吸入阿维他地尔是COVID-19肺损伤恢复的新希望。

IF 2.2 3区 医学 Q1 MEDICINE, GENERAL & INTERNAL
Medical Principles and Practice Pub Date : 2025-01-01 Epub Date: 2025-01-27 DOI:10.1159/000543773
Dorina Esendagli, Nuran Sarı, Sıla Akhan, Sonay Arslan, İrem Asena Doğan Öntaş, Gürdal Yılmaz, Firdevs Aksoy, Aydın Kant, Kadriye Kart Yaşar, Esra Canbolat Ünlü, Işıl Kibar Akıllı, Mustafa Kemal Çelen, Çiğdem Mermutluoğlu, Saim Dayan, Emre Kara, Gamze Durhan, Serhat Ünal, Barış Demirkol, Levent Arafat, Erdoğan Çetinkaya, Mustafa Çörtük, Nagihan Durmuş Koçak, Elif Torun Parmaksız, Ahmet Çağkan İnkaya
{"title":"吸入阿维他地尔是COVID-19肺损伤恢复的新希望。","authors":"Dorina Esendagli, Nuran Sarı, Sıla Akhan, Sonay Arslan, İrem Asena Doğan Öntaş, Gürdal Yılmaz, Firdevs Aksoy, Aydın Kant, Kadriye Kart Yaşar, Esra Canbolat Ünlü, Işıl Kibar Akıllı, Mustafa Kemal Çelen, Çiğdem Mermutluoğlu, Saim Dayan, Emre Kara, Gamze Durhan, Serhat Ünal, Barış Demirkol, Levent Arafat, Erdoğan Çetinkaya, Mustafa Çörtük, Nagihan Durmuş Koçak, Elif Torun Parmaksız, Ahmet Çağkan İnkaya","doi":"10.1159/000543773","DOIUrl":null,"url":null,"abstract":"<p><strong>Objective: </strong>We are still in search of new therapeutic options for COVID-19 to prevent new infections, enable fast recovery, and reduce the long-lasting symptoms or sequelae. This study aimed to investigate the short- and long-term effects of inhaled aviptadil on hospitalized, adult COVID-19 patients.</p><p><strong>Methods: </strong>A multicenter, prospective, placebo-controlled, comparative, randomized, double-blind clinical trial was conducted. Patients were randomized 1:1 to either inhaled aviptadil or placebo, in addition to the standard care. The primary endpoint is the time from hospitalization to discharge within 30 days of treatment. The secondary endpoints are clinical and radiological score improvements.</p><p><strong>Results: </strong>The study involved 80 patients enrolled from 9 clinical centers. The mean age was 55.8 ± 18.5 years, and 27 of them (33.8%) were female. The average time to discharge was 7.8 ± 4.0 days in aviptadil group and 10 ± 5.0 days in placebo (p = 0.049). Modified Borg scales were not statistically different on day 3 (p = 0.090), but significantly lower in the aviptadil group on day 7 (p = 0.033). The CT lung damage score was not different on day 1 for both groups (p = 0.962); improvement on day 28 was significantly greater in the aviptadil group (p = 0.028). The death rate was also lower in the aviptadil group (5.1%) when compared to the placebo (12.2%). There was no drop-out due to side effects.</p><p><strong>Conclusion: </strong>Study shows that inhaled aviptadil is well tolerated and can be used as a supplementary intervention to fasten the recovery of respiratory manifestations in hospitalized patients for COVID-19 pneumonia.</p><p><strong>Objective: </strong>We are still in search of new therapeutic options for COVID-19 to prevent new infections, enable fast recovery, and reduce the long-lasting symptoms or sequelae. This study aimed to investigate the short- and long-term effects of inhaled aviptadil on hospitalized, adult COVID-19 patients.</p><p><strong>Methods: </strong>A multicenter, prospective, placebo-controlled, comparative, randomized, double-blind clinical trial was conducted. Patients were randomized 1:1 to either inhaled aviptadil or placebo, in addition to the standard care. The primary endpoint is the time from hospitalization to discharge within 30 days of treatment. The secondary endpoints are clinical and radiological score improvements.</p><p><strong>Results: </strong>The study involved 80 patients enrolled from 9 clinical centers. The mean age was 55.8 ± 18.5 years, and 27 of them (33.8%) were female. The average time to discharge was 7.8 ± 4.0 days in aviptadil group and 10 ± 5.0 days in placebo (p = 0.049). Modified Borg scales were not statistically different on day 3 (p = 0.090), but significantly lower in the aviptadil group on day 7 (p = 0.033). The CT lung damage score was not different on day 1 for both groups (p = 0.962); improvement on day 28 was significantly greater in the aviptadil group (p = 0.028). The death rate was also lower in the aviptadil group (5.1%) when compared to the placebo (12.2%). There was no drop-out due to side effects.</p><p><strong>Conclusion: </strong>Study shows that inhaled aviptadil is well tolerated and can be used as a supplementary intervention to fasten the recovery of respiratory manifestations in hospitalized patients for COVID-19 pneumonia.</p>","PeriodicalId":18455,"journal":{"name":"Medical Principles and Practice","volume":" ","pages":"191-200"},"PeriodicalIF":2.2000,"publicationDate":"2025-01-01","publicationTypes":"Journal Article","fieldsOfStudy":null,"isOpenAccess":false,"openAccessPdf":"https://www.ncbi.nlm.nih.gov/pmc/articles/PMC11936437/pdf/","citationCount":"0","resultStr":"{\"title\":\"Inhaled Aviptadil Is a New Hope for Recovery of Lung Damage due to COVID-19.\",\"authors\":\"Dorina Esendagli, Nuran Sarı, Sıla Akhan, Sonay Arslan, İrem Asena Doğan Öntaş, Gürdal Yılmaz, Firdevs Aksoy, Aydın Kant, Kadriye Kart Yaşar, Esra Canbolat Ünlü, Işıl Kibar Akıllı, Mustafa Kemal Çelen, Çiğdem Mermutluoğlu, Saim Dayan, Emre Kara, Gamze Durhan, Serhat Ünal, Barış Demirkol, Levent Arafat, Erdoğan Çetinkaya, Mustafa Çörtük, Nagihan Durmuş Koçak, Elif Torun Parmaksız, Ahmet Çağkan İnkaya\",\"doi\":\"10.1159/000543773\",\"DOIUrl\":null,\"url\":null,\"abstract\":\"<p><strong>Objective: </strong>We are still in search of new therapeutic options for COVID-19 to prevent new infections, enable fast recovery, and reduce the long-lasting symptoms or sequelae. This study aimed to investigate the short- and long-term effects of inhaled aviptadil on hospitalized, adult COVID-19 patients.</p><p><strong>Methods: </strong>A multicenter, prospective, placebo-controlled, comparative, randomized, double-blind clinical trial was conducted. Patients were randomized 1:1 to either inhaled aviptadil or placebo, in addition to the standard care. The primary endpoint is the time from hospitalization to discharge within 30 days of treatment. The secondary endpoints are clinical and radiological score improvements.</p><p><strong>Results: </strong>The study involved 80 patients enrolled from 9 clinical centers. The mean age was 55.8 ± 18.5 years, and 27 of them (33.8%) were female. The average time to discharge was 7.8 ± 4.0 days in aviptadil group and 10 ± 5.0 days in placebo (p = 0.049). Modified Borg scales were not statistically different on day 3 (p = 0.090), but significantly lower in the aviptadil group on day 7 (p = 0.033). The CT lung damage score was not different on day 1 for both groups (p = 0.962); improvement on day 28 was significantly greater in the aviptadil group (p = 0.028). The death rate was also lower in the aviptadil group (5.1%) when compared to the placebo (12.2%). There was no drop-out due to side effects.</p><p><strong>Conclusion: </strong>Study shows that inhaled aviptadil is well tolerated and can be used as a supplementary intervention to fasten the recovery of respiratory manifestations in hospitalized patients for COVID-19 pneumonia.</p><p><strong>Objective: </strong>We are still in search of new therapeutic options for COVID-19 to prevent new infections, enable fast recovery, and reduce the long-lasting symptoms or sequelae. This study aimed to investigate the short- and long-term effects of inhaled aviptadil on hospitalized, adult COVID-19 patients.</p><p><strong>Methods: </strong>A multicenter, prospective, placebo-controlled, comparative, randomized, double-blind clinical trial was conducted. Patients were randomized 1:1 to either inhaled aviptadil or placebo, in addition to the standard care. The primary endpoint is the time from hospitalization to discharge within 30 days of treatment. The secondary endpoints are clinical and radiological score improvements.</p><p><strong>Results: </strong>The study involved 80 patients enrolled from 9 clinical centers. The mean age was 55.8 ± 18.5 years, and 27 of them (33.8%) were female. The average time to discharge was 7.8 ± 4.0 days in aviptadil group and 10 ± 5.0 days in placebo (p = 0.049). Modified Borg scales were not statistically different on day 3 (p = 0.090), but significantly lower in the aviptadil group on day 7 (p = 0.033). The CT lung damage score was not different on day 1 for both groups (p = 0.962); improvement on day 28 was significantly greater in the aviptadil group (p = 0.028). The death rate was also lower in the aviptadil group (5.1%) when compared to the placebo (12.2%). There was no drop-out due to side effects.</p><p><strong>Conclusion: </strong>Study shows that inhaled aviptadil is well tolerated and can be used as a supplementary intervention to fasten the recovery of respiratory manifestations in hospitalized patients for COVID-19 pneumonia.</p>\",\"PeriodicalId\":18455,\"journal\":{\"name\":\"Medical Principles and Practice\",\"volume\":\" \",\"pages\":\"191-200\"},\"PeriodicalIF\":2.2000,\"publicationDate\":\"2025-01-01\",\"publicationTypes\":\"Journal Article\",\"fieldsOfStudy\":null,\"isOpenAccess\":false,\"openAccessPdf\":\"https://www.ncbi.nlm.nih.gov/pmc/articles/PMC11936437/pdf/\",\"citationCount\":\"0\",\"resultStr\":null,\"platform\":\"Semanticscholar\",\"paperid\":null,\"PeriodicalName\":\"Medical Principles and Practice\",\"FirstCategoryId\":\"3\",\"ListUrlMain\":\"https://doi.org/10.1159/000543773\",\"RegionNum\":3,\"RegionCategory\":\"医学\",\"ArticlePicture\":[],\"TitleCN\":null,\"AbstractTextCN\":null,\"PMCID\":null,\"EPubDate\":\"2025/1/27 0:00:00\",\"PubModel\":\"Epub\",\"JCR\":\"Q1\",\"JCRName\":\"MEDICINE, GENERAL & INTERNAL\",\"Score\":null,\"Total\":0}","platform":"Semanticscholar","paperid":null,"PeriodicalName":"Medical Principles and Practice","FirstCategoryId":"3","ListUrlMain":"https://doi.org/10.1159/000543773","RegionNum":3,"RegionCategory":"医学","ArticlePicture":[],"TitleCN":null,"AbstractTextCN":null,"PMCID":null,"EPubDate":"2025/1/27 0:00:00","PubModel":"Epub","JCR":"Q1","JCRName":"MEDICINE, GENERAL & INTERNAL","Score":null,"Total":0}
引用次数: 0

摘要

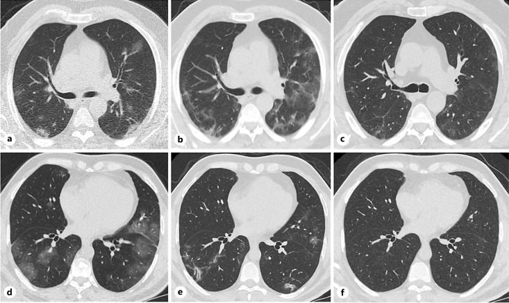
目的:我们仍在寻找新的COVID-19治疗方案,以预防新感染,实现快速康复,减少长期症状或后遗症。本研究旨在探讨吸入阿维他地尔对住院成人COVID-19患者的短期和长期影响。方法:采用多中心、前瞻性、安慰剂对照、比较、随机、双盲临床试验。除标准治疗外,患者按1:1随机分为吸入阿维他地尔或安慰剂组。主要终点是治疗30天内从住院到出院的时间。次要终点是临床和放射学评分的改善。结果:该研究纳入了来自9个临床中心的80名患者。平均年龄55.8±18.5岁,女性27例(33.8%)。阿维他地尔组平均出院时间为7.8±4.0 d,安慰剂组平均出院时间为10±5.0 d (p = 0.049)。修正博格量表在第3天无统计学差异(p = 0.090),但在第7天阿维地尔组显著降低(p = 0.033)。两组患者第1天CT肺损伤评分差异无统计学意义(p = 0.962);阿维他地尔组在第28天的改善明显更大(p = 0.028)。与安慰剂组(12.2%)相比,阿维他地尔组(5.1%)的死亡率也较低。没有因为副作用而退出。结论:研究表明,吸入阿维他地尔耐受性良好,可作为辅助干预措施,加快COVID-19肺炎住院患者呼吸症状的恢复。
本文章由计算机程序翻译,如有差异,请以英文原文为准。

Inhaled Aviptadil Is a New Hope for Recovery of Lung Damage due to COVID-19.

Inhaled Aviptadil Is a New Hope for Recovery of Lung Damage due to COVID-19.

Inhaled Aviptadil Is a New Hope for Recovery of Lung Damage due to COVID-19.

Inhaled Aviptadil Is a New Hope for Recovery of Lung Damage due to COVID-19.

Objective: We are still in search of new therapeutic options for COVID-19 to prevent new infections, enable fast recovery, and reduce the long-lasting symptoms or sequelae. This study aimed to investigate the short- and long-term effects of inhaled aviptadil on hospitalized, adult COVID-19 patients.

Methods: A multicenter, prospective, placebo-controlled, comparative, randomized, double-blind clinical trial was conducted. Patients were randomized 1:1 to either inhaled aviptadil or placebo, in addition to the standard care. The primary endpoint is the time from hospitalization to discharge within 30 days of treatment. The secondary endpoints are clinical and radiological score improvements.

Results: The study involved 80 patients enrolled from 9 clinical centers. The mean age was 55.8 ± 18.5 years, and 27 of them (33.8%) were female. The average time to discharge was 7.8 ± 4.0 days in aviptadil group and 10 ± 5.0 days in placebo (p = 0.049). Modified Borg scales were not statistically different on day 3 (p = 0.090), but significantly lower in the aviptadil group on day 7 (p = 0.033). The CT lung damage score was not different on day 1 for both groups (p = 0.962); improvement on day 28 was significantly greater in the aviptadil group (p = 0.028). The death rate was also lower in the aviptadil group (5.1%) when compared to the placebo (12.2%). There was no drop-out due to side effects.

Conclusion: Study shows that inhaled aviptadil is well tolerated and can be used as a supplementary intervention to fasten the recovery of respiratory manifestations in hospitalized patients for COVID-19 pneumonia.

Objective: We are still in search of new therapeutic options for COVID-19 to prevent new infections, enable fast recovery, and reduce the long-lasting symptoms or sequelae. This study aimed to investigate the short- and long-term effects of inhaled aviptadil on hospitalized, adult COVID-19 patients.

Methods: A multicenter, prospective, placebo-controlled, comparative, randomized, double-blind clinical trial was conducted. Patients were randomized 1:1 to either inhaled aviptadil or placebo, in addition to the standard care. The primary endpoint is the time from hospitalization to discharge within 30 days of treatment. The secondary endpoints are clinical and radiological score improvements.

Results: The study involved 80 patients enrolled from 9 clinical centers. The mean age was 55.8 ± 18.5 years, and 27 of them (33.8%) were female. The average time to discharge was 7.8 ± 4.0 days in aviptadil group and 10 ± 5.0 days in placebo (p = 0.049). Modified Borg scales were not statistically different on day 3 (p = 0.090), but significantly lower in the aviptadil group on day 7 (p = 0.033). The CT lung damage score was not different on day 1 for both groups (p = 0.962); improvement on day 28 was significantly greater in the aviptadil group (p = 0.028). The death rate was also lower in the aviptadil group (5.1%) when compared to the placebo (12.2%). There was no drop-out due to side effects.

Conclusion: Study shows that inhaled aviptadil is well tolerated and can be used as a supplementary intervention to fasten the recovery of respiratory manifestations in hospitalized patients for COVID-19 pneumonia.

求助全文
通过发布文献求助,成功后即可免费获取论文全文。 去求助
来源期刊
Medical Principles and Practice
Medical Principles and Practice 医学-医学:内科
CiteScore
6.10
自引率
0.00%
发文量
72
审稿时长
6-12 weeks
期刊介绍: ''Medical Principles and Practice'', as the journal of the Health Sciences Centre, Kuwait University, aims to be a publication of international repute that will be a medium for dissemination and exchange of scientific knowledge in the health sciences.
×
引用
GB/T 7714-2015
复制
MLA
复制
APA
复制
导出至
BibTeX EndNote RefMan NoteFirst NoteExpress
×
提示
您的信息不完整,为了账户安全,请先补充。
现在去补充
×
提示
您因"违规操作"
具体请查看互助需知
我知道了
×
提示
确定
请完成安全验证×
copy
已复制链接
快去分享给好友吧!
我知道了
右上角分享
点击右上角分享
0
联系我们:info@booksci.cn Book学术提供免费学术资源搜索服务,方便国内外学者检索中英文文献。致力于提供最便捷和优质的服务体验。 Copyright © 2023 布克学术 All rights reserved.
京ICP备2023020795号-1
ghs 京公网安备 11010802042870号
Book学术文献互助
Book学术文献互助群
群 号:604180095
Book学术官方微信