结节病伴IgA肾病1例:证实肾小球半乳糖缺乏IgA1沉积。

Case Reports in Nephrology Pub Date : 2025-01-08 eCollection Date: 2025-01-01 DOI:10.1155/crin/7366501
Yoshitaka Shimizu, Daisuke Ito, Mayumi Arakawa, Yuriko Shiozaki, Yumiko Suzuki, Seigo Ito, Naro Ohashi, Yoshihide Fujigaki, Akira Shimizu, Hideo Yasuda, Taro Misaki
{"title":"结节病伴IgA肾病1例:证实肾小球半乳糖缺乏IgA1沉积。","authors":"Yoshitaka Shimizu, Daisuke Ito, Mayumi Arakawa, Yuriko Shiozaki, Yumiko Suzuki, Seigo Ito, Naro Ohashi, Yoshihide Fujigaki, Akira Shimizu, Hideo Yasuda, Taro Misaki","doi":"10.1155/crin/7366501","DOIUrl":null,"url":null,"abstract":"<p><p>A 63-year-old Japanese housewife was admitted to our hospital because of hematuria and proteinuria lasting for 3 months. At the age of 59 years, she was diagnosed with neurosarcoidosis at another hospital, and she received oral glucocorticoid therapy for 1 year. Her serum angiotensin-converting enzyme (ACE) and 1, 25-dihydroxyvitamin D levels were elevated. Computed tomography showed lymphadenopathy of the tracheal bifurcation and diffuse nodular shadow in the lungs and liver. Renal biopsy findings were compatible with IgA nephropathy without noncaseating granulomas and glomerular galactose-deficient IgA1 (Gd-IgA1) was stained in mesangial area. Because of clinical suspicion of sarcoidosis, liver biopsy was also performed, which showed inflammation with multiple noncaseating granulomas. The patient was diagnosed with IgA nephropathy coincident with sarcoidosis. After oral administration of prednisolone, mild proteinuria persisted; however, serum creatinine level was normalized, hematuria disappeared, and serum ACE and 1, 25-dihydroxyvitamin D levels returned to normal. Although some patients with sarcoidosis occasionally present with glomerulonephritis, there have been few case reports of sarcoidosis with IgA nephropathy. This was the first case report in which glomerular Gd-IgA1 was identified in a patient with IgA nephropathy and sarcoidosis.</p>","PeriodicalId":9604,"journal":{"name":"Case Reports in Nephrology","volume":"2025 ","pages":"7366501"},"PeriodicalIF":0.0000,"publicationDate":"2025-01-08","publicationTypes":"Journal Article","fieldsOfStudy":null,"isOpenAccess":false,"openAccessPdf":"https://www.ncbi.nlm.nih.gov/pmc/articles/PMC11735058/pdf/","citationCount":"0","resultStr":"{\"title\":\"A Case of IgA Nephropathy in a Patient With Sarcoidosis: Confirmation of Glomerular Galactose-Deficient IgA1 Deposition.\",\"authors\":\"Yoshitaka Shimizu, Daisuke Ito, Mayumi Arakawa, Yuriko Shiozaki, Yumiko Suzuki, Seigo Ito, Naro Ohashi, Yoshihide Fujigaki, Akira Shimizu, Hideo Yasuda, Taro Misaki\",\"doi\":\"10.1155/crin/7366501\",\"DOIUrl\":null,\"url\":null,\"abstract\":\"<p><p>A 63-year-old Japanese housewife was admitted to our hospital because of hematuria and proteinuria lasting for 3 months. At the age of 59 years, she was diagnosed with neurosarcoidosis at another hospital, and she received oral glucocorticoid therapy for 1 year. Her serum angiotensin-converting enzyme (ACE) and 1, 25-dihydroxyvitamin D levels were elevated. Computed tomography showed lymphadenopathy of the tracheal bifurcation and diffuse nodular shadow in the lungs and liver. Renal biopsy findings were compatible with IgA nephropathy without noncaseating granulomas and glomerular galactose-deficient IgA1 (Gd-IgA1) was stained in mesangial area. Because of clinical suspicion of sarcoidosis, liver biopsy was also performed, which showed inflammation with multiple noncaseating granulomas. The patient was diagnosed with IgA nephropathy coincident with sarcoidosis. After oral administration of prednisolone, mild proteinuria persisted; however, serum creatinine level was normalized, hematuria disappeared, and serum ACE and 1, 25-dihydroxyvitamin D levels returned to normal. Although some patients with sarcoidosis occasionally present with glomerulonephritis, there have been few case reports of sarcoidosis with IgA nephropathy. This was the first case report in which glomerular Gd-IgA1 was identified in a patient with IgA nephropathy and sarcoidosis.</p>\",\"PeriodicalId\":9604,\"journal\":{\"name\":\"Case Reports in Nephrology\",\"volume\":\"2025 \",\"pages\":\"7366501\"},\"PeriodicalIF\":0.0000,\"publicationDate\":\"2025-01-08\",\"publicationTypes\":\"Journal Article\",\"fieldsOfStudy\":null,\"isOpenAccess\":false,\"openAccessPdf\":\"https://www.ncbi.nlm.nih.gov/pmc/articles/PMC11735058/pdf/\",\"citationCount\":\"0\",\"resultStr\":null,\"platform\":\"Semanticscholar\",\"paperid\":null,\"PeriodicalName\":\"Case Reports in Nephrology\",\"FirstCategoryId\":\"1085\",\"ListUrlMain\":\"https://doi.org/10.1155/crin/7366501\",\"RegionNum\":0,\"RegionCategory\":null,\"ArticlePicture\":[],\"TitleCN\":null,\"AbstractTextCN\":null,\"PMCID\":null,\"EPubDate\":\"2025/1/1 0:00:00\",\"PubModel\":\"eCollection\",\"JCR\":\"\",\"JCRName\":\"\",\"Score\":null,\"Total\":0}","platform":"Semanticscholar","paperid":null,"PeriodicalName":"Case Reports in Nephrology","FirstCategoryId":"1085","ListUrlMain":"https://doi.org/10.1155/crin/7366501","RegionNum":0,"RegionCategory":null,"ArticlePicture":[],"TitleCN":null,"AbstractTextCN":null,"PMCID":null,"EPubDate":"2025/1/1 0:00:00","PubModel":"eCollection","JCR":"","JCRName":"","Score":null,"Total":0}
引用次数: 0

摘要

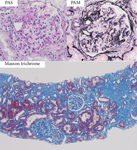
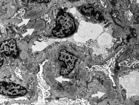
一位63岁的日本家庭主妇因持续3个月的血尿和蛋白尿而入院。在59岁时,她在另一家医院被诊断为神经结节病,并接受口服糖皮质激素治疗1年。血清血管紧张素转换酶(ACE)和1,25 -二羟基维生素D水平升高。计算机断层扫描显示气管分叉淋巴结病变,肺和肝脏弥漫性结节影。肾活检结果与IgA肾病一致,无非干酪化肉芽肿,肾小球半乳糖缺乏IgA1 (Gd-IgA1)在肾小球系膜区染色。由于临床怀疑结节病,肝脏活检显示炎症伴多个非干酪化肉芽肿。诊断为IgA肾病合并结节病。口服强的松龙后,轻度蛋白尿持续存在;然而,血清肌酐水平恢复正常,血尿消失,血清ACE和1,25 -二羟基维生素D水平恢复正常。虽然一些结节病患者偶尔会出现肾小球肾炎,但结节病合并IgA肾病的病例报道很少。这是首例在IgA肾病和结节病患者中发现肾小球Gd-IgA1的病例报告。
本文章由计算机程序翻译,如有差异,请以英文原文为准。

A Case of IgA Nephropathy in a Patient With Sarcoidosis: Confirmation of Glomerular Galactose-Deficient IgA1 Deposition.

A Case of IgA Nephropathy in a Patient With Sarcoidosis: Confirmation of Glomerular Galactose-Deficient IgA1 Deposition.

A Case of IgA Nephropathy in a Patient With Sarcoidosis: Confirmation of Glomerular Galactose-Deficient IgA1 Deposition.

A Case of IgA Nephropathy in a Patient With Sarcoidosis: Confirmation of Glomerular Galactose-Deficient IgA1 Deposition.

A 63-year-old Japanese housewife was admitted to our hospital because of hematuria and proteinuria lasting for 3 months. At the age of 59 years, she was diagnosed with neurosarcoidosis at another hospital, and she received oral glucocorticoid therapy for 1 year. Her serum angiotensin-converting enzyme (ACE) and 1, 25-dihydroxyvitamin D levels were elevated. Computed tomography showed lymphadenopathy of the tracheal bifurcation and diffuse nodular shadow in the lungs and liver. Renal biopsy findings were compatible with IgA nephropathy without noncaseating granulomas and glomerular galactose-deficient IgA1 (Gd-IgA1) was stained in mesangial area. Because of clinical suspicion of sarcoidosis, liver biopsy was also performed, which showed inflammation with multiple noncaseating granulomas. The patient was diagnosed with IgA nephropathy coincident with sarcoidosis. After oral administration of prednisolone, mild proteinuria persisted; however, serum creatinine level was normalized, hematuria disappeared, and serum ACE and 1, 25-dihydroxyvitamin D levels returned to normal. Although some patients with sarcoidosis occasionally present with glomerulonephritis, there have been few case reports of sarcoidosis with IgA nephropathy. This was the first case report in which glomerular Gd-IgA1 was identified in a patient with IgA nephropathy and sarcoidosis.

求助全文
通过发布文献求助,成功后即可免费获取论文全文。 去求助
来源期刊
Case Reports in Nephrology
Case Reports in Nephrology Medicine-Nephrology
CiteScore
1.70
自引率
0.00%
发文量
32
×
引用
GB/T 7714-2015
复制
MLA
复制
APA
复制
导出至
BibTeX EndNote RefMan NoteFirst NoteExpress
×
提示
您的信息不完整,为了账户安全,请先补充。
现在去补充
×
提示
您因"违规操作"
具体请查看互助需知
我知道了
×
提示
确定
请完成安全验证×
copy
已复制链接
快去分享给好友吧!
我知道了
右上角分享
点击右上角分享
0
联系我们:info@booksci.cn Book学术提供免费学术资源搜索服务,方便国内外学者检索中英文文献。致力于提供最便捷和优质的服务体验。 Copyright © 2023 布克学术 All rights reserved.
京ICP备2023020795号-1
ghs 京公网安备 11010802042870号
Book学术文献互助
Book学术文献互助群
群 号:604180095
Book学术官方微信