孤立性直肠溃疡综合征-一种罕见的儿童疾病。

IF 2.1 Q4 PATHOLOGY
Megha Sawhney, Jyotsna Madan, Devajit Nath, Akanksha Bhatia, Neema Tiwari, Umesh Shukla
{"title":"孤立性直肠溃疡综合征-一种罕见的儿童疾病。","authors":"Megha Sawhney, Jyotsna Madan, Devajit Nath, Akanksha Bhatia, Neema Tiwari, Umesh Shukla","doi":"10.5146/tjpath.2025.13667","DOIUrl":null,"url":null,"abstract":"<p><strong>Objective: </strong>To study and correlate the clinicopathological findings of Solitary Rectal Ulcer Syndrome (SRUS) in 10 pediatric patients.</p><p><strong>Material and methods: </strong>This study is a retrospective study of patients from January 2017 to June 2024. The clinical records were reviewed for details of the clinical presentation, colonoscopic findings, associated local and systemic diseases, and other investigations.</p><p><strong>Results: </strong>The mean age of presentation was 10±1 years, and the youngest child was 6 years old. The most common clinical presentation was rectal bleeding and a single ulcer on endoscopy. Histological findings included crypt distortion, crypt branching, and fibromuscular obliteration of the lamina propria. Immunohistochemistry (IHC) for Smooth Muscle Actin (SMA) and special staining with Masson Trichrome (MT) were used to highlight fibromuscular areas whenever in doubt.</p><p><strong>Conclusion: </strong>The pathogenesis of SRUS is not well understood. It may be associated with chronic mucosal and hypoperfusion-induced ischemic injury to the rectal mucosa due to trauma or increased rectal pressure during straining. Solitary rectal ulcer is a misnomer, as the patient may present with multiple or no ulcers. Endoscopy and histopathology help to diagnose SRUS. Timely and correct diagnosis reduces the morbidity associated with this entity.</p>","PeriodicalId":45415,"journal":{"name":"Turkish Journal of Pathology","volume":" ","pages":"16-20"},"PeriodicalIF":2.1000,"publicationDate":"2025-01-01","publicationTypes":"Journal Article","fieldsOfStudy":null,"isOpenAccess":false,"openAccessPdf":"https://www.ncbi.nlm.nih.gov/pmc/articles/PMC11831963/pdf/","citationCount":"0","resultStr":"{\"title\":\"Solitary Rectal Ulcer Syndrome - A Rare Entity in the Pediatric Population.\",\"authors\":\"Megha Sawhney, Jyotsna Madan, Devajit Nath, Akanksha Bhatia, Neema Tiwari, Umesh Shukla\",\"doi\":\"10.5146/tjpath.2025.13667\",\"DOIUrl\":null,\"url\":null,\"abstract\":\"<p><strong>Objective: </strong>To study and correlate the clinicopathological findings of Solitary Rectal Ulcer Syndrome (SRUS) in 10 pediatric patients.</p><p><strong>Material and methods: </strong>This study is a retrospective study of patients from January 2017 to June 2024. The clinical records were reviewed for details of the clinical presentation, colonoscopic findings, associated local and systemic diseases, and other investigations.</p><p><strong>Results: </strong>The mean age of presentation was 10±1 years, and the youngest child was 6 years old. The most common clinical presentation was rectal bleeding and a single ulcer on endoscopy. Histological findings included crypt distortion, crypt branching, and fibromuscular obliteration of the lamina propria. Immunohistochemistry (IHC) for Smooth Muscle Actin (SMA) and special staining with Masson Trichrome (MT) were used to highlight fibromuscular areas whenever in doubt.</p><p><strong>Conclusion: </strong>The pathogenesis of SRUS is not well understood. It may be associated with chronic mucosal and hypoperfusion-induced ischemic injury to the rectal mucosa due to trauma or increased rectal pressure during straining. Solitary rectal ulcer is a misnomer, as the patient may present with multiple or no ulcers. Endoscopy and histopathology help to diagnose SRUS. Timely and correct diagnosis reduces the morbidity associated with this entity.</p>\",\"PeriodicalId\":45415,\"journal\":{\"name\":\"Turkish Journal of Pathology\",\"volume\":\" \",\"pages\":\"16-20\"},\"PeriodicalIF\":2.1000,\"publicationDate\":\"2025-01-01\",\"publicationTypes\":\"Journal Article\",\"fieldsOfStudy\":null,\"isOpenAccess\":false,\"openAccessPdf\":\"https://www.ncbi.nlm.nih.gov/pmc/articles/PMC11831963/pdf/\",\"citationCount\":\"0\",\"resultStr\":null,\"platform\":\"Semanticscholar\",\"paperid\":null,\"PeriodicalName\":\"Turkish Journal of Pathology\",\"FirstCategoryId\":\"1085\",\"ListUrlMain\":\"https://doi.org/10.5146/tjpath.2025.13667\",\"RegionNum\":0,\"RegionCategory\":null,\"ArticlePicture\":[],\"TitleCN\":null,\"AbstractTextCN\":null,\"PMCID\":null,\"EPubDate\":\"\",\"PubModel\":\"\",\"JCR\":\"Q4\",\"JCRName\":\"PATHOLOGY\",\"Score\":null,\"Total\":0}","platform":"Semanticscholar","paperid":null,"PeriodicalName":"Turkish Journal of Pathology","FirstCategoryId":"1085","ListUrlMain":"https://doi.org/10.5146/tjpath.2025.13667","RegionNum":0,"RegionCategory":null,"ArticlePicture":[],"TitleCN":null,"AbstractTextCN":null,"PMCID":null,"EPubDate":"","PubModel":"","JCR":"Q4","JCRName":"PATHOLOGY","Score":null,"Total":0}
引用次数: 0

摘要

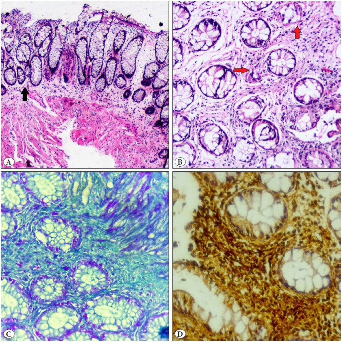
目的:探讨10例小儿孤立性直肠溃疡综合征(SRUS)的临床病理表现。材料与方法:本研究为回顾性研究,研究对象为2017年1月至2024年6月的患者。我们回顾了临床记录的细节,包括临床表现、结肠镜检查结果、相关的局部和全身性疾病以及其他调查。结果:平均发病年龄10±1岁,最小6岁。最常见的临床表现是直肠出血和内窥镜检查的单一溃疡。组织学表现包括隐窝扭曲、隐窝分支和固有层纤维肌闭塞。使用平滑肌肌动蛋白(SMA)的免疫组织化学(IHC)和马松三色(MT)特殊染色来突出纤维肌肉区域。结论:SRUS的发病机制尚不清楚。它可能与慢性粘膜和低灌注引起的直肠粘膜缺血性损伤有关,这是由于创伤或紧张时直肠压力增加所致。孤立性直肠溃疡是一种用词不当,因为患者可能出现多发性溃疡或无溃疡。内镜和组织病理学有助于诊断SRUS。及时和正确的诊断减少了与该实体相关的发病率。
本文章由计算机程序翻译,如有差异,请以英文原文为准。

Solitary Rectal Ulcer Syndrome - A Rare Entity in the Pediatric Population.

Solitary Rectal Ulcer Syndrome - A Rare Entity in the Pediatric Population.

Solitary Rectal Ulcer Syndrome - A Rare Entity in the Pediatric Population.

Objective: To study and correlate the clinicopathological findings of Solitary Rectal Ulcer Syndrome (SRUS) in 10 pediatric patients.

Material and methods: This study is a retrospective study of patients from January 2017 to June 2024. The clinical records were reviewed for details of the clinical presentation, colonoscopic findings, associated local and systemic diseases, and other investigations.

Results: The mean age of presentation was 10±1 years, and the youngest child was 6 years old. The most common clinical presentation was rectal bleeding and a single ulcer on endoscopy. Histological findings included crypt distortion, crypt branching, and fibromuscular obliteration of the lamina propria. Immunohistochemistry (IHC) for Smooth Muscle Actin (SMA) and special staining with Masson Trichrome (MT) were used to highlight fibromuscular areas whenever in doubt.

Conclusion: The pathogenesis of SRUS is not well understood. It may be associated with chronic mucosal and hypoperfusion-induced ischemic injury to the rectal mucosa due to trauma or increased rectal pressure during straining. Solitary rectal ulcer is a misnomer, as the patient may present with multiple or no ulcers. Endoscopy and histopathology help to diagnose SRUS. Timely and correct diagnosis reduces the morbidity associated with this entity.

求助全文
通过发布文献求助,成功后即可免费获取论文全文。 去求助
来源期刊
CiteScore
1.90
自引率
10.00%
发文量
23
审稿时长
14 weeks
×
引用
GB/T 7714-2015
复制
MLA
复制
APA
复制
导出至
BibTeX EndNote RefMan NoteFirst NoteExpress
×
提示
您的信息不完整,为了账户安全,请先补充。
现在去补充
×
提示
您因"违规操作"
具体请查看互助需知
我知道了
×
提示
确定
请完成安全验证×
copy
已复制链接
快去分享给好友吧!
我知道了
右上角分享
点击右上角分享
0
联系我们:info@booksci.cn Book学术提供免费学术资源搜索服务,方便国内外学者检索中英文文献。致力于提供最便捷和优质的服务体验。 Copyright © 2023 布克学术 All rights reserved.
京ICP备2023020795号-1
ghs 京公网安备 11010802042870号
Book学术文献互助
Book学术文献互助群
群 号:604180095
Book学术官方微信