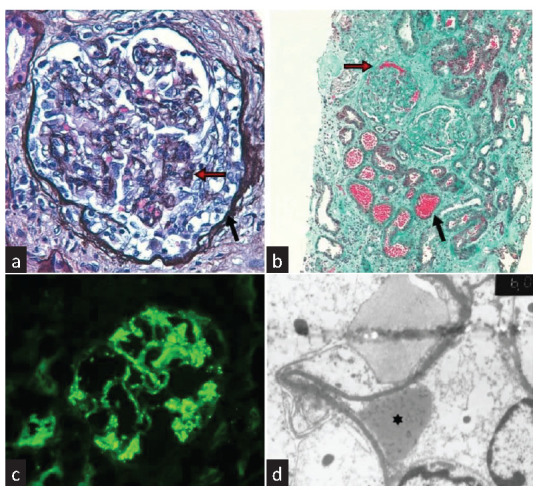
口服抗凝剂相关肾病:一个旧实体的新原因。

IF 0.8 Q4 UROLOGY & NEPHROLOGY
Indian Journal of Nephrology Pub Date : 2025-01-01 Epub Date: 2024-11-07 DOI:10.25259/IJN_528_20
Patrícia Valério, Elsa Soares, Catarina Abrantes, Mário Góis, Helena Sousa, Ana Farinha, Ana Azevedo
{"title":"口服抗凝剂相关肾病:一个旧实体的新原因。","authors":"Patrícia Valério, Elsa Soares, Catarina Abrantes, Mário Góis, Helena Sousa, Ana Farinha, Ana Azevedo","doi":"10.25259/IJN_528_20","DOIUrl":null,"url":null,"abstract":"","PeriodicalId":13359,"journal":{"name":"Indian Journal of Nephrology","volume":"35 1","pages":"113-114"},"PeriodicalIF":0.8000,"publicationDate":"2025-01-01","publicationTypes":"Journal Article","fieldsOfStudy":null,"isOpenAccess":false,"openAccessPdf":"https://www.ncbi.nlm.nih.gov/pmc/articles/PMC11763026/pdf/","citationCount":"0","resultStr":"{\"title\":\"Oral Anticoagulant-Related Nephropathy: A New Cause for an Old Entity.\",\"authors\":\"Patrícia Valério, Elsa Soares, Catarina Abrantes, Mário Góis, Helena Sousa, Ana Farinha, Ana Azevedo\",\"doi\":\"10.25259/IJN_528_20\",\"DOIUrl\":null,\"url\":null,\"abstract\":\"\",\"PeriodicalId\":13359,\"journal\":{\"name\":\"Indian Journal of Nephrology\",\"volume\":\"35 1\",\"pages\":\"113-114\"},\"PeriodicalIF\":0.8000,\"publicationDate\":\"2025-01-01\",\"publicationTypes\":\"Journal Article\",\"fieldsOfStudy\":null,\"isOpenAccess\":false,\"openAccessPdf\":\"https://www.ncbi.nlm.nih.gov/pmc/articles/PMC11763026/pdf/\",\"citationCount\":\"0\",\"resultStr\":null,\"platform\":\"Semanticscholar\",\"paperid\":null,\"PeriodicalName\":\"Indian Journal of Nephrology\",\"FirstCategoryId\":\"1085\",\"ListUrlMain\":\"https://doi.org/10.25259/IJN_528_20\",\"RegionNum\":0,\"RegionCategory\":null,\"ArticlePicture\":[],\"TitleCN\":null,\"AbstractTextCN\":null,\"PMCID\":null,\"EPubDate\":\"2024/11/7 0:00:00\",\"PubModel\":\"Epub\",\"JCR\":\"Q4\",\"JCRName\":\"UROLOGY & NEPHROLOGY\",\"Score\":null,\"Total\":0}","platform":"Semanticscholar","paperid":null,"PeriodicalName":"Indian Journal of Nephrology","FirstCategoryId":"1085","ListUrlMain":"https://doi.org/10.25259/IJN_528_20","RegionNum":0,"RegionCategory":null,"ArticlePicture":[],"TitleCN":null,"AbstractTextCN":null,"PMCID":null,"EPubDate":"2024/11/7 0:00:00","PubModel":"Epub","JCR":"Q4","JCRName":"UROLOGY & NEPHROLOGY","Score":null,"Total":0}
引用次数: 0

摘要

本文章由计算机程序翻译,如有差异,请以英文原文为准。

Oral Anticoagulant-Related Nephropathy: A New Cause for an Old Entity.

Oral Anticoagulant-Related Nephropathy: A New Cause for an Old Entity.
求助全文
通过发布文献求助,成功后即可免费获取论文全文。 去求助
来源期刊
Indian Journal of Nephrology
Indian Journal of Nephrology UROLOGY & NEPHROLOGY-
CiteScore
1.40
自引率
0.00%
发文量
128
审稿时长
24 weeks
×
引用
GB/T 7714-2015
复制
MLA
复制
APA
复制
导出至
BibTeX EndNote RefMan NoteFirst NoteExpress
×
提示
您的信息不完整,为了账户安全,请先补充。
现在去补充
×
提示
您因"违规操作"
具体请查看互助需知
我知道了
×
提示
确定
请完成安全验证×
copy
已复制链接
快去分享给好友吧!
我知道了
右上角分享
点击右上角分享
0
联系我们:info@booksci.cn Book学术提供免费学术资源搜索服务,方便国内外学者检索中英文文献。致力于提供最便捷和优质的服务体验。 Copyright © 2023 布克学术 All rights reserved.
京ICP备2023020795号-1
ghs 京公网安备 11010802042870号
Book学术文献互助
Book学术文献互助群
群 号:604180095
Book学术官方微信