[非小细胞肺癌细胞系PC-9耐药突变细胞系
对EGFR抑制剂敏感性的建立及验证]。

Q4 Medicine
Tao Hu, Yang Lou, Mingbo Su
{"title":"[非小细胞肺癌细胞系PC-9耐药突变细胞系\u2029对EGFR抑制剂敏感性的建立及验证]。","authors":"Tao Hu, Yang Lou, Mingbo Su","doi":"10.3779/j.issn.1009-3419.2024.101.31","DOIUrl":null,"url":null,"abstract":"<p><strong>Background: </strong>Mutations in the structural domain of the epidermal growth factor receptor (EGFR) kinase represent a critical pathogenetic factor in non-small cell lung cancer (NSCLC). Small-molecule EGFR-tyrosine kinase inhibitors (TKIs) serve as first-line therapeutic agents for the treatment of EGFR-mutated NSCLC. But the resistance mutations of EGFR restrict the clinical application of EGFR-TKIs. In this study, we constructed a clinically relevant PC-9 EGFRD19/T790M/C797S cellular model featuring the mutation type within the EGFRD19/T790M/C797S. This model aims to investigate the inhibitory effects of small-molecule EGFR-TKIs and to provide a cellular platform for developing a new generation of innovative drugs that target resistance associated with EGFR mutations.</p><p><strong>Methods: </strong>Clustered regularly interspaced short palindromic repeats/CRISPR-associated nuclease 9 (CRISPR/Cas9) technology was employed to knock in the EGFRT790M/C797S mutant fragment into NSCLC PC-9 cells, originally harboring the EGFRD19 mutation, to generate the PC-9 EGFRD19/T790M/C797S cell model. This model, with the EGFRD19/T790M/C797S mutant, was used to investigate the inhibitory effects of EGFR-TKIs on cell proliferation through MTS assay. Additionally, Western blot analysis was conducted to assess the regulation of EGFR protein expression and the phosphorylation levels of downstream signaling molecules, including protein kinase B (AKT) and mitogen-activated protein kinase (MAPK).</p><p><strong>Results: </strong>PC-9 EGFRD19/T790M/C797S cells, with the EGFRD19/T790M/C797S mutation, were successfully generated using CRISPR/Cas9 technology. In terms of proliferation inhibition, the marketed first-, second-, and third-generation EGFR-TKIs that were ineffective against the EGFRD19/T790M/C797S mutation showed weak proliferation inhibitory activity against this cell line, and the proliferation inhibition (half maximal inhibitory concentration, IC50)>1000 nmol/L; in contrast, the fourth-generation EGFR-TKIs in development, which have better efficacy against the EGFRD19/T790M/C797S mutation, showed strong proliferation inhibition in this cell model. On mechanistic validation, the first-, second-, and third-generation EGFR-TKIs had weak inhibitory activity on the phosphorylation of EGFR and the downstream AKT/MAPK signaling pathway in this cell line, whereas the fourth generation of EGFR-TKIs under development significantly inhibited the phosphorylation of EGFR and the downstream AKT/MAPK signaling pathway in this cell line.</p><p><strong>Conclusions: </strong>Using CRISPR/Cas9 technology, the EGFRT790M/C797S mutant fragment was successfully knocked into PC-9 cells to create cell lines harboring the EGFRD19/T790M/C797S mutation. The study demonstrated that the EGFR-TKIs showed different sensitivities to whether the EGFRD19/T790M/C797S mutation was effective or not and different inhibitory effects on the phosphorylation of EGFR and downstream pathways, which demonstrated that this cell line depended on the activation of the EGFRD19/T790M/C797S mutation and EGFR/AKT/MAPK signaling pathway for proliferation. This study provides a clinically relevant cellular evaluation and mechanism validation system for the development of a new generation of innovative drugs targeting EGFR mutation resistance.</p>","PeriodicalId":39317,"journal":{"name":"中国肺癌杂志","volume":"27 11","pages":"815-825"},"PeriodicalIF":0.0000,"publicationDate":"2024-11-20","publicationTypes":"Journal Article","fieldsOfStudy":null,"isOpenAccess":false,"openAccessPdf":"https://www.ncbi.nlm.nih.gov/pmc/articles/PMC11732384/pdf/","citationCount":"0","resultStr":"{\"title\":\"[Non-small Cell Lung Cancer Cell Line PC-9 Drug-resistant Mutant Cell Line \\u2029Establishment and Validation of Their Sensitivity to EGFR Inhibitors].\",\"authors\":\"Tao Hu, Yang Lou, Mingbo Su\",\"doi\":\"10.3779/j.issn.1009-3419.2024.101.31\",\"DOIUrl\":null,\"url\":null,\"abstract\":\"<p><strong>Background: </strong>Mutations in the structural domain of the epidermal growth factor receptor (EGFR) kinase represent a critical pathogenetic factor in non-small cell lung cancer (NSCLC). Small-molecule EGFR-tyrosine kinase inhibitors (TKIs) serve as first-line therapeutic agents for the treatment of EGFR-mutated NSCLC. But the resistance mutations of EGFR restrict the clinical application of EGFR-TKIs. In this study, we constructed a clinically relevant PC-9 EGFRD19/T790M/C797S cellular model featuring the mutation type within the EGFRD19/T790M/C797S. This model aims to investigate the inhibitory effects of small-molecule EGFR-TKIs and to provide a cellular platform for developing a new generation of innovative drugs that target resistance associated with EGFR mutations.</p><p><strong>Methods: </strong>Clustered regularly interspaced short palindromic repeats/CRISPR-associated nuclease 9 (CRISPR/Cas9) technology was employed to knock in the EGFRT790M/C797S mutant fragment into NSCLC PC-9 cells, originally harboring the EGFRD19 mutation, to generate the PC-9 EGFRD19/T790M/C797S cell model. This model, with the EGFRD19/T790M/C797S mutant, was used to investigate the inhibitory effects of EGFR-TKIs on cell proliferation through MTS assay. Additionally, Western blot analysis was conducted to assess the regulation of EGFR protein expression and the phosphorylation levels of downstream signaling molecules, including protein kinase B (AKT) and mitogen-activated protein kinase (MAPK).</p><p><strong>Results: </strong>PC-9 EGFRD19/T790M/C797S cells, with the EGFRD19/T790M/C797S mutation, were successfully generated using CRISPR/Cas9 technology. In terms of proliferation inhibition, the marketed first-, second-, and third-generation EGFR-TKIs that were ineffective against the EGFRD19/T790M/C797S mutation showed weak proliferation inhibitory activity against this cell line, and the proliferation inhibition (half maximal inhibitory concentration, IC50)>1000 nmol/L; in contrast, the fourth-generation EGFR-TKIs in development, which have better efficacy against the EGFRD19/T790M/C797S mutation, showed strong proliferation inhibition in this cell model. On mechanistic validation, the first-, second-, and third-generation EGFR-TKIs had weak inhibitory activity on the phosphorylation of EGFR and the downstream AKT/MAPK signaling pathway in this cell line, whereas the fourth generation of EGFR-TKIs under development significantly inhibited the phosphorylation of EGFR and the downstream AKT/MAPK signaling pathway in this cell line.</p><p><strong>Conclusions: </strong>Using CRISPR/Cas9 technology, the EGFRT790M/C797S mutant fragment was successfully knocked into PC-9 cells to create cell lines harboring the EGFRD19/T790M/C797S mutation. The study demonstrated that the EGFR-TKIs showed different sensitivities to whether the EGFRD19/T790M/C797S mutation was effective or not and different inhibitory effects on the phosphorylation of EGFR and downstream pathways, which demonstrated that this cell line depended on the activation of the EGFRD19/T790M/C797S mutation and EGFR/AKT/MAPK signaling pathway for proliferation. This study provides a clinically relevant cellular evaluation and mechanism validation system for the development of a new generation of innovative drugs targeting EGFR mutation resistance.</p>\",\"PeriodicalId\":39317,\"journal\":{\"name\":\"中国肺癌杂志\",\"volume\":\"27 11\",\"pages\":\"815-825\"},\"PeriodicalIF\":0.0000,\"publicationDate\":\"2024-11-20\",\"publicationTypes\":\"Journal Article\",\"fieldsOfStudy\":null,\"isOpenAccess\":false,\"openAccessPdf\":\"https://www.ncbi.nlm.nih.gov/pmc/articles/PMC11732384/pdf/\",\"citationCount\":\"0\",\"resultStr\":null,\"platform\":\"Semanticscholar\",\"paperid\":null,\"PeriodicalName\":\"中国肺癌杂志\",\"FirstCategoryId\":\"3\",\"ListUrlMain\":\"https://doi.org/10.3779/j.issn.1009-3419.2024.101.31\",\"RegionNum\":0,\"RegionCategory\":null,\"ArticlePicture\":[],\"TitleCN\":null,\"AbstractTextCN\":null,\"PMCID\":null,\"EPubDate\":\"\",\"PubModel\":\"\",\"JCR\":\"Q4\",\"JCRName\":\"Medicine\",\"Score\":null,\"Total\":0}","platform":"Semanticscholar","paperid":null,"PeriodicalName":"中国肺癌杂志","FirstCategoryId":"3","ListUrlMain":"https://doi.org/10.3779/j.issn.1009-3419.2024.101.31","RegionNum":0,"RegionCategory":null,"ArticlePicture":[],"TitleCN":null,"AbstractTextCN":null,"PMCID":null,"EPubDate":"","PubModel":"","JCR":"Q4","JCRName":"Medicine","Score":null,"Total":0}
引用次数: 0

摘要

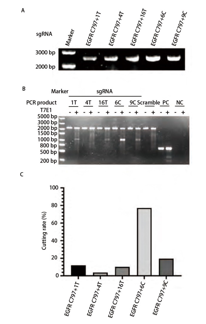
背景:表皮生长因子受体(EGFR)激酶结构域的突变是非小细胞肺癌(NSCLC)的一个关键致病因素。小分子egfr -酪氨酸激酶抑制剂(TKIs)是治疗egfr突变的非小细胞肺癌的一线治疗药物。但EGFR的耐药突变限制了EGFR- tkis的临床应用。在本研究中,我们构建了具有临床相关性的PC-9 EGFRD19/T790M/C797S细胞模型,该模型具有EGFRD19/T790M/C797S内的突变类型。该模型旨在研究小分子EGFR- tkis的抑制作用,并为开发新一代靶向与EGFR突变相关的耐药性的创新药物提供细胞平台。方法:采用聚类规则间隔短回词重复/CRISPR相关核酸酶9 (CRISPR/Cas9)技术,将EGFRT790M/C797S突变片段敲入原含有EGFRD19突变的NSCLC PC-9细胞中,生成PC-9 EGFRD19/T790M/C797S细胞模型。该模型采用EGFRD19/T790M/C797S突变体,通过MTS法研究EGFR-TKIs对细胞增殖的抑制作用。此外,我们还进行了Western blot分析,以评估EGFR蛋白表达的调控以及下游信号分子的磷酸化水平,包括蛋白激酶B (AKT)和丝裂原活化蛋白激酶(MAPK)。结果:利用CRISPR/Cas9技术成功生成EGFRD19/T790M/C797S突变的PC-9 EGFRD19/T790M/C797S细胞在增殖抑制方面,已上市的第一代、第二代和第三代EGFR-TKIs对EGFRD19/T790M/C797S突变无效,对该细胞系的增殖抑制活性较弱,增殖抑制(最大抑制浓度的一半,IC50)低于1000 nmol/L;相比之下,正在开发的第四代EGFR-TKIs对EGFRD19/T790M/C797S突变有更好的疗效,在该细胞模型中表现出较强的增殖抑制作用。在机制验证中,第一代、第二代和第三代EGFR- tkis在该细胞系中对EGFR磷酸化和下游AKT/MAPK信号通路具有较弱的抑制活性,而正在开发的第四代EGFR- tkis在该细胞系中显著抑制EGFR磷酸化和下游AKT/MAPK信号通路。结论:利用CRISPR/Cas9技术,EGFRT790M/C797S突变片段成功敲入PC-9细胞,构建了EGFRD19/T790M/C797S突变细胞系。研究表明,EGFR- tkis对EGFRD19/T790M/C797S突变是否有效表现出不同的敏感性,对EGFR磷酸化及下游通路的抑制作用也不同,表明该细胞系依赖于EGFRD19/T790M/C797S突变和EGFR/AKT/MAPK信号通路的激活进行增殖。本研究为开发新一代靶向EGFR突变耐药的创新药物提供了临床相关的细胞评价和机制验证体系。
本文章由计算机程序翻译,如有差异,请以英文原文为准。

[Non-small Cell Lung Cancer Cell Line PC-9 Drug-resistant Mutant Cell Line 
Establishment and Validation of Their Sensitivity to EGFR Inhibitors].

[Non-small Cell Lung Cancer Cell Line PC-9 Drug-resistant Mutant Cell Line 
Establishment and Validation of Their Sensitivity to EGFR Inhibitors].

[Non-small Cell Lung Cancer Cell Line PC-9 Drug-resistant Mutant Cell Line 
Establishment and Validation of Their Sensitivity to EGFR Inhibitors].

[Non-small Cell Lung Cancer Cell Line PC-9 Drug-resistant Mutant Cell Line 
Establishment and Validation of Their Sensitivity to EGFR Inhibitors].

Background: Mutations in the structural domain of the epidermal growth factor receptor (EGFR) kinase represent a critical pathogenetic factor in non-small cell lung cancer (NSCLC). Small-molecule EGFR-tyrosine kinase inhibitors (TKIs) serve as first-line therapeutic agents for the treatment of EGFR-mutated NSCLC. But the resistance mutations of EGFR restrict the clinical application of EGFR-TKIs. In this study, we constructed a clinically relevant PC-9 EGFRD19/T790M/C797S cellular model featuring the mutation type within the EGFRD19/T790M/C797S. This model aims to investigate the inhibitory effects of small-molecule EGFR-TKIs and to provide a cellular platform for developing a new generation of innovative drugs that target resistance associated with EGFR mutations.

Methods: Clustered regularly interspaced short palindromic repeats/CRISPR-associated nuclease 9 (CRISPR/Cas9) technology was employed to knock in the EGFRT790M/C797S mutant fragment into NSCLC PC-9 cells, originally harboring the EGFRD19 mutation, to generate the PC-9 EGFRD19/T790M/C797S cell model. This model, with the EGFRD19/T790M/C797S mutant, was used to investigate the inhibitory effects of EGFR-TKIs on cell proliferation through MTS assay. Additionally, Western blot analysis was conducted to assess the regulation of EGFR protein expression and the phosphorylation levels of downstream signaling molecules, including protein kinase B (AKT) and mitogen-activated protein kinase (MAPK).

Results: PC-9 EGFRD19/T790M/C797S cells, with the EGFRD19/T790M/C797S mutation, were successfully generated using CRISPR/Cas9 technology. In terms of proliferation inhibition, the marketed first-, second-, and third-generation EGFR-TKIs that were ineffective against the EGFRD19/T790M/C797S mutation showed weak proliferation inhibitory activity against this cell line, and the proliferation inhibition (half maximal inhibitory concentration, IC50)>1000 nmol/L; in contrast, the fourth-generation EGFR-TKIs in development, which have better efficacy against the EGFRD19/T790M/C797S mutation, showed strong proliferation inhibition in this cell model. On mechanistic validation, the first-, second-, and third-generation EGFR-TKIs had weak inhibitory activity on the phosphorylation of EGFR and the downstream AKT/MAPK signaling pathway in this cell line, whereas the fourth generation of EGFR-TKIs under development significantly inhibited the phosphorylation of EGFR and the downstream AKT/MAPK signaling pathway in this cell line.

Conclusions: Using CRISPR/Cas9 technology, the EGFRT790M/C797S mutant fragment was successfully knocked into PC-9 cells to create cell lines harboring the EGFRD19/T790M/C797S mutation. The study demonstrated that the EGFR-TKIs showed different sensitivities to whether the EGFRD19/T790M/C797S mutation was effective or not and different inhibitory effects on the phosphorylation of EGFR and downstream pathways, which demonstrated that this cell line depended on the activation of the EGFRD19/T790M/C797S mutation and EGFR/AKT/MAPK signaling pathway for proliferation. This study provides a clinically relevant cellular evaluation and mechanism validation system for the development of a new generation of innovative drugs targeting EGFR mutation resistance.

求助全文
通过发布文献求助,成功后即可免费获取论文全文。 去求助
来源期刊
中国肺癌杂志
中国肺癌杂志 Medicine-Pulmonary and Respiratory Medicine
CiteScore
1.40
自引率
0.00%
发文量
5131
审稿时长
14 weeks
期刊介绍: Chinese Journal of Lung Cancer(CJLC, pISSN 1009-3419, eISSN 1999-6187), a monthly Open Access journal, is hosted by Chinese Anti-Cancer Association, Chinese Antituberculosis Association, Tianjin Medical University General Hospital. CJLC was indexed in DOAJ, EMBASE/SCOPUS, Chemical Abstract(CA), CSA-Biological Science, HINARI, EBSCO-CINAHL,CABI Abstract, Global Health, CNKI, etc. Editor-in-Chief: Professor Qinghua ZHOU.
×
引用
GB/T 7714-2015
复制
MLA
复制
APA
复制
导出至
BibTeX EndNote RefMan NoteFirst NoteExpress
×
提示
您的信息不完整,为了账户安全,请先补充。
现在去补充
×
提示
您因"违规操作"
具体请查看互助需知
我知道了
×
提示
确定
请完成安全验证×
copy
已复制链接
快去分享给好友吧!
我知道了
右上角分享
点击右上角分享
0
联系我们:info@booksci.cn Book学术提供免费学术资源搜索服务,方便国内外学者检索中英文文献。致力于提供最便捷和优质的服务体验。 Copyright © 2023 布克学术 All rights reserved.
京ICP备2023020795号-1
ghs 京公网安备 11010802042870号
Book学术文献互助
Book学术文献互助群
群 号:604180095
Book学术官方微信