硬化性骨发育不良:一篇图画文章。

Q3 Medicine
Radiologia Brasileira Pub Date : 2025-01-06 eCollection Date: 2024-01-01 DOI:10.1590/0100-3984.2024.0058-en
Vinicius de Almeida Cavalcante Galdino, Marcelo Mantiolhe Martins, Vinícius Neves Marcos, Gabriel Fernandes Gonçalves, Rafaela Gonçalves Dias, Daniela Rambaldi Mileti
{"title":"硬化性骨发育不良:一篇图画文章。","authors":"Vinicius de Almeida Cavalcante Galdino, Marcelo Mantiolhe Martins, Vinícius Neves Marcos, Gabriel Fernandes Gonçalves, Rafaela Gonçalves Dias, Daniela Rambaldi Mileti","doi":"10.1590/0100-3984.2024.0058-en","DOIUrl":null,"url":null,"abstract":"<p><p>Sclerosing bone dysplasias encompass abnormalities in bone density, divided into hereditary and nonhereditary forms. Primarily diagnosed through radiography, they are often incidental findings. Among the hereditary forms, the following stand out: osteopetrosis, osteopoikilosis, multiple diaphyseal sclerosis (ribbing disease), osteopathia striata, and Camurati-Engelmann disease. Among the nonhereditary forms, intramedullary osteosclerosis and melorheostosis present specific radiographic characteristics. The main differential diagnoses include osteoblastic metastases, tuberous sclerosis, and renal osteodystrophy, requiring careful differentiation because of their similarities.</p>","PeriodicalId":20842,"journal":{"name":"Radiologia Brasileira","volume":"57 ","pages":"e20240058"},"PeriodicalIF":0.0000,"publicationDate":"2025-01-06","publicationTypes":"Journal Article","fieldsOfStudy":null,"isOpenAccess":false,"openAccessPdf":"https://www.ncbi.nlm.nih.gov/pmc/articles/PMC11736858/pdf/","citationCount":"0","resultStr":"{\"title\":\"Sclerosing bone dysplasias: a pictorial essay.\",\"authors\":\"Vinicius de Almeida Cavalcante Galdino, Marcelo Mantiolhe Martins, Vinícius Neves Marcos, Gabriel Fernandes Gonçalves, Rafaela Gonçalves Dias, Daniela Rambaldi Mileti\",\"doi\":\"10.1590/0100-3984.2024.0058-en\",\"DOIUrl\":null,\"url\":null,\"abstract\":\"<p><p>Sclerosing bone dysplasias encompass abnormalities in bone density, divided into hereditary and nonhereditary forms. Primarily diagnosed through radiography, they are often incidental findings. Among the hereditary forms, the following stand out: osteopetrosis, osteopoikilosis, multiple diaphyseal sclerosis (ribbing disease), osteopathia striata, and Camurati-Engelmann disease. Among the nonhereditary forms, intramedullary osteosclerosis and melorheostosis present specific radiographic characteristics. The main differential diagnoses include osteoblastic metastases, tuberous sclerosis, and renal osteodystrophy, requiring careful differentiation because of their similarities.</p>\",\"PeriodicalId\":20842,\"journal\":{\"name\":\"Radiologia Brasileira\",\"volume\":\"57 \",\"pages\":\"e20240058\"},\"PeriodicalIF\":0.0000,\"publicationDate\":\"2025-01-06\",\"publicationTypes\":\"Journal Article\",\"fieldsOfStudy\":null,\"isOpenAccess\":false,\"openAccessPdf\":\"https://www.ncbi.nlm.nih.gov/pmc/articles/PMC11736858/pdf/\",\"citationCount\":\"0\",\"resultStr\":null,\"platform\":\"Semanticscholar\",\"paperid\":null,\"PeriodicalName\":\"Radiologia Brasileira\",\"FirstCategoryId\":\"1085\",\"ListUrlMain\":\"https://doi.org/10.1590/0100-3984.2024.0058-en\",\"RegionNum\":0,\"RegionCategory\":null,\"ArticlePicture\":[],\"TitleCN\":null,\"AbstractTextCN\":null,\"PMCID\":null,\"EPubDate\":\"2024/1/1 0:00:00\",\"PubModel\":\"eCollection\",\"JCR\":\"Q3\",\"JCRName\":\"Medicine\",\"Score\":null,\"Total\":0}","platform":"Semanticscholar","paperid":null,"PeriodicalName":"Radiologia Brasileira","FirstCategoryId":"1085","ListUrlMain":"https://doi.org/10.1590/0100-3984.2024.0058-en","RegionNum":0,"RegionCategory":null,"ArticlePicture":[],"TitleCN":null,"AbstractTextCN":null,"PMCID":null,"EPubDate":"2024/1/1 0:00:00","PubModel":"eCollection","JCR":"Q3","JCRName":"Medicine","Score":null,"Total":0}
引用次数: 0

摘要

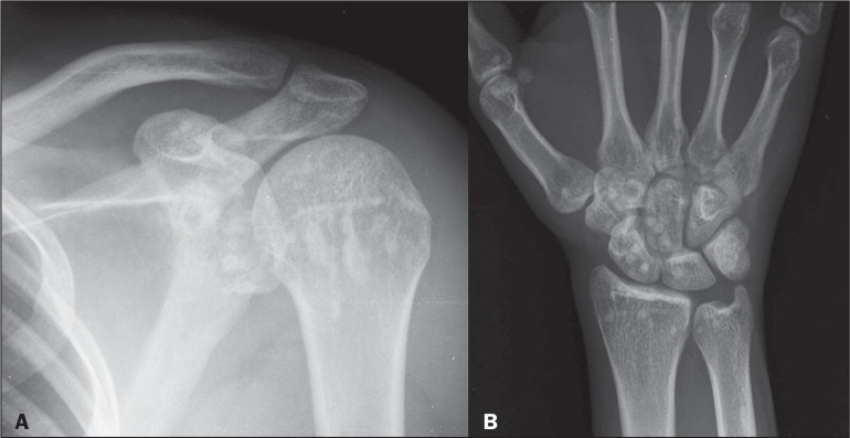
硬化性骨发育不良包括骨密度异常,分为遗传性和非遗传性形式。主要通过x线摄影诊断,通常是偶然发现的。在遗传形式中,以下是最突出的:骨质疏松症、骨质疏松症、多发性骨干硬化(肋病)、纹状骨病和Camurati-Engelmann病。在非遗传性形式中,髓内骨硬化和骨质疏松症具有特定的影像学特征。主要的鉴别诊断包括成骨细胞转移、结节性硬化症和肾性骨营养不良,由于它们的相似性,需要仔细鉴别。
本文章由计算机程序翻译,如有差异,请以英文原文为准。

Sclerosing bone dysplasias: a pictorial essay.

Sclerosing bone dysplasias: a pictorial essay.

Sclerosing bone dysplasias: a pictorial essay.

Sclerosing bone dysplasias: a pictorial essay.

Sclerosing bone dysplasias encompass abnormalities in bone density, divided into hereditary and nonhereditary forms. Primarily diagnosed through radiography, they are often incidental findings. Among the hereditary forms, the following stand out: osteopetrosis, osteopoikilosis, multiple diaphyseal sclerosis (ribbing disease), osteopathia striata, and Camurati-Engelmann disease. Among the nonhereditary forms, intramedullary osteosclerosis and melorheostosis present specific radiographic characteristics. The main differential diagnoses include osteoblastic metastases, tuberous sclerosis, and renal osteodystrophy, requiring careful differentiation because of their similarities.

求助全文
通过发布文献求助,成功后即可免费获取论文全文。 去求助
来源期刊
Radiologia Brasileira
Radiologia Brasileira Medicine-Radiology, Nuclear Medicine and Imaging
CiteScore
2.60
自引率
0.00%
发文量
75
审稿时长
28 weeks
×
引用
GB/T 7714-2015
复制
MLA
复制
APA
复制
导出至
BibTeX EndNote RefMan NoteFirst NoteExpress
×
提示
您的信息不完整,为了账户安全,请先补充。
现在去补充
×
提示
您因"违规操作"
具体请查看互助需知
我知道了
×
提示
确定
请完成安全验证×
copy
已复制链接
快去分享给好友吧!
我知道了
右上角分享
点击右上角分享
0
联系我们:info@booksci.cn Book学术提供免费学术资源搜索服务,方便国内外学者检索中英文文献。致力于提供最便捷和优质的服务体验。 Copyright © 2023 布克学术 All rights reserved.
京ICP备2023020795号-1
ghs 京公网安备 11010802042870号
Book学术文献互助
Book学术文献互助群
群 号:604180095
Book学术官方微信