妊娠中期双角子宫破裂1例。

IF 0.6 Q4 OBSTETRICS & GYNECOLOGY
Mesfin Ayalew Tsegaye, Zelalem Adugna Mekonnen, Dawit Takele Lemma, Alemayehu Nigusssie Adugna, Rebecca Haile Tesfay
{"title":"妊娠中期双角子宫破裂1例。","authors":"Mesfin Ayalew Tsegaye,&nbsp;Zelalem Adugna Mekonnen,&nbsp;Dawit Takele Lemma,&nbsp;Alemayehu Nigusssie Adugna,&nbsp;Rebecca Haile Tesfay","doi":"10.1016/j.crwh.2024.e00676","DOIUrl":null,"url":null,"abstract":"<div><div>Uterine rupture is a rare but serious complication that predominantly occurs in the third trimester of pregnancy. It is exceptionally uncommon in the second trimester, particularly in the presence of uterine anomalies such as a bicornuate uterus or uterus didelphys. This case report presents a significant instance of second-trimester uterine rupture associated with a bicornuate uterus, resulting in a life-threatening intra-abdominal hemorrhage of approximately 4000 mL. The case report details the clinical presentation, diagnostic challenges, and management strategies used in this case, highlighting the critical importance of prompt recognition and intervention in similar scenarios to improve maternal outcomes.</div></div>","PeriodicalId":9657,"journal":{"name":"Case Reports in Women's Health","volume":"45 ","pages":"Article e00676"},"PeriodicalIF":0.6000,"publicationDate":"2024-12-14","publicationTypes":"Journal Article","fieldsOfStudy":null,"isOpenAccess":false,"openAccessPdf":"https://www.ncbi.nlm.nih.gov/pmc/articles/PMC11720432/pdf/","citationCount":"0","resultStr":"{\"title\":\"Second-trimester uterine rupture in bicornuate uterus: A case report\",\"authors\":\"Mesfin Ayalew Tsegaye,&nbsp;Zelalem Adugna Mekonnen,&nbsp;Dawit Takele Lemma,&nbsp;Alemayehu Nigusssie Adugna,&nbsp;Rebecca Haile Tesfay\",\"doi\":\"10.1016/j.crwh.2024.e00676\",\"DOIUrl\":null,\"url\":null,\"abstract\":\"<div><div>Uterine rupture is a rare but serious complication that predominantly occurs in the third trimester of pregnancy. It is exceptionally uncommon in the second trimester, particularly in the presence of uterine anomalies such as a bicornuate uterus or uterus didelphys. This case report presents a significant instance of second-trimester uterine rupture associated with a bicornuate uterus, resulting in a life-threatening intra-abdominal hemorrhage of approximately 4000 mL. The case report details the clinical presentation, diagnostic challenges, and management strategies used in this case, highlighting the critical importance of prompt recognition and intervention in similar scenarios to improve maternal outcomes.</div></div>\",\"PeriodicalId\":9657,\"journal\":{\"name\":\"Case Reports in Women's Health\",\"volume\":\"45 \",\"pages\":\"Article e00676\"},\"PeriodicalIF\":0.6000,\"publicationDate\":\"2024-12-14\",\"publicationTypes\":\"Journal Article\",\"fieldsOfStudy\":null,\"isOpenAccess\":false,\"openAccessPdf\":\"https://www.ncbi.nlm.nih.gov/pmc/articles/PMC11720432/pdf/\",\"citationCount\":\"0\",\"resultStr\":null,\"platform\":\"Semanticscholar\",\"paperid\":null,\"PeriodicalName\":\"Case Reports in Women's Health\",\"FirstCategoryId\":\"1085\",\"ListUrlMain\":\"https://www.sciencedirect.com/science/article/pii/S2214911224000973\",\"RegionNum\":0,\"RegionCategory\":null,\"ArticlePicture\":[],\"TitleCN\":null,\"AbstractTextCN\":null,\"PMCID\":null,\"EPubDate\":\"\",\"PubModel\":\"\",\"JCR\":\"Q4\",\"JCRName\":\"OBSTETRICS & GYNECOLOGY\",\"Score\":null,\"Total\":0}","platform":"Semanticscholar","paperid":null,"PeriodicalName":"Case Reports in Women's Health","FirstCategoryId":"1085","ListUrlMain":"https://www.sciencedirect.com/science/article/pii/S2214911224000973","RegionNum":0,"RegionCategory":null,"ArticlePicture":[],"TitleCN":null,"AbstractTextCN":null,"PMCID":null,"EPubDate":"","PubModel":"","JCR":"Q4","JCRName":"OBSTETRICS & GYNECOLOGY","Score":null,"Total":0}
引用次数: 0

摘要

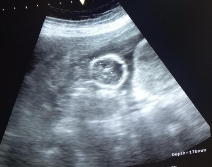
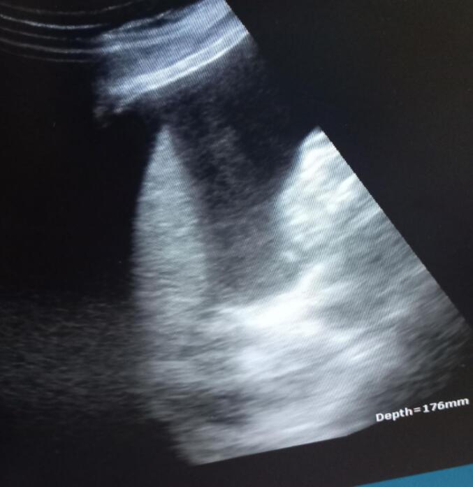
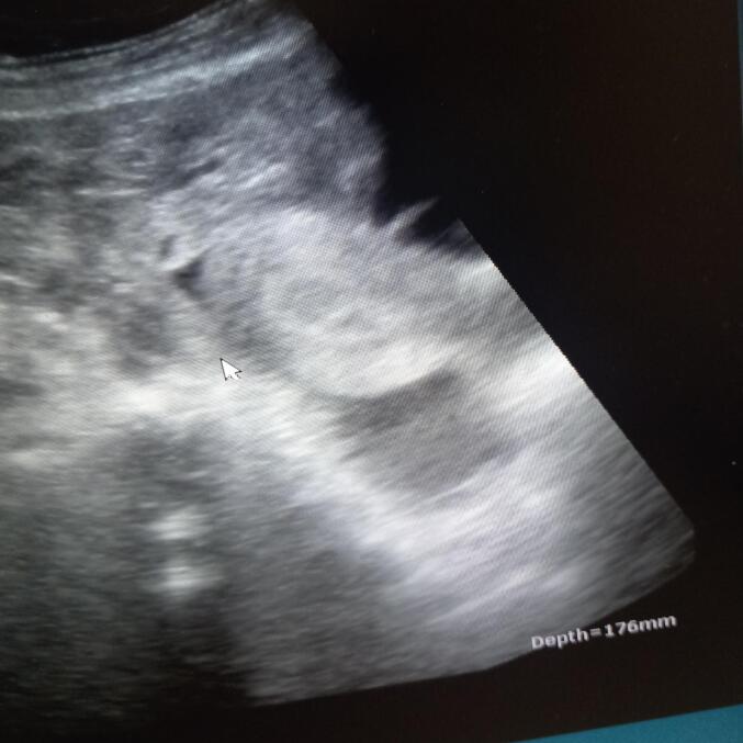
子宫破裂是一种罕见但严重的并发症,主要发生在妊娠晚期。在妊娠中期尤其罕见,特别是在存在子宫异常,如双角子宫或子宫双裂。本病例报告提出了一个重要的妊娠中期子宫破裂合并双角子宫的病例,导致约4000毫升危及生命的腹腔出血。病例报告详细介绍了该病例的临床表现、诊断挑战和治疗策略,强调了在类似情况下及时识别和干预的重要性,以改善产妇结局。
本文章由计算机程序翻译,如有差异,请以英文原文为准。

Second-trimester uterine rupture in bicornuate uterus: A case report

Second-trimester uterine rupture in bicornuate uterus: A case report

Second-trimester uterine rupture in bicornuate uterus: A case report

Second-trimester uterine rupture in bicornuate uterus: A case report
Uterine rupture is a rare but serious complication that predominantly occurs in the third trimester of pregnancy. It is exceptionally uncommon in the second trimester, particularly in the presence of uterine anomalies such as a bicornuate uterus or uterus didelphys. This case report presents a significant instance of second-trimester uterine rupture associated with a bicornuate uterus, resulting in a life-threatening intra-abdominal hemorrhage of approximately 4000 mL. The case report details the clinical presentation, diagnostic challenges, and management strategies used in this case, highlighting the critical importance of prompt recognition and intervention in similar scenarios to improve maternal outcomes.
求助全文
通过发布文献求助,成功后即可免费获取论文全文。 去求助
来源期刊
Case Reports in Women's Health
Case Reports in Women's Health Medicine-Obstetrics and Gynecology
CiteScore
2.10
自引率
0.00%
发文量
89
审稿时长
7 days
×
引用
GB/T 7714-2015
复制
MLA
复制
APA
复制
导出至
BibTeX EndNote RefMan NoteFirst NoteExpress
×
提示
您的信息不完整,为了账户安全,请先补充。
现在去补充
×
提示
您因"违规操作"
具体请查看互助需知
我知道了
×
提示
确定
请完成安全验证×
copy
已复制链接
快去分享给好友吧!
我知道了
右上角分享
点击右上角分享
0
联系我们:info@booksci.cn Book学术提供免费学术资源搜索服务,方便国内外学者检索中英文文献。致力于提供最便捷和优质的服务体验。 Copyright © 2023 布克学术 All rights reserved.
京ICP备2023020795号-1
ghs 京公网安备 11010802042870号
Book学术文献互助
Book学术文献互助群
群 号:604180095
Book学术官方微信