评估非轴向力对牙齿影响的研究-裂口截面研究。

IF 2.5 3区 医学 Q1 DENTISTRY, ORAL SURGERY & MEDICINE
Journal of Advanced Prosthodontics Pub Date : 2024-12-01 Epub Date: 2024-12-19 DOI:10.4047/jap.2024.16.6.328
Disha Oberoi, Chethan Hegde
{"title":"评估非轴向力对牙齿影响的研究-裂口截面研究。","authors":"Disha Oberoi, Chethan Hegde","doi":"10.4047/jap.2024.16.6.328","DOIUrl":null,"url":null,"abstract":"<p><strong>Purpose: </strong>Proper tooth alignment directs occlusal forces along the long axis, supporting optimal masticatory function and periodontal health. Deviations that lead to non-axial forces are common; however, teeth with such deviations often maintain optimal health. This study aims to assess various occlusal and periodontal parameters in teeth experiencing non-axial forces to better understand the underlying reasons and mechanisms that contribute to their maintained health status.</p><p><strong>Materials and methods: </strong>Fifty subjects, each with one normally aligned posterior tooth (Group A) and a malaligned contralateral tooth (Group B), were recruited for this study. Clinical assessments were conducted to measure relative occlusal load, gingival status, and alveolar bone levels in both groups. Statistical analyses were performed to compare findings between normally aligned and malaligned teeth.</p><p><strong>Results: </strong>Seventy two percent of malaligned teeth (9.33 ± 6.38%) exhibited reduced relative occlusal force compared to normally aligned teeth (12.05 ± 8.39%). No significant differences in gingival status or alveolar bone levels were observed between the two groups.</p><p><strong>Conclusion: </strong>This study demonstrates that malaligned teeth can adapt to non-axial occlusal forces while preserving their structural integrity, which could imply the presence of adaptive mechanisms within the stomatognathic system. Further research is needed to differentiate the types and directions of occlusal forces and to explore the broader clinical implications of these findings across diverse populations.</p>","PeriodicalId":51291,"journal":{"name":"Journal of Advanced Prosthodontics","volume":"16 6","pages":"328-335"},"PeriodicalIF":2.5000,"publicationDate":"2024-12-01","publicationTypes":"Journal Article","fieldsOfStudy":null,"isOpenAccess":false,"openAccessPdf":"https://www.ncbi.nlm.nih.gov/pmc/articles/PMC11711452/pdf/","citationCount":"0","resultStr":"{\"title\":\"A study to evaluate the influence of non-axial forces on tooth - a split mouth cross-sectional study.\",\"authors\":\"Disha Oberoi, Chethan Hegde\",\"doi\":\"10.4047/jap.2024.16.6.328\",\"DOIUrl\":null,\"url\":null,\"abstract\":\"<p><strong>Purpose: </strong>Proper tooth alignment directs occlusal forces along the long axis, supporting optimal masticatory function and periodontal health. Deviations that lead to non-axial forces are common; however, teeth with such deviations often maintain optimal health. This study aims to assess various occlusal and periodontal parameters in teeth experiencing non-axial forces to better understand the underlying reasons and mechanisms that contribute to their maintained health status.</p><p><strong>Materials and methods: </strong>Fifty subjects, each with one normally aligned posterior tooth (Group A) and a malaligned contralateral tooth (Group B), were recruited for this study. Clinical assessments were conducted to measure relative occlusal load, gingival status, and alveolar bone levels in both groups. Statistical analyses were performed to compare findings between normally aligned and malaligned teeth.</p><p><strong>Results: </strong>Seventy two percent of malaligned teeth (9.33 ± 6.38%) exhibited reduced relative occlusal force compared to normally aligned teeth (12.05 ± 8.39%). No significant differences in gingival status or alveolar bone levels were observed between the two groups.</p><p><strong>Conclusion: </strong>This study demonstrates that malaligned teeth can adapt to non-axial occlusal forces while preserving their structural integrity, which could imply the presence of adaptive mechanisms within the stomatognathic system. Further research is needed to differentiate the types and directions of occlusal forces and to explore the broader clinical implications of these findings across diverse populations.</p>\",\"PeriodicalId\":51291,\"journal\":{\"name\":\"Journal of Advanced Prosthodontics\",\"volume\":\"16 6\",\"pages\":\"328-335\"},\"PeriodicalIF\":2.5000,\"publicationDate\":\"2024-12-01\",\"publicationTypes\":\"Journal Article\",\"fieldsOfStudy\":null,\"isOpenAccess\":false,\"openAccessPdf\":\"https://www.ncbi.nlm.nih.gov/pmc/articles/PMC11711452/pdf/\",\"citationCount\":\"0\",\"resultStr\":null,\"platform\":\"Semanticscholar\",\"paperid\":null,\"PeriodicalName\":\"Journal of Advanced Prosthodontics\",\"FirstCategoryId\":\"3\",\"ListUrlMain\":\"https://doi.org/10.4047/jap.2024.16.6.328\",\"RegionNum\":3,\"RegionCategory\":\"医学\",\"ArticlePicture\":[],\"TitleCN\":null,\"AbstractTextCN\":null,\"PMCID\":null,\"EPubDate\":\"2024/12/19 0:00:00\",\"PubModel\":\"Epub\",\"JCR\":\"Q1\",\"JCRName\":\"DENTISTRY, ORAL SURGERY & MEDICINE\",\"Score\":null,\"Total\":0}","platform":"Semanticscholar","paperid":null,"PeriodicalName":"Journal of Advanced Prosthodontics","FirstCategoryId":"3","ListUrlMain":"https://doi.org/10.4047/jap.2024.16.6.328","RegionNum":3,"RegionCategory":"医学","ArticlePicture":[],"TitleCN":null,"AbstractTextCN":null,"PMCID":null,"EPubDate":"2024/12/19 0:00:00","PubModel":"Epub","JCR":"Q1","JCRName":"DENTISTRY, ORAL SURGERY & MEDICINE","Score":null,"Total":0}
引用次数: 0

摘要

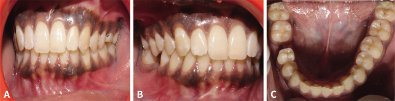
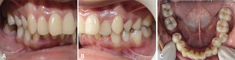
目的:正确的牙齿排列引导咬合力沿着长轴,支持最佳的咀嚼功能和牙周健康。导致非轴向力的偏差是常见的;然而,有这种偏差的牙齿通常保持最佳健康状态。本研究旨在评估牙齿在承受非轴向力时的各种咬合和牙周参数,以更好地了解其维持健康状态的潜在原因和机制。材料和方法:本研究招募50名受试者,每名受试者有一颗正常排列的后牙(A组)和一颗不正排列的对侧牙(B组)。临床评估测量两组患者的相对咬合负荷、牙龈状态和牙槽骨水平。进行统计学分析,比较正常排列和不排列牙齿的结果。结果:与正常牙列(12.05±8.39%)相比,72%(9.33±6.38%)不正牙列的相对咬合力降低。两组间牙龈状态和牙槽骨水平无显著差异。结论:本研究表明,错列牙在保持其结构完整性的同时能够适应非轴向咬合力,这可能表明在口颌系统中存在适应机制。需要进一步的研究来区分咬合力的类型和方向,并探索这些发现在不同人群中更广泛的临床意义。
本文章由计算机程序翻译,如有差异,请以英文原文为准。

A study to evaluate the influence of non-axial forces on tooth - a split mouth cross-sectional study.

A study to evaluate the influence of non-axial forces on tooth - a split mouth cross-sectional study.

A study to evaluate the influence of non-axial forces on tooth - a split mouth cross-sectional study.

A study to evaluate the influence of non-axial forces on tooth - a split mouth cross-sectional study.

Purpose: Proper tooth alignment directs occlusal forces along the long axis, supporting optimal masticatory function and periodontal health. Deviations that lead to non-axial forces are common; however, teeth with such deviations often maintain optimal health. This study aims to assess various occlusal and periodontal parameters in teeth experiencing non-axial forces to better understand the underlying reasons and mechanisms that contribute to their maintained health status.

Materials and methods: Fifty subjects, each with one normally aligned posterior tooth (Group A) and a malaligned contralateral tooth (Group B), were recruited for this study. Clinical assessments were conducted to measure relative occlusal load, gingival status, and alveolar bone levels in both groups. Statistical analyses were performed to compare findings between normally aligned and malaligned teeth.

Results: Seventy two percent of malaligned teeth (9.33 ± 6.38%) exhibited reduced relative occlusal force compared to normally aligned teeth (12.05 ± 8.39%). No significant differences in gingival status or alveolar bone levels were observed between the two groups.

Conclusion: This study demonstrates that malaligned teeth can adapt to non-axial occlusal forces while preserving their structural integrity, which could imply the presence of adaptive mechanisms within the stomatognathic system. Further research is needed to differentiate the types and directions of occlusal forces and to explore the broader clinical implications of these findings across diverse populations.

求助全文
通过发布文献求助,成功后即可免费获取论文全文。 去求助
来源期刊
Journal of Advanced Prosthodontics
Journal of Advanced Prosthodontics DENTISTRY, ORAL SURGERY & MEDICINE-
CiteScore
4.70
自引率
3.80%
发文量
25
期刊介绍: This journal aims to convey scientific and clinical progress in the field of prosthodontics and its related areas to many dental communities concerned with esthetic and functional restorations, occlusion, implants, prostheses, and biomaterials related to prosthodontics. This journal publishes • Original research data of high scientific merit in the field of diagnosis, function, esthetics and stomatognathic physiology related to prosthodontic rehabilitation, physiology and mechanics of occlusion, mechanical and biologic aspects of prosthodontic materials including dental implants. • Review articles by experts on controversies and new developments in prosthodontics. • Case reports if they provide or document new fundamental knowledge.
×
引用
GB/T 7714-2015
复制
MLA
复制
APA
复制
导出至
BibTeX EndNote RefMan NoteFirst NoteExpress
×
提示
您的信息不完整,为了账户安全,请先补充。
现在去补充
×
提示
您因"违规操作"
具体请查看互助需知
我知道了
×
提示
确定
请完成安全验证×
copy
已复制链接
快去分享给好友吧!
我知道了
右上角分享
点击右上角分享
0
联系我们:info@booksci.cn Book学术提供免费学术资源搜索服务,方便国内外学者检索中英文文献。致力于提供最便捷和优质的服务体验。 Copyright © 2023 布克学术 All rights reserved.
京ICP备2023020795号-1
ghs 京公网安备 11010802042870号
Book学术文献互助
Book学术文献互助群
群 号:604180095
Book学术官方微信