库克配方支架治疗儿童右心疾病的早期和中期结果:单中心研究

IF 0.7 Q4 CARDIAC & CARDIOVASCULAR SYSTEMS
Annals of Pediatric Cardiology Pub Date : 2024-09-01 Epub Date: 2024-12-24 DOI:10.4103/apc.apc_176_24
Haritha Girija, Chinnasamy Sivaprakasam Muthukumaran, Rajaguru Ganesan, Sankarakuttalan Ramkishore, Vijay Arun, Vellusamy Mahitha, Neville Solomon, Swaminathan Vaidyanathan
{"title":"库克配方支架治疗儿童右心疾病的早期和中期结果:单中心研究","authors":"Haritha Girija, Chinnasamy Sivaprakasam Muthukumaran, Rajaguru Ganesan, Sankarakuttalan Ramkishore, Vijay Arun, Vellusamy Mahitha, Neville Solomon, Swaminathan Vaidyanathan","doi":"10.4103/apc.apc_176_24","DOIUrl":null,"url":null,"abstract":"<p><strong>Background: </strong>Branch pulmonary artery (PA) stenosis must be addressed early to prevent right ventricular scarring and establish lung blood flow. Balloon-mounted stents are more useful in managing right ventricular outflow tract (RVOT) obstruction and PA stenosis.</p><p><strong>Materials and methods: </strong>We studied the clinical and angiographic data of children with congenital heart disease who underwent stenting for RVOT obstruction and branch PA stenosis using the Formula stent (Cook Medical, Limerick, Ireland) between 2018 and 2024 in a tertiary pediatric cardiac center in southern India.</p><p><strong>Results: </strong>Our patient cohort included 65 patients with a median age of 3 years (range: 3 months to 17 years). The median weight of patients was 11.5 kg (4.8-60.4 kg), with 40% weighing <10 kg. Out of the 87 stents implanted, four stents were implanted in RVOT, while the rest were branch PA stenting. The median stent length was 20 mm (12-60 mm), and the median stent diameter was 10 mm (5-10 mm). All stents were deployed using 5Fr to 8Fr sheaths or guiding catheters. The median procedure time was 62 min (20-170 min), with a median fluoroscopy time of 15 min (4-110 min). A total of 17 (19%) stents in 14 patients required further dilatation at a mean interval of 25 ± 4 months from the time of stenting. Ballooning resulted in an increase in diameter from 7.8 ± 2.2 mm to 10.2 ± 1.7 mm. Right ventricular systolic pressure had reduced from 70.3 ± 8 to 40.1 ± 1 mmHg after balloon dilatation in patients with a biventricular heart.</p><p><strong>Conclusion: </strong>The Formula stent provides a comprehensive stent size option, requiring smaller sheaths, reduced procedural time, minimum complications, and an acceptable rate of reinterventions.</p>","PeriodicalId":8026,"journal":{"name":"Annals of Pediatric Cardiology","volume":"17 5","pages":"347-355"},"PeriodicalIF":0.7000,"publicationDate":"2024-09-01","publicationTypes":"Journal Article","fieldsOfStudy":null,"isOpenAccess":false,"openAccessPdf":"https://www.ncbi.nlm.nih.gov/pmc/articles/PMC11737630/pdf/","citationCount":"0","resultStr":"{\"title\":\"Early and midterm results of Cook Formula stent in children with right heart disease: A single-center experience.\",\"authors\":\"Haritha Girija, Chinnasamy Sivaprakasam Muthukumaran, Rajaguru Ganesan, Sankarakuttalan Ramkishore, Vijay Arun, Vellusamy Mahitha, Neville Solomon, Swaminathan Vaidyanathan\",\"doi\":\"10.4103/apc.apc_176_24\",\"DOIUrl\":null,\"url\":null,\"abstract\":\"<p><strong>Background: </strong>Branch pulmonary artery (PA) stenosis must be addressed early to prevent right ventricular scarring and establish lung blood flow. Balloon-mounted stents are more useful in managing right ventricular outflow tract (RVOT) obstruction and PA stenosis.</p><p><strong>Materials and methods: </strong>We studied the clinical and angiographic data of children with congenital heart disease who underwent stenting for RVOT obstruction and branch PA stenosis using the Formula stent (Cook Medical, Limerick, Ireland) between 2018 and 2024 in a tertiary pediatric cardiac center in southern India.</p><p><strong>Results: </strong>Our patient cohort included 65 patients with a median age of 3 years (range: 3 months to 17 years). The median weight of patients was 11.5 kg (4.8-60.4 kg), with 40% weighing <10 kg. Out of the 87 stents implanted, four stents were implanted in RVOT, while the rest were branch PA stenting. The median stent length was 20 mm (12-60 mm), and the median stent diameter was 10 mm (5-10 mm). All stents were deployed using 5Fr to 8Fr sheaths or guiding catheters. The median procedure time was 62 min (20-170 min), with a median fluoroscopy time of 15 min (4-110 min). A total of 17 (19%) stents in 14 patients required further dilatation at a mean interval of 25 ± 4 months from the time of stenting. Ballooning resulted in an increase in diameter from 7.8 ± 2.2 mm to 10.2 ± 1.7 mm. Right ventricular systolic pressure had reduced from 70.3 ± 8 to 40.1 ± 1 mmHg after balloon dilatation in patients with a biventricular heart.</p><p><strong>Conclusion: </strong>The Formula stent provides a comprehensive stent size option, requiring smaller sheaths, reduced procedural time, minimum complications, and an acceptable rate of reinterventions.</p>\",\"PeriodicalId\":8026,\"journal\":{\"name\":\"Annals of Pediatric Cardiology\",\"volume\":\"17 5\",\"pages\":\"347-355\"},\"PeriodicalIF\":0.7000,\"publicationDate\":\"2024-09-01\",\"publicationTypes\":\"Journal Article\",\"fieldsOfStudy\":null,\"isOpenAccess\":false,\"openAccessPdf\":\"https://www.ncbi.nlm.nih.gov/pmc/articles/PMC11737630/pdf/\",\"citationCount\":\"0\",\"resultStr\":null,\"platform\":\"Semanticscholar\",\"paperid\":null,\"PeriodicalName\":\"Annals of Pediatric Cardiology\",\"FirstCategoryId\":\"1085\",\"ListUrlMain\":\"https://doi.org/10.4103/apc.apc_176_24\",\"RegionNum\":0,\"RegionCategory\":null,\"ArticlePicture\":[],\"TitleCN\":null,\"AbstractTextCN\":null,\"PMCID\":null,\"EPubDate\":\"2024/12/24 0:00:00\",\"PubModel\":\"Epub\",\"JCR\":\"Q4\",\"JCRName\":\"CARDIAC & CARDIOVASCULAR SYSTEMS\",\"Score\":null,\"Total\":0}","platform":"Semanticscholar","paperid":null,"PeriodicalName":"Annals of Pediatric Cardiology","FirstCategoryId":"1085","ListUrlMain":"https://doi.org/10.4103/apc.apc_176_24","RegionNum":0,"RegionCategory":null,"ArticlePicture":[],"TitleCN":null,"AbstractTextCN":null,"PMCID":null,"EPubDate":"2024/12/24 0:00:00","PubModel":"Epub","JCR":"Q4","JCRName":"CARDIAC & CARDIOVASCULAR SYSTEMS","Score":null,"Total":0}
引用次数: 0

摘要

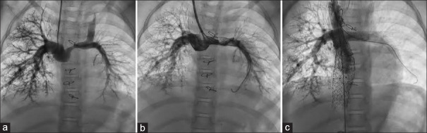
背景:肺动脉分支(PA)狭窄必须及早处理,以防止右心室瘢痕形成和建立肺血流。球囊支架在处理右心室流出道梗阻和左心室狭窄时更有用。材料和方法:我们研究了2018年至2024年在印度南部的一个三级儿科心脏中心使用Formula支架(Cook Medical, Limerick, Ireland)进行RVOT阻塞和分支PA狭窄的先天性心脏病儿童的临床和血管造影数据。结果:我们的患者队列包括65例患者,中位年龄为3岁(范围:3个月至17岁)。结论:Formula支架提供了一种全面的支架尺寸选择,需要更小的支架鞘、更短的手术时间、最小的并发症和可接受的再介入率。
本文章由计算机程序翻译,如有差异,请以英文原文为准。

Early and midterm results of Cook Formula stent in children with right heart disease: A single-center experience.

Early and midterm results of Cook Formula stent in children with right heart disease: A single-center experience.

Early and midterm results of Cook Formula stent in children with right heart disease: A single-center experience.

Early and midterm results of Cook Formula stent in children with right heart disease: A single-center experience.

Background: Branch pulmonary artery (PA) stenosis must be addressed early to prevent right ventricular scarring and establish lung blood flow. Balloon-mounted stents are more useful in managing right ventricular outflow tract (RVOT) obstruction and PA stenosis.

Materials and methods: We studied the clinical and angiographic data of children with congenital heart disease who underwent stenting for RVOT obstruction and branch PA stenosis using the Formula stent (Cook Medical, Limerick, Ireland) between 2018 and 2024 in a tertiary pediatric cardiac center in southern India.

Results: Our patient cohort included 65 patients with a median age of 3 years (range: 3 months to 17 years). The median weight of patients was 11.5 kg (4.8-60.4 kg), with 40% weighing <10 kg. Out of the 87 stents implanted, four stents were implanted in RVOT, while the rest were branch PA stenting. The median stent length was 20 mm (12-60 mm), and the median stent diameter was 10 mm (5-10 mm). All stents were deployed using 5Fr to 8Fr sheaths or guiding catheters. The median procedure time was 62 min (20-170 min), with a median fluoroscopy time of 15 min (4-110 min). A total of 17 (19%) stents in 14 patients required further dilatation at a mean interval of 25 ± 4 months from the time of stenting. Ballooning resulted in an increase in diameter from 7.8 ± 2.2 mm to 10.2 ± 1.7 mm. Right ventricular systolic pressure had reduced from 70.3 ± 8 to 40.1 ± 1 mmHg after balloon dilatation in patients with a biventricular heart.

Conclusion: The Formula stent provides a comprehensive stent size option, requiring smaller sheaths, reduced procedural time, minimum complications, and an acceptable rate of reinterventions.

求助全文
通过发布文献求助,成功后即可免费获取论文全文。 去求助
来源期刊
Annals of Pediatric Cardiology
Annals of Pediatric Cardiology CARDIAC & CARDIOVASCULAR SYSTEMS-
CiteScore
1.40
自引率
14.30%
发文量
51
审稿时长
23 weeks
×
引用
GB/T 7714-2015
复制
MLA
复制
APA
复制
导出至
BibTeX EndNote RefMan NoteFirst NoteExpress
×
提示
您的信息不完整,为了账户安全,请先补充。
现在去补充
×
提示
您因"违规操作"
具体请查看互助需知
我知道了
×
提示
确定
请完成安全验证×
copy
已复制链接
快去分享给好友吧!
我知道了
右上角分享
点击右上角分享
0
联系我们:info@booksci.cn Book学术提供免费学术资源搜索服务,方便国内外学者检索中英文文献。致力于提供最便捷和优质的服务体验。 Copyright © 2023 布克学术 All rights reserved.
京ICP备2023020795号-1
ghs 京公网安备 11010802042870号
Book学术文献互助
Book学术文献互助群
群 号:604180095
Book学术官方微信