中枢神经系统VHL相关及散发性血管母细胞瘤中ZHX2表达与VHL基因改变的关系

IF 1.9 Q3 ONCOLOGY
Journal of Kidney Cancer and VHL Pub Date : 2024-12-31 eCollection Date: 2024-01-01 DOI:10.15586/jkcvhl.v11i4.355
Hiroshi Kanno, Kimihiro Nakahara, Sachiko Yamada, Satoshi Fujii, Hidetoshi Murata, Tetsuya Yamamoto, Hisashi Hasumi, Masahiro Yao
{"title":"中枢神经系统VHL相关及散发性血管母细胞瘤中ZHX2表达与VHL基因改变的关系","authors":"Hiroshi Kanno, Kimihiro Nakahara, Sachiko Yamada, Satoshi Fujii, Hidetoshi Murata, Tetsuya Yamamoto, Hisashi Hasumi, Masahiro Yao","doi":"10.15586/jkcvhl.v11i4.355","DOIUrl":null,"url":null,"abstract":"<p><p>Central nervous system hemangioblastoma (CNS-HB) is the most common manifestation of von Hippel-Lindau disease (VHL). The main axis of the CNS-HB pathway is the VHL-HIF signaling pathway. Recently, we proposed an alternative VHL-JAK-STAT pathway in CNS-HB. In contrast, the VHL substrate transcription factor zinc fingers and homeoboxes 2 (ZHX2) have been identified as the oncogenic drivers in VHL-deficient clear cell renal cell carcinoma (RCC). However, ZHX2 expression in CNS-HB has not been previously reported. Furthermore, the VHL-ZXH2-NF-κB signaling pathway in CNS-HB remains unresolved. In this study, we aimed to investigate ZHX2 expression and VHL gene alteration in CNS-HB and propose the role of ZHX2 in CNS-HB. Using the MACS method, Scl+ hemangioblastoma-like cells were isolated from multipotent nestin-expressing stem cells. The ubiquitination of ZHX2 in these cells and the immunoprecipitation between ZHX2 and VHL were investigated. In addition, the VHL genes of patients with hemangioblastoma were analyzed. ZHX2 expression in CNS-HB tissues was examined by immunohistochemistry and western blotting. In addition, VHL gene mutations in CNS-HB were analyzed by sequencing. The association between ZHX2 expression and VHL gene mutation was analyzed. ZHX2 was ubiquitinated in Scl+hemangioblastoma-like cells after the transfer of the VHL expression vector into these cells. ZHX2 expression in these cells was well detected before transfer but disappeared after the transfer. ZHX2 expression was detected in 18 of the 21 CNS-HB tissues by immunoblotting and/or immunohistochemistry. Sporadic CNS-HB showed weak expression, whereas VHL-related CNS-HB showed moderate or strong expression. In particular, CNS-HB with severe VHL gene mutations, including large deletions, showed strong or moderate ZHX2 expression. The association between VHL gene mutation and ZHX2 expression revealed a significant correlation between VHL gene alteration severity and the level of immunoblotting (P < 0.05). In conclusion, the severity of VHL gene alteration correlates with the level of ZHX2 expression. ZHX2 is predominantly expressed in CNS-HB, especially in VHL-related cases with severe VHL gene alterations, suggesting a potential role in tumorigenesis and proliferation of CNS-HB.</p>","PeriodicalId":44291,"journal":{"name":"Journal of Kidney Cancer and VHL","volume":"11 4","pages":"39-47"},"PeriodicalIF":1.9000,"publicationDate":"2024-12-31","publicationTypes":"Journal Article","fieldsOfStudy":null,"isOpenAccess":false,"openAccessPdf":"https://www.ncbi.nlm.nih.gov/pmc/articles/PMC11756601/pdf/","citationCount":"0","resultStr":"{\"title\":\"Relationship between ZHX2 Expression and VHL Gene Alteration in VHL-associated and Sporadic Hemangioblastomas of the Central Nervous System.\",\"authors\":\"Hiroshi Kanno, Kimihiro Nakahara, Sachiko Yamada, Satoshi Fujii, Hidetoshi Murata, Tetsuya Yamamoto, Hisashi Hasumi, Masahiro Yao\",\"doi\":\"10.15586/jkcvhl.v11i4.355\",\"DOIUrl\":null,\"url\":null,\"abstract\":\"<p><p>Central nervous system hemangioblastoma (CNS-HB) is the most common manifestation of von Hippel-Lindau disease (VHL). The main axis of the CNS-HB pathway is the VHL-HIF signaling pathway. Recently, we proposed an alternative VHL-JAK-STAT pathway in CNS-HB. In contrast, the VHL substrate transcription factor zinc fingers and homeoboxes 2 (ZHX2) have been identified as the oncogenic drivers in VHL-deficient clear cell renal cell carcinoma (RCC). However, ZHX2 expression in CNS-HB has not been previously reported. Furthermore, the VHL-ZXH2-NF-κB signaling pathway in CNS-HB remains unresolved. In this study, we aimed to investigate ZHX2 expression and VHL gene alteration in CNS-HB and propose the role of ZHX2 in CNS-HB. Using the MACS method, Scl+ hemangioblastoma-like cells were isolated from multipotent nestin-expressing stem cells. The ubiquitination of ZHX2 in these cells and the immunoprecipitation between ZHX2 and VHL were investigated. In addition, the VHL genes of patients with hemangioblastoma were analyzed. ZHX2 expression in CNS-HB tissues was examined by immunohistochemistry and western blotting. In addition, VHL gene mutations in CNS-HB were analyzed by sequencing. The association between ZHX2 expression and VHL gene mutation was analyzed. ZHX2 was ubiquitinated in Scl+hemangioblastoma-like cells after the transfer of the VHL expression vector into these cells. ZHX2 expression in these cells was well detected before transfer but disappeared after the transfer. ZHX2 expression was detected in 18 of the 21 CNS-HB tissues by immunoblotting and/or immunohistochemistry. Sporadic CNS-HB showed weak expression, whereas VHL-related CNS-HB showed moderate or strong expression. In particular, CNS-HB with severe VHL gene mutations, including large deletions, showed strong or moderate ZHX2 expression. The association between VHL gene mutation and ZHX2 expression revealed a significant correlation between VHL gene alteration severity and the level of immunoblotting (P < 0.05). In conclusion, the severity of VHL gene alteration correlates with the level of ZHX2 expression. ZHX2 is predominantly expressed in CNS-HB, especially in VHL-related cases with severe VHL gene alterations, suggesting a potential role in tumorigenesis and proliferation of CNS-HB.</p>\",\"PeriodicalId\":44291,\"journal\":{\"name\":\"Journal of Kidney Cancer and VHL\",\"volume\":\"11 4\",\"pages\":\"39-47\"},\"PeriodicalIF\":1.9000,\"publicationDate\":\"2024-12-31\",\"publicationTypes\":\"Journal Article\",\"fieldsOfStudy\":null,\"isOpenAccess\":false,\"openAccessPdf\":\"https://www.ncbi.nlm.nih.gov/pmc/articles/PMC11756601/pdf/\",\"citationCount\":\"0\",\"resultStr\":null,\"platform\":\"Semanticscholar\",\"paperid\":null,\"PeriodicalName\":\"Journal of Kidney Cancer and VHL\",\"FirstCategoryId\":\"1085\",\"ListUrlMain\":\"https://doi.org/10.15586/jkcvhl.v11i4.355\",\"RegionNum\":0,\"RegionCategory\":null,\"ArticlePicture\":[],\"TitleCN\":null,\"AbstractTextCN\":null,\"PMCID\":null,\"EPubDate\":\"2024/1/1 0:00:00\",\"PubModel\":\"eCollection\",\"JCR\":\"Q3\",\"JCRName\":\"ONCOLOGY\",\"Score\":null,\"Total\":0}","platform":"Semanticscholar","paperid":null,"PeriodicalName":"Journal of Kidney Cancer and VHL","FirstCategoryId":"1085","ListUrlMain":"https://doi.org/10.15586/jkcvhl.v11i4.355","RegionNum":0,"RegionCategory":null,"ArticlePicture":[],"TitleCN":null,"AbstractTextCN":null,"PMCID":null,"EPubDate":"2024/1/1 0:00:00","PubModel":"eCollection","JCR":"Q3","JCRName":"ONCOLOGY","Score":null,"Total":0}
引用次数: 0

摘要

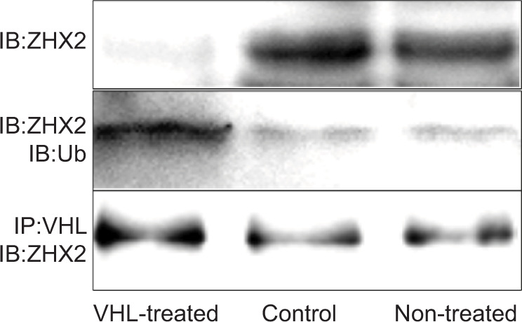
中枢神经系统血管母细胞瘤(CNS-HB)是von Hippel-Lindau病(VHL)最常见的表现。CNS-HB通路的主轴是VHL-HIF信号通路。最近,我们在CNS-HB中提出了另一种VHL-JAK-STAT通路。相比之下,VHL底物转录因子锌指和同源盒2 (ZHX2)已被确定为VHL缺陷透明细胞肾细胞癌(RCC)的致癌驱动因素。然而,ZHX2在CNS-HB中的表达尚未见报道。此外,VHL-ZXH2-NF-κB信号通路在CNS-HB中的作用尚不清楚。本研究旨在探讨ZHX2在CNS-HB中的表达和VHL基因的改变,并提出ZHX2在CNS-HB中的作用。采用MACS方法,从多能巢蛋白表达干细胞中分离出Scl+血管母细胞瘤样细胞。研究了ZHX2在这些细胞中的泛素化以及ZHX2与VHL之间的免疫沉淀。同时对血管母细胞瘤患者的VHL基因进行分析。免疫组化和免疫印迹法检测CNS-HB组织中ZHX2的表达。此外,通过测序分析CNS-HB中VHL基因突变。分析ZHX2表达与VHL基因突变的关系。将VHL表达载体转染到Scl+血管母细胞瘤样细胞后,ZHX2在这些细胞中泛素化。转染前在这些细胞中检测到良好的ZHX2表达,而转染后则消失。21例CNS-HB组织中有18例通过免疫印迹和/或免疫组化检测到ZHX2的表达。散发性CNS-HB表现为弱表达,而vhl相关CNS-HB表现为中等或强表达。特别是,严重VHL基因突变(包括大缺失)的CNS-HB显示出强烈或中度的ZHX2表达。VHL基因突变与ZHX2表达的相关性显示VHL基因改变严重程度与免疫印迹水平有显著相关性(P < 0.05)。综上所述,VHL基因改变的严重程度与ZHX2的表达水平有关。ZHX2主要在CNS-HB中表达,特别是在VHL相关的VHL基因严重改变的病例中,提示其在CNS-HB的肿瘤发生和增殖中具有潜在的作用。
本文章由计算机程序翻译,如有差异,请以英文原文为准。

Relationship between ZHX2 Expression and VHL Gene Alteration in VHL-associated and Sporadic Hemangioblastomas of the Central Nervous System.

Relationship between ZHX2 Expression and VHL Gene Alteration in VHL-associated and Sporadic Hemangioblastomas of the Central Nervous System.

Relationship between ZHX2 Expression and VHL Gene Alteration in VHL-associated and Sporadic Hemangioblastomas of the Central Nervous System.

Relationship between ZHX2 Expression and VHL Gene Alteration in VHL-associated and Sporadic Hemangioblastomas of the Central Nervous System.

Central nervous system hemangioblastoma (CNS-HB) is the most common manifestation of von Hippel-Lindau disease (VHL). The main axis of the CNS-HB pathway is the VHL-HIF signaling pathway. Recently, we proposed an alternative VHL-JAK-STAT pathway in CNS-HB. In contrast, the VHL substrate transcription factor zinc fingers and homeoboxes 2 (ZHX2) have been identified as the oncogenic drivers in VHL-deficient clear cell renal cell carcinoma (RCC). However, ZHX2 expression in CNS-HB has not been previously reported. Furthermore, the VHL-ZXH2-NF-κB signaling pathway in CNS-HB remains unresolved. In this study, we aimed to investigate ZHX2 expression and VHL gene alteration in CNS-HB and propose the role of ZHX2 in CNS-HB. Using the MACS method, Scl+ hemangioblastoma-like cells were isolated from multipotent nestin-expressing stem cells. The ubiquitination of ZHX2 in these cells and the immunoprecipitation between ZHX2 and VHL were investigated. In addition, the VHL genes of patients with hemangioblastoma were analyzed. ZHX2 expression in CNS-HB tissues was examined by immunohistochemistry and western blotting. In addition, VHL gene mutations in CNS-HB were analyzed by sequencing. The association between ZHX2 expression and VHL gene mutation was analyzed. ZHX2 was ubiquitinated in Scl+hemangioblastoma-like cells after the transfer of the VHL expression vector into these cells. ZHX2 expression in these cells was well detected before transfer but disappeared after the transfer. ZHX2 expression was detected in 18 of the 21 CNS-HB tissues by immunoblotting and/or immunohistochemistry. Sporadic CNS-HB showed weak expression, whereas VHL-related CNS-HB showed moderate or strong expression. In particular, CNS-HB with severe VHL gene mutations, including large deletions, showed strong or moderate ZHX2 expression. The association between VHL gene mutation and ZHX2 expression revealed a significant correlation between VHL gene alteration severity and the level of immunoblotting (P < 0.05). In conclusion, the severity of VHL gene alteration correlates with the level of ZHX2 expression. ZHX2 is predominantly expressed in CNS-HB, especially in VHL-related cases with severe VHL gene alterations, suggesting a potential role in tumorigenesis and proliferation of CNS-HB.

求助全文
通过发布文献求助,成功后即可免费获取论文全文。 去求助
来源期刊
自引率
6.20%
发文量
22
审稿时长
4 weeks
×
引用
GB/T 7714-2015
复制
MLA
复制
APA
复制
导出至
BibTeX EndNote RefMan NoteFirst NoteExpress
×
提示
您的信息不完整,为了账户安全,请先补充。
现在去补充
×
提示
您因"违规操作"
具体请查看互助需知
我知道了
×
提示
确定
请完成安全验证×
copy
已复制链接
快去分享给好友吧!
我知道了
右上角分享
点击右上角分享
0
联系我们:info@booksci.cn Book学术提供免费学术资源搜索服务,方便国内外学者检索中英文文献。致力于提供最便捷和优质的服务体验。 Copyright © 2023 布克学术 All rights reserved.
京ICP备2023020795号-1
ghs 京公网安备 11010802042870号
Book学术文献互助
Book学术文献互助群
群 号:604180095
Book学术官方微信