermo Guzmán-Gómez MD","doi":"10.1016/j.aace.2024.10.007","DOIUrl":null,"url":null,"abstract":"<div><h3>Background/Objective</h3><div>Evidence on the efficacy and safety of minimally invasive treatment for insulinoma has increased over the past decade to the point of becoming a recommendation in clinical practice guidelines for the management of this type of neuroendocrine tumor.</div></div><div><h3>Case Report</h3><div>We describe the case of an elderly male patient with multiple comorbidities and recurrent isolated insulinoma of 3.7 × 3.5 cm involving the uncinate process of the pancreas and contacting the splenomesenteric confluent many years after first resection, in whom, after refusing surgical management, was performed as successful arterial embolization of the pancreatic tumor.</div></div><div><h3>Discussion</h3><div>When addressing this pathology, it is common to encounter patients who are not candidates for surgical management, either due to the presence of comorbidities, the location of the tumor in relation to vascular structures, or refusal of the intervention. Therefore, it is important to be aware of the different therapeutic options in localized and metastatic disease.</div></div><div><h3>Conclusion</h3><div>Minimally invasive procedures are positioned as an effective alternative for the treatment of the hormonal overproduction in patients with insulinoma.</div></div>","PeriodicalId":7051,"journal":{"name":"AACE Clinical Case Reports","volume":"11 1","pages":"Pages 62-65"},"PeriodicalIF":1.2000,"publicationDate":"2025-01-01","publicationTypes":"Journal Article","fieldsOfStudy":null,"isOpenAccess":false,"openAccessPdf":"https://www.ncbi.nlm.nih.gov/pmc/articles/PMC11784607/pdf/","citationCount":"0","resultStr":"{\"title\":\"Successful Treatment of Benign Insulinoma by Transcatheter Angioembolization\",\"authors\":\"Maria Iriarte-Durán MD ,&nbsp;Jose Teleche-Loaiza MD ,&nbsp;Alberto Rosero-Guerrero MD ,&nbsp;Edgar Folleco-Pazmiño MD ,&nbsp;Andrés García-Trujillo MD ,&nbsp;Guillermo Guzmán-Gómez MD\",\"doi\":\"10.1016/j.aace.2024.10.007\",\"DOIUrl\":null,\"url\":null,\"abstract\":\"<div><h3>Background/Objective</h3><div>Evidence on the efficacy and safety of minimally invasive treatment for insulinoma has increased over the past decade to the point of becoming a recommendation in clinical practice guidelines for the management of this type of neuroendocrine tumor.</div></div><div><h3>Case Report</h3><div>We describe the case of an elderly male patient with multiple comorbidities and recurrent isolated insulinoma of 3.7 × 3.5 cm involving the uncinate process of the pancreas and contacting the splenomesenteric confluent many years after first resection, in whom, after refusing surgical management, was performed as successful arterial embolization of the pancreatic tumor.</div></div><div><h3>Discussion</h3><div>When addressing this pathology, it is common to encounter patients who are not candidates for surgical management, either due to the presence of comorbidities, the location of the tumor in relation to vascular structures, or refusal of the intervention. Therefore, it is important to be aware of the different therapeutic options in localized and metastatic disease.</div></div><div><h3>Conclusion</h3><div>Minimally invasive procedures are positioned as an effective alternative for the treatment of the hormonal overproduction in patients with insulinoma.</div></div>\",\"PeriodicalId\":7051,\"journal\":{\"name\":\"AACE Clinical Case Reports\",\"volume\":\"11 1\",\"pages\":\"Pages 62-65\"},\"PeriodicalIF\":1.2000,\"publicationDate\":\"2025-01-01\",\"publicationTypes\":\"Journal Article\",\"fieldsOfStudy\":null,\"isOpenAccess\":false,\"openAccessPdf\":\"https://www.ncbi.nlm.nih.gov/pmc/articles/PMC11784607/pdf/\",\"citationCount\":\"0\",\"resultStr\":null,\"platform\":\"Semanticscholar\",\"paperid\":null,\"PeriodicalName\":\"AACE Clinical Case Reports\",\"FirstCategoryId\":\"1085\",\"ListUrlMain\":\"https://www.sciencedirect.com/science/article/pii/S2376060524001160\",\"RegionNum\":0,\"RegionCategory\":null,\"ArticlePicture\":[],\"TitleCN\":null,\"AbstractTextCN\":null,\"PMCID\":null,\"EPubDate\":\"\",\"PubModel\":\"\",\"JCR\":\"Q3\",\"JCRName\":\"Medicine\",\"Score\":null,\"Total\":0}","platform":"Semanticscholar","paperid":null,"PeriodicalName":"AACE Clinical Case Reports","FirstCategoryId":"1085","ListUrlMain":"https://www.sciencedirect.com/science/article/pii/S2376060524001160","RegionNum":0,"RegionCategory":null,"ArticlePicture":[],"TitleCN":null,"AbstractTextCN":null,"PMCID":null,"EPubDate":"","PubModel":"","JCR":"Q3","JCRName":"Medicine","Score":null,"Total":0}
引用次数: 0

摘要

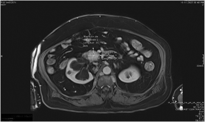
背景/目的:在过去的十年中,关于胰岛素瘤微创治疗的有效性和安全性的证据越来越多,已经成为治疗这类神经内分泌肿瘤的临床实践指南的推荐。病例报告:我们描述了一例老年男性患者,在首次切除多年后,患有多种合并症和复发的3.7 × 3.5 cm的孤立胰岛素瘤,累及胰腺棘突并接触脾肠系膜汇合处,在拒绝手术治疗后,成功地对胰腺肿瘤进行了动脉栓塞。讨论:在处理这种病理时,通常会遇到不适合手术治疗的患者,或者是由于合并症的存在,肿瘤与血管结构的关系,或者是拒绝干预。因此,了解局部和转移性疾病的不同治疗选择是很重要的。结论:微创手术是治疗胰岛素瘤患者激素分泌过多的有效选择。
本文章由计算机程序翻译,如有差异,请以英文原文为准。

Successful Treatment of Benign Insulinoma by Transcatheter Angioembolization

Successful Treatment of Benign Insulinoma by Transcatheter Angioembolization

Successful Treatment of Benign Insulinoma by Transcatheter Angioembolization

Background/Objective

Evidence on the efficacy and safety of minimally invasive treatment for insulinoma has increased over the past decade to the point of becoming a recommendation in clinical practice guidelines for the management of this type of neuroendocrine tumor.

Case Report

We describe the case of an elderly male patient with multiple comorbidities and recurrent isolated insulinoma of 3.7 × 3.5 cm involving the uncinate process of the pancreas and contacting the splenomesenteric confluent many years after first resection, in whom, after refusing surgical management, was performed as successful arterial embolization of the pancreatic tumor.

Discussion

When addressing this pathology, it is common to encounter patients who are not candidates for surgical management, either due to the presence of comorbidities, the location of the tumor in relation to vascular structures, or refusal of the intervention. Therefore, it is important to be aware of the different therapeutic options in localized and metastatic disease.

Conclusion

Minimally invasive procedures are positioned as an effective alternative for the treatment of the hormonal overproduction in patients with insulinoma.
求助全文
通过发布文献求助,成功后即可免费获取论文全文。 去求助
来源期刊
AACE Clinical Case Reports
AACE Clinical Case Reports Medicine-Endocrinology, Diabetes and Metabolism
CiteScore
2.30
自引率
0.00%
发文量
61
审稿时长
55 days
×
引用
GB/T 7714-2015
复制
MLA
复制
APA
复制
导出至
BibTeX EndNote RefMan NoteFirst NoteExpress
×
提示
您的信息不完整,为了账户安全,请先补充。
现在去补充
×
提示
您因"违规操作"
具体请查看互助需知
我知道了
×
提示
确定
请完成安全验证×
copy
已复制链接
快去分享给好友吧!
我知道了
右上角分享
点击右上角分享
0
联系我们:info@booksci.cn Book学术提供免费学术资源搜索服务,方便国内外学者检索中英文文献。致力于提供最便捷和优质的服务体验。 Copyright © 2023 布克学术 All rights reserved.
京ICP备2023020795号-1
ghs 京公网安备 11010802042870号
Book学术文献互助
Book学术文献互助群
群 号:604180095
Book学术官方微信