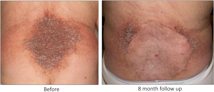
二氧化碳激光治疗达里尔病。

IF 5.2
Hasina Maredia MD, Christian Baum MD, Randall Roenigk MD, Addison Demer MD
{"title":"二氧化碳激光治疗达里尔病。","authors":"Hasina Maredia MD, Christian Baum MD, Randall Roenigk MD, Addison Demer MD","doi":"10.1016/j.jdin.2024.10.004","DOIUrl":null,"url":null,"abstract":"","PeriodicalId":34410,"journal":{"name":"JAAD International","volume":"18 ","pages":"Pages 161-164"},"PeriodicalIF":5.2000,"publicationDate":"2025-02-01","publicationTypes":"Journal Article","fieldsOfStudy":null,"isOpenAccess":false,"openAccessPdf":"https://www.ncbi.nlm.nih.gov/pmc/articles/PMC11722907/pdf/","citationCount":"0","resultStr":"{\"title\":\"Carbon dioxide laser treatment for Darier disease\",\"authors\":\"Hasina Maredia MD, Christian Baum MD, Randall Roenigk MD, Addison Demer MD\",\"doi\":\"10.1016/j.jdin.2024.10.004\",\"DOIUrl\":null,\"url\":null,\"abstract\":\"\",\"PeriodicalId\":34410,\"journal\":{\"name\":\"JAAD International\",\"volume\":\"18 \",\"pages\":\"Pages 161-164\"},\"PeriodicalIF\":5.2000,\"publicationDate\":\"2025-02-01\",\"publicationTypes\":\"Journal Article\",\"fieldsOfStudy\":null,\"isOpenAccess\":false,\"openAccessPdf\":\"https://www.ncbi.nlm.nih.gov/pmc/articles/PMC11722907/pdf/\",\"citationCount\":\"0\",\"resultStr\":null,\"platform\":\"Semanticscholar\",\"paperid\":null,\"PeriodicalName\":\"JAAD International\",\"FirstCategoryId\":\"1085\",\"ListUrlMain\":\"https://www.sciencedirect.com/science/article/pii/S2666328724001688\",\"RegionNum\":0,\"RegionCategory\":null,\"ArticlePicture\":[],\"TitleCN\":null,\"AbstractTextCN\":null,\"PMCID\":null,\"EPubDate\":\"\",\"PubModel\":\"\",\"JCR\":\"\",\"JCRName\":\"\",\"Score\":null,\"Total\":0}","platform":"Semanticscholar","paperid":null,"PeriodicalName":"JAAD International","FirstCategoryId":"1085","ListUrlMain":"https://www.sciencedirect.com/science/article/pii/S2666328724001688","RegionNum":0,"RegionCategory":null,"ArticlePicture":[],"TitleCN":null,"AbstractTextCN":null,"PMCID":null,"EPubDate":"","PubModel":"","JCR":"","JCRName":"","Score":null,"Total":0}
引用次数: 0

摘要

本文章由计算机程序翻译,如有差异,请以英文原文为准。

Carbon dioxide laser treatment for Darier disease

Carbon dioxide laser treatment for Darier disease
求助全文
通过发布文献求助,成功后即可免费获取论文全文。 去求助
来源期刊
JAAD International
JAAD International Medicine-Dermatology
CiteScore
3.60
自引率
0.00%
发文量
169
审稿时长
45 days
×
引用
GB/T 7714-2015
复制
MLA
复制
APA
复制
导出至
BibTeX EndNote RefMan NoteFirst NoteExpress
×
提示
您的信息不完整,为了账户安全,请先补充。
现在去补充
×
提示
您因"违规操作"
具体请查看互助需知
我知道了
×
提示
确定
请完成安全验证×
copy
已复制链接
快去分享给好友吧!
我知道了
右上角分享
点击右上角分享
0
联系我们:info@booksci.cn Book学术提供免费学术资源搜索服务,方便国内外学者检索中英文文献。致力于提供最便捷和优质的服务体验。 Copyright © 2023 布克学术 All rights reserved.
京ICP备2023020795号-1
ghs 京公网安备 11010802042870号
Book学术文献互助
Book学术文献互助群
群 号:604180095
Book学术官方微信