近视牵引性黄斑病变多发视网膜中央凹旁脱离。

IF 1.2 Q4 OPHTHALMOLOGY
Taiwan Journal of Ophthalmology Pub Date : 2024-11-26 eCollection Date: 2024-10-01 DOI:10.4103/tjo.TJO-D-24-00077
Tsai-Chu Yeh, Shih-Jen Chen
{"title":"近视牵引性黄斑病变多发视网膜中央凹旁脱离。","authors":"Tsai-Chu Yeh, Shih-Jen Chen","doi":"10.4103/tjo.TJO-D-24-00077","DOIUrl":null,"url":null,"abstract":"<p><p>This study investigates the occurrence of multiple parafoveal retinal detachments (RDs) in myopic traction maculopathy (MTM), emphasizing the atypical extrafoveal involvement compared to central foveal detachment commonly observed. Patient 1, a 46-year-old male, exhibited MTM with retinoschisis and four small subretinal fluid (SRF) pockets inferior to the fovea, accompanied by a hyperautofluorescent vitelliform deposit. Patient 2, a 43-year-old male, reported ring-shaped dim vision in the left eye, displaying MTM with six stable SRF pockets surrounding the fovea. These SRF pockets maintained a stable size ranging from 173 to 1140 um in diameter over the course of a 5-year follow-up period. Interestingly, fluorescein and indocyanine angiography showed no leakage or hyperpermeability in both cases. The study highlights the necessity for a comprehensive exploration of extrafoveal RDs in MTM, challenging conventional expectations. The mechanism of these persistent extrafoveal detachments associated with myopic schisis was unknown. The findings prompt further research to unravel the intricate mechanisms of this rarely reported phenomenon, emphasizing the importance of expanding our understanding of extrafoveal manifestations in eyes with MTM.</p>","PeriodicalId":44978,"journal":{"name":"Taiwan Journal of Ophthalmology","volume":"14 4","pages":"624-628"},"PeriodicalIF":1.2000,"publicationDate":"2024-11-26","publicationTypes":"Journal Article","fieldsOfStudy":null,"isOpenAccess":false,"openAccessPdf":"https://www.ncbi.nlm.nih.gov/pmc/articles/PMC11717334/pdf/","citationCount":"0","resultStr":"{\"title\":\"Multiple parafoveal retinal detachment in myopic tractional maculopathy.\",\"authors\":\"Tsai-Chu Yeh, Shih-Jen Chen\",\"doi\":\"10.4103/tjo.TJO-D-24-00077\",\"DOIUrl\":null,\"url\":null,\"abstract\":\"<p><p>This study investigates the occurrence of multiple parafoveal retinal detachments (RDs) in myopic traction maculopathy (MTM), emphasizing the atypical extrafoveal involvement compared to central foveal detachment commonly observed. Patient 1, a 46-year-old male, exhibited MTM with retinoschisis and four small subretinal fluid (SRF) pockets inferior to the fovea, accompanied by a hyperautofluorescent vitelliform deposit. Patient 2, a 43-year-old male, reported ring-shaped dim vision in the left eye, displaying MTM with six stable SRF pockets surrounding the fovea. These SRF pockets maintained a stable size ranging from 173 to 1140 um in diameter over the course of a 5-year follow-up period. Interestingly, fluorescein and indocyanine angiography showed no leakage or hyperpermeability in both cases. The study highlights the necessity for a comprehensive exploration of extrafoveal RDs in MTM, challenging conventional expectations. The mechanism of these persistent extrafoveal detachments associated with myopic schisis was unknown. The findings prompt further research to unravel the intricate mechanisms of this rarely reported phenomenon, emphasizing the importance of expanding our understanding of extrafoveal manifestations in eyes with MTM.</p>\",\"PeriodicalId\":44978,\"journal\":{\"name\":\"Taiwan Journal of Ophthalmology\",\"volume\":\"14 4\",\"pages\":\"624-628\"},\"PeriodicalIF\":1.2000,\"publicationDate\":\"2024-11-26\",\"publicationTypes\":\"Journal Article\",\"fieldsOfStudy\":null,\"isOpenAccess\":false,\"openAccessPdf\":\"https://www.ncbi.nlm.nih.gov/pmc/articles/PMC11717334/pdf/\",\"citationCount\":\"0\",\"resultStr\":null,\"platform\":\"Semanticscholar\",\"paperid\":null,\"PeriodicalName\":\"Taiwan Journal of Ophthalmology\",\"FirstCategoryId\":\"1085\",\"ListUrlMain\":\"https://doi.org/10.4103/tjo.TJO-D-24-00077\",\"RegionNum\":0,\"RegionCategory\":null,\"ArticlePicture\":[],\"TitleCN\":null,\"AbstractTextCN\":null,\"PMCID\":null,\"EPubDate\":\"2024/10/1 0:00:00\",\"PubModel\":\"eCollection\",\"JCR\":\"Q4\",\"JCRName\":\"OPHTHALMOLOGY\",\"Score\":null,\"Total\":0}","platform":"Semanticscholar","paperid":null,"PeriodicalName":"Taiwan Journal of Ophthalmology","FirstCategoryId":"1085","ListUrlMain":"https://doi.org/10.4103/tjo.TJO-D-24-00077","RegionNum":0,"RegionCategory":null,"ArticlePicture":[],"TitleCN":null,"AbstractTextCN":null,"PMCID":null,"EPubDate":"2024/10/1 0:00:00","PubModel":"eCollection","JCR":"Q4","JCRName":"OPHTHALMOLOGY","Score":null,"Total":0}
引用次数: 0

摘要

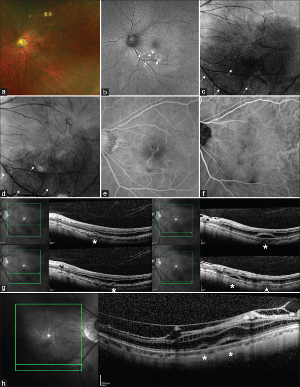
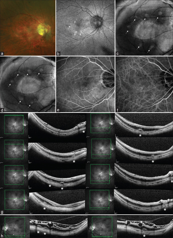
本研究探讨了近视牵拉性黄斑病变(MTM)中多发中央凹旁视网膜脱离(rd)的发生情况,强调了与通常观察到的中央凹脱离相比,非典型的中央凹外受累。患者1,46岁男性,表现为MTM伴视网膜裂和四个小视网膜下液(SRF)袋,位于中央窝下方,伴高自荧光卵黄样沉积物。患者2,43岁男性,报告左眼环状模糊视力,显示MTM,中央窝周围有六个稳定的SRF袋。在5年的随访期间,这些SRF袋的直径保持在173 - 1140微米的稳定大小。有趣的是,荧光素和吲哚菁血管造影均未显示渗漏或高渗透性。该研究强调了在MTM中全面探索中心外rd的必要性,挑战了传统的期望。这些与近视裂相关的持续的中央凹外脱离的机制尚不清楚。这些发现促使进一步研究揭示这种罕见现象的复杂机制,强调了扩大我们对MTM眼睛中凹外表现的理解的重要性。
本文章由计算机程序翻译,如有差异,请以英文原文为准。

Multiple parafoveal retinal detachment in myopic tractional maculopathy.

Multiple parafoveal retinal detachment in myopic tractional maculopathy.

Multiple parafoveal retinal detachment in myopic tractional maculopathy.

This study investigates the occurrence of multiple parafoveal retinal detachments (RDs) in myopic traction maculopathy (MTM), emphasizing the atypical extrafoveal involvement compared to central foveal detachment commonly observed. Patient 1, a 46-year-old male, exhibited MTM with retinoschisis and four small subretinal fluid (SRF) pockets inferior to the fovea, accompanied by a hyperautofluorescent vitelliform deposit. Patient 2, a 43-year-old male, reported ring-shaped dim vision in the left eye, displaying MTM with six stable SRF pockets surrounding the fovea. These SRF pockets maintained a stable size ranging from 173 to 1140 um in diameter over the course of a 5-year follow-up period. Interestingly, fluorescein and indocyanine angiography showed no leakage or hyperpermeability in both cases. The study highlights the necessity for a comprehensive exploration of extrafoveal RDs in MTM, challenging conventional expectations. The mechanism of these persistent extrafoveal detachments associated with myopic schisis was unknown. The findings prompt further research to unravel the intricate mechanisms of this rarely reported phenomenon, emphasizing the importance of expanding our understanding of extrafoveal manifestations in eyes with MTM.

求助全文
通过发布文献求助,成功后即可免费获取论文全文。 去求助
来源期刊
CiteScore
1.80
自引率
9.10%
发文量
68
审稿时长
19 weeks
×
引用
GB/T 7714-2015
复制
MLA
复制
APA
复制
导出至
BibTeX EndNote RefMan NoteFirst NoteExpress
×
提示
您的信息不完整,为了账户安全,请先补充。
现在去补充
×
提示
您因"违规操作"
具体请查看互助需知
我知道了
×
提示
确定
请完成安全验证×
copy
已复制链接
快去分享给好友吧!
我知道了
右上角分享
点击右上角分享
0
联系我们:info@booksci.cn Book学术提供免费学术资源搜索服务,方便国内外学者检索中英文文献。致力于提供最便捷和优质的服务体验。 Copyright © 2023 布克学术 All rights reserved.
京ICP备2023020795号-1
ghs 京公网安备 11010802042870号
Book学术文献互助
Book学术文献互助群
群 号:604180095
Book学术官方微信