山羊第七颈椎和多余肋骨过渡性食管狭窄继发于腔外食管狭窄的节段性食管肥大。

IF 1.5 2区 农林科学 Q2 VETERINARY SCIENCES
Kari L Means, Kekauilani Zukeran-Kerr, Kayla Le, Seng Wai Yap, Kelsey Brown, Lorelei Clarke
{"title":"山羊第七颈椎和多余肋骨过渡性食管狭窄继发于腔外食管狭窄的节段性食管肥大。","authors":"Kari L Means, Kekauilani Zukeran-Kerr, Kayla Le, Seng Wai Yap, Kelsey Brown, Lorelei Clarke","doi":"10.1111/vru.70009","DOIUrl":null,"url":null,"abstract":"<p><p>A 4-year-old Nigerian Dwarf wether presented for chronic regurgitation and cervical swelling of three years duration. Physical examination revealed a large ventral cervical mass. The goat made repeated attempts to swallow and regurgitate, but the mass did not change significantly in size. Cervical radiographs revealed segmental esophageal dilation to the level of the thoracic inlet. CT revealed a transitional seventh cervical vertebra with fused right and left ribs, resulting in extramural esophageal compression and obstruction at the level of the thoracic inlet. This is the first report of a cervical rib causing megaesophagus in a goat.</p>","PeriodicalId":23581,"journal":{"name":"Veterinary Radiology & Ultrasound","volume":"66 1","pages":"e70009"},"PeriodicalIF":1.5000,"publicationDate":"2025-01-01","publicationTypes":"Journal Article","fieldsOfStudy":null,"isOpenAccess":false,"openAccessPdf":"https://www.ncbi.nlm.nih.gov/pmc/articles/PMC11724706/pdf/","citationCount":"0","resultStr":"{\"title\":\"Segmental Megaesophagus Secondary to Extraluminal Esophageal Stenosis Caused by Transitional Seventh Cervical Vertebra and Supernumerary Ribs in a Goat.\",\"authors\":\"Kari L Means, Kekauilani Zukeran-Kerr, Kayla Le, Seng Wai Yap, Kelsey Brown, Lorelei Clarke\",\"doi\":\"10.1111/vru.70009\",\"DOIUrl\":null,\"url\":null,\"abstract\":\"<p><p>A 4-year-old Nigerian Dwarf wether presented for chronic regurgitation and cervical swelling of three years duration. Physical examination revealed a large ventral cervical mass. The goat made repeated attempts to swallow and regurgitate, but the mass did not change significantly in size. Cervical radiographs revealed segmental esophageal dilation to the level of the thoracic inlet. CT revealed a transitional seventh cervical vertebra with fused right and left ribs, resulting in extramural esophageal compression and obstruction at the level of the thoracic inlet. This is the first report of a cervical rib causing megaesophagus in a goat.</p>\",\"PeriodicalId\":23581,\"journal\":{\"name\":\"Veterinary Radiology & Ultrasound\",\"volume\":\"66 1\",\"pages\":\"e70009\"},\"PeriodicalIF\":1.5000,\"publicationDate\":\"2025-01-01\",\"publicationTypes\":\"Journal Article\",\"fieldsOfStudy\":null,\"isOpenAccess\":false,\"openAccessPdf\":\"https://www.ncbi.nlm.nih.gov/pmc/articles/PMC11724706/pdf/\",\"citationCount\":\"0\",\"resultStr\":null,\"platform\":\"Semanticscholar\",\"paperid\":null,\"PeriodicalName\":\"Veterinary Radiology & Ultrasound\",\"FirstCategoryId\":\"97\",\"ListUrlMain\":\"https://doi.org/10.1111/vru.70009\",\"RegionNum\":2,\"RegionCategory\":\"农林科学\",\"ArticlePicture\":[],\"TitleCN\":null,\"AbstractTextCN\":null,\"PMCID\":null,\"EPubDate\":\"\",\"PubModel\":\"\",\"JCR\":\"Q2\",\"JCRName\":\"VETERINARY SCIENCES\",\"Score\":null,\"Total\":0}","platform":"Semanticscholar","paperid":null,"PeriodicalName":"Veterinary Radiology & Ultrasound","FirstCategoryId":"97","ListUrlMain":"https://doi.org/10.1111/vru.70009","RegionNum":2,"RegionCategory":"农林科学","ArticlePicture":[],"TitleCN":null,"AbstractTextCN":null,"PMCID":null,"EPubDate":"","PubModel":"","JCR":"Q2","JCRName":"VETERINARY SCIENCES","Score":null,"Total":0}
引用次数: 0

摘要

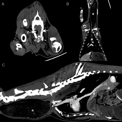
一个4岁的尼日利亚侏儒提出慢性反流和颈部肿胀的三年持续时间。体格检查发现颈部腹侧有一个大肿块。山羊多次尝试吞咽和反刍,但肿块的大小没有明显变化。颈椎x线片显示食道节段性扩张至胸入口水平。CT显示过渡性第七颈椎伴左右肋骨融合,导致食管外压迫和胸入口水平梗阻。这是山羊颈肋引起食管肥大的第一个报告。
本文章由计算机程序翻译,如有差异,请以英文原文为准。

Segmental Megaesophagus Secondary to Extraluminal Esophageal Stenosis Caused by Transitional Seventh Cervical Vertebra and Supernumerary Ribs in a Goat.

Segmental Megaesophagus Secondary to Extraluminal Esophageal Stenosis Caused by Transitional Seventh Cervical Vertebra and Supernumerary Ribs in a Goat.

Segmental Megaesophagus Secondary to Extraluminal Esophageal Stenosis Caused by Transitional Seventh Cervical Vertebra and Supernumerary Ribs in a Goat.

Segmental Megaesophagus Secondary to Extraluminal Esophageal Stenosis Caused by Transitional Seventh Cervical Vertebra and Supernumerary Ribs in a Goat.

A 4-year-old Nigerian Dwarf wether presented for chronic regurgitation and cervical swelling of three years duration. Physical examination revealed a large ventral cervical mass. The goat made repeated attempts to swallow and regurgitate, but the mass did not change significantly in size. Cervical radiographs revealed segmental esophageal dilation to the level of the thoracic inlet. CT revealed a transitional seventh cervical vertebra with fused right and left ribs, resulting in extramural esophageal compression and obstruction at the level of the thoracic inlet. This is the first report of a cervical rib causing megaesophagus in a goat.

求助全文
通过发布文献求助,成功后即可免费获取论文全文。 去求助
来源期刊
Veterinary Radiology & Ultrasound
Veterinary Radiology & Ultrasound 农林科学-兽医学
CiteScore
2.40
自引率
17.60%
发文量
133
审稿时长
8-16 weeks
期刊介绍: Veterinary Radiology & Ultrasound is a bimonthly, international, peer-reviewed, research journal devoted to the fields of veterinary diagnostic imaging and radiation oncology. Established in 1958, it is owned by the American College of Veterinary Radiology and is also the official journal for six affiliate veterinary organizations. Veterinary Radiology & Ultrasound is represented on the International Committee of Medical Journal Editors, World Association of Medical Editors, and Committee on Publication Ethics. The mission of Veterinary Radiology & Ultrasound is to serve as a leading resource for high quality articles that advance scientific knowledge and standards of clinical practice in the areas of veterinary diagnostic radiology, computed tomography, magnetic resonance imaging, ultrasonography, nuclear imaging, radiation oncology, and interventional radiology. Manuscript types include original investigations, imaging diagnosis reports, review articles, editorials and letters to the Editor. Acceptance criteria include originality, significance, quality, reader interest, composition and adherence to author guidelines.
×
引用
GB/T 7714-2015
复制
MLA
复制
APA
复制
导出至
BibTeX EndNote RefMan NoteFirst NoteExpress
×
提示
您的信息不完整,为了账户安全,请先补充。
现在去补充
×
提示
您因"违规操作"
具体请查看互助需知
我知道了
×
提示
确定
请完成安全验证×
copy
已复制链接
快去分享给好友吧!
我知道了
右上角分享
点击右上角分享
0
联系我们:info@booksci.cn Book学术提供免费学术资源搜索服务,方便国内外学者检索中英文文献。致力于提供最便捷和优质的服务体验。 Copyright © 2023 布克学术 All rights reserved.
京ICP备2023020795号-1
ghs 京公网安备 11010802042870号
Book学术文献互助
Book学术文献互助群
群 号:604180095
Book学术官方微信