APC基因缺失突变患者的头颈部周围神经鞘瘤:病例报告和文献综述。

IF 3.6 Q1 PEDIATRICS
Clinical and Experimental Pediatrics Pub Date : 2025-06-01 Epub Date: 2025-01-13 DOI:10.3345/cep.2024.01375
Koral M Blunt, Monirah Albathi, Miriam Conces, Tendy Chiang
{"title":"APC基因缺失突变患者的头颈部周围神经鞘瘤:病例报告和文献综述。","authors":"Koral M Blunt, Monirah Albathi, Miriam Conces, Tendy Chiang","doi":"10.3345/cep.2024.01375","DOIUrl":null,"url":null,"abstract":"<p><p>Adenomatous polyposis coli (APC) is a tumor suppressor gene expressed throughout the body. APC mutations increase the risk of malignancy and are often characterized by syndromes that encompass a spectrum of neoplastic manifestations, such as familial adenomatous polyposis (FAP). We present a rare case of palatal peripheral nerve sheath tumor in the context of APC gene mutation. A 17-year-old male with a significant history of FAP presented to our clinic with globus sensation for 5 months with increasing discomfort. Flexible nasolaryngoscopy revealed a pedunculated lesion attached to the posterior surface of the soft palate. Imaging was obtained and confirmed a soft tissue homogenous mass contiguous with the soft palate. Endoscopic-assisted transoral resection was performed and pathologic features were consistent with schwannoma. We also discuss the spectrum of benign neoplastic lesions. Current literature fails to describe pharyngeal masses in the setting of APC gene mutations. The purpose of this case report is to describe a patient presentation of a symptomatic pharyngeal tumor with a known APC gene mutation and explore the differential diagnoses that must be considered.</p>","PeriodicalId":36018,"journal":{"name":"Clinical and Experimental Pediatrics","volume":" ","pages":"428-433"},"PeriodicalIF":3.6000,"publicationDate":"2025-06-01","publicationTypes":"Journal Article","fieldsOfStudy":null,"isOpenAccess":false,"openAccessPdf":"https://www.ncbi.nlm.nih.gov/pmc/articles/PMC12146600/pdf/","citationCount":"0","resultStr":"{\"title\":\"Peripheral nerve sheath tumors in the head and neck in patients with APC gene deletion mutations: a case report and scoping review of the literature.\",\"authors\":\"Koral M Blunt, Monirah Albathi, Miriam Conces, Tendy Chiang\",\"doi\":\"10.3345/cep.2024.01375\",\"DOIUrl\":null,\"url\":null,\"abstract\":\"<p><p>Adenomatous polyposis coli (APC) is a tumor suppressor gene expressed throughout the body. APC mutations increase the risk of malignancy and are often characterized by syndromes that encompass a spectrum of neoplastic manifestations, such as familial adenomatous polyposis (FAP). We present a rare case of palatal peripheral nerve sheath tumor in the context of APC gene mutation. A 17-year-old male with a significant history of FAP presented to our clinic with globus sensation for 5 months with increasing discomfort. Flexible nasolaryngoscopy revealed a pedunculated lesion attached to the posterior surface of the soft palate. Imaging was obtained and confirmed a soft tissue homogenous mass contiguous with the soft palate. Endoscopic-assisted transoral resection was performed and pathologic features were consistent with schwannoma. We also discuss the spectrum of benign neoplastic lesions. Current literature fails to describe pharyngeal masses in the setting of APC gene mutations. The purpose of this case report is to describe a patient presentation of a symptomatic pharyngeal tumor with a known APC gene mutation and explore the differential diagnoses that must be considered.</p>\",\"PeriodicalId\":36018,\"journal\":{\"name\":\"Clinical and Experimental Pediatrics\",\"volume\":\" \",\"pages\":\"428-433\"},\"PeriodicalIF\":3.6000,\"publicationDate\":\"2025-06-01\",\"publicationTypes\":\"Journal Article\",\"fieldsOfStudy\":null,\"isOpenAccess\":false,\"openAccessPdf\":\"https://www.ncbi.nlm.nih.gov/pmc/articles/PMC12146600/pdf/\",\"citationCount\":\"0\",\"resultStr\":null,\"platform\":\"Semanticscholar\",\"paperid\":null,\"PeriodicalName\":\"Clinical and Experimental Pediatrics\",\"FirstCategoryId\":\"1085\",\"ListUrlMain\":\"https://doi.org/10.3345/cep.2024.01375\",\"RegionNum\":0,\"RegionCategory\":null,\"ArticlePicture\":[],\"TitleCN\":null,\"AbstractTextCN\":null,\"PMCID\":null,\"EPubDate\":\"2025/1/13 0:00:00\",\"PubModel\":\"Epub\",\"JCR\":\"Q1\",\"JCRName\":\"PEDIATRICS\",\"Score\":null,\"Total\":0}","platform":"Semanticscholar","paperid":null,"PeriodicalName":"Clinical and Experimental Pediatrics","FirstCategoryId":"1085","ListUrlMain":"https://doi.org/10.3345/cep.2024.01375","RegionNum":0,"RegionCategory":null,"ArticlePicture":[],"TitleCN":null,"AbstractTextCN":null,"PMCID":null,"EPubDate":"2025/1/13 0:00:00","PubModel":"Epub","JCR":"Q1","JCRName":"PEDIATRICS","Score":null,"Total":0}
引用次数: 0

摘要

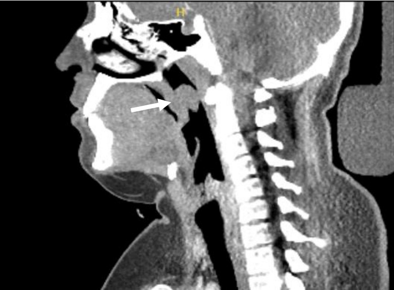
大肠腺瘤性息肉病(APC)是一种在全身表达的肿瘤抑制基因。APC突变增加恶性肿瘤的风险,通常以包括一系列肿瘤表现的综合征为特征,如家族性腺瘤性息肉病(FAP)。我们报告一例罕见的APC基因突变引起的腭周围神经鞘肿瘤。一名17岁男性,有明显的FAP病史,因球体感觉5个月,不适增加而来到我们诊所。柔性鼻咽喉镜检查显示有带蒂病变附于软组织后表面。影像学检查证实软组织均质肿块与软腭相邻。内镜辅助下经口切除,病理特征与神经鞘瘤一致。我们也讨论了良性肿瘤病变的频谱。目前的文献未能描述APC基因突变情况下的咽肿块。本病例报告的目的是描述一个已知APC基因突变的症状性咽肿瘤患者的表现,并探讨必须考虑的鉴别诊断。
本文章由计算机程序翻译,如有差异,请以英文原文为准。

Peripheral nerve sheath tumors in the head and neck in patients with APC gene deletion mutations: a case report and scoping review of the literature.

Peripheral nerve sheath tumors in the head and neck in patients with APC gene deletion mutations: a case report and scoping review of the literature.

Peripheral nerve sheath tumors in the head and neck in patients with APC gene deletion mutations: a case report and scoping review of the literature.

Peripheral nerve sheath tumors in the head and neck in patients with APC gene deletion mutations: a case report and scoping review of the literature.

Adenomatous polyposis coli (APC) is a tumor suppressor gene expressed throughout the body. APC mutations increase the risk of malignancy and are often characterized by syndromes that encompass a spectrum of neoplastic manifestations, such as familial adenomatous polyposis (FAP). We present a rare case of palatal peripheral nerve sheath tumor in the context of APC gene mutation. A 17-year-old male with a significant history of FAP presented to our clinic with globus sensation for 5 months with increasing discomfort. Flexible nasolaryngoscopy revealed a pedunculated lesion attached to the posterior surface of the soft palate. Imaging was obtained and confirmed a soft tissue homogenous mass contiguous with the soft palate. Endoscopic-assisted transoral resection was performed and pathologic features were consistent with schwannoma. We also discuss the spectrum of benign neoplastic lesions. Current literature fails to describe pharyngeal masses in the setting of APC gene mutations. The purpose of this case report is to describe a patient presentation of a symptomatic pharyngeal tumor with a known APC gene mutation and explore the differential diagnoses that must be considered.

求助全文
通过发布文献求助,成功后即可免费获取论文全文。 去求助
来源期刊
CiteScore
8.00
自引率
2.40%
发文量
88
审稿时长
60 weeks
×
引用
GB/T 7714-2015
复制
MLA
复制
APA
复制
导出至
BibTeX EndNote RefMan NoteFirst NoteExpress
×
提示
您的信息不完整,为了账户安全,请先补充。
现在去补充
×
提示
您因"违规操作"
具体请查看互助需知
我知道了
×
提示
确定
请完成安全验证×
copy
已复制链接
快去分享给好友吧!
我知道了
右上角分享
点击右上角分享
0
联系我们:info@booksci.cn Book学术提供免费学术资源搜索服务,方便国内外学者检索中英文文献。致力于提供最便捷和优质的服务体验。 Copyright © 2023 布克学术 All rights reserved.
京ICP备2023020795号-1
ghs 京公网安备 11010802042870号
Book学术文献互助
Book学术文献互助群
群 号:604180095
Book学术官方微信