诊断为急性阑尾炎但“未准备”嗜铬细胞瘤患者的外科治疗:1例报告。

IF 0.9 Q3 MEDICINE, GENERAL & INTERNAL
Medical Bulletin of Sisli Etfal Hospital Pub Date : 2024-12-24 eCollection Date: 2024-01-01 DOI:10.14744/SEMB.2024.54188
Burak Dincer, Zulfiye Sumeyye Kuzu, Recep Murat Potas, Fatih Berke Arican, Sinan Omeroglu
{"title":"诊断为急性阑尾炎但“未准备”嗜铬细胞瘤患者的外科治疗:1例报告。","authors":"Burak Dincer, Zulfiye Sumeyye Kuzu, Recep Murat Potas, Fatih Berke Arican, Sinan Omeroglu","doi":"10.14744/SEMB.2024.54188","DOIUrl":null,"url":null,"abstract":"<p><p>Pheochromocytoma is a rare tumor originating from the adrenal gland, characterized by the secretion of catecholamines. Due to the risk of hypertensive crises associated with catecholamine release, surgical procedures in pheochromocytoma patients are risky. In this case report, laparoscopic appendectomy for acute appendicitis in a patient who has pheochromocytoma will be presented. A 49-year-old female patient presented with abdominal pain. Physical examination showed guarding and rebound in the right lower quadrant. The patient, who had leukocytosis in the investigations, showed signs of acute appendicitis and a 5 cm right adrenal mass on the abdominal computed tomography. A previous abdominal magnetic resonance imaging by the endocrinology department six months ago revealed a 39x32 mm mass in the right adrenal gland and elevated urinary catecholamine levels. It was learned that the patient had not attended follow-up appointments during this period. The patient was consulted by endocrinology and an emergency laparoscopic appendectomy was performed. The patient, discharged on the 2nd day after surgery, did not experience any complications. The patient was referred to endocrinology, and preoperative preparations for pheochromocytoma surgery were initiated. In cases of emergency in patients diagnosed with pheochromocytoma emergency surgery can be performed with appropriate preoperative preparation.</p>","PeriodicalId":42218,"journal":{"name":"Medical Bulletin of Sisli Etfal Hospital","volume":"58 4","pages":"509-512"},"PeriodicalIF":0.9000,"publicationDate":"2024-12-24","publicationTypes":"Journal Article","fieldsOfStudy":null,"isOpenAccess":false,"openAccessPdf":"https://www.ncbi.nlm.nih.gov/pmc/articles/PMC11729825/pdf/","citationCount":"0","resultStr":"{\"title\":\"Surgical Management of Acute Appendicitis in a Patient with Diagnosed but \\\"Unprepared\\\" Pheochromocytoma: A Case Report.\",\"authors\":\"Burak Dincer, Zulfiye Sumeyye Kuzu, Recep Murat Potas, Fatih Berke Arican, Sinan Omeroglu\",\"doi\":\"10.14744/SEMB.2024.54188\",\"DOIUrl\":null,\"url\":null,\"abstract\":\"<p><p>Pheochromocytoma is a rare tumor originating from the adrenal gland, characterized by the secretion of catecholamines. Due to the risk of hypertensive crises associated with catecholamine release, surgical procedures in pheochromocytoma patients are risky. In this case report, laparoscopic appendectomy for acute appendicitis in a patient who has pheochromocytoma will be presented. A 49-year-old female patient presented with abdominal pain. Physical examination showed guarding and rebound in the right lower quadrant. The patient, who had leukocytosis in the investigations, showed signs of acute appendicitis and a 5 cm right adrenal mass on the abdominal computed tomography. A previous abdominal magnetic resonance imaging by the endocrinology department six months ago revealed a 39x32 mm mass in the right adrenal gland and elevated urinary catecholamine levels. It was learned that the patient had not attended follow-up appointments during this period. The patient was consulted by endocrinology and an emergency laparoscopic appendectomy was performed. The patient, discharged on the 2nd day after surgery, did not experience any complications. The patient was referred to endocrinology, and preoperative preparations for pheochromocytoma surgery were initiated. In cases of emergency in patients diagnosed with pheochromocytoma emergency surgery can be performed with appropriate preoperative preparation.</p>\",\"PeriodicalId\":42218,\"journal\":{\"name\":\"Medical Bulletin of Sisli Etfal Hospital\",\"volume\":\"58 4\",\"pages\":\"509-512\"},\"PeriodicalIF\":0.9000,\"publicationDate\":\"2024-12-24\",\"publicationTypes\":\"Journal Article\",\"fieldsOfStudy\":null,\"isOpenAccess\":false,\"openAccessPdf\":\"https://www.ncbi.nlm.nih.gov/pmc/articles/PMC11729825/pdf/\",\"citationCount\":\"0\",\"resultStr\":null,\"platform\":\"Semanticscholar\",\"paperid\":null,\"PeriodicalName\":\"Medical Bulletin of Sisli Etfal Hospital\",\"FirstCategoryId\":\"1085\",\"ListUrlMain\":\"https://doi.org/10.14744/SEMB.2024.54188\",\"RegionNum\":0,\"RegionCategory\":null,\"ArticlePicture\":[],\"TitleCN\":null,\"AbstractTextCN\":null,\"PMCID\":null,\"EPubDate\":\"2024/1/1 0:00:00\",\"PubModel\":\"eCollection\",\"JCR\":\"Q3\",\"JCRName\":\"MEDICINE, GENERAL & INTERNAL\",\"Score\":null,\"Total\":0}","platform":"Semanticscholar","paperid":null,"PeriodicalName":"Medical Bulletin of Sisli Etfal Hospital","FirstCategoryId":"1085","ListUrlMain":"https://doi.org/10.14744/SEMB.2024.54188","RegionNum":0,"RegionCategory":null,"ArticlePicture":[],"TitleCN":null,"AbstractTextCN":null,"PMCID":null,"EPubDate":"2024/1/1 0:00:00","PubModel":"eCollection","JCR":"Q3","JCRName":"MEDICINE, GENERAL & INTERNAL","Score":null,"Total":0}
引用次数: 0

摘要

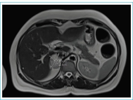
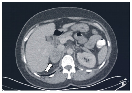
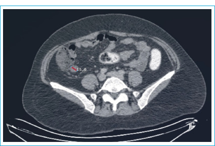
嗜铬细胞瘤是一种起源于肾上腺的罕见肿瘤,以分泌儿茶酚胺为特征。由于高血压危象与儿茶酚胺释放相关,嗜铬细胞瘤患者的手术治疗是有风险的。在这个病例报告,腹腔镜阑尾切除术急性阑尾炎患者谁有嗜铬细胞瘤将提出。女性,49岁,腹痛。体格检查显示右下腹有防守和反弹。患者在调查中有白细胞增多,腹部计算机断层扫描显示急性阑尾炎和5厘米右肾上腺肿块的迹象。六个月前内分泌科的腹部磁共振成像显示右肾上腺有一个39x32毫米的肿块,尿儿茶酚胺水平升高。据了解,该病人在此期间没有参加后续预约。患者接受内分泌科会诊,并进行了紧急腹腔镜阑尾切除术。患者于术后第2天出院,未出现任何并发症。患者转至内分泌科,开始进行嗜铬细胞瘤手术的术前准备。在紧急情况下,诊断为嗜铬细胞瘤的患者可以在适当的术前准备下进行紧急手术。
本文章由计算机程序翻译,如有差异,请以英文原文为准。

Surgical Management of Acute Appendicitis in a Patient with Diagnosed but "Unprepared" Pheochromocytoma: A Case Report.

Surgical Management of Acute Appendicitis in a Patient with Diagnosed but "Unprepared" Pheochromocytoma: A Case Report.

Surgical Management of Acute Appendicitis in a Patient with Diagnosed but "Unprepared" Pheochromocytoma: A Case Report.

Surgical Management of Acute Appendicitis in a Patient with Diagnosed but "Unprepared" Pheochromocytoma: A Case Report.

Pheochromocytoma is a rare tumor originating from the adrenal gland, characterized by the secretion of catecholamines. Due to the risk of hypertensive crises associated with catecholamine release, surgical procedures in pheochromocytoma patients are risky. In this case report, laparoscopic appendectomy for acute appendicitis in a patient who has pheochromocytoma will be presented. A 49-year-old female patient presented with abdominal pain. Physical examination showed guarding and rebound in the right lower quadrant. The patient, who had leukocytosis in the investigations, showed signs of acute appendicitis and a 5 cm right adrenal mass on the abdominal computed tomography. A previous abdominal magnetic resonance imaging by the endocrinology department six months ago revealed a 39x32 mm mass in the right adrenal gland and elevated urinary catecholamine levels. It was learned that the patient had not attended follow-up appointments during this period. The patient was consulted by endocrinology and an emergency laparoscopic appendectomy was performed. The patient, discharged on the 2nd day after surgery, did not experience any complications. The patient was referred to endocrinology, and preoperative preparations for pheochromocytoma surgery were initiated. In cases of emergency in patients diagnosed with pheochromocytoma emergency surgery can be performed with appropriate preoperative preparation.

求助全文
通过发布文献求助,成功后即可免费获取论文全文。 去求助
来源期刊
Medical Bulletin of Sisli Etfal Hospital
Medical Bulletin of Sisli Etfal Hospital MEDICINE, GENERAL & INTERNAL-
自引率
16.70%
发文量
41
×
引用
GB/T 7714-2015
复制
MLA
复制
APA
复制
导出至
BibTeX EndNote RefMan NoteFirst NoteExpress
×
提示
您的信息不完整,为了账户安全,请先补充。
现在去补充
×
提示
您因"违规操作"
具体请查看互助需知
我知道了
×
提示
确定
请完成安全验证×
copy
已复制链接
快去分享给好友吧!
我知道了
右上角分享
点击右上角分享
0
联系我们:info@booksci.cn Book学术提供免费学术资源搜索服务,方便国内外学者检索中英文文献。致力于提供最便捷和优质的服务体验。 Copyright © 2023 布克学术 All rights reserved.
京ICP备2023020795号-1
ghs 京公网安备 11010802042870号
Book学术文献互助
Book学术文献互助群
群 号:604180095
Book学术官方微信