神经囊虫病:解开放射学难题。

Polish journal of radiology Pub Date : 2024-11-28 eCollection Date: 2024-01-01 DOI:10.5114/pjr/193968
Sharath Kumar Goddu Govindappa, Megharanjini Patil, Chaitra Parameshwara Adiga, Sujit Kumar, Lakshmikanth N Goolahally, Savith Kumar, Thomas Mathew
{"title":"神经囊虫病:解开放射学难题。","authors":"Sharath Kumar Goddu Govindappa, Megharanjini Patil, Chaitra Parameshwara Adiga, Sujit Kumar, Lakshmikanth N Goolahally, Savith Kumar, Thomas Mathew","doi":"10.5114/pjr/193968","DOIUrl":null,"url":null,"abstract":"<p><strong>Purpose: </strong>To study the distinct imaging characteristics of parenchymal neurocysticercosis (NCC) that aid in distinguishing it from other diseases.</p><p><strong>Material and methods: </strong>Two hundred fifty patients with NCC were selected based on identification of the scolex. T2 weighted, T1 fluid attenuated inversion recovery (FLAIR), T2 FLAIR, susceptibility weighted imaging, constructive interference in steady state, diffusion weighted imaging, and T1 weighted contrast sequences were performed. The imaging characteristics of the cysts at various stages were analyzed.</p><p><strong>Results: </strong>This study presents previously undocumented imaging findings of NCC, establishing absolute, major, and minor criteria for its diagnosis based on magnetic resonance imaging features.</p><p><strong>Conclusions: </strong>Utilizing imaging criteria for diagnosing NCC, as per the study's sequences, can effectively narrow down differential diagnoses and lead to accurate identification.</p>","PeriodicalId":94174,"journal":{"name":"Polish journal of radiology","volume":"89 ","pages":"e549-e560"},"PeriodicalIF":0.0000,"publicationDate":"2024-11-28","publicationTypes":"Journal Article","fieldsOfStudy":null,"isOpenAccess":false,"openAccessPdf":"https://www.ncbi.nlm.nih.gov/pmc/articles/PMC11705042/pdf/","citationCount":"0","resultStr":"{\"title\":\"Neurocysticercosis: unwinding the radiological conundrum.\",\"authors\":\"Sharath Kumar Goddu Govindappa, Megharanjini Patil, Chaitra Parameshwara Adiga, Sujit Kumar, Lakshmikanth N Goolahally, Savith Kumar, Thomas Mathew\",\"doi\":\"10.5114/pjr/193968\",\"DOIUrl\":null,\"url\":null,\"abstract\":\"<p><strong>Purpose: </strong>To study the distinct imaging characteristics of parenchymal neurocysticercosis (NCC) that aid in distinguishing it from other diseases.</p><p><strong>Material and methods: </strong>Two hundred fifty patients with NCC were selected based on identification of the scolex. T2 weighted, T1 fluid attenuated inversion recovery (FLAIR), T2 FLAIR, susceptibility weighted imaging, constructive interference in steady state, diffusion weighted imaging, and T1 weighted contrast sequences were performed. The imaging characteristics of the cysts at various stages were analyzed.</p><p><strong>Results: </strong>This study presents previously undocumented imaging findings of NCC, establishing absolute, major, and minor criteria for its diagnosis based on magnetic resonance imaging features.</p><p><strong>Conclusions: </strong>Utilizing imaging criteria for diagnosing NCC, as per the study's sequences, can effectively narrow down differential diagnoses and lead to accurate identification.</p>\",\"PeriodicalId\":94174,\"journal\":{\"name\":\"Polish journal of radiology\",\"volume\":\"89 \",\"pages\":\"e549-e560\"},\"PeriodicalIF\":0.0000,\"publicationDate\":\"2024-11-28\",\"publicationTypes\":\"Journal Article\",\"fieldsOfStudy\":null,\"isOpenAccess\":false,\"openAccessPdf\":\"https://www.ncbi.nlm.nih.gov/pmc/articles/PMC11705042/pdf/\",\"citationCount\":\"0\",\"resultStr\":null,\"platform\":\"Semanticscholar\",\"paperid\":null,\"PeriodicalName\":\"Polish journal of radiology\",\"FirstCategoryId\":\"1085\",\"ListUrlMain\":\"https://doi.org/10.5114/pjr/193968\",\"RegionNum\":0,\"RegionCategory\":null,\"ArticlePicture\":[],\"TitleCN\":null,\"AbstractTextCN\":null,\"PMCID\":null,\"EPubDate\":\"2024/1/1 0:00:00\",\"PubModel\":\"eCollection\",\"JCR\":\"\",\"JCRName\":\"\",\"Score\":null,\"Total\":0}","platform":"Semanticscholar","paperid":null,"PeriodicalName":"Polish journal of radiology","FirstCategoryId":"1085","ListUrlMain":"https://doi.org/10.5114/pjr/193968","RegionNum":0,"RegionCategory":null,"ArticlePicture":[],"TitleCN":null,"AbstractTextCN":null,"PMCID":null,"EPubDate":"2024/1/1 0:00:00","PubModel":"eCollection","JCR":"","JCRName":"","Score":null,"Total":0}
引用次数: 0

摘要

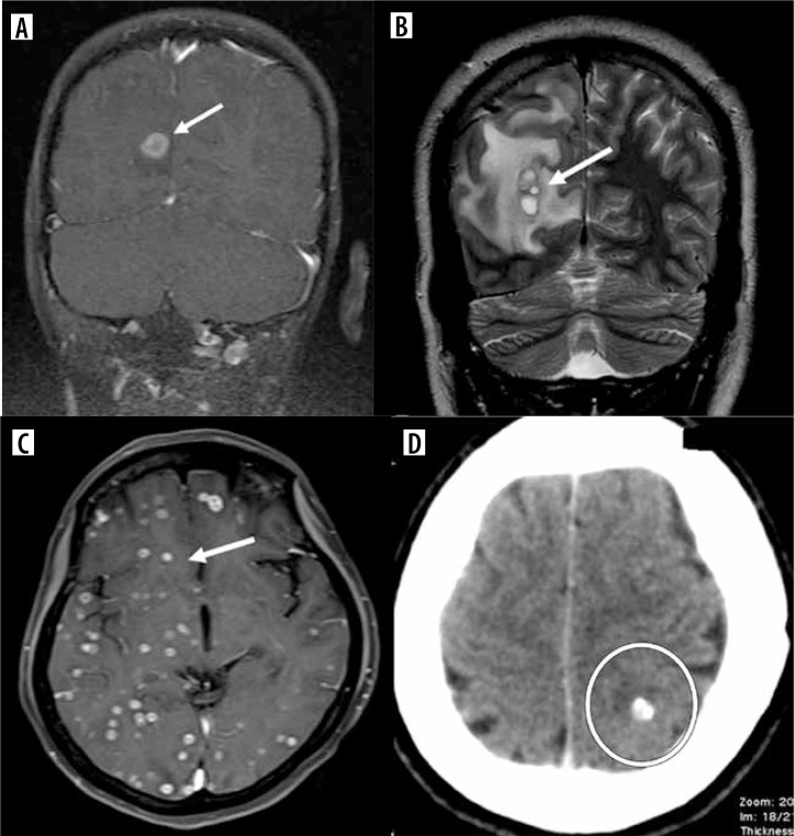
目的:探讨实质性神经囊虫病(NCC)独特的影像学特征,有助于与其他疾病鉴别。材料和方法:根据头节的鉴定选择250例NCC患者。进行T2加权、T1流体衰减反演恢复(FLAIR)、T2 FLAIR、磁化率加权成像、稳态构造干涉、扩散加权成像和T1加权对比序列。分析囊肿各阶段的影像学特征。结果:本研究提出了以前未记载的NCC的影像学表现,建立了基于磁共振成像特征的绝对、主要和次要诊断标准。结论:根据本研究的序列,利用影像学标准诊断NCC,可有效缩小鉴别诊断范围,准确识别。
本文章由计算机程序翻译,如有差异,请以英文原文为准。

Neurocysticercosis: unwinding the radiological conundrum.

Neurocysticercosis: unwinding the radiological conundrum.

Neurocysticercosis: unwinding the radiological conundrum.

Neurocysticercosis: unwinding the radiological conundrum.

Purpose: To study the distinct imaging characteristics of parenchymal neurocysticercosis (NCC) that aid in distinguishing it from other diseases.

Material and methods: Two hundred fifty patients with NCC were selected based on identification of the scolex. T2 weighted, T1 fluid attenuated inversion recovery (FLAIR), T2 FLAIR, susceptibility weighted imaging, constructive interference in steady state, diffusion weighted imaging, and T1 weighted contrast sequences were performed. The imaging characteristics of the cysts at various stages were analyzed.

Results: This study presents previously undocumented imaging findings of NCC, establishing absolute, major, and minor criteria for its diagnosis based on magnetic resonance imaging features.

Conclusions: Utilizing imaging criteria for diagnosing NCC, as per the study's sequences, can effectively narrow down differential diagnoses and lead to accurate identification.

求助全文
通过发布文献求助,成功后即可免费获取论文全文。 去求助
来源期刊
CiteScore
2.10
自引率
0.00%
发文量
0
×
引用
GB/T 7714-2015
复制
MLA
复制
APA
复制
导出至
BibTeX EndNote RefMan NoteFirst NoteExpress
×
提示
您的信息不完整,为了账户安全,请先补充。
现在去补充
×
提示
您因"违规操作"
具体请查看互助需知
我知道了
×
提示
确定
请完成安全验证×
copy
已复制链接
快去分享给好友吧!
我知道了
右上角分享
点击右上角分享
0
联系我们:info@booksci.cn Book学术提供免费学术资源搜索服务,方便国内外学者检索中英文文献。致力于提供最便捷和优质的服务体验。 Copyright © 2023 布克学术 All rights reserved.
京ICP备2023020795号-1
ghs 京公网安备 11010802042870号
Book学术文献互助
Book学术文献互助群
群 号:604180095
Book学术官方微信