在青少年中表现为STEMI的过早冠状动脉疾病

IF 0.8 Q3 MEDICINE, GENERAL & INTERNAL
Morni Modi, Paul Ndunda, Kalgi Modi
{"title":"在青少年中表现为STEMI的过早冠状动脉疾病","authors":"Morni Modi, Paul Ndunda, Kalgi Modi","doi":"10.1177/23247096251313985","DOIUrl":null,"url":null,"abstract":"<p><p>An 18-year-old teenager with significant atherosclerotic cardiovascular disease (ASCVD) risk factors developed acute chest pain. His electrocardiogram showed inferior ST-segment elevations. Emergent coronary angiogram revealed complete thrombotic occlusion of the right coronary artery. He underwent stenting of the culprit lesion with complete clinical recovery and resolution of his electrocardiographic abnormalities secondary to myocardial infarction.</p>","PeriodicalId":16198,"journal":{"name":"Journal of investigative medicine high impact case reports","volume":"13 ","pages":"23247096251313985"},"PeriodicalIF":0.8000,"publicationDate":"2025-01-01","publicationTypes":"Journal Article","fieldsOfStudy":null,"isOpenAccess":false,"openAccessPdf":"https://www.ncbi.nlm.nih.gov/pmc/articles/PMC11760119/pdf/","citationCount":"0","resultStr":"{\"title\":\"Premature Coronary Artery Disease Presenting as STEMI in a Teenager.\",\"authors\":\"Morni Modi, Paul Ndunda, Kalgi Modi\",\"doi\":\"10.1177/23247096251313985\",\"DOIUrl\":null,\"url\":null,\"abstract\":\"<p><p>An 18-year-old teenager with significant atherosclerotic cardiovascular disease (ASCVD) risk factors developed acute chest pain. His electrocardiogram showed inferior ST-segment elevations. Emergent coronary angiogram revealed complete thrombotic occlusion of the right coronary artery. He underwent stenting of the culprit lesion with complete clinical recovery and resolution of his electrocardiographic abnormalities secondary to myocardial infarction.</p>\",\"PeriodicalId\":16198,\"journal\":{\"name\":\"Journal of investigative medicine high impact case reports\",\"volume\":\"13 \",\"pages\":\"23247096251313985\"},\"PeriodicalIF\":0.8000,\"publicationDate\":\"2025-01-01\",\"publicationTypes\":\"Journal Article\",\"fieldsOfStudy\":null,\"isOpenAccess\":false,\"openAccessPdf\":\"https://www.ncbi.nlm.nih.gov/pmc/articles/PMC11760119/pdf/\",\"citationCount\":\"0\",\"resultStr\":null,\"platform\":\"Semanticscholar\",\"paperid\":null,\"PeriodicalName\":\"Journal of investigative medicine high impact case reports\",\"FirstCategoryId\":\"1085\",\"ListUrlMain\":\"https://doi.org/10.1177/23247096251313985\",\"RegionNum\":0,\"RegionCategory\":null,\"ArticlePicture\":[],\"TitleCN\":null,\"AbstractTextCN\":null,\"PMCID\":null,\"EPubDate\":\"\",\"PubModel\":\"\",\"JCR\":\"Q3\",\"JCRName\":\"MEDICINE, GENERAL & INTERNAL\",\"Score\":null,\"Total\":0}","platform":"Semanticscholar","paperid":null,"PeriodicalName":"Journal of investigative medicine high impact case reports","FirstCategoryId":"1085","ListUrlMain":"https://doi.org/10.1177/23247096251313985","RegionNum":0,"RegionCategory":null,"ArticlePicture":[],"TitleCN":null,"AbstractTextCN":null,"PMCID":null,"EPubDate":"","PubModel":"","JCR":"Q3","JCRName":"MEDICINE, GENERAL & INTERNAL","Score":null,"Total":0}
引用次数: 0

摘要

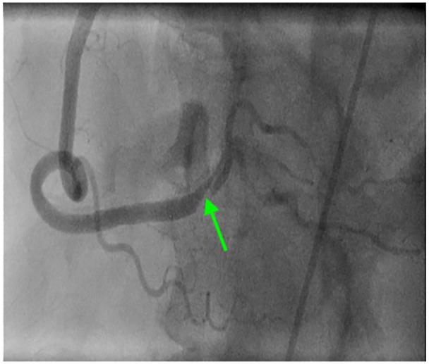
一名18岁的青少年患有明显的动脉粥样硬化性心血管疾病(ASCVD)危险因素,并发急性胸痛。他的心电图显示st段下位抬高。急诊冠状动脉造影显示右冠状动脉血栓性闭塞。他接受了罪魁祸首病变支架置入术,临床完全恢复,继发于心肌梗死的心电图异常也得到了解决。
本文章由计算机程序翻译,如有差异,请以英文原文为准。

Premature Coronary Artery Disease Presenting as STEMI in a Teenager.

Premature Coronary Artery Disease Presenting as STEMI in a Teenager.

Premature Coronary Artery Disease Presenting as STEMI in a Teenager.

Premature Coronary Artery Disease Presenting as STEMI in a Teenager.

An 18-year-old teenager with significant atherosclerotic cardiovascular disease (ASCVD) risk factors developed acute chest pain. His electrocardiogram showed inferior ST-segment elevations. Emergent coronary angiogram revealed complete thrombotic occlusion of the right coronary artery. He underwent stenting of the culprit lesion with complete clinical recovery and resolution of his electrocardiographic abnormalities secondary to myocardial infarction.

求助全文
通过发布文献求助,成功后即可免费获取论文全文。 去求助
来源期刊
CiteScore
1.90
自引率
0.00%
发文量
165
审稿时长
12 weeks
期刊介绍: The AFMR is committed to enhancing the training and career development of our members and to furthering its mission to facilitate the conduct of research to improve medical care. Case reports represent an important avenue for trainees (interns, residents, and fellows) and early-stage faculty to demonstrate productive, scholarly activity.
×
引用
GB/T 7714-2015
复制
MLA
复制
APA
复制
导出至
BibTeX EndNote RefMan NoteFirst NoteExpress
×
提示
您的信息不完整,为了账户安全,请先补充。
现在去补充
×
提示
您因"违规操作"
具体请查看互助需知
我知道了
×
提示
确定
请完成安全验证×
copy
已复制链接
快去分享给好友吧!
我知道了
右上角分享
点击右上角分享
0
联系我们:info@booksci.cn Book学术提供免费学术资源搜索服务,方便国内外学者检索中英文文献。致力于提供最便捷和优质的服务体验。 Copyright © 2023 布克学术 All rights reserved.
京ICP备2023020795号-1
ghs 京公网安备 11010802042870号
Book学术文献互助
Book学术文献互助群
群 号:604180095
Book学术官方微信