高表达的CXCL8预测三阴性乳腺癌预后不良。

IF 2.2 4区 医学 Q3 ONCOLOGY
Anti-Cancer Drugs Pub Date : 2025-03-01 Epub Date: 2025-01-06 DOI:10.1097/CAD.0000000000001678
Sumin Tang, Yuqing Zhang, Liying Song, Kaiyuan Hui, Xiaodong Jiang
{"title":"高表达的CXCL8预测三阴性乳腺癌预后不良。","authors":"Sumin Tang, Yuqing Zhang, Liying Song, Kaiyuan Hui, Xiaodong Jiang","doi":"10.1097/CAD.0000000000001678","DOIUrl":null,"url":null,"abstract":"<p><p>Triple-negative breast cancer (TNBC) is highly prone to early relapse and metastasis following standard treatment. CXCL8 is a key factor in tumor invasion and metastasis, but its role in TNBC prognosis and clinicopathological correlations remains poorly understood. This study investigated CXCL8 expression and its clinical significance in TNBC to develop a prognostic nomogram for guiding intensive treatment and follow-up strategies. Public datasets from the gene expression omnibus public datasets platform were analyzed to assess CXCL8 expression. Additionally, paraffin-embedded TNBC specimens collected from our hospital were examined using immunohistochemistry to explore the relationship between CXCL8 expression and clinicopathological features. Survival analysis was performed to evaluate whether CXCL8 serves as an unfavorable prognostic biomarker for TNBC patients. Univariate Cox regression analysis was conducted to identify prognostic factors. Based on these findings, a nomogram was developed to predict TNBC progression risk. CXCL8 expression was significantly higher in TNBC tissues than in adjacent normal tissues ( P  < 0.05). Among 122 TNBC patients, 46 were CXCL8-positive and 76 were CXCL8-negative. CXCL8 expression was significantly associated with N stage ( P  < 0.05). Progression-free survival (PFS) was markedly shorter in the CXCL8-positive group compared with the CXCL8-negative group ( P  < 0.001). Univariate Cox regression identified N1-3, M1, and CXCL8 positivity as significant risk factors for disease progression. A nomogram incorporating these variables (N, M, and CXCL8) was constructed to predict PFS. Time-dependent receiver operating characteristic curve analysis at 12-, 36-, and 48-month demonstrated strong predictive performance, with area under the curve values of 0.857, 0.839, and 0.795, respectively. CXCL8 is highly expressed in TNBC and promotes lymphatic metastasis, serving as an unfavorable prognostic factor. The developed nomogram offers a valuable tool for guiding personalized treatment and follow-up strategies in TNBC patients.</p>","PeriodicalId":7969,"journal":{"name":"Anti-Cancer Drugs","volume":"36 3","pages":"246-252"},"PeriodicalIF":2.2000,"publicationDate":"2025-03-01","publicationTypes":"Journal Article","fieldsOfStudy":null,"isOpenAccess":false,"openAccessPdf":"https://www.ncbi.nlm.nih.gov/pmc/articles/PMC11781556/pdf/","citationCount":"0","resultStr":"{\"title\":\"High CXCL8 expression predicting poor prognosis in triple-negative breast cancer.\",\"authors\":\"Sumin Tang, Yuqing Zhang, Liying Song, Kaiyuan Hui, Xiaodong Jiang\",\"doi\":\"10.1097/CAD.0000000000001678\",\"DOIUrl\":null,\"url\":null,\"abstract\":\"<p><p>Triple-negative breast cancer (TNBC) is highly prone to early relapse and metastasis following standard treatment. CXCL8 is a key factor in tumor invasion and metastasis, but its role in TNBC prognosis and clinicopathological correlations remains poorly understood. This study investigated CXCL8 expression and its clinical significance in TNBC to develop a prognostic nomogram for guiding intensive treatment and follow-up strategies. Public datasets from the gene expression omnibus public datasets platform were analyzed to assess CXCL8 expression. Additionally, paraffin-embedded TNBC specimens collected from our hospital were examined using immunohistochemistry to explore the relationship between CXCL8 expression and clinicopathological features. Survival analysis was performed to evaluate whether CXCL8 serves as an unfavorable prognostic biomarker for TNBC patients. Univariate Cox regression analysis was conducted to identify prognostic factors. Based on these findings, a nomogram was developed to predict TNBC progression risk. CXCL8 expression was significantly higher in TNBC tissues than in adjacent normal tissues ( P  < 0.05). Among 122 TNBC patients, 46 were CXCL8-positive and 76 were CXCL8-negative. CXCL8 expression was significantly associated with N stage ( P  < 0.05). Progression-free survival (PFS) was markedly shorter in the CXCL8-positive group compared with the CXCL8-negative group ( P  < 0.001). Univariate Cox regression identified N1-3, M1, and CXCL8 positivity as significant risk factors for disease progression. A nomogram incorporating these variables (N, M, and CXCL8) was constructed to predict PFS. Time-dependent receiver operating characteristic curve analysis at 12-, 36-, and 48-month demonstrated strong predictive performance, with area under the curve values of 0.857, 0.839, and 0.795, respectively. CXCL8 is highly expressed in TNBC and promotes lymphatic metastasis, serving as an unfavorable prognostic factor. The developed nomogram offers a valuable tool for guiding personalized treatment and follow-up strategies in TNBC patients.</p>\",\"PeriodicalId\":7969,\"journal\":{\"name\":\"Anti-Cancer Drugs\",\"volume\":\"36 3\",\"pages\":\"246-252\"},\"PeriodicalIF\":2.2000,\"publicationDate\":\"2025-03-01\",\"publicationTypes\":\"Journal Article\",\"fieldsOfStudy\":null,\"isOpenAccess\":false,\"openAccessPdf\":\"https://www.ncbi.nlm.nih.gov/pmc/articles/PMC11781556/pdf/\",\"citationCount\":\"0\",\"resultStr\":null,\"platform\":\"Semanticscholar\",\"paperid\":null,\"PeriodicalName\":\"Anti-Cancer Drugs\",\"FirstCategoryId\":\"3\",\"ListUrlMain\":\"https://doi.org/10.1097/CAD.0000000000001678\",\"RegionNum\":4,\"RegionCategory\":\"医学\",\"ArticlePicture\":[],\"TitleCN\":null,\"AbstractTextCN\":null,\"PMCID\":null,\"EPubDate\":\"2025/1/6 0:00:00\",\"PubModel\":\"Epub\",\"JCR\":\"Q3\",\"JCRName\":\"ONCOLOGY\",\"Score\":null,\"Total\":0}","platform":"Semanticscholar","paperid":null,"PeriodicalName":"Anti-Cancer Drugs","FirstCategoryId":"3","ListUrlMain":"https://doi.org/10.1097/CAD.0000000000001678","RegionNum":4,"RegionCategory":"医学","ArticlePicture":[],"TitleCN":null,"AbstractTextCN":null,"PMCID":null,"EPubDate":"2025/1/6 0:00:00","PubModel":"Epub","JCR":"Q3","JCRName":"ONCOLOGY","Score":null,"Total":0}
引用次数: 0

摘要

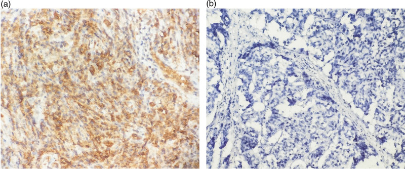
三阴性乳腺癌(TNBC)在标准治疗后很容易早期复发和转移。CXCL8是肿瘤侵袭和转移的关键因子,但其在TNBC预后和临床病理相关性中的作用尚不清楚。本研究探讨了CXCL8在TNBC中的表达及其临床意义,以建立预后图,指导强化治疗和随访策略。分析来自基因表达综合公共数据集平台的公共数据集以评估CXCL8的表达。同时,采用免疫组化方法对我院采集的TNBC石蜡包埋标本进行检测,探讨CXCL8表达与临床病理特征的关系。通过生存分析来评估CXCL8是否可以作为TNBC患者的不利预后生物标志物。采用单因素Cox回归分析确定预后因素。基于这些发现,我们开发了一个nomogram来预测TNBC进展风险。CXCL8在TNBC组织中的表达明显高于邻近正常组织(P
本文章由计算机程序翻译,如有差异,请以英文原文为准。

High CXCL8 expression predicting poor prognosis in triple-negative breast cancer.

High CXCL8 expression predicting poor prognosis in triple-negative breast cancer.

High CXCL8 expression predicting poor prognosis in triple-negative breast cancer.

High CXCL8 expression predicting poor prognosis in triple-negative breast cancer.

Triple-negative breast cancer (TNBC) is highly prone to early relapse and metastasis following standard treatment. CXCL8 is a key factor in tumor invasion and metastasis, but its role in TNBC prognosis and clinicopathological correlations remains poorly understood. This study investigated CXCL8 expression and its clinical significance in TNBC to develop a prognostic nomogram for guiding intensive treatment and follow-up strategies. Public datasets from the gene expression omnibus public datasets platform were analyzed to assess CXCL8 expression. Additionally, paraffin-embedded TNBC specimens collected from our hospital were examined using immunohistochemistry to explore the relationship between CXCL8 expression and clinicopathological features. Survival analysis was performed to evaluate whether CXCL8 serves as an unfavorable prognostic biomarker for TNBC patients. Univariate Cox regression analysis was conducted to identify prognostic factors. Based on these findings, a nomogram was developed to predict TNBC progression risk. CXCL8 expression was significantly higher in TNBC tissues than in adjacent normal tissues ( P  < 0.05). Among 122 TNBC patients, 46 were CXCL8-positive and 76 were CXCL8-negative. CXCL8 expression was significantly associated with N stage ( P  < 0.05). Progression-free survival (PFS) was markedly shorter in the CXCL8-positive group compared with the CXCL8-negative group ( P  < 0.001). Univariate Cox regression identified N1-3, M1, and CXCL8 positivity as significant risk factors for disease progression. A nomogram incorporating these variables (N, M, and CXCL8) was constructed to predict PFS. Time-dependent receiver operating characteristic curve analysis at 12-, 36-, and 48-month demonstrated strong predictive performance, with area under the curve values of 0.857, 0.839, and 0.795, respectively. CXCL8 is highly expressed in TNBC and promotes lymphatic metastasis, serving as an unfavorable prognostic factor. The developed nomogram offers a valuable tool for guiding personalized treatment and follow-up strategies in TNBC patients.

求助全文
通过发布文献求助,成功后即可免费获取论文全文。 去求助
来源期刊
Anti-Cancer Drugs
Anti-Cancer Drugs 医学-药学
CiteScore
3.80
自引率
0.00%
发文量
244
审稿时长
3 months
期刊介绍: Anti-Cancer Drugs reports both clinical and experimental results related to anti-cancer drugs, and welcomes contributions on anti-cancer drug design, drug delivery, pharmacology, hormonal and biological modalities and chemotherapy evaluation. An internationally refereed journal devoted to the fast publication of innovative investigations on therapeutic agents against cancer, Anti-Cancer Drugs aims to stimulate and report research on both toxic and non-toxic anti-cancer agents. Consequently, the scope on the journal will cover both conventional cytotoxic chemotherapy and hormonal or biological response modalities such as interleukins and immunotherapy. Submitted articles undergo a preliminary review by the editor. Some articles may be returned to authors without further consideration. Those being considered for publication will undergo further assessment and peer-review by the editors and those invited to do so from a reviewer pool.
×
引用
GB/T 7714-2015
复制
MLA
复制
APA
复制
导出至
BibTeX EndNote RefMan NoteFirst NoteExpress
×
提示
您的信息不完整,为了账户安全,请先补充。
现在去补充
×
提示
您因"违规操作"
具体请查看互助需知
我知道了
×
提示
确定
请完成安全验证×
copy
已复制链接
快去分享给好友吧!
我知道了
右上角分享
点击右上角分享
0
联系我们:info@booksci.cn Book学术提供免费学术资源搜索服务,方便国内外学者检索中英文文献。致力于提供最便捷和优质的服务体验。 Copyright © 2023 布克学术 All rights reserved.
京ICP备2023020795号-1
ghs 京公网安备 11010802042870号
Book学术文献互助
Book学术文献互助群
群 号:604180095
Book学术官方微信