卡波西肉瘤免疫重建炎症综合征:如今被遗忘的实体

IF 0.7 Q4 INFECTIOUS DISEASES
Fernández Romero Cristina, Vila Cobreros Lorena, Fenollosa Sanz Tamara, Flores Cid Juan, Valero Núñez Marta, Puglia Santos Víctor Carlos, Galeano Paniagua Laura Andrea, Carmena Ramón Rafael, Quecedo Estébanez Esther
{"title":"卡波西肉瘤免疫重建炎症综合征:如今被遗忘的实体","authors":"Fernández Romero Cristina, Vila Cobreros Lorena, Fenollosa Sanz Tamara, Flores Cid Juan, Valero Núñez Marta, Puglia Santos Víctor Carlos, Galeano Paniagua Laura Andrea, Carmena Ramón Rafael, Quecedo Estébanez Esther","doi":"10.4103/ijstd.ijstd_57_24","DOIUrl":null,"url":null,"abstract":"<p><p>The appearance of antiviral therapy has led to a change in the prognosis and clinical manifestations of patients with human immunodeficiency virus infections and Kaposi's sarcoma. However, there are still countries in which access is inadequate and the disease progresses toward disseminated forms with an unfavorable outcome. We present two patients who presented with skin lesions that progressed for a month, compatible with disseminated Kaposi's sarcoma in the context of HIV. One month after starting treatment, they were admitted for multi-organ failure associated with an Immune reconstitution inflammatory syndrome and eventually died.</p>","PeriodicalId":44880,"journal":{"name":"Indian Journal of Sexually Transmitted Diseases and AIDS","volume":"45 2","pages":"151-154"},"PeriodicalIF":0.7000,"publicationDate":"2024-07-01","publicationTypes":"Journal Article","fieldsOfStudy":null,"isOpenAccess":false,"openAccessPdf":"https://www.ncbi.nlm.nih.gov/pmc/articles/PMC11776904/pdf/","citationCount":"0","resultStr":"{\"title\":\"Kaposi's sarcoma immune reconstitution inflammatory syndrome: A forgotten entity nowadays.\",\"authors\":\"Fernández Romero Cristina, Vila Cobreros Lorena, Fenollosa Sanz Tamara, Flores Cid Juan, Valero Núñez Marta, Puglia Santos Víctor Carlos, Galeano Paniagua Laura Andrea, Carmena Ramón Rafael, Quecedo Estébanez Esther\",\"doi\":\"10.4103/ijstd.ijstd_57_24\",\"DOIUrl\":null,\"url\":null,\"abstract\":\"<p><p>The appearance of antiviral therapy has led to a change in the prognosis and clinical manifestations of patients with human immunodeficiency virus infections and Kaposi's sarcoma. However, there are still countries in which access is inadequate and the disease progresses toward disseminated forms with an unfavorable outcome. We present two patients who presented with skin lesions that progressed for a month, compatible with disseminated Kaposi's sarcoma in the context of HIV. One month after starting treatment, they were admitted for multi-organ failure associated with an Immune reconstitution inflammatory syndrome and eventually died.</p>\",\"PeriodicalId\":44880,\"journal\":{\"name\":\"Indian Journal of Sexually Transmitted Diseases and AIDS\",\"volume\":\"45 2\",\"pages\":\"151-154\"},\"PeriodicalIF\":0.7000,\"publicationDate\":\"2024-07-01\",\"publicationTypes\":\"Journal Article\",\"fieldsOfStudy\":null,\"isOpenAccess\":false,\"openAccessPdf\":\"https://www.ncbi.nlm.nih.gov/pmc/articles/PMC11776904/pdf/\",\"citationCount\":\"0\",\"resultStr\":null,\"platform\":\"Semanticscholar\",\"paperid\":null,\"PeriodicalName\":\"Indian Journal of Sexually Transmitted Diseases and AIDS\",\"FirstCategoryId\":\"1085\",\"ListUrlMain\":\"https://doi.org/10.4103/ijstd.ijstd_57_24\",\"RegionNum\":0,\"RegionCategory\":null,\"ArticlePicture\":[],\"TitleCN\":null,\"AbstractTextCN\":null,\"PMCID\":null,\"EPubDate\":\"2024/12/13 0:00:00\",\"PubModel\":\"Epub\",\"JCR\":\"Q4\",\"JCRName\":\"INFECTIOUS DISEASES\",\"Score\":null,\"Total\":0}","platform":"Semanticscholar","paperid":null,"PeriodicalName":"Indian Journal of Sexually Transmitted Diseases and AIDS","FirstCategoryId":"1085","ListUrlMain":"https://doi.org/10.4103/ijstd.ijstd_57_24","RegionNum":0,"RegionCategory":null,"ArticlePicture":[],"TitleCN":null,"AbstractTextCN":null,"PMCID":null,"EPubDate":"2024/12/13 0:00:00","PubModel":"Epub","JCR":"Q4","JCRName":"INFECTIOUS DISEASES","Score":null,"Total":0}
引用次数: 0

摘要

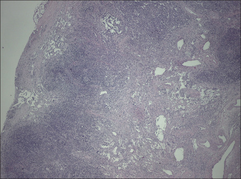
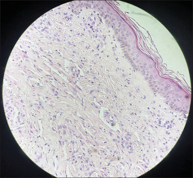
抗病毒治疗的出现改变了人类免疫缺陷病毒感染和卡波西肉瘤患者的预后和临床表现。然而,仍有一些国家的可及性不足,疾病发展为传播形式,结果不利。我们介绍了两例患者,他们的皮肤病变进展了一个月,与艾滋病毒背景下的播散性卡波西肉瘤相一致。开始治疗一个月后,他们因与免疫重建炎症综合征相关的多器官衰竭而入院,最终死亡。
本文章由计算机程序翻译,如有差异,请以英文原文为准。

Kaposi's sarcoma immune reconstitution inflammatory syndrome: A forgotten entity nowadays.

Kaposi's sarcoma immune reconstitution inflammatory syndrome: A forgotten entity nowadays.

Kaposi's sarcoma immune reconstitution inflammatory syndrome: A forgotten entity nowadays.

Kaposi's sarcoma immune reconstitution inflammatory syndrome: A forgotten entity nowadays.

The appearance of antiviral therapy has led to a change in the prognosis and clinical manifestations of patients with human immunodeficiency virus infections and Kaposi's sarcoma. However, there are still countries in which access is inadequate and the disease progresses toward disseminated forms with an unfavorable outcome. We present two patients who presented with skin lesions that progressed for a month, compatible with disseminated Kaposi's sarcoma in the context of HIV. One month after starting treatment, they were admitted for multi-organ failure associated with an Immune reconstitution inflammatory syndrome and eventually died.

求助全文
通过发布文献求助,成功后即可免费获取论文全文。 去求助
来源期刊
CiteScore
0.60
自引率
25.00%
发文量
34
×
引用
GB/T 7714-2015
复制
MLA
复制
APA
复制
导出至
BibTeX EndNote RefMan NoteFirst NoteExpress
×
提示
您的信息不完整,为了账户安全,请先补充。
现在去补充
×
提示
您因"违规操作"
具体请查看互助需知
我知道了
×
提示
确定
请完成安全验证×
copy
已复制链接
快去分享给好友吧!
我知道了
右上角分享
点击右上角分享
0
联系我们:info@booksci.cn Book学术提供免费学术资源搜索服务,方便国内外学者检索中英文文献。致力于提供最便捷和优质的服务体验。 Copyright © 2023 布克学术 All rights reserved.
京ICP备2023020795号-1
ghs 京公网安备 11010802042870号
Book学术文献互助
Book学术文献互助群
群 号:604180095
Book学术官方微信