当面具滑落梅-赫格林综合征患者伪装成狼疮伴骨髓纤维化的外周 T 细胞淋巴瘤。

IF 0.9 Q4 HEMATOLOGY
V Da Silva Constante , H Couvert , A Wolfromm , M Ilzkovitz
{"title":"当面具滑落梅-赫格林综合征患者伪装成狼疮伴骨髓纤维化的外周 T 细胞淋巴瘤。","authors":"V Da Silva Constante ,&nbsp;H Couvert ,&nbsp;A Wolfromm ,&nbsp;M Ilzkovitz","doi":"10.1016/j.lrr.2024.100498","DOIUrl":null,"url":null,"abstract":"<div><div>We describe the case of a female patient with May-Hegglin syndrome who developed peripheral T-cell lymphoma not otherwise specified. The patient presents with systemic lupus erythematous phenotype and myelofibrosis secondary to T-cell lymphoma. Peripheral T-cell lymphoma not otherwise specified, represents 25 % of all peripheral T-cell lymphoma. Its diagnosis remains challenging due to the polymorphous clinical presentation and pathological heterogeneity. Myelofibrosis associated with malignant lymphomas is rare and peripheral T-cell lymphoma is even rarer. To our knowledge, this is the first case to describe an association between May-Hegglin syndrome and a peripheral T-cell lymphoma.</div></div>","PeriodicalId":38435,"journal":{"name":"Leukemia Research Reports","volume":"23 ","pages":"Article 100498"},"PeriodicalIF":0.9000,"publicationDate":"2025-01-01","publicationTypes":"Journal Article","fieldsOfStudy":null,"isOpenAccess":false,"openAccessPdf":"https://www.ncbi.nlm.nih.gov/pmc/articles/PMC11728067/pdf/","citationCount":"0","resultStr":"{\"title\":\"When the mask slips: A peripheral T-cell lymphoma disguised as lupus with myelofibrosis in a patient with May-Hegglin syndrome\",\"authors\":\"V Da Silva Constante ,&nbsp;H Couvert ,&nbsp;A Wolfromm ,&nbsp;M Ilzkovitz\",\"doi\":\"10.1016/j.lrr.2024.100498\",\"DOIUrl\":null,\"url\":null,\"abstract\":\"<div><div>We describe the case of a female patient with May-Hegglin syndrome who developed peripheral T-cell lymphoma not otherwise specified. The patient presents with systemic lupus erythematous phenotype and myelofibrosis secondary to T-cell lymphoma. Peripheral T-cell lymphoma not otherwise specified, represents 25 % of all peripheral T-cell lymphoma. Its diagnosis remains challenging due to the polymorphous clinical presentation and pathological heterogeneity. Myelofibrosis associated with malignant lymphomas is rare and peripheral T-cell lymphoma is even rarer. To our knowledge, this is the first case to describe an association between May-Hegglin syndrome and a peripheral T-cell lymphoma.</div></div>\",\"PeriodicalId\":38435,\"journal\":{\"name\":\"Leukemia Research Reports\",\"volume\":\"23 \",\"pages\":\"Article 100498\"},\"PeriodicalIF\":0.9000,\"publicationDate\":\"2025-01-01\",\"publicationTypes\":\"Journal Article\",\"fieldsOfStudy\":null,\"isOpenAccess\":false,\"openAccessPdf\":\"https://www.ncbi.nlm.nih.gov/pmc/articles/PMC11728067/pdf/\",\"citationCount\":\"0\",\"resultStr\":null,\"platform\":\"Semanticscholar\",\"paperid\":null,\"PeriodicalName\":\"Leukemia Research Reports\",\"FirstCategoryId\":\"1085\",\"ListUrlMain\":\"https://www.sciencedirect.com/science/article/pii/S2213048924000888\",\"RegionNum\":0,\"RegionCategory\":null,\"ArticlePicture\":[],\"TitleCN\":null,\"AbstractTextCN\":null,\"PMCID\":null,\"EPubDate\":\"\",\"PubModel\":\"\",\"JCR\":\"Q4\",\"JCRName\":\"HEMATOLOGY\",\"Score\":null,\"Total\":0}","platform":"Semanticscholar","paperid":null,"PeriodicalName":"Leukemia Research Reports","FirstCategoryId":"1085","ListUrlMain":"https://www.sciencedirect.com/science/article/pii/S2213048924000888","RegionNum":0,"RegionCategory":null,"ArticlePicture":[],"TitleCN":null,"AbstractTextCN":null,"PMCID":null,"EPubDate":"","PubModel":"","JCR":"Q4","JCRName":"HEMATOLOGY","Score":null,"Total":0}
引用次数: 0

摘要

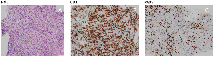
我们描述的情况下,女性患者与梅- hegglin综合征谁发展外周t细胞淋巴瘤没有其他规定。患者表现为系统性红斑狼疮和继发于t细胞淋巴瘤的骨髓纤维化。外周t细胞淋巴瘤,未另行说明,占所有外周t细胞淋巴瘤的25%。由于多形性临床表现和病理异质性,其诊断仍然具有挑战性。骨髓纤维化与恶性淋巴瘤相关是罕见的,周围t细胞淋巴瘤更罕见。据我们所知,这是第一例描述May-Hegglin综合征和外周t细胞淋巴瘤之间关系的病例。
本文章由计算机程序翻译,如有差异,请以英文原文为准。

When the mask slips: A peripheral T-cell lymphoma disguised as lupus with myelofibrosis in a patient with May-Hegglin syndrome

When the mask slips: A peripheral T-cell lymphoma disguised as lupus with myelofibrosis in a patient with May-Hegglin syndrome

When the mask slips: A peripheral T-cell lymphoma disguised as lupus with myelofibrosis in a patient with May-Hegglin syndrome

When the mask slips: A peripheral T-cell lymphoma disguised as lupus with myelofibrosis in a patient with May-Hegglin syndrome
We describe the case of a female patient with May-Hegglin syndrome who developed peripheral T-cell lymphoma not otherwise specified. The patient presents with systemic lupus erythematous phenotype and myelofibrosis secondary to T-cell lymphoma. Peripheral T-cell lymphoma not otherwise specified, represents 25 % of all peripheral T-cell lymphoma. Its diagnosis remains challenging due to the polymorphous clinical presentation and pathological heterogeneity. Myelofibrosis associated with malignant lymphomas is rare and peripheral T-cell lymphoma is even rarer. To our knowledge, this is the first case to describe an association between May-Hegglin syndrome and a peripheral T-cell lymphoma.
求助全文
通过发布文献求助,成功后即可免费获取论文全文。 去求助
来源期刊
Leukemia Research Reports
Leukemia Research Reports Medicine-Oncology
CiteScore
1.70
自引率
0.00%
发文量
70
审稿时长
23 weeks
×
引用
GB/T 7714-2015
复制
MLA
复制
APA
复制
导出至
BibTeX EndNote RefMan NoteFirst NoteExpress
×
提示
您的信息不完整,为了账户安全,请先补充。
现在去补充
×
提示
您因"违规操作"
具体请查看互助需知
我知道了
×
提示
确定
请完成安全验证×
copy
已复制链接
快去分享给好友吧!
我知道了
右上角分享
点击右上角分享
0
联系我们:info@booksci.cn Book学术提供免费学术资源搜索服务,方便国内外学者检索中英文文献。致力于提供最便捷和优质的服务体验。 Copyright © 2023 布克学术 All rights reserved.
京ICP备2023020795号-1
ghs 京公网安备 11010802042870号
Book学术文献互助
Book学术文献互助群
群 号:604180095
Book学术官方微信