妊娠早期多普勒超声预测抗磷脂综合征和血栓形成所致复发性妊娠丢失的成功管理:一项队列研究。

IF 1.1 Q2 Medicine
Journal of Human Reproductive Sciences Pub Date : 2024-10-01 Epub Date: 2024-12-23 DOI:10.4103/jhrs.jhrs_137_24
Muhammad Adrianes Bachnas, Uki Retno Budihastuti, Eriana Melinawati, Nutria Widya Purna Anggraini, Robert Ridwan, Lini Astetri, Agung Sari Wijayanti, Atthahira Amalia Hafiizha, Muhammad Denny Gagah Pradana, Aliffudin Nur, Muhammad Alamsyah Azis, Wiryawan Permadi, Luthfi Rahman, Jimmy Yanuar Annas, Daniel Jonathan Mangapul Siagian, Neissya Nastiti Firmanto, Gilang Rizqy Perdana Aries Rohman, Muhammad Ilham Aldika Akbar
{"title":"妊娠早期多普勒超声预测抗磷脂综合征和血栓形成所致复发性妊娠丢失的成功管理:一项队列研究。","authors":"Muhammad Adrianes Bachnas, Uki Retno Budihastuti, Eriana Melinawati, Nutria Widya Purna Anggraini, Robert Ridwan, Lini Astetri, Agung Sari Wijayanti, Atthahira Amalia Hafiizha, Muhammad Denny Gagah Pradana, Aliffudin Nur, Muhammad Alamsyah Azis, Wiryawan Permadi, Luthfi Rahman, Jimmy Yanuar Annas, Daniel Jonathan Mangapul Siagian, Neissya Nastiti Firmanto, Gilang Rizqy Perdana Aries Rohman, Muhammad Ilham Aldika Akbar","doi":"10.4103/jhrs.jhrs_137_24","DOIUrl":null,"url":null,"abstract":"<p><strong>Background: </strong>Recurrent pregnancy loss (RPL) often stems from a hypercoagulable state that exacerbates conditions such as antiphospholipid syndrome (APS) and thrombophilia, leading to early placental issues. Although treatments such as low-molecular-weight heparin (LMWH) and low-dose aspirin (LDA) are used, outcomes vary. This study proposes using first-trimester Doppler ultrasound - specifically, uterine radial artery resistance index (URa-RI) at 8 weeks and uterine artery pulsatility index (Ut-PI) with pre-diastolic notching (Ut-notch) at 11-13 weeks - to better predict successful pregnancies and reduce risks of adverse outcomes.</p><p><strong>Aim: </strong>The aim of this study was to evaluate URa-RI, Ut-PI and Ut-notch between successful pregnancy and not successful and between pregnancy with adverse events and without.</p><p><strong>Settings and design: </strong>The study was conducted in a clinical setting, using a retrospective cohort design on a sample of 72 patients with a history of two or more RPL episodes.</p><p><strong>Materials and methods: </strong>Data on URa-RI measured at 8 weeks and Ut-PI and Ut-notch measured at 11-13 weeks were collected. Maternal characteristics - including age, BMI, number of pregnancy losses, etiopathology and immuno-inflammatory response - were considered in the analysis.</p><p><strong>Statistical analysis used: </strong>Comparative statistical analysis was performed on URa-RI, Ut-PI and Ut-notch data, evaluating their associations with pregnancy success and adverse outcomes. Variables were statistically compared between successful and unsuccessful pregnancies and also analysed for adverse events. Analysis was performed using SPSS (IBM, 27<sup>th</sup> edition). Chi-square tests were applied to nominal categories and multivariate logistic regression adjusted for age, body mass index (BMI), previous pregnancy losses, etiopathology and antinuclear antibody positivity. Primary outcomes (URa-RI, Ut-PI and Ut-notch) were reported with odds ratios and 95% confidence intervals (CIs).</p><p><strong>Results: </strong>Low URa-RI (<0.45) at 8 weeks gives a 16.4 times higher chance for the management to be successful and result in a healthy take-home baby (95% CI = 4.4-61, <i>P</i> < 0.0001). The mean URa-RI was also significantly higher in unsuccessful pregnancy (0.50 ± 0.09 vs. 0.38 ± 0.04, <i>P</i> < 0.0001). High Ut-PI and positive Ut-notch result in a significant increase of adverse event risk, which are 19.4 times and 8.1 times, respectively (95% CI = 4.2-51.6 and 3.12-20.5, <i>P</i> < 0.0001).</p><p><strong>Conclusion: </strong>This study demonstrates the utility of first-trimester Doppler ultrasound (URa-RI, Ut-PI and Ut-notch) in predicting pregnancy success and adverse events in patients with RPL, particularly those managed with LMWH and LDA. These ultrasound markers may provide valuable guidance in managing and anticipating outcomes in RPL cases related to thrombophilia and APS.</p>","PeriodicalId":15975,"journal":{"name":"Journal of Human Reproductive Sciences","volume":"17 4","pages":"261-268"},"PeriodicalIF":1.1000,"publicationDate":"2024-10-01","publicationTypes":"Journal Article","fieldsOfStudy":null,"isOpenAccess":false,"openAccessPdf":"https://www.ncbi.nlm.nih.gov/pmc/articles/PMC11741118/pdf/","citationCount":"0","resultStr":"{\"title\":\"First-trimester Doppler Ultrasound for Predicting Successful Management of Pregnancy with Recurrent Pregnancy Losses Due to Antiphospholipid Syndrome and Thrombophilia: A Cohort Study.\",\"authors\":\"Muhammad Adrianes Bachnas, Uki Retno Budihastuti, Eriana Melinawati, Nutria Widya Purna Anggraini, Robert Ridwan, Lini Astetri, Agung Sari Wijayanti, Atthahira Amalia Hafiizha, Muhammad Denny Gagah Pradana, Aliffudin Nur, Muhammad Alamsyah Azis, Wiryawan Permadi, Luthfi Rahman, Jimmy Yanuar Annas, Daniel Jonathan Mangapul Siagian, Neissya Nastiti Firmanto, Gilang Rizqy Perdana Aries Rohman, Muhammad Ilham Aldika Akbar\",\"doi\":\"10.4103/jhrs.jhrs_137_24\",\"DOIUrl\":null,\"url\":null,\"abstract\":\"<p><strong>Background: </strong>Recurrent pregnancy loss (RPL) often stems from a hypercoagulable state that exacerbates conditions such as antiphospholipid syndrome (APS) and thrombophilia, leading to early placental issues. Although treatments such as low-molecular-weight heparin (LMWH) and low-dose aspirin (LDA) are used, outcomes vary. This study proposes using first-trimester Doppler ultrasound - specifically, uterine radial artery resistance index (URa-RI) at 8 weeks and uterine artery pulsatility index (Ut-PI) with pre-diastolic notching (Ut-notch) at 11-13 weeks - to better predict successful pregnancies and reduce risks of adverse outcomes.</p><p><strong>Aim: </strong>The aim of this study was to evaluate URa-RI, Ut-PI and Ut-notch between successful pregnancy and not successful and between pregnancy with adverse events and without.</p><p><strong>Settings and design: </strong>The study was conducted in a clinical setting, using a retrospective cohort design on a sample of 72 patients with a history of two or more RPL episodes.</p><p><strong>Materials and methods: </strong>Data on URa-RI measured at 8 weeks and Ut-PI and Ut-notch measured at 11-13 weeks were collected. Maternal characteristics - including age, BMI, number of pregnancy losses, etiopathology and immuno-inflammatory response - were considered in the analysis.</p><p><strong>Statistical analysis used: </strong>Comparative statistical analysis was performed on URa-RI, Ut-PI and Ut-notch data, evaluating their associations with pregnancy success and adverse outcomes. Variables were statistically compared between successful and unsuccessful pregnancies and also analysed for adverse events. Analysis was performed using SPSS (IBM, 27<sup>th</sup> edition). Chi-square tests were applied to nominal categories and multivariate logistic regression adjusted for age, body mass index (BMI), previous pregnancy losses, etiopathology and antinuclear antibody positivity. Primary outcomes (URa-RI, Ut-PI and Ut-notch) were reported with odds ratios and 95% confidence intervals (CIs).</p><p><strong>Results: </strong>Low URa-RI (<0.45) at 8 weeks gives a 16.4 times higher chance for the management to be successful and result in a healthy take-home baby (95% CI = 4.4-61, <i>P</i> < 0.0001). The mean URa-RI was also significantly higher in unsuccessful pregnancy (0.50 ± 0.09 vs. 0.38 ± 0.04, <i>P</i> < 0.0001). High Ut-PI and positive Ut-notch result in a significant increase of adverse event risk, which are 19.4 times and 8.1 times, respectively (95% CI = 4.2-51.6 and 3.12-20.5, <i>P</i> < 0.0001).</p><p><strong>Conclusion: </strong>This study demonstrates the utility of first-trimester Doppler ultrasound (URa-RI, Ut-PI and Ut-notch) in predicting pregnancy success and adverse events in patients with RPL, particularly those managed with LMWH and LDA. These ultrasound markers may provide valuable guidance in managing and anticipating outcomes in RPL cases related to thrombophilia and APS.</p>\",\"PeriodicalId\":15975,\"journal\":{\"name\":\"Journal of Human Reproductive Sciences\",\"volume\":\"17 4\",\"pages\":\"261-268\"},\"PeriodicalIF\":1.1000,\"publicationDate\":\"2024-10-01\",\"publicationTypes\":\"Journal Article\",\"fieldsOfStudy\":null,\"isOpenAccess\":false,\"openAccessPdf\":\"https://www.ncbi.nlm.nih.gov/pmc/articles/PMC11741118/pdf/\",\"citationCount\":\"0\",\"resultStr\":null,\"platform\":\"Semanticscholar\",\"paperid\":null,\"PeriodicalName\":\"Journal of Human Reproductive Sciences\",\"FirstCategoryId\":\"1085\",\"ListUrlMain\":\"https://doi.org/10.4103/jhrs.jhrs_137_24\",\"RegionNum\":0,\"RegionCategory\":null,\"ArticlePicture\":[],\"TitleCN\":null,\"AbstractTextCN\":null,\"PMCID\":null,\"EPubDate\":\"2024/12/23 0:00:00\",\"PubModel\":\"Epub\",\"JCR\":\"Q2\",\"JCRName\":\"Medicine\",\"Score\":null,\"Total\":0}","platform":"Semanticscholar","paperid":null,"PeriodicalName":"Journal of Human Reproductive Sciences","FirstCategoryId":"1085","ListUrlMain":"https://doi.org/10.4103/jhrs.jhrs_137_24","RegionNum":0,"RegionCategory":null,"ArticlePicture":[],"TitleCN":null,"AbstractTextCN":null,"PMCID":null,"EPubDate":"2024/12/23 0:00:00","PubModel":"Epub","JCR":"Q2","JCRName":"Medicine","Score":null,"Total":0}
引用次数: 0

摘要

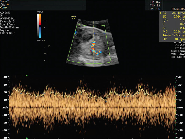
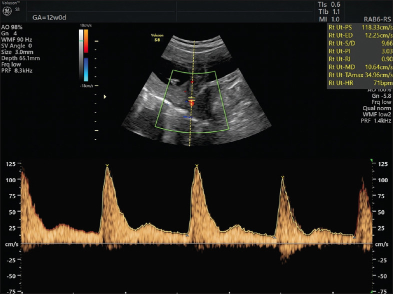
背景:复发性妊娠丢失(RPL)通常源于高凝状态,这加剧了抗磷脂综合征(APS)和血栓形成,导致早期胎盘问题。尽管使用了低分子肝素(LMWH)和低剂量阿司匹林(LDA)等治疗方法,但结果各不相同。本研究建议使用妊娠早期多普勒超声-特别是8周时子宫桡动脉阻力指数(URa-RI)和11-13周时伴有舒张前缺口(Ut-notch)的子宫动脉搏动指数(Ut-PI) -来更好地预测妊娠成功并降低不良后果的风险。目的:本研究的目的是评估URa-RI、Ut-PI和Ut-notch在成功妊娠和不成功妊娠、有不良事件妊娠和无不良事件妊娠之间的差异。环境和设计:该研究在临床环境中进行,采用回顾性队列设计,样本为72例有两次或两次以上RPL发作史的患者。材料和方法:收集8周时URa-RI和11-13周时Ut-PI和Ut-notch的数据。分析中考虑了母亲的特征,包括年龄、体重指数、流产次数、病因和免疫炎症反应。采用统计学分析:对URa-RI、Ut-PI和Ut-notch数据进行比较统计学分析,评估其与妊娠成功和不良结局的关系。对成功和不成功怀孕的变量进行统计比较,并分析不良事件。使用SPSS (IBM,第27版)进行分析。卡方检验用于名义分类和多变量logistic回归校正年龄、体重指数(BMI)、既往妊娠损失、病因和抗核抗体阳性。主要结局(URa-RI、Ut-PI和Ut-notch)以比值比和95%置信区间(ci)进行报告。结果:URa-RI较低(P < 0.0001)。不成功妊娠的URa-RI平均值(0.50±0.09比0.38±0.04,P < 0.0001)也显著高于不成功妊娠。Ut-PI高、Ut-notch阳性导致不良事件风险显著增加,分别为19.4倍、8.1倍(95% CI = 4.2 ~ 51.6、3.12 ~ 20.5,P < 0.0001)。结论:本研究证明了妊娠早期多普勒超声(URa-RI, Ut-PI和Ut-notch)在预测RPL患者妊娠成功和不良事件方面的作用,特别是那些使用低分子肝素和LDA治疗的患者。这些超声标记物可能为管理和预测与血栓形成和APS相关的RPL病例的结果提供有价值的指导。
本文章由计算机程序翻译,如有差异,请以英文原文为准。

First-trimester Doppler Ultrasound for Predicting Successful Management of Pregnancy with Recurrent Pregnancy Losses Due to Antiphospholipid Syndrome and Thrombophilia: A Cohort Study.

First-trimester Doppler Ultrasound for Predicting Successful Management of Pregnancy with Recurrent Pregnancy Losses Due to Antiphospholipid Syndrome and Thrombophilia: A Cohort Study.

First-trimester Doppler Ultrasound for Predicting Successful Management of Pregnancy with Recurrent Pregnancy Losses Due to Antiphospholipid Syndrome and Thrombophilia: A Cohort Study.

Background: Recurrent pregnancy loss (RPL) often stems from a hypercoagulable state that exacerbates conditions such as antiphospholipid syndrome (APS) and thrombophilia, leading to early placental issues. Although treatments such as low-molecular-weight heparin (LMWH) and low-dose aspirin (LDA) are used, outcomes vary. This study proposes using first-trimester Doppler ultrasound - specifically, uterine radial artery resistance index (URa-RI) at 8 weeks and uterine artery pulsatility index (Ut-PI) with pre-diastolic notching (Ut-notch) at 11-13 weeks - to better predict successful pregnancies and reduce risks of adverse outcomes.

Aim: The aim of this study was to evaluate URa-RI, Ut-PI and Ut-notch between successful pregnancy and not successful and between pregnancy with adverse events and without.

Settings and design: The study was conducted in a clinical setting, using a retrospective cohort design on a sample of 72 patients with a history of two or more RPL episodes.

Materials and methods: Data on URa-RI measured at 8 weeks and Ut-PI and Ut-notch measured at 11-13 weeks were collected. Maternal characteristics - including age, BMI, number of pregnancy losses, etiopathology and immuno-inflammatory response - were considered in the analysis.

Statistical analysis used: Comparative statistical analysis was performed on URa-RI, Ut-PI and Ut-notch data, evaluating their associations with pregnancy success and adverse outcomes. Variables were statistically compared between successful and unsuccessful pregnancies and also analysed for adverse events. Analysis was performed using SPSS (IBM, 27th edition). Chi-square tests were applied to nominal categories and multivariate logistic regression adjusted for age, body mass index (BMI), previous pregnancy losses, etiopathology and antinuclear antibody positivity. Primary outcomes (URa-RI, Ut-PI and Ut-notch) were reported with odds ratios and 95% confidence intervals (CIs).

Results: Low URa-RI (<0.45) at 8 weeks gives a 16.4 times higher chance for the management to be successful and result in a healthy take-home baby (95% CI = 4.4-61, P < 0.0001). The mean URa-RI was also significantly higher in unsuccessful pregnancy (0.50 ± 0.09 vs. 0.38 ± 0.04, P < 0.0001). High Ut-PI and positive Ut-notch result in a significant increase of adverse event risk, which are 19.4 times and 8.1 times, respectively (95% CI = 4.2-51.6 and 3.12-20.5, P < 0.0001).

Conclusion: This study demonstrates the utility of first-trimester Doppler ultrasound (URa-RI, Ut-PI and Ut-notch) in predicting pregnancy success and adverse events in patients with RPL, particularly those managed with LMWH and LDA. These ultrasound markers may provide valuable guidance in managing and anticipating outcomes in RPL cases related to thrombophilia and APS.

求助全文
通过发布文献求助,成功后即可免费获取论文全文。 去求助
来源期刊
Journal of Human Reproductive Sciences
Journal of Human Reproductive Sciences Medicine-Reproductive Medicine
CiteScore
2.60
自引率
0.00%
发文量
50
审稿时长
23 weeks
期刊介绍: The Journal of Human Reproductive Sciences (JHRS) (ISSN:0974-1208) a Quarterly peer-reviewed international journal is being launched in January 2008 under the auspices of Indian Society of Assisted Reproduction. The journal will cover all aspects human reproduction including Andrology, Assisted conception, Endocrinology, Physiology and Pathology, Implantation, Preimplantation Diagnosis, Preimplantation Genetic Diagnosis, Embryology as well as Ethical, Legal and Social issues. The journal will publish peer-reviewed original research papers, case reports, systematic reviews, meta-analysis, and debates.
×
引用
GB/T 7714-2015
复制
MLA
复制
APA
复制
导出至
BibTeX EndNote RefMan NoteFirst NoteExpress
×
提示
您的信息不完整,为了账户安全,请先补充。
现在去补充
×
提示
您因"违规操作"
具体请查看互助需知
我知道了
×
提示
确定
请完成安全验证×
copy
已复制链接
快去分享给好友吧!
我知道了
右上角分享
点击右上角分享
0
联系我们:info@booksci.cn Book学术提供免费学术资源搜索服务,方便国内外学者检索中英文文献。致力于提供最便捷和优质的服务体验。 Copyright © 2023 布克学术 All rights reserved.
京ICP备2023020795号-1
ghs 京公网安备 11010802042870号
Book学术文献互助
Book学术文献互助群
群 号:604180095
Book学术官方微信