症状性颅内动脉狭窄的血管内治疗:来自两个中心的经验。

IF 0.9 Q3 MEDICINE, GENERAL & INTERNAL
Medical Bulletin of Sisli Etfal Hospital Pub Date : 2024-12-24 eCollection Date: 2024-01-01 DOI:10.14744/SEMB.2024.75317
Eyup Camurcuoglu, Mehmet Tahtabasi, Umut Erdem, Ahmet Serdar Ozdemir, Veysel Kaya
{"title":"症状性颅内动脉狭窄的血管内治疗:来自两个中心的经验。","authors":"Eyup Camurcuoglu, Mehmet Tahtabasi, Umut Erdem, Ahmet Serdar Ozdemir, Veysel Kaya","doi":"10.14744/SEMB.2024.75317","DOIUrl":null,"url":null,"abstract":"<p><strong>Objectives: </strong>To assess the efficacy of endovascular treatment and clinical outcomes in individuals with symptomatic intracranial stenosis who had not responded adequately to medical intervention.</p><p><strong>Methods: </strong>The study included 32 patients who received endovascular treatment due to high-grade (70%-99% severity) intracranial atherosclerotic stenosis from December 2021 to December 2023. The patients had not experienced any acute ischemic or hemorrhagic infarction within the last three weeks, had a Modified Rankin Scale score of ≤3 at baseline, and developed a transient ischemic attack or non-disabling stroke despite having received the best medical treatment. Technical and clinical success, mortality, and complication rates were recorded.</p><p><strong>Results: </strong>Of the 32 patients included in the study, 62.5% (n=20) were male, and the mean age was 66.4±10.09 years. Stenting was performed on the intracranial internal carotid artery in 43.8% (n=14) of the patients, the intradural vertebral artery in 37.5% (n=12), the middle cerebral artery in 12.5% (n=4), and the basilar artery in 6.3% (n=2). The technical success rate was 100%, and the clinical success rate was 87.5%. The mean degree of stenosis before the procedure was 91.7±6.3%, and the degree of residual stenosis after the procedure was 22.1±4.7%. The Neuroform Atlas® stent system was used in 18 cases (56.3%), Credo® stents in eight (25%), coronary balloon-expandable stents in four (12.5%), and the LVIS® stent system in two (6.3%). Twenty-eight (87.5%) patients did not have any symptoms in the first 30 days, while two (6.2%) patients had an ischemic stroke, one (3.1%) patient had a hemorrhagic stroke, and one (3.1%) died.</p><p><strong>Conclusion: </strong>Endovascular treatment in carefully selected patients, a tailored selection of treatment subtypes, and an experienced multidisciplinary team overseeing the patient before, during, and after the procedure have the potential to provide safe and effective treatment for patients with symptomatic intracranial atherosclerotic stenosis.</p>","PeriodicalId":42218,"journal":{"name":"Medical Bulletin of Sisli Etfal Hospital","volume":"58 4","pages":"430-436"},"PeriodicalIF":0.9000,"publicationDate":"2024-12-24","publicationTypes":"Journal Article","fieldsOfStudy":null,"isOpenAccess":false,"openAccessPdf":"https://www.ncbi.nlm.nih.gov/pmc/articles/PMC11729842/pdf/","citationCount":"0","resultStr":"{\"title\":\"Endovascular Treatment in Symptomatic Intracranial Artery Stenosis: Experience from Two Centers.\",\"authors\":\"Eyup Camurcuoglu, Mehmet Tahtabasi, Umut Erdem, Ahmet Serdar Ozdemir, Veysel Kaya\",\"doi\":\"10.14744/SEMB.2024.75317\",\"DOIUrl\":null,\"url\":null,\"abstract\":\"<p><strong>Objectives: </strong>To assess the efficacy of endovascular treatment and clinical outcomes in individuals with symptomatic intracranial stenosis who had not responded adequately to medical intervention.</p><p><strong>Methods: </strong>The study included 32 patients who received endovascular treatment due to high-grade (70%-99% severity) intracranial atherosclerotic stenosis from December 2021 to December 2023. The patients had not experienced any acute ischemic or hemorrhagic infarction within the last three weeks, had a Modified Rankin Scale score of ≤3 at baseline, and developed a transient ischemic attack or non-disabling stroke despite having received the best medical treatment. Technical and clinical success, mortality, and complication rates were recorded.</p><p><strong>Results: </strong>Of the 32 patients included in the study, 62.5% (n=20) were male, and the mean age was 66.4±10.09 years. Stenting was performed on the intracranial internal carotid artery in 43.8% (n=14) of the patients, the intradural vertebral artery in 37.5% (n=12), the middle cerebral artery in 12.5% (n=4), and the basilar artery in 6.3% (n=2). The technical success rate was 100%, and the clinical success rate was 87.5%. The mean degree of stenosis before the procedure was 91.7±6.3%, and the degree of residual stenosis after the procedure was 22.1±4.7%. The Neuroform Atlas® stent system was used in 18 cases (56.3%), Credo® stents in eight (25%), coronary balloon-expandable stents in four (12.5%), and the LVIS® stent system in two (6.3%). Twenty-eight (87.5%) patients did not have any symptoms in the first 30 days, while two (6.2%) patients had an ischemic stroke, one (3.1%) patient had a hemorrhagic stroke, and one (3.1%) died.</p><p><strong>Conclusion: </strong>Endovascular treatment in carefully selected patients, a tailored selection of treatment subtypes, and an experienced multidisciplinary team overseeing the patient before, during, and after the procedure have the potential to provide safe and effective treatment for patients with symptomatic intracranial atherosclerotic stenosis.</p>\",\"PeriodicalId\":42218,\"journal\":{\"name\":\"Medical Bulletin of Sisli Etfal Hospital\",\"volume\":\"58 4\",\"pages\":\"430-436\"},\"PeriodicalIF\":0.9000,\"publicationDate\":\"2024-12-24\",\"publicationTypes\":\"Journal Article\",\"fieldsOfStudy\":null,\"isOpenAccess\":false,\"openAccessPdf\":\"https://www.ncbi.nlm.nih.gov/pmc/articles/PMC11729842/pdf/\",\"citationCount\":\"0\",\"resultStr\":null,\"platform\":\"Semanticscholar\",\"paperid\":null,\"PeriodicalName\":\"Medical Bulletin of Sisli Etfal Hospital\",\"FirstCategoryId\":\"1085\",\"ListUrlMain\":\"https://doi.org/10.14744/SEMB.2024.75317\",\"RegionNum\":0,\"RegionCategory\":null,\"ArticlePicture\":[],\"TitleCN\":null,\"AbstractTextCN\":null,\"PMCID\":null,\"EPubDate\":\"2024/1/1 0:00:00\",\"PubModel\":\"eCollection\",\"JCR\":\"Q3\",\"JCRName\":\"MEDICINE, GENERAL & INTERNAL\",\"Score\":null,\"Total\":0}","platform":"Semanticscholar","paperid":null,"PeriodicalName":"Medical Bulletin of Sisli Etfal Hospital","FirstCategoryId":"1085","ListUrlMain":"https://doi.org/10.14744/SEMB.2024.75317","RegionNum":0,"RegionCategory":null,"ArticlePicture":[],"TitleCN":null,"AbstractTextCN":null,"PMCID":null,"EPubDate":"2024/1/1 0:00:00","PubModel":"eCollection","JCR":"Q3","JCRName":"MEDICINE, GENERAL & INTERNAL","Score":null,"Total":0}
引用次数: 0

摘要

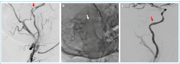
目的:评价有症状的颅内狭窄患者对药物干预反应不充分的血管内治疗的疗效和临床结果。方法:该研究纳入了32例于2021年12月至2023年12月期间因颅内高级别(70%-99%严重程度)动脉粥样硬化性狭窄接受血管内治疗的患者。患者在最近三周内未发生任何急性缺血性或出血性梗死,基线时改良兰金量表评分≤3分,尽管接受了最好的药物治疗,但仍发生过短暂性缺血性发作或非致残性卒中。记录技术和临床成功率、死亡率和并发症发生率。结果:纳入研究的32例患者中,男性占62.5% (n=20),平均年龄66.4±10.09岁。43.8% (n=14)的患者行颅内颈内动脉支架植入术,37.5% (n=12)的患者行硬膜内椎动脉支架植入术,12.5% (n=4)的患者行大脑中动脉支架植入术,6.3% (n=2)的患者行基底动脉支架植入术。技术成功率100%,临床成功率87.5%。术前平均狭窄度为91.7±6.3%,术后残余狭窄度为22.1±4.7%。Neuroform Atlas®支架系统18例(56.3%),Credo®支架8例(25%),冠状动脉球囊可扩张支架4例(12.5%),LVIS®支架系统2例(6.3%)。28例(87.5%)患者在前30天没有任何症状,2例(6.2%)患者发生缺血性卒中,1例(3.1%)患者发生出血性卒中,1例(3.1%)患者死亡。结论:在精心挑选的患者中进行血管内治疗,量身定制的治疗亚型选择,以及一个经验丰富的多学科团队在手术前、手术中和手术后对患者进行监督,有可能为有症状的颅内动脉粥样硬化性狭窄患者提供安全有效的治疗。
本文章由计算机程序翻译,如有差异,请以英文原文为准。

Endovascular Treatment in Symptomatic Intracranial Artery Stenosis: Experience from Two Centers.

Endovascular Treatment in Symptomatic Intracranial Artery Stenosis: Experience from Two Centers.

Endovascular Treatment in Symptomatic Intracranial Artery Stenosis: Experience from Two Centers.

Endovascular Treatment in Symptomatic Intracranial Artery Stenosis: Experience from Two Centers.

Objectives: To assess the efficacy of endovascular treatment and clinical outcomes in individuals with symptomatic intracranial stenosis who had not responded adequately to medical intervention.

Methods: The study included 32 patients who received endovascular treatment due to high-grade (70%-99% severity) intracranial atherosclerotic stenosis from December 2021 to December 2023. The patients had not experienced any acute ischemic or hemorrhagic infarction within the last three weeks, had a Modified Rankin Scale score of ≤3 at baseline, and developed a transient ischemic attack or non-disabling stroke despite having received the best medical treatment. Technical and clinical success, mortality, and complication rates were recorded.

Results: Of the 32 patients included in the study, 62.5% (n=20) were male, and the mean age was 66.4±10.09 years. Stenting was performed on the intracranial internal carotid artery in 43.8% (n=14) of the patients, the intradural vertebral artery in 37.5% (n=12), the middle cerebral artery in 12.5% (n=4), and the basilar artery in 6.3% (n=2). The technical success rate was 100%, and the clinical success rate was 87.5%. The mean degree of stenosis before the procedure was 91.7±6.3%, and the degree of residual stenosis after the procedure was 22.1±4.7%. The Neuroform Atlas® stent system was used in 18 cases (56.3%), Credo® stents in eight (25%), coronary balloon-expandable stents in four (12.5%), and the LVIS® stent system in two (6.3%). Twenty-eight (87.5%) patients did not have any symptoms in the first 30 days, while two (6.2%) patients had an ischemic stroke, one (3.1%) patient had a hemorrhagic stroke, and one (3.1%) died.

Conclusion: Endovascular treatment in carefully selected patients, a tailored selection of treatment subtypes, and an experienced multidisciplinary team overseeing the patient before, during, and after the procedure have the potential to provide safe and effective treatment for patients with symptomatic intracranial atherosclerotic stenosis.

求助全文
通过发布文献求助,成功后即可免费获取论文全文。 去求助
来源期刊
Medical Bulletin of Sisli Etfal Hospital
Medical Bulletin of Sisli Etfal Hospital MEDICINE, GENERAL & INTERNAL-
自引率
16.70%
发文量
41
×
引用
GB/T 7714-2015
复制
MLA
复制
APA
复制
导出至
BibTeX EndNote RefMan NoteFirst NoteExpress
×
提示
您的信息不完整,为了账户安全,请先补充。
现在去补充
×
提示
您因"违规操作"
具体请查看互助需知
我知道了
×
提示
确定
请完成安全验证×
copy
已复制链接
快去分享给好友吧!
我知道了
右上角分享
点击右上角分享
0
联系我们:info@booksci.cn Book学术提供免费学术资源搜索服务,方便国内外学者检索中英文文献。致力于提供最便捷和优质的服务体验。 Copyright © 2023 布克学术 All rights reserved.
京ICP备2023020795号-1
ghs 京公网安备 11010802042870号
Book学术文献互助
Book学术文献互助群
群 号:604180095
Book学术官方微信