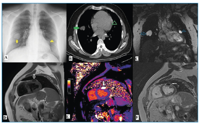
偶然发现心脏包虫囊肿1例报告。

IF 2.3 4区 医学 Q2 PARASITOLOGY
Fatma Durmaz, Ferhat Kurt, Mesut Özgökçe
{"title":"偶然发现心脏包虫囊肿1例报告。","authors":"Fatma Durmaz, Ferhat Kurt, Mesut Özgökçe","doi":"10.1590/0037-8682-0311-2024","DOIUrl":null,"url":null,"abstract":"","PeriodicalId":21199,"journal":{"name":"Revista da Sociedade Brasileira de Medicina Tropical","volume":"58 ","pages":""},"PeriodicalIF":2.3000,"publicationDate":"2025-01-27","publicationTypes":"Journal Article","fieldsOfStudy":null,"isOpenAccess":false,"openAccessPdf":"https://www.ncbi.nlm.nih.gov/pmc/articles/PMC11774522/pdf/","citationCount":"0","resultStr":"{\"title\":\"Incidentally Detected Cardiac Hydatid Cyst: A Rare Case Report.\",\"authors\":\"Fatma Durmaz, Ferhat Kurt, Mesut Özgökçe\",\"doi\":\"10.1590/0037-8682-0311-2024\",\"DOIUrl\":null,\"url\":null,\"abstract\":\"\",\"PeriodicalId\":21199,\"journal\":{\"name\":\"Revista da Sociedade Brasileira de Medicina Tropical\",\"volume\":\"58 \",\"pages\":\"\"},\"PeriodicalIF\":2.3000,\"publicationDate\":\"2025-01-27\",\"publicationTypes\":\"Journal Article\",\"fieldsOfStudy\":null,\"isOpenAccess\":false,\"openAccessPdf\":\"https://www.ncbi.nlm.nih.gov/pmc/articles/PMC11774522/pdf/\",\"citationCount\":\"0\",\"resultStr\":null,\"platform\":\"Semanticscholar\",\"paperid\":null,\"PeriodicalName\":\"Revista da Sociedade Brasileira de Medicina Tropical\",\"FirstCategoryId\":\"3\",\"ListUrlMain\":\"https://doi.org/10.1590/0037-8682-0311-2024\",\"RegionNum\":4,\"RegionCategory\":\"医学\",\"ArticlePicture\":[],\"TitleCN\":null,\"AbstractTextCN\":null,\"PMCID\":null,\"EPubDate\":\"2025/1/1 0:00:00\",\"PubModel\":\"eCollection\",\"JCR\":\"Q2\",\"JCRName\":\"PARASITOLOGY\",\"Score\":null,\"Total\":0}","platform":"Semanticscholar","paperid":null,"PeriodicalName":"Revista da Sociedade Brasileira de Medicina Tropical","FirstCategoryId":"3","ListUrlMain":"https://doi.org/10.1590/0037-8682-0311-2024","RegionNum":4,"RegionCategory":"医学","ArticlePicture":[],"TitleCN":null,"AbstractTextCN":null,"PMCID":null,"EPubDate":"2025/1/1 0:00:00","PubModel":"eCollection","JCR":"Q2","JCRName":"PARASITOLOGY","Score":null,"Total":0}
引用次数: 0

摘要

本文章由计算机程序翻译,如有差异,请以英文原文为准。

Incidentally Detected Cardiac Hydatid Cyst: A Rare Case Report.

Incidentally Detected Cardiac Hydatid Cyst: A Rare Case Report.
求助全文
通过发布文献求助,成功后即可免费获取论文全文。 去求助
来源期刊
CiteScore
3.40
自引率
10.00%
发文量
195
审稿时长
3-8 weeks
期刊介绍: The Journal of the Brazilian Society of Tropical Medicine (JBSTM) isan official journal of the Brazilian Society of Tropical Medicine) with open access. It is amultidisciplinary journal that publishes original researches related totropical diseases, preventive medicine, public health, infectious diseasesand related matters. Preference for publication will be given to articlesreporting original observations or researches. The journal has a peer-reviewsystem for articles acceptance and its periodicity is bimonthly. The Journalof the Brazilian Society of Tropical Medicine is published in English.The journal invites to publication Major Articles, Editorials, Reviewand Mini-Review Articles, Short Communications, Case Reports, TechnicalReports, Images in Infectious Diseases, Letters, Supplements and Obituaries.
×
引用
GB/T 7714-2015
复制
MLA
复制
APA
复制
导出至
BibTeX EndNote RefMan NoteFirst NoteExpress
×
提示
您的信息不完整,为了账户安全,请先补充。
现在去补充
×
提示
您因"违规操作"
具体请查看互助需知
我知道了
×
提示
确定
请完成安全验证×
copy
已复制链接
快去分享给好友吧!
我知道了
右上角分享
点击右上角分享
0
联系我们:info@booksci.cn Book学术提供免费学术资源搜索服务,方便国内外学者检索中英文文献。致力于提供最便捷和优质的服务体验。 Copyright © 2023 布克学术 All rights reserved.
京ICP备2023020795号-1
ghs 京公网安备 11010802042870号
Book学术文献互助
Book学术文献互助群
群 号:604180095
Book学术官方微信