白癜风犬的前葡萄膜炎和葡萄膜色素沉着。

Q3 Veterinary
Case Reports in Veterinary Medicine Pub Date : 2025-01-13 eCollection Date: 2025-01-01 DOI:10.1155/crve/6586766
Eric C Ledbetter, Irini D Lamkin, Jeanine Peters-Kennedy
{"title":"白癜风犬的前葡萄膜炎和葡萄膜色素沉着。","authors":"Eric C Ledbetter, Irini D Lamkin, Jeanine Peters-Kennedy","doi":"10.1155/crve/6586766","DOIUrl":null,"url":null,"abstract":"<p><p><b>Objective:</b> The objective of this study is to describe the clinical and histologic features of a dog that developed anterior uveitis and uveal depigmentation in association with vitiligo. <b>Animal Studied:</b> A 3-year-old, female-spayed, Bernese Mountain Dog with a history of bilateral idiopathic anterior uveitis developed iris depigmentation, leukotrichia, and skin depigmentation. <b>Procedures:</b> The initial diagnostic evaluation for uveitis was unremarkable, including general bloodwork, urinalysis, infectious disease testing, thoracic radiographs, and abdominal ultrasound. After the development of dermatologic disease, uveodermatologic syndrome was clinically suspected and cutaneous biopsy specimens were collected for histopathology. <b>Results:</b> Cutaneous histopathology was consistent with vitiligo. Progressive and diffuse skin and hair depigmentation occurred over several years, but the dog's anterior uveitis remained well controlled on relatively minimal topical anti-inflammatory medications. No posterior segment ocular lesions developed, and the dog remained visual. <b>Conclusions and Clinical Relevance:</b> This report indicates that anterior uveitis and uveal depigmentation can develop in dogs associated with vitiligo. The presence of bilateral uveitis and uveal depigmentation, concurrent with skin and hair depigmentation, is often considered suggestive of uveodermatologic syndrome in a dog. This report illustrates the importance of cutaneous histopathology to confirm a clinical suspicion even in the most suggestive of clinical presentations.</p>","PeriodicalId":37339,"journal":{"name":"Case Reports in Veterinary Medicine","volume":"2025 ","pages":"6586766"},"PeriodicalIF":0.0000,"publicationDate":"2025-01-13","publicationTypes":"Journal Article","fieldsOfStudy":null,"isOpenAccess":false,"openAccessPdf":"https://www.ncbi.nlm.nih.gov/pmc/articles/PMC11745554/pdf/","citationCount":"0","resultStr":"{\"title\":\"Anterior Uveitis and Uveal Depigmentation in a Dog With Vitiligo.\",\"authors\":\"Eric C Ledbetter, Irini D Lamkin, Jeanine Peters-Kennedy\",\"doi\":\"10.1155/crve/6586766\",\"DOIUrl\":null,\"url\":null,\"abstract\":\"<p><p><b>Objective:</b> The objective of this study is to describe the clinical and histologic features of a dog that developed anterior uveitis and uveal depigmentation in association with vitiligo. <b>Animal Studied:</b> A 3-year-old, female-spayed, Bernese Mountain Dog with a history of bilateral idiopathic anterior uveitis developed iris depigmentation, leukotrichia, and skin depigmentation. <b>Procedures:</b> The initial diagnostic evaluation for uveitis was unremarkable, including general bloodwork, urinalysis, infectious disease testing, thoracic radiographs, and abdominal ultrasound. After the development of dermatologic disease, uveodermatologic syndrome was clinically suspected and cutaneous biopsy specimens were collected for histopathology. <b>Results:</b> Cutaneous histopathology was consistent with vitiligo. Progressive and diffuse skin and hair depigmentation occurred over several years, but the dog's anterior uveitis remained well controlled on relatively minimal topical anti-inflammatory medications. No posterior segment ocular lesions developed, and the dog remained visual. <b>Conclusions and Clinical Relevance:</b> This report indicates that anterior uveitis and uveal depigmentation can develop in dogs associated with vitiligo. The presence of bilateral uveitis and uveal depigmentation, concurrent with skin and hair depigmentation, is often considered suggestive of uveodermatologic syndrome in a dog. This report illustrates the importance of cutaneous histopathology to confirm a clinical suspicion even in the most suggestive of clinical presentations.</p>\",\"PeriodicalId\":37339,\"journal\":{\"name\":\"Case Reports in Veterinary Medicine\",\"volume\":\"2025 \",\"pages\":\"6586766\"},\"PeriodicalIF\":0.0000,\"publicationDate\":\"2025-01-13\",\"publicationTypes\":\"Journal Article\",\"fieldsOfStudy\":null,\"isOpenAccess\":false,\"openAccessPdf\":\"https://www.ncbi.nlm.nih.gov/pmc/articles/PMC11745554/pdf/\",\"citationCount\":\"0\",\"resultStr\":null,\"platform\":\"Semanticscholar\",\"paperid\":null,\"PeriodicalName\":\"Case Reports in Veterinary Medicine\",\"FirstCategoryId\":\"1085\",\"ListUrlMain\":\"https://doi.org/10.1155/crve/6586766\",\"RegionNum\":0,\"RegionCategory\":null,\"ArticlePicture\":[],\"TitleCN\":null,\"AbstractTextCN\":null,\"PMCID\":null,\"EPubDate\":\"2025/1/1 0:00:00\",\"PubModel\":\"eCollection\",\"JCR\":\"Q3\",\"JCRName\":\"Veterinary\",\"Score\":null,\"Total\":0}","platform":"Semanticscholar","paperid":null,"PeriodicalName":"Case Reports in Veterinary Medicine","FirstCategoryId":"1085","ListUrlMain":"https://doi.org/10.1155/crve/6586766","RegionNum":0,"RegionCategory":null,"ArticlePicture":[],"TitleCN":null,"AbstractTextCN":null,"PMCID":null,"EPubDate":"2025/1/1 0:00:00","PubModel":"eCollection","JCR":"Q3","JCRName":"Veterinary","Score":null,"Total":0}
引用次数: 0

摘要

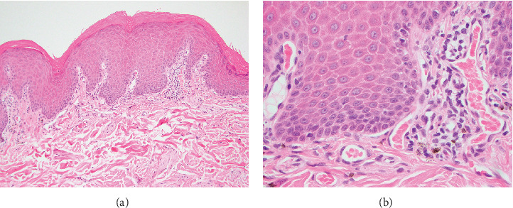
目的:本研究的目的是描述与白癜风相关的狗发展前葡萄膜炎和葡萄膜色素沉着的临床和组织学特征。研究动物:一只3岁雌性绝种伯恩山犬,有双侧特发性前葡萄膜炎病史,出现虹膜色素沉着、白斑和皮肤色素沉着。程序:葡萄膜炎的初步诊断评价一般,包括一般血液检查、尿液分析、传染病检查、胸片和腹部超声检查。在皮肤病发展后,临床怀疑葡萄膜皮肤病综合征,并采集皮肤活检标本进行组织病理学检查。结果:皮肤组织病理学符合白癜风。进行性和弥漫性皮肤和毛发色素脱色发生在几年内,但狗的前葡萄膜炎在相对少量的局部抗炎药物的控制下仍然很好。没有后段眼部病变发生,狗保持视力。结论和临床意义:本报告表明,与白癜风相关的狗可能发生葡萄膜前炎和葡萄膜色素沉着。双侧葡萄膜炎和葡萄膜色素沉着,同时伴有皮肤和毛发色素沉着,通常被认为是犬葡萄膜皮肤病综合征的提示。本报告说明了即使在最具提示性的临床表现中,皮肤组织病理学对证实临床怀疑的重要性。
本文章由计算机程序翻译,如有差异,请以英文原文为准。

Anterior Uveitis and Uveal Depigmentation in a Dog With Vitiligo.

Anterior Uveitis and Uveal Depigmentation in a Dog With Vitiligo.

Anterior Uveitis and Uveal Depigmentation in a Dog With Vitiligo.

Anterior Uveitis and Uveal Depigmentation in a Dog With Vitiligo.

Objective: The objective of this study is to describe the clinical and histologic features of a dog that developed anterior uveitis and uveal depigmentation in association with vitiligo. Animal Studied: A 3-year-old, female-spayed, Bernese Mountain Dog with a history of bilateral idiopathic anterior uveitis developed iris depigmentation, leukotrichia, and skin depigmentation. Procedures: The initial diagnostic evaluation for uveitis was unremarkable, including general bloodwork, urinalysis, infectious disease testing, thoracic radiographs, and abdominal ultrasound. After the development of dermatologic disease, uveodermatologic syndrome was clinically suspected and cutaneous biopsy specimens were collected for histopathology. Results: Cutaneous histopathology was consistent with vitiligo. Progressive and diffuse skin and hair depigmentation occurred over several years, but the dog's anterior uveitis remained well controlled on relatively minimal topical anti-inflammatory medications. No posterior segment ocular lesions developed, and the dog remained visual. Conclusions and Clinical Relevance: This report indicates that anterior uveitis and uveal depigmentation can develop in dogs associated with vitiligo. The presence of bilateral uveitis and uveal depigmentation, concurrent with skin and hair depigmentation, is often considered suggestive of uveodermatologic syndrome in a dog. This report illustrates the importance of cutaneous histopathology to confirm a clinical suspicion even in the most suggestive of clinical presentations.

求助全文
通过发布文献求助,成功后即可免费获取论文全文。 去求助
来源期刊
Case Reports in Veterinary Medicine
Case Reports in Veterinary Medicine Veterinary-Veterinary (all)
CiteScore
0.70
自引率
0.00%
发文量
14
审稿时长
13 weeks
期刊介绍: Case Reports in Veterinary Medicine is a peer-reviewed, Open Access journal that publishes case reports and case series in all areas of veterinary medicine.
×
引用
GB/T 7714-2015
复制
MLA
复制
APA
复制
导出至
BibTeX EndNote RefMan NoteFirst NoteExpress
×
提示
您的信息不完整,为了账户安全,请先补充。
现在去补充
×
提示
您因"违规操作"
具体请查看互助需知
我知道了
×
提示
确定
请完成安全验证×
copy
已复制链接
快去分享给好友吧!
我知道了
右上角分享
点击右上角分享
0
联系我们:info@booksci.cn Book学术提供免费学术资源搜索服务,方便国内外学者检索中英文文献。致力于提供最便捷和优质的服务体验。 Copyright © 2023 布克学术 All rights reserved.
京ICP备2023020795号-1
ghs 京公网安备 11010802042870号
Book学术文献互助
Book学术文献互助群
群 号:604180095
Book学术官方微信