结核性脊柱炎所致脊髓损伤误诊为转移性脊柱炎及细菌性脊柱炎1例报告及文献复习。

Q3 Medicine
Korean Journal of Neurotrauma Pub Date : 2024-12-17 eCollection Date: 2024-12-01 DOI:10.13004/kjnt.2024.20.e41
Seong Hyun Wui, Myeong Jin Ko, Byung-Jou Lee, Subum Lee, Woo-Keun Kwon
{"title":"结核性脊柱炎所致脊髓损伤误诊为转移性脊柱炎及细菌性脊柱炎1例报告及文献复习。","authors":"Seong Hyun Wui, Myeong Jin Ko, Byung-Jou Lee, Subum Lee, Woo-Keun Kwon","doi":"10.13004/kjnt.2024.20.e41","DOIUrl":null,"url":null,"abstract":"<p><p>Tuberculous (TB) spondylitis, also known as Pott's disease, was first described by Percivall Pott in 1779. The diagnosis of TB spondylitis is often delayed because of the non-specific nature of the infection, which can lead to severe consequences. Differential diagnosis is especially critical in cancer patients undergoing chemotherapy who present with lymph node or bone metastasis. We present the case of a 76-year-old female with advanced gastric cancer, who was initially suspected of having a metastatic spinal tumor and bacterial spondylitis. The patient presented with lower limb paralysis and was diagnosed with metastatic cancer, resulting in a loss of hope for recovery. However, following the subsequent diagnosis of TB spondylitis and multiple surgical interventions, the patient achieved complete remission and significant improvement, ultimately regaining the ability to walk independently. This case highlights the importance of accurate diagnosis and timely intervention in cases where the initial presentations may mimic metastatic disease.</p>","PeriodicalId":36879,"journal":{"name":"Korean Journal of Neurotrauma","volume":"20 4","pages":"246-251"},"PeriodicalIF":0.0000,"publicationDate":"2024-12-17","publicationTypes":"Journal Article","fieldsOfStudy":null,"isOpenAccess":false,"openAccessPdf":"https://www.ncbi.nlm.nih.gov/pmc/articles/PMC11711030/pdf/","citationCount":"0","resultStr":"{\"title\":\"Spinal Cord Injury From Tuberculous Spondylitis Misdiagnosed as Metastatic Spinal Tumor and Bacterial Spondylitis: A Case Report & Literature Review.\",\"authors\":\"Seong Hyun Wui, Myeong Jin Ko, Byung-Jou Lee, Subum Lee, Woo-Keun Kwon\",\"doi\":\"10.13004/kjnt.2024.20.e41\",\"DOIUrl\":null,\"url\":null,\"abstract\":\"<p><p>Tuberculous (TB) spondylitis, also known as Pott's disease, was first described by Percivall Pott in 1779. The diagnosis of TB spondylitis is often delayed because of the non-specific nature of the infection, which can lead to severe consequences. Differential diagnosis is especially critical in cancer patients undergoing chemotherapy who present with lymph node or bone metastasis. We present the case of a 76-year-old female with advanced gastric cancer, who was initially suspected of having a metastatic spinal tumor and bacterial spondylitis. The patient presented with lower limb paralysis and was diagnosed with metastatic cancer, resulting in a loss of hope for recovery. However, following the subsequent diagnosis of TB spondylitis and multiple surgical interventions, the patient achieved complete remission and significant improvement, ultimately regaining the ability to walk independently. This case highlights the importance of accurate diagnosis and timely intervention in cases where the initial presentations may mimic metastatic disease.</p>\",\"PeriodicalId\":36879,\"journal\":{\"name\":\"Korean Journal of Neurotrauma\",\"volume\":\"20 4\",\"pages\":\"246-251\"},\"PeriodicalIF\":0.0000,\"publicationDate\":\"2024-12-17\",\"publicationTypes\":\"Journal Article\",\"fieldsOfStudy\":null,\"isOpenAccess\":false,\"openAccessPdf\":\"https://www.ncbi.nlm.nih.gov/pmc/articles/PMC11711030/pdf/\",\"citationCount\":\"0\",\"resultStr\":null,\"platform\":\"Semanticscholar\",\"paperid\":null,\"PeriodicalName\":\"Korean Journal of Neurotrauma\",\"FirstCategoryId\":\"1085\",\"ListUrlMain\":\"https://doi.org/10.13004/kjnt.2024.20.e41\",\"RegionNum\":0,\"RegionCategory\":null,\"ArticlePicture\":[],\"TitleCN\":null,\"AbstractTextCN\":null,\"PMCID\":null,\"EPubDate\":\"2024/12/1 0:00:00\",\"PubModel\":\"eCollection\",\"JCR\":\"Q3\",\"JCRName\":\"Medicine\",\"Score\":null,\"Total\":0}","platform":"Semanticscholar","paperid":null,"PeriodicalName":"Korean Journal of Neurotrauma","FirstCategoryId":"1085","ListUrlMain":"https://doi.org/10.13004/kjnt.2024.20.e41","RegionNum":0,"RegionCategory":null,"ArticlePicture":[],"TitleCN":null,"AbstractTextCN":null,"PMCID":null,"EPubDate":"2024/12/1 0:00:00","PubModel":"eCollection","JCR":"Q3","JCRName":"Medicine","Score":null,"Total":0}
引用次数: 0

摘要

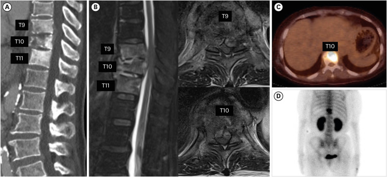
结核性脊柱炎,又称波特病,于1779年由珀西瓦尔·波特首次描述。由于感染的非特异性,结核性脊柱炎的诊断常常被推迟,这可能导致严重的后果。鉴别诊断对化疗后出现淋巴结或骨转移的癌症患者尤为重要。我们提出的情况下,76岁的女性胃癌晚期,谁最初怀疑有转移性脊柱肿瘤和细菌性脊柱炎。患者表现为下肢瘫痪,并被诊断为转移性癌症,导致失去康复的希望。然而,在随后的结核性脊柱炎诊断和多次手术干预后,患者完全缓解并显著改善,最终恢复了独立行走的能力。这个病例强调了准确诊断和及时干预的重要性,在病例的最初表现可能模仿转移性疾病。
本文章由计算机程序翻译,如有差异,请以英文原文为准。

Spinal Cord Injury From Tuberculous Spondylitis Misdiagnosed as Metastatic Spinal Tumor and Bacterial Spondylitis: A Case Report & Literature Review.

Spinal Cord Injury From Tuberculous Spondylitis Misdiagnosed as Metastatic Spinal Tumor and Bacterial Spondylitis: A Case Report & Literature Review.

Spinal Cord Injury From Tuberculous Spondylitis Misdiagnosed as Metastatic Spinal Tumor and Bacterial Spondylitis: A Case Report & Literature Review.

Spinal Cord Injury From Tuberculous Spondylitis Misdiagnosed as Metastatic Spinal Tumor and Bacterial Spondylitis: A Case Report & Literature Review.

Tuberculous (TB) spondylitis, also known as Pott's disease, was first described by Percivall Pott in 1779. The diagnosis of TB spondylitis is often delayed because of the non-specific nature of the infection, which can lead to severe consequences. Differential diagnosis is especially critical in cancer patients undergoing chemotherapy who present with lymph node or bone metastasis. We present the case of a 76-year-old female with advanced gastric cancer, who was initially suspected of having a metastatic spinal tumor and bacterial spondylitis. The patient presented with lower limb paralysis and was diagnosed with metastatic cancer, resulting in a loss of hope for recovery. However, following the subsequent diagnosis of TB spondylitis and multiple surgical interventions, the patient achieved complete remission and significant improvement, ultimately regaining the ability to walk independently. This case highlights the importance of accurate diagnosis and timely intervention in cases where the initial presentations may mimic metastatic disease.

求助全文
通过发布文献求助,成功后即可免费获取论文全文。 去求助
来源期刊
CiteScore
1.10
自引率
0.00%
发文量
41
×
引用
GB/T 7714-2015
复制
MLA
复制
APA
复制
导出至
BibTeX EndNote RefMan NoteFirst NoteExpress
×
提示
您的信息不完整,为了账户安全,请先补充。
现在去补充
×
提示
您因"违规操作"
具体请查看互助需知
我知道了
×
提示
确定
请完成安全验证×
copy
已复制链接
快去分享给好友吧!
我知道了
右上角分享
点击右上角分享
0
联系我们:info@booksci.cn Book学术提供免费学术资源搜索服务,方便国内外学者检索中英文文献。致力于提供最便捷和优质的服务体验。 Copyright © 2023 布克学术 All rights reserved.
京ICP备2023020795号-1
ghs 京公网安备 11010802042870号
Book学术文献互助
Book学术文献互助群
群 号:604180095
Book学术官方微信