“桥上桥”:一种预防重度二尖瓣钙化二尖瓣置换术中瓣旁反流的新策略。

IF 1.3
Khaled F Salhab, Sameh M Said
{"title":"“桥上桥”:一种预防重度二尖瓣钙化二尖瓣置换术中瓣旁反流的新策略。","authors":"Khaled F Salhab, Sameh M Said","doi":"10.5761/atcs.nm.24-00081","DOIUrl":null,"url":null,"abstract":"<p><p>Mitral annular calcifications have been known to increase complexity during mitral valve replacement (MVR). Standard procedure requires decalcification followed by reconstruction of the mitral annulus prior to placing the prosthesis. While this is the ideal technique, it is not feasible in every patient due to the associated risks. The mere attempt at valve replacement without proper annular decalcification has been associated with a high incidence of periprosthetic leak which complicates the postoperative course and has been associated with increased morbidity and mortality. With the advances in transcatheter therapy, postoperative periprosthetic regurgitation can be managed with devices and primary transcatheter valve implantation could be alternative to standard valve replacement; however, these alternate strategies are not without its own limitations and drawbacks. In the current report, we present a novel strategy to be used in a select group of patients with severe but non-circumferential annular calcifications to prevent/minimize periprosthetic regurgitation during MVR. This involves placing a patch over the posteriorly located calcium bar, thus minimizing tension on the posterior suture line and contain any periprosthetic regurgitation if to develop. This modification has been performed in a total of nine cases with acceptable early results.</p>","PeriodicalId":93877,"journal":{"name":"Annals of thoracic and cardiovascular surgery : official journal of the Association of Thoracic and Cardiovascular Surgeons of Asia","volume":"31 1","pages":""},"PeriodicalIF":1.3000,"publicationDate":"2025-01-01","publicationTypes":"Journal Article","fieldsOfStudy":null,"isOpenAccess":false,"openAccessPdf":"https://www.ncbi.nlm.nih.gov/pmc/articles/PMC11744194/pdf/","citationCount":"0","resultStr":"{\"title\":\"\\\"A Bridge-over-the Bar\\\": A Novel Strategy to Prevent Paravalvular Regurgitation during Mitral Valve Replacement for Severe Mitral Annular Calcifications.\",\"authors\":\"Khaled F Salhab, Sameh M Said\",\"doi\":\"10.5761/atcs.nm.24-00081\",\"DOIUrl\":null,\"url\":null,\"abstract\":\"<p><p>Mitral annular calcifications have been known to increase complexity during mitral valve replacement (MVR). Standard procedure requires decalcification followed by reconstruction of the mitral annulus prior to placing the prosthesis. While this is the ideal technique, it is not feasible in every patient due to the associated risks. The mere attempt at valve replacement without proper annular decalcification has been associated with a high incidence of periprosthetic leak which complicates the postoperative course and has been associated with increased morbidity and mortality. With the advances in transcatheter therapy, postoperative periprosthetic regurgitation can be managed with devices and primary transcatheter valve implantation could be alternative to standard valve replacement; however, these alternate strategies are not without its own limitations and drawbacks. In the current report, we present a novel strategy to be used in a select group of patients with severe but non-circumferential annular calcifications to prevent/minimize periprosthetic regurgitation during MVR. This involves placing a patch over the posteriorly located calcium bar, thus minimizing tension on the posterior suture line and contain any periprosthetic regurgitation if to develop. This modification has been performed in a total of nine cases with acceptable early results.</p>\",\"PeriodicalId\":93877,\"journal\":{\"name\":\"Annals of thoracic and cardiovascular surgery : official journal of the Association of Thoracic and Cardiovascular Surgeons of Asia\",\"volume\":\"31 1\",\"pages\":\"\"},\"PeriodicalIF\":1.3000,\"publicationDate\":\"2025-01-01\",\"publicationTypes\":\"Journal Article\",\"fieldsOfStudy\":null,\"isOpenAccess\":false,\"openAccessPdf\":\"https://www.ncbi.nlm.nih.gov/pmc/articles/PMC11744194/pdf/\",\"citationCount\":\"0\",\"resultStr\":null,\"platform\":\"Semanticscholar\",\"paperid\":null,\"PeriodicalName\":\"Annals of thoracic and cardiovascular surgery : official journal of the Association of Thoracic and Cardiovascular Surgeons of Asia\",\"FirstCategoryId\":\"1085\",\"ListUrlMain\":\"https://doi.org/10.5761/atcs.nm.24-00081\",\"RegionNum\":0,\"RegionCategory\":null,\"ArticlePicture\":[],\"TitleCN\":null,\"AbstractTextCN\":null,\"PMCID\":null,\"EPubDate\":\"\",\"PubModel\":\"\",\"JCR\":\"\",\"JCRName\":\"\",\"Score\":null,\"Total\":0}","platform":"Semanticscholar","paperid":null,"PeriodicalName":"Annals of thoracic and cardiovascular surgery : official journal of the Association of Thoracic and Cardiovascular Surgeons of Asia","FirstCategoryId":"1085","ListUrlMain":"https://doi.org/10.5761/atcs.nm.24-00081","RegionNum":0,"RegionCategory":null,"ArticlePicture":[],"TitleCN":null,"AbstractTextCN":null,"PMCID":null,"EPubDate":"","PubModel":"","JCR":"","JCRName":"","Score":null,"Total":0}
引用次数: 0

摘要

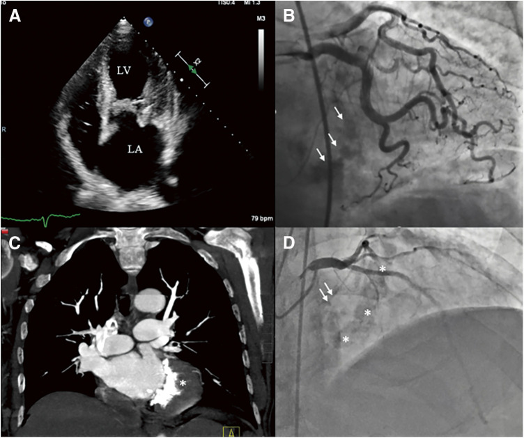
二尖瓣环钙化增加了二尖瓣置换术(MVR)的复杂性。标准程序要求在放置假体之前进行脱钙,然后重建二尖瓣环。虽然这是一种理想的技术,但由于相关的风险,并不是对每个病人都可行。单纯尝试瓣膜置换术而不进行适当的环脱钙会导致假体周围泄漏的高发生率,这使术后过程复杂化,并增加了发病率和死亡率。随着经导管治疗的进步,术后假体周围的反流可以用器械控制,经导管瓣膜植入术可以替代标准的瓣膜置换术;然而,这些替代策略并非没有其自身的局限性和缺点。在目前的报告中,我们提出了一种新的策略,用于一组有严重但非环性钙化的患者,以预防/减少MVR期间假体周围的反流。这包括在位于后方的钙棒上放置一个贴片,从而最大限度地减少后缝合线的张力,并控制任何假体周围的反流。这种修改已在总共9例病例中进行,早期结果可接受。
本文章由计算机程序翻译,如有差异,请以英文原文为准。

"A Bridge-over-the Bar": A Novel Strategy to Prevent Paravalvular Regurgitation during Mitral Valve Replacement for Severe Mitral Annular Calcifications.

"A Bridge-over-the Bar": A Novel Strategy to Prevent Paravalvular Regurgitation during Mitral Valve Replacement for Severe Mitral Annular Calcifications.

"A Bridge-over-the Bar": A Novel Strategy to Prevent Paravalvular Regurgitation during Mitral Valve Replacement for Severe Mitral Annular Calcifications.

"A Bridge-over-the Bar": A Novel Strategy to Prevent Paravalvular Regurgitation during Mitral Valve Replacement for Severe Mitral Annular Calcifications.

Mitral annular calcifications have been known to increase complexity during mitral valve replacement (MVR). Standard procedure requires decalcification followed by reconstruction of the mitral annulus prior to placing the prosthesis. While this is the ideal technique, it is not feasible in every patient due to the associated risks. The mere attempt at valve replacement without proper annular decalcification has been associated with a high incidence of periprosthetic leak which complicates the postoperative course and has been associated with increased morbidity and mortality. With the advances in transcatheter therapy, postoperative periprosthetic regurgitation can be managed with devices and primary transcatheter valve implantation could be alternative to standard valve replacement; however, these alternate strategies are not without its own limitations and drawbacks. In the current report, we present a novel strategy to be used in a select group of patients with severe but non-circumferential annular calcifications to prevent/minimize periprosthetic regurgitation during MVR. This involves placing a patch over the posteriorly located calcium bar, thus minimizing tension on the posterior suture line and contain any periprosthetic regurgitation if to develop. This modification has been performed in a total of nine cases with acceptable early results.

求助全文
通过发布文献求助,成功后即可免费获取论文全文。 去求助
来源期刊
自引率
0.00%
发文量
0
×
引用
GB/T 7714-2015
复制
MLA
复制
APA
复制
导出至
BibTeX EndNote RefMan NoteFirst NoteExpress
×
提示
您的信息不完整,为了账户安全,请先补充。
现在去补充
×
提示
您因"违规操作"
具体请查看互助需知
我知道了
×
提示
确定
请完成安全验证×
copy
已复制链接
快去分享给好友吧!
我知道了
右上角分享
点击右上角分享
0
联系我们:info@booksci.cn Book学术提供免费学术资源搜索服务,方便国内外学者检索中英文文献。致力于提供最便捷和优质的服务体验。 Copyright © 2023 布克学术 All rights reserved.
京ICP备2023020795号-1
ghs 京公网安备 11010802042870号
Book学术文献互助
Book学术文献互助群
群 号:604180095
Book学术官方微信