基于开源软件工具(SELMA)的7T 2D期相对比MRI脑穿动脉血流速度分析。

IF 3.1 4区 医学 Q2 COMPUTER SCIENCE, INTERDISCIPLINARY APPLICATIONS
S D T Pham, C Chatziantoniou, J T van Vliet, R J van Tuijl, M Bulk, M Costagli, L de Rochefort, O Kraff, M E Ladd, K Pine, I Ronen, J C W Siero, M Tosetti, A Villringer, G J Biessels, J J M Zwanenburg
{"title":"基于开源软件工具(SELMA)的7T 2D期相对比MRI脑穿动脉血流速度分析。","authors":"S D T Pham, C Chatziantoniou, J T van Vliet, R J van Tuijl, M Bulk, M Costagli, L de Rochefort, O Kraff, M E Ladd, K Pine, I Ronen, J C W Siero, M Tosetti, A Villringer, G J Biessels, J J M Zwanenburg","doi":"10.1007/s12021-024-09703-4","DOIUrl":null,"url":null,"abstract":"<p><p>Blood flow velocity in the cerebral perforating arteries can be quantified in a two-dimensional plane with phase contrast magnetic imaging (2D PC-MRI). The velocity pulsatility index (PI) can inform on the stiffness of these perforating arteries, which is related to several cerebrovascular diseases. Currently, there is no open-source analysis tool for 2D PC-MRI data from these small vessels, impeding the usage of these measurements. In this study we present the Small vessEL MArker (SELMA) analysis software as a novel, user-friendly, open-source tool for velocity analysis in cerebral perforating arteries. The implementation of the analysis algorithm in SELMA was validated against previously published data with a Bland-Altman analysis. The inter-rater reliability of SELMA was assessed on PC-MRI data of sixty participants from three MRI vendors between eight different sites. The mean velocity (v<sub>mean</sub>) and velocity PI of SELMA was very similar to the original results (v<sub>mean</sub>: mean difference ± standard deviation: 0.1 ± 0.8 cm/s; velocity PI: mean difference ± standard deviation: 0.01 ± 0.1) despite the slightly higher number of detected vessels in SELMA (N<sub>detected</sub>: mean difference ± standard deviation: 4 ± 9 vessels), which can be explained by the vessel selection paradigm of SELMA. The Dice Similarity Coefficient of drawn regions of interest between two operators using SELMA was 0.91 (range 0.69-0.95) and the overall intra-class coefficient for N<sub>detected</sub>, v<sub>mean</sub>, and velocity PI were 0.92, 0.84, and 0.85, respectively. The differences in the outcome measures was higher between sites than vendors, indicating the challenges in harmonizing the 2D PC-MRI sequence even across sites with the same vendor. We show that SELMA is a consistent and user-friendly analysis tool for small cerebral vessels.</p>","PeriodicalId":49761,"journal":{"name":"Neuroinformatics","volume":"23 2","pages":"11"},"PeriodicalIF":3.1000,"publicationDate":"2025-01-22","publicationTypes":"Journal Article","fieldsOfStudy":null,"isOpenAccess":false,"openAccessPdf":"https://www.ncbi.nlm.nih.gov/pmc/articles/PMC11754306/pdf/","citationCount":"0","resultStr":"{\"title\":\"Blood Flow Velocity Analysis in Cerebral Perforating Arteries on 7T 2D Phase Contrast MRI with an Open-Source Software Tool (SELMA).\",\"authors\":\"S D T Pham, C Chatziantoniou, J T van Vliet, R J van Tuijl, M Bulk, M Costagli, L de Rochefort, O Kraff, M E Ladd, K Pine, I Ronen, J C W Siero, M Tosetti, A Villringer, G J Biessels, J J M Zwanenburg\",\"doi\":\"10.1007/s12021-024-09703-4\",\"DOIUrl\":null,\"url\":null,\"abstract\":\"<p><p>Blood flow velocity in the cerebral perforating arteries can be quantified in a two-dimensional plane with phase contrast magnetic imaging (2D PC-MRI). The velocity pulsatility index (PI) can inform on the stiffness of these perforating arteries, which is related to several cerebrovascular diseases. Currently, there is no open-source analysis tool for 2D PC-MRI data from these small vessels, impeding the usage of these measurements. In this study we present the Small vessEL MArker (SELMA) analysis software as a novel, user-friendly, open-source tool for velocity analysis in cerebral perforating arteries. The implementation of the analysis algorithm in SELMA was validated against previously published data with a Bland-Altman analysis. The inter-rater reliability of SELMA was assessed on PC-MRI data of sixty participants from three MRI vendors between eight different sites. The mean velocity (v<sub>mean</sub>) and velocity PI of SELMA was very similar to the original results (v<sub>mean</sub>: mean difference ± standard deviation: 0.1 ± 0.8 cm/s; velocity PI: mean difference ± standard deviation: 0.01 ± 0.1) despite the slightly higher number of detected vessels in SELMA (N<sub>detected</sub>: mean difference ± standard deviation: 4 ± 9 vessels), which can be explained by the vessel selection paradigm of SELMA. The Dice Similarity Coefficient of drawn regions of interest between two operators using SELMA was 0.91 (range 0.69-0.95) and the overall intra-class coefficient for N<sub>detected</sub>, v<sub>mean</sub>, and velocity PI were 0.92, 0.84, and 0.85, respectively. The differences in the outcome measures was higher between sites than vendors, indicating the challenges in harmonizing the 2D PC-MRI sequence even across sites with the same vendor. We show that SELMA is a consistent and user-friendly analysis tool for small cerebral vessels.</p>\",\"PeriodicalId\":49761,\"journal\":{\"name\":\"Neuroinformatics\",\"volume\":\"23 2\",\"pages\":\"11\"},\"PeriodicalIF\":3.1000,\"publicationDate\":\"2025-01-22\",\"publicationTypes\":\"Journal Article\",\"fieldsOfStudy\":null,\"isOpenAccess\":false,\"openAccessPdf\":\"https://www.ncbi.nlm.nih.gov/pmc/articles/PMC11754306/pdf/\",\"citationCount\":\"0\",\"resultStr\":null,\"platform\":\"Semanticscholar\",\"paperid\":null,\"PeriodicalName\":\"Neuroinformatics\",\"FirstCategoryId\":\"3\",\"ListUrlMain\":\"https://doi.org/10.1007/s12021-024-09703-4\",\"RegionNum\":4,\"RegionCategory\":\"医学\",\"ArticlePicture\":[],\"TitleCN\":null,\"AbstractTextCN\":null,\"PMCID\":null,\"EPubDate\":\"\",\"PubModel\":\"\",\"JCR\":\"Q2\",\"JCRName\":\"COMPUTER SCIENCE, INTERDISCIPLINARY APPLICATIONS\",\"Score\":null,\"Total\":0}","platform":"Semanticscholar","paperid":null,"PeriodicalName":"Neuroinformatics","FirstCategoryId":"3","ListUrlMain":"https://doi.org/10.1007/s12021-024-09703-4","RegionNum":4,"RegionCategory":"医学","ArticlePicture":[],"TitleCN":null,"AbstractTextCN":null,"PMCID":null,"EPubDate":"","PubModel":"","JCR":"Q2","JCRName":"COMPUTER SCIENCE, INTERDISCIPLINARY APPLICATIONS","Score":null,"Total":0}
引用次数: 0

摘要

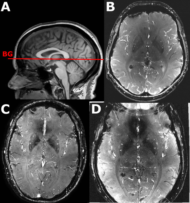
在二维平面上,通过相衬磁成像(2D PC-MRI)可以量化脑穿动脉的血流速度。速度脉搏指数(PI)可以反映这些穿孔动脉的僵硬程度,这与几种脑血管疾病有关。目前,还没有针对这些小血管的2D PC-MRI数据的开源分析工具,阻碍了这些测量的使用。在这项研究中,我们提出了小血管标记(SELMA)分析软件,作为一种新颖的、用户友好的、开源的工具,用于分析脑穿孔动脉的流速。SELMA中分析算法的实现通过Bland-Altman分析对先前发表的数据进行了验证。SELMA的评分间信度评估了来自八个不同地点的三个MRI供应商的60名参与者的PC-MRI数据。SELMA的平均速度(vmean)和速度PI与原始结果非常相似(vmean:平均差±标准差:0.1±0.8 cm/s;速度PI:平均差值±标准差:0.01±0.1),而SELMA检测到的血管数量略高(未检测到的血管数量:平均差值±标准差:4±9),这可以用SELMA的血管选择范式来解释。使用SELMA的两个操作符之间绘制的感兴趣区域的骰子相似系数为0.91(范围为0.69-0.95),Ndetected, vmean和速度PI的总体类内系数分别为0.92,0.84和0.85。结果测量在不同地点之间的差异大于供应商之间的差异,这表明在协调2D PC-MRI序列方面存在挑战,即使是在同一供应商的不同地点。我们表明SELMA是一个一致的和用户友好的小脑血管分析工具。
本文章由计算机程序翻译,如有差异,请以英文原文为准。

Blood Flow Velocity Analysis in Cerebral Perforating Arteries on 7T 2D Phase Contrast MRI with an Open-Source Software Tool (SELMA).

Blood Flow Velocity Analysis in Cerebral Perforating Arteries on 7T 2D Phase Contrast MRI with an Open-Source Software Tool (SELMA).

Blood Flow Velocity Analysis in Cerebral Perforating Arteries on 7T 2D Phase Contrast MRI with an Open-Source Software Tool (SELMA).

Blood Flow Velocity Analysis in Cerebral Perforating Arteries on 7T 2D Phase Contrast MRI with an Open-Source Software Tool (SELMA).

Blood flow velocity in the cerebral perforating arteries can be quantified in a two-dimensional plane with phase contrast magnetic imaging (2D PC-MRI). The velocity pulsatility index (PI) can inform on the stiffness of these perforating arteries, which is related to several cerebrovascular diseases. Currently, there is no open-source analysis tool for 2D PC-MRI data from these small vessels, impeding the usage of these measurements. In this study we present the Small vessEL MArker (SELMA) analysis software as a novel, user-friendly, open-source tool for velocity analysis in cerebral perforating arteries. The implementation of the analysis algorithm in SELMA was validated against previously published data with a Bland-Altman analysis. The inter-rater reliability of SELMA was assessed on PC-MRI data of sixty participants from three MRI vendors between eight different sites. The mean velocity (vmean) and velocity PI of SELMA was very similar to the original results (vmean: mean difference ± standard deviation: 0.1 ± 0.8 cm/s; velocity PI: mean difference ± standard deviation: 0.01 ± 0.1) despite the slightly higher number of detected vessels in SELMA (Ndetected: mean difference ± standard deviation: 4 ± 9 vessels), which can be explained by the vessel selection paradigm of SELMA. The Dice Similarity Coefficient of drawn regions of interest between two operators using SELMA was 0.91 (range 0.69-0.95) and the overall intra-class coefficient for Ndetected, vmean, and velocity PI were 0.92, 0.84, and 0.85, respectively. The differences in the outcome measures was higher between sites than vendors, indicating the challenges in harmonizing the 2D PC-MRI sequence even across sites with the same vendor. We show that SELMA is a consistent and user-friendly analysis tool for small cerebral vessels.

求助全文
通过发布文献求助,成功后即可免费获取论文全文。 去求助
来源期刊
Neuroinformatics
Neuroinformatics 医学-计算机:跨学科应用
CiteScore
6.00
自引率
6.70%
发文量
54
审稿时长
3 months
期刊介绍: Neuroinformatics publishes original articles and reviews with an emphasis on data structure and software tools related to analysis, modeling, integration, and sharing in all areas of neuroscience research. The editors particularly invite contributions on: (1) Theory and methodology, including discussions on ontologies, modeling approaches, database design, and meta-analyses; (2) Descriptions of developed databases and software tools, and of the methods for their distribution; (3) Relevant experimental results, such as reports accompanie by the release of massive data sets; (4) Computational simulations of models integrating and organizing complex data; and (5) Neuroengineering approaches, including hardware, robotics, and information theory studies.
×
引用
GB/T 7714-2015
复制
MLA
复制
APA
复制
导出至
BibTeX EndNote RefMan NoteFirst NoteExpress
×
提示
您的信息不完整,为了账户安全,请先补充。
现在去补充
×
提示
您因"违规操作"
具体请查看互助需知
我知道了
×
提示
确定
请完成安全验证×
copy
已复制链接
快去分享给好友吧!
我知道了
右上角分享
点击右上角分享
0
联系我们:info@booksci.cn Book学术提供免费学术资源搜索服务,方便国内外学者检索中英文文献。致力于提供最便捷和优质的服务体验。 Copyright © 2023 布克学术 All rights reserved.
京ICP备2023020795号-1
ghs 京公网安备 11010802042870号
Book学术文献互助
Book学术文献互助群
群 号:604180095
Book学术官方微信