热亡关键分子在运动性中暑大鼠肝损伤中的作用。

IF 1.4 4区 医学 Q3 GASTROENTEROLOGY & HEPATOLOGY
Gastroenterology Research and Practice Pub Date : 2025-01-20 eCollection Date: 2025-01-01 DOI:10.1155/grp/6864091
Lifang Lin, Jiaolong Zheng, Qingqing Lin, Fangze Cai, Dongliang Li
{"title":"热亡关键分子在运动性中暑大鼠肝损伤中的作用。","authors":"Lifang Lin, Jiaolong Zheng, Qingqing Lin, Fangze Cai, Dongliang Li","doi":"10.1155/grp/6864091","DOIUrl":null,"url":null,"abstract":"<p><p><b>Purpose:</b> This study is aimed at investigating the role of key molecular elements involved in pyroptosis in liver injury caused by exertional heat stroke (EHS). <b>Methods:</b> We established a model of EHS-induced liver injury in Sprague-Dawley rats, with a control group (receiving no treatment) for comparison and 12 rats in each group. Alanine transaminase (ALT) and aspartate transaminase (AST) levels in the blood were detected. Interleukin-1 beta (IL-1<i>β</i>) and interleukin-18 (IL-18) levels were assessed using enzyme-linked immunosorbent assays (ELISA). Pathological changes in liver tissue were examined by hematoxylin and eosin (H&E) staining. Quantitative real-time polymerase chain reaction (qRT-PCR) and Western blotting were used to detect mRNA and protein expression levels of Caspase-1 and Gasdermin D. <b>Results:</b> Compared to the control group, the liver tissue of the EHS group showed congestion in hepatic sinusoids, hepatocyte edema, eosinophilic changes, necrosis, and infiltration of inflammatory cells. ALT and AST levels in the EHS group were significantly higher than those in the control group (<i>p</i> < 0.05). The mRNA expressions of Caspase-1, Gasdermin D, IL-1<i>β</i>, and IL-18 were significantly increased in the EHS group compared to the control group (<i>p</i> < 0.001). The protein expressions of Caspase-1, cleaved Caspase-1, Gasdermin D, and cleaved Gasdermin D were significantly increased in the EHS group. <b>Conclusion:</b> These findings indicated that hepatic pyroptosis plays an important role in EHS-induced liver injury.</p>","PeriodicalId":12597,"journal":{"name":"Gastroenterology Research and Practice","volume":"2025 ","pages":"6864091"},"PeriodicalIF":1.4000,"publicationDate":"2025-01-20","publicationTypes":"Journal Article","fieldsOfStudy":null,"isOpenAccess":false,"openAccessPdf":"https://www.ncbi.nlm.nih.gov/pmc/articles/PMC11772058/pdf/","citationCount":"0","resultStr":"{\"title\":\"The Role of Key Molecules of Pyroptosis in Liver Damage of Rats With Exertional Heat Stroke.\",\"authors\":\"Lifang Lin, Jiaolong Zheng, Qingqing Lin, Fangze Cai, Dongliang Li\",\"doi\":\"10.1155/grp/6864091\",\"DOIUrl\":null,\"url\":null,\"abstract\":\"<p><p><b>Purpose:</b> This study is aimed at investigating the role of key molecular elements involved in pyroptosis in liver injury caused by exertional heat stroke (EHS). <b>Methods:</b> We established a model of EHS-induced liver injury in Sprague-Dawley rats, with a control group (receiving no treatment) for comparison and 12 rats in each group. Alanine transaminase (ALT) and aspartate transaminase (AST) levels in the blood were detected. Interleukin-1 beta (IL-1<i>β</i>) and interleukin-18 (IL-18) levels were assessed using enzyme-linked immunosorbent assays (ELISA). Pathological changes in liver tissue were examined by hematoxylin and eosin (H&E) staining. Quantitative real-time polymerase chain reaction (qRT-PCR) and Western blotting were used to detect mRNA and protein expression levels of Caspase-1 and Gasdermin D. <b>Results:</b> Compared to the control group, the liver tissue of the EHS group showed congestion in hepatic sinusoids, hepatocyte edema, eosinophilic changes, necrosis, and infiltration of inflammatory cells. ALT and AST levels in the EHS group were significantly higher than those in the control group (<i>p</i> < 0.05). The mRNA expressions of Caspase-1, Gasdermin D, IL-1<i>β</i>, and IL-18 were significantly increased in the EHS group compared to the control group (<i>p</i> < 0.001). The protein expressions of Caspase-1, cleaved Caspase-1, Gasdermin D, and cleaved Gasdermin D were significantly increased in the EHS group. <b>Conclusion:</b> These findings indicated that hepatic pyroptosis plays an important role in EHS-induced liver injury.</p>\",\"PeriodicalId\":12597,\"journal\":{\"name\":\"Gastroenterology Research and Practice\",\"volume\":\"2025 \",\"pages\":\"6864091\"},\"PeriodicalIF\":1.4000,\"publicationDate\":\"2025-01-20\",\"publicationTypes\":\"Journal Article\",\"fieldsOfStudy\":null,\"isOpenAccess\":false,\"openAccessPdf\":\"https://www.ncbi.nlm.nih.gov/pmc/articles/PMC11772058/pdf/\",\"citationCount\":\"0\",\"resultStr\":null,\"platform\":\"Semanticscholar\",\"paperid\":null,\"PeriodicalName\":\"Gastroenterology Research and Practice\",\"FirstCategoryId\":\"3\",\"ListUrlMain\":\"https://doi.org/10.1155/grp/6864091\",\"RegionNum\":4,\"RegionCategory\":\"医学\",\"ArticlePicture\":[],\"TitleCN\":null,\"AbstractTextCN\":null,\"PMCID\":null,\"EPubDate\":\"2025/1/1 0:00:00\",\"PubModel\":\"eCollection\",\"JCR\":\"Q3\",\"JCRName\":\"GASTROENTEROLOGY & HEPATOLOGY\",\"Score\":null,\"Total\":0}","platform":"Semanticscholar","paperid":null,"PeriodicalName":"Gastroenterology Research and Practice","FirstCategoryId":"3","ListUrlMain":"https://doi.org/10.1155/grp/6864091","RegionNum":4,"RegionCategory":"医学","ArticlePicture":[],"TitleCN":null,"AbstractTextCN":null,"PMCID":null,"EPubDate":"2025/1/1 0:00:00","PubModel":"eCollection","JCR":"Q3","JCRName":"GASTROENTEROLOGY & HEPATOLOGY","Score":null,"Total":0}
引用次数: 0

摘要

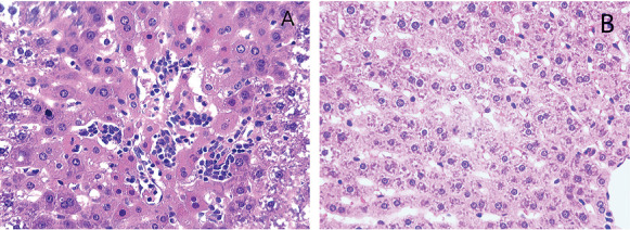
目的:探讨与焦亡相关的关键分子因子在运动性中暑(EHS)肝损伤中的作用。方法:建立ehs致sd大鼠肝损伤模型,设对照组(未给药),每组12只。检测血中丙氨酸转氨酶(ALT)和天冬氨酸转氨酶(AST)水平。采用酶联免疫吸附试验(ELISA)检测白细胞介素-1β (IL-1β)和白细胞介素-18 (IL-18)水平。苏木精、伊红(H&E)染色观察肝组织病理变化。采用实时荧光定量聚合酶链反应(qRT-PCR)和Western blotting检测Caspase-1、Gasdermin d mRNA和蛋白表达水平。结果:与对照组相比,EHS组肝组织出现肝窦充血、肝细胞水肿、嗜酸性改变、坏死、炎症细胞浸润。EHS组ALT、AST水平显著高于对照组(p < 0.05)。与对照组相比,EHS组Caspase-1、Gasdermin D、IL-1β、IL-18 mRNA表达量显著升高(p < 0.001)。EHS组Caspase-1、cleaved - Caspase-1、Gasdermin D、cleaved Gasdermin D蛋白表达均显著升高。结论:肝焦亡在ehs所致肝损伤中起重要作用。
本文章由计算机程序翻译,如有差异,请以英文原文为准。

The Role of Key Molecules of Pyroptosis in Liver Damage of Rats With Exertional Heat Stroke.

The Role of Key Molecules of Pyroptosis in Liver Damage of Rats With Exertional Heat Stroke.

The Role of Key Molecules of Pyroptosis in Liver Damage of Rats With Exertional Heat Stroke.

The Role of Key Molecules of Pyroptosis in Liver Damage of Rats With Exertional Heat Stroke.

Purpose: This study is aimed at investigating the role of key molecular elements involved in pyroptosis in liver injury caused by exertional heat stroke (EHS). Methods: We established a model of EHS-induced liver injury in Sprague-Dawley rats, with a control group (receiving no treatment) for comparison and 12 rats in each group. Alanine transaminase (ALT) and aspartate transaminase (AST) levels in the blood were detected. Interleukin-1 beta (IL-1β) and interleukin-18 (IL-18) levels were assessed using enzyme-linked immunosorbent assays (ELISA). Pathological changes in liver tissue were examined by hematoxylin and eosin (H&E) staining. Quantitative real-time polymerase chain reaction (qRT-PCR) and Western blotting were used to detect mRNA and protein expression levels of Caspase-1 and Gasdermin D. Results: Compared to the control group, the liver tissue of the EHS group showed congestion in hepatic sinusoids, hepatocyte edema, eosinophilic changes, necrosis, and infiltration of inflammatory cells. ALT and AST levels in the EHS group were significantly higher than those in the control group (p < 0.05). The mRNA expressions of Caspase-1, Gasdermin D, IL-1β, and IL-18 were significantly increased in the EHS group compared to the control group (p < 0.001). The protein expressions of Caspase-1, cleaved Caspase-1, Gasdermin D, and cleaved Gasdermin D were significantly increased in the EHS group. Conclusion: These findings indicated that hepatic pyroptosis plays an important role in EHS-induced liver injury.

求助全文
通过发布文献求助,成功后即可免费获取论文全文。 去求助
来源期刊
Gastroenterology Research and Practice
Gastroenterology Research and Practice GASTROENTEROLOGY & HEPATOLOGY-
CiteScore
4.40
自引率
0.00%
发文量
91
审稿时长
1 months
期刊介绍: Gastroenterology Research and Practice is a peer-reviewed, Open Access journal which publishes original research articles, review articles and clinical studies based on all areas of gastroenterology, hepatology, pancreas and biliary, and related cancers. The journal welcomes submissions on the physiology, pathophysiology, etiology, diagnosis and therapy of gastrointestinal diseases. The aim of the journal is to provide cutting edge research related to the field of gastroenterology, as well as digestive diseases and disorders. Topics of interest include: Management of pancreatic diseases Third space endoscopy Endoscopic resection Therapeutic endoscopy Therapeutic endosonography.
×
引用
GB/T 7714-2015
复制
MLA
复制
APA
复制
导出至
BibTeX EndNote RefMan NoteFirst NoteExpress
×
提示
您的信息不完整,为了账户安全,请先补充。
现在去补充
×
提示
您因"违规操作"
具体请查看互助需知
我知道了
×
提示
确定
请完成安全验证×
copy
已复制链接
快去分享给好友吧!
我知道了
右上角分享
点击右上角分享
0
联系我们:info@booksci.cn Book学术提供免费学术资源搜索服务,方便国内外学者检索中英文文献。致力于提供最便捷和优质的服务体验。 Copyright © 2023 布克学术 All rights reserved.
京ICP备2023020795号-1
ghs 京公网安备 11010802042870号
Book学术文献互助
Book学术文献互助群
群 号:604180095
Book学术官方微信