非肿瘤性和肿瘤性阴囊病理在磁共振成像:图片文章。

Q3 Medicine
Radiologia Brasileira Pub Date : 2025-01-06 eCollection Date: 2024-01-01 DOI:10.1590/0100-3984.2024.0073-en
Thiago de Oliveira Caetano, Alice Schuch, Ivan Morzoletto Pedrollo
{"title":"非肿瘤性和肿瘤性阴囊病理在磁共振成像:图片文章。","authors":"Thiago de Oliveira Caetano, Alice Schuch, Ivan Morzoletto Pedrollo","doi":"10.1590/0100-3984.2024.0073-en","DOIUrl":null,"url":null,"abstract":"<p><p>Magnetic resonance imaging is an essential tool for the assessment of the scrotum, particularly in cases with inconclusive ultrasound findings. It has a great capacity to differentiate between intratesticular and extratesticular lesions, as well as between neoplastic and non-neoplastic lesions. By providing an accurate characterization of lesions, magnetic resonance imaging plays a crucial role in preoperative tumor staging and decision-making. This pictorial essay highlights the key non-neoplastic and neoplastic testicular pathologies, as evaluated by magnetic resonance imaging. The recognition of these pathologies underscores the role the radiologists play in the care of patients with scrotal lesions, by providing an appropriate evaluation of the relevant imaging characteristics.</p>","PeriodicalId":20842,"journal":{"name":"Radiologia Brasileira","volume":"57 ","pages":"e20240073"},"PeriodicalIF":0.0000,"publicationDate":"2025-01-06","publicationTypes":"Journal Article","fieldsOfStudy":null,"isOpenAccess":false,"openAccessPdf":"https://www.ncbi.nlm.nih.gov/pmc/articles/PMC11737096/pdf/","citationCount":"0","resultStr":"{\"title\":\"Non-neoplastic and neoplastic scrotal pathologies on magnetic resonance imaging: a pictorial essay.\",\"authors\":\"Thiago de Oliveira Caetano, Alice Schuch, Ivan Morzoletto Pedrollo\",\"doi\":\"10.1590/0100-3984.2024.0073-en\",\"DOIUrl\":null,\"url\":null,\"abstract\":\"<p><p>Magnetic resonance imaging is an essential tool for the assessment of the scrotum, particularly in cases with inconclusive ultrasound findings. It has a great capacity to differentiate between intratesticular and extratesticular lesions, as well as between neoplastic and non-neoplastic lesions. By providing an accurate characterization of lesions, magnetic resonance imaging plays a crucial role in preoperative tumor staging and decision-making. This pictorial essay highlights the key non-neoplastic and neoplastic testicular pathologies, as evaluated by magnetic resonance imaging. The recognition of these pathologies underscores the role the radiologists play in the care of patients with scrotal lesions, by providing an appropriate evaluation of the relevant imaging characteristics.</p>\",\"PeriodicalId\":20842,\"journal\":{\"name\":\"Radiologia Brasileira\",\"volume\":\"57 \",\"pages\":\"e20240073\"},\"PeriodicalIF\":0.0000,\"publicationDate\":\"2025-01-06\",\"publicationTypes\":\"Journal Article\",\"fieldsOfStudy\":null,\"isOpenAccess\":false,\"openAccessPdf\":\"https://www.ncbi.nlm.nih.gov/pmc/articles/PMC11737096/pdf/\",\"citationCount\":\"0\",\"resultStr\":null,\"platform\":\"Semanticscholar\",\"paperid\":null,\"PeriodicalName\":\"Radiologia Brasileira\",\"FirstCategoryId\":\"1085\",\"ListUrlMain\":\"https://doi.org/10.1590/0100-3984.2024.0073-en\",\"RegionNum\":0,\"RegionCategory\":null,\"ArticlePicture\":[],\"TitleCN\":null,\"AbstractTextCN\":null,\"PMCID\":null,\"EPubDate\":\"2024/1/1 0:00:00\",\"PubModel\":\"eCollection\",\"JCR\":\"Q3\",\"JCRName\":\"Medicine\",\"Score\":null,\"Total\":0}","platform":"Semanticscholar","paperid":null,"PeriodicalName":"Radiologia Brasileira","FirstCategoryId":"1085","ListUrlMain":"https://doi.org/10.1590/0100-3984.2024.0073-en","RegionNum":0,"RegionCategory":null,"ArticlePicture":[],"TitleCN":null,"AbstractTextCN":null,"PMCID":null,"EPubDate":"2024/1/1 0:00:00","PubModel":"eCollection","JCR":"Q3","JCRName":"Medicine","Score":null,"Total":0}
引用次数: 0

摘要

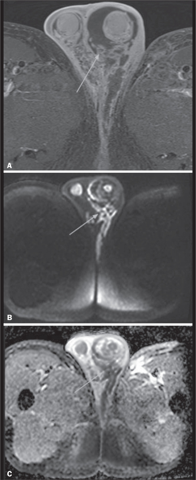
磁共振成像是评估阴囊的重要工具,特别是在超声检查结果不确定的情况下。它有很大的能力区分睾丸内和睾丸外病变,以及肿瘤和非肿瘤病变。通过提供准确的病变特征,磁共振成像在术前肿瘤分期和决策中起着至关重要的作用。这篇图片文章强调了主要的非肿瘤性和肿瘤性睾丸病理,作为评价磁共振成像。对这些病理的认识强调了放射科医生在治疗阴囊病变患者中的作用,通过提供相关影像学特征的适当评估。
本文章由计算机程序翻译,如有差异,请以英文原文为准。

Non-neoplastic and neoplastic scrotal pathologies on magnetic resonance imaging: a pictorial essay.

Non-neoplastic and neoplastic scrotal pathologies on magnetic resonance imaging: a pictorial essay.

Non-neoplastic and neoplastic scrotal pathologies on magnetic resonance imaging: a pictorial essay.

Non-neoplastic and neoplastic scrotal pathologies on magnetic resonance imaging: a pictorial essay.

Magnetic resonance imaging is an essential tool for the assessment of the scrotum, particularly in cases with inconclusive ultrasound findings. It has a great capacity to differentiate between intratesticular and extratesticular lesions, as well as between neoplastic and non-neoplastic lesions. By providing an accurate characterization of lesions, magnetic resonance imaging plays a crucial role in preoperative tumor staging and decision-making. This pictorial essay highlights the key non-neoplastic and neoplastic testicular pathologies, as evaluated by magnetic resonance imaging. The recognition of these pathologies underscores the role the radiologists play in the care of patients with scrotal lesions, by providing an appropriate evaluation of the relevant imaging characteristics.

求助全文
通过发布文献求助,成功后即可免费获取论文全文。 去求助
来源期刊
Radiologia Brasileira
Radiologia Brasileira Medicine-Radiology, Nuclear Medicine and Imaging
CiteScore
2.60
自引率
0.00%
发文量
75
审稿时长
28 weeks
×
引用
GB/T 7714-2015
复制
MLA
复制
APA
复制
导出至
BibTeX EndNote RefMan NoteFirst NoteExpress
×
提示
您的信息不完整,为了账户安全,请先补充。
现在去补充
×
提示
您因"违规操作"
具体请查看互助需知
我知道了
×
提示
确定
请完成安全验证×
copy
已复制链接
快去分享给好友吧!
我知道了
右上角分享
点击右上角分享
0
联系我们:info@booksci.cn Book学术提供免费学术资源搜索服务,方便国内外学者检索中英文文献。致力于提供最便捷和优质的服务体验。 Copyright © 2023 布克学术 All rights reserved.
京ICP备2023020795号-1
ghs 京公网安备 11010802042870号
Book学术文献互助
Book学术文献互助群
群 号:604180095
Book学术官方微信