右冠状动脉异常:罪魁祸首还是无辜的旁观者?

IF 0.5 Q4 CARDIAC & CARDIOVASCULAR SYSTEMS
Case Reports in Cardiology Pub Date : 2025-01-04 eCollection Date: 2025-01-01 DOI:10.1155/cric/1450803
Cooper B Kersey, Shakirat Oyetunji, Creighton W Don
{"title":"右冠状动脉异常:罪魁祸首还是无辜的旁观者?","authors":"Cooper B Kersey, Shakirat Oyetunji, Creighton W Don","doi":"10.1155/cric/1450803","DOIUrl":null,"url":null,"abstract":"<p><p>Anomalous aortic origin of a coronary artery is a rare congenital heart defect. The detection of anomalous coronary arteries is likely to increase with increased availability and application of cardiac computed tomography and magnetic resonance imaging. Once detected, the recommendation for surgical intervention on anomalous coronary arteries depends upon patient symptoms, the presence or absence of inducible ischemia on stress imaging, and high-risk anatomic features. A 77-year-old man with a history of hypertension, hyperlipidemia, chronic kidney disease Stage III, and moderate aortic stenosis presented with a non-ST-elevation myocardial infarction and was found to have an anomalous aortic origin of the right coronary artery on cross-sectional imaging. His aortic stenosis had also progressed from moderate to severe, and it was not clear whether his myocardial infarction could be exclusively attributed to a supply-demand disparity within the context of profound aortic stenosis or if his aberrant coronary anatomy could be implicated as the culprit for his presentation. A multidisciplinary heart team decided to proceed with a transcatheter aortic valve replacement and then readdress surgical intervention on his anomalous right coronary artery if his anginal symptoms persisted following valve replacement.</p>","PeriodicalId":51760,"journal":{"name":"Case Reports in Cardiology","volume":"2025 ","pages":"1450803"},"PeriodicalIF":0.5000,"publicationDate":"2025-01-04","publicationTypes":"Journal Article","fieldsOfStudy":null,"isOpenAccess":false,"openAccessPdf":"https://www.ncbi.nlm.nih.gov/pmc/articles/PMC11724727/pdf/","citationCount":"0","resultStr":"{\"title\":\"Anomalous Right Coronary Artery: Culprit or Innocent Bystander?\",\"authors\":\"Cooper B Kersey, Shakirat Oyetunji, Creighton W Don\",\"doi\":\"10.1155/cric/1450803\",\"DOIUrl\":null,\"url\":null,\"abstract\":\"<p><p>Anomalous aortic origin of a coronary artery is a rare congenital heart defect. The detection of anomalous coronary arteries is likely to increase with increased availability and application of cardiac computed tomography and magnetic resonance imaging. Once detected, the recommendation for surgical intervention on anomalous coronary arteries depends upon patient symptoms, the presence or absence of inducible ischemia on stress imaging, and high-risk anatomic features. A 77-year-old man with a history of hypertension, hyperlipidemia, chronic kidney disease Stage III, and moderate aortic stenosis presented with a non-ST-elevation myocardial infarction and was found to have an anomalous aortic origin of the right coronary artery on cross-sectional imaging. His aortic stenosis had also progressed from moderate to severe, and it was not clear whether his myocardial infarction could be exclusively attributed to a supply-demand disparity within the context of profound aortic stenosis or if his aberrant coronary anatomy could be implicated as the culprit for his presentation. A multidisciplinary heart team decided to proceed with a transcatheter aortic valve replacement and then readdress surgical intervention on his anomalous right coronary artery if his anginal symptoms persisted following valve replacement.</p>\",\"PeriodicalId\":51760,\"journal\":{\"name\":\"Case Reports in Cardiology\",\"volume\":\"2025 \",\"pages\":\"1450803\"},\"PeriodicalIF\":0.5000,\"publicationDate\":\"2025-01-04\",\"publicationTypes\":\"Journal Article\",\"fieldsOfStudy\":null,\"isOpenAccess\":false,\"openAccessPdf\":\"https://www.ncbi.nlm.nih.gov/pmc/articles/PMC11724727/pdf/\",\"citationCount\":\"0\",\"resultStr\":null,\"platform\":\"Semanticscholar\",\"paperid\":null,\"PeriodicalName\":\"Case Reports in Cardiology\",\"FirstCategoryId\":\"1085\",\"ListUrlMain\":\"https://doi.org/10.1155/cric/1450803\",\"RegionNum\":0,\"RegionCategory\":null,\"ArticlePicture\":[],\"TitleCN\":null,\"AbstractTextCN\":null,\"PMCID\":null,\"EPubDate\":\"2025/1/1 0:00:00\",\"PubModel\":\"eCollection\",\"JCR\":\"Q4\",\"JCRName\":\"CARDIAC & CARDIOVASCULAR SYSTEMS\",\"Score\":null,\"Total\":0}","platform":"Semanticscholar","paperid":null,"PeriodicalName":"Case Reports in Cardiology","FirstCategoryId":"1085","ListUrlMain":"https://doi.org/10.1155/cric/1450803","RegionNum":0,"RegionCategory":null,"ArticlePicture":[],"TitleCN":null,"AbstractTextCN":null,"PMCID":null,"EPubDate":"2025/1/1 0:00:00","PubModel":"eCollection","JCR":"Q4","JCRName":"CARDIAC & CARDIOVASCULAR SYSTEMS","Score":null,"Total":0}
引用次数: 0

摘要

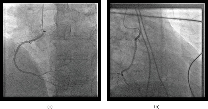
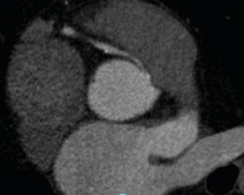
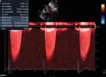
摘要冠状动脉异常起源是一种罕见的先天性心脏缺陷。随着心脏计算机断层扫描和磁共振成像技术的应用,冠状动脉异常的检测可能会增加。一旦发现异常冠状动脉,手术干预的建议取决于患者的症状、应激成像上是否存在诱导性缺血以及高危解剖特征。77岁男性,有高血压、高脂血症、慢性肾脏病III期和中度主动脉狭窄病史,表现为非st段抬高型心肌梗死,横断面成像发现右冠状动脉主动脉起源异常。他的主动脉狭窄也从中度发展到重度,目前尚不清楚他的心肌梗死是否完全归因于主动脉深度狭窄背景下的供需差异,或者他异常的冠状动脉解剖结构是否可能是导致他出现这种情况的罪魁祸首。一个多学科的心脏小组决定进行经导管主动脉瓣置换术,如果他的心绞痛症状在瓣膜置换术后持续存在,然后重新对他的右冠状动脉异常进行手术干预。
本文章由计算机程序翻译,如有差异,请以英文原文为准。

Anomalous Right Coronary Artery: Culprit or Innocent Bystander?

Anomalous Right Coronary Artery: Culprit or Innocent Bystander?

Anomalous Right Coronary Artery: Culprit or Innocent Bystander?

Anomalous Right Coronary Artery: Culprit or Innocent Bystander?

Anomalous aortic origin of a coronary artery is a rare congenital heart defect. The detection of anomalous coronary arteries is likely to increase with increased availability and application of cardiac computed tomography and magnetic resonance imaging. Once detected, the recommendation for surgical intervention on anomalous coronary arteries depends upon patient symptoms, the presence or absence of inducible ischemia on stress imaging, and high-risk anatomic features. A 77-year-old man with a history of hypertension, hyperlipidemia, chronic kidney disease Stage III, and moderate aortic stenosis presented with a non-ST-elevation myocardial infarction and was found to have an anomalous aortic origin of the right coronary artery on cross-sectional imaging. His aortic stenosis had also progressed from moderate to severe, and it was not clear whether his myocardial infarction could be exclusively attributed to a supply-demand disparity within the context of profound aortic stenosis or if his aberrant coronary anatomy could be implicated as the culprit for his presentation. A multidisciplinary heart team decided to proceed with a transcatheter aortic valve replacement and then readdress surgical intervention on his anomalous right coronary artery if his anginal symptoms persisted following valve replacement.

求助全文
通过发布文献求助,成功后即可免费获取论文全文。 去求助
来源期刊
Case Reports in Cardiology
Case Reports in Cardiology CARDIAC & CARDIOVASCULAR SYSTEMS-
自引率
0.00%
发文量
63
审稿时长
13 weeks
期刊介绍: Case Reports in Cardiology is a peer-reviewed, Open Access journal that publishes case reports and case series related to hypertension, arrhythmia, congestive heart failure, valvular heart disease, vascular disease, congenital heart disease and cardiomyopathy.
×
引用
GB/T 7714-2015
复制
MLA
复制
APA
复制
导出至
BibTeX EndNote RefMan NoteFirst NoteExpress
×
提示
您的信息不完整,为了账户安全,请先补充。
现在去补充
×
提示
您因"违规操作"
具体请查看互助需知
我知道了
×
提示
确定
请完成安全验证×
copy
已复制链接
快去分享给好友吧!
我知道了
右上角分享
点击右上角分享
0
联系我们:info@booksci.cn Book学术提供免费学术资源搜索服务,方便国内外学者检索中英文文献。致力于提供最便捷和优质的服务体验。 Copyright © 2023 布克学术 All rights reserved.
京ICP备2023020795号-1
ghs 京公网安备 11010802042870号
Book学术文献互助
Book学术文献互助群
群 号:604180095
Book学术官方微信