肺气肿性食管炎的保守治疗1例。

Mediastinum (Hong Kong, China) Pub Date : 2024-07-15 eCollection Date: 2024-01-01 DOI:10.21037/med-24-16
Taekyung Kang, Mi-Jin Kang
{"title":"肺气肿性食管炎的保守治疗1例。","authors":"Taekyung Kang, Mi-Jin Kang","doi":"10.21037/med-24-16","DOIUrl":null,"url":null,"abstract":"<p><strong>Background: </strong>Emphysematous esophagitis is a very rare disease and there are only a few previous reports in the literature. Previously reported cases have resulted in emphysematous esophagitis following anterior cervical procedures or ingestion of hydrogen peroxide (HP). In this report, we describe a case in which a patient with emphysematous esophagitis accompanied by gastritis without the above predisposing factors was treated with conservative treatment.</p><p><strong>Case description: </strong>A 65-year-old woman was admitted to Inje University Sanggye Paik Hospital with general weakness, abdominal discomfort, nausea and chest discomfort. On chest and abdominal radiographs, there were abnormal air density in upper mediastinum and abdomen. Chest and abdomen computed tomography (CT) revealed mural air at entire esophagus and stomach. The patient managed with proton pump inhibitor (PPI), broad spectrum antibiotic therapy, and total parenteral nutrition (TPN).</p><p><strong>Conclusions: </strong>Emphysematous gastritis occurs mainly along with emphysematous gastritis, with a mortality rate of up to 62%. It is mainly known to be caused by infection of the esophageal wall by gas forming bacteria, but there are also cases where there is no ingestion or exact cause. There is still controversy about treatment methods due to the high death rate, but if detected early like the reported patient, a good outcome can be expected with conservative treatment alone.</p>","PeriodicalId":74139,"journal":{"name":"Mediastinum (Hong Kong, China)","volume":"8 ","pages":"53"},"PeriodicalIF":0.0000,"publicationDate":"2024-07-15","publicationTypes":"Journal Article","fieldsOfStudy":null,"isOpenAccess":false,"openAccessPdf":"https://www.ncbi.nlm.nih.gov/pmc/articles/PMC11707435/pdf/","citationCount":"0","resultStr":"{\"title\":\"Conservative management of emphysematous esophagitis-a case report.\",\"authors\":\"Taekyung Kang, Mi-Jin Kang\",\"doi\":\"10.21037/med-24-16\",\"DOIUrl\":null,\"url\":null,\"abstract\":\"<p><strong>Background: </strong>Emphysematous esophagitis is a very rare disease and there are only a few previous reports in the literature. Previously reported cases have resulted in emphysematous esophagitis following anterior cervical procedures or ingestion of hydrogen peroxide (HP). In this report, we describe a case in which a patient with emphysematous esophagitis accompanied by gastritis without the above predisposing factors was treated with conservative treatment.</p><p><strong>Case description: </strong>A 65-year-old woman was admitted to Inje University Sanggye Paik Hospital with general weakness, abdominal discomfort, nausea and chest discomfort. On chest and abdominal radiographs, there were abnormal air density in upper mediastinum and abdomen. Chest and abdomen computed tomography (CT) revealed mural air at entire esophagus and stomach. The patient managed with proton pump inhibitor (PPI), broad spectrum antibiotic therapy, and total parenteral nutrition (TPN).</p><p><strong>Conclusions: </strong>Emphysematous gastritis occurs mainly along with emphysematous gastritis, with a mortality rate of up to 62%. It is mainly known to be caused by infection of the esophageal wall by gas forming bacteria, but there are also cases where there is no ingestion or exact cause. There is still controversy about treatment methods due to the high death rate, but if detected early like the reported patient, a good outcome can be expected with conservative treatment alone.</p>\",\"PeriodicalId\":74139,\"journal\":{\"name\":\"Mediastinum (Hong Kong, China)\",\"volume\":\"8 \",\"pages\":\"53\"},\"PeriodicalIF\":0.0000,\"publicationDate\":\"2024-07-15\",\"publicationTypes\":\"Journal Article\",\"fieldsOfStudy\":null,\"isOpenAccess\":false,\"openAccessPdf\":\"https://www.ncbi.nlm.nih.gov/pmc/articles/PMC11707435/pdf/\",\"citationCount\":\"0\",\"resultStr\":null,\"platform\":\"Semanticscholar\",\"paperid\":null,\"PeriodicalName\":\"Mediastinum (Hong Kong, China)\",\"FirstCategoryId\":\"1085\",\"ListUrlMain\":\"https://doi.org/10.21037/med-24-16\",\"RegionNum\":0,\"RegionCategory\":null,\"ArticlePicture\":[],\"TitleCN\":null,\"AbstractTextCN\":null,\"PMCID\":null,\"EPubDate\":\"2024/1/1 0:00:00\",\"PubModel\":\"eCollection\",\"JCR\":\"\",\"JCRName\":\"\",\"Score\":null,\"Total\":0}","platform":"Semanticscholar","paperid":null,"PeriodicalName":"Mediastinum (Hong Kong, China)","FirstCategoryId":"1085","ListUrlMain":"https://doi.org/10.21037/med-24-16","RegionNum":0,"RegionCategory":null,"ArticlePicture":[],"TitleCN":null,"AbstractTextCN":null,"PMCID":null,"EPubDate":"2024/1/1 0:00:00","PubModel":"eCollection","JCR":"","JCRName":"","Score":null,"Total":0}
引用次数: 0

摘要

背景:肺气肿性食管炎是一种非常罕见的疾病,文献报道很少。以前报道的病例导致肺气肿性食管炎后,颈椎前路手术或摄取过氧化氢(HP)。在这篇报告中,我们描述了一例没有上述易感因素的肺气性食管炎合并胃炎患者接受保守治疗的病例。病例描述:一名65岁妇女因全身无力、腹部不适、恶心和胸部不适被仁济大学Sanggye Paik医院收治。胸腹平片显示上纵隔及腹部空气密度异常。胸部及腹部电脑断层扫描显示整个食道及胃内有壁气。患者接受质子泵抑制剂(PPI)、广谱抗生素治疗和全肠外营养(TPN)治疗。结论:气肿性胃炎主要伴发于气肿性胃炎,病死率高达62%。它主要是由形成气体的细菌感染食管壁引起的,但也有没有摄入或确切原因的病例。由于死亡率高,目前对治疗方法仍有争议,但如果像报道的患者一样早期发现,单纯保守治疗可取得良好效果。
本文章由计算机程序翻译,如有差异,请以英文原文为准。

Conservative management of emphysematous esophagitis-a case report.

Conservative management of emphysematous esophagitis-a case report.

Conservative management of emphysematous esophagitis-a case report.

Conservative management of emphysematous esophagitis-a case report.

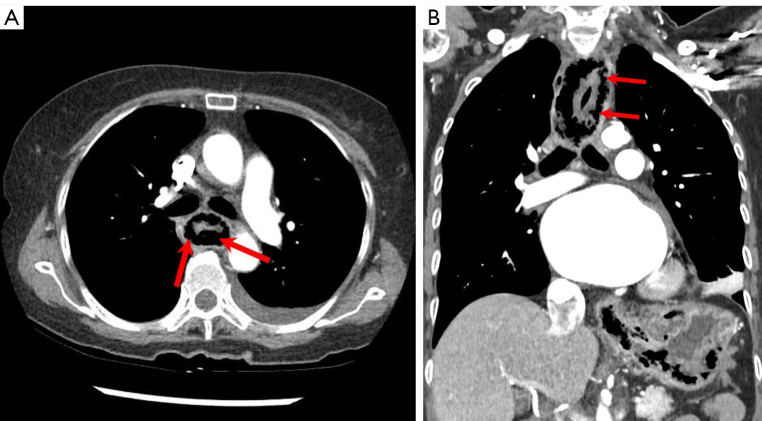
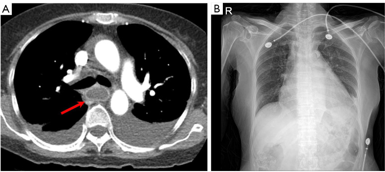
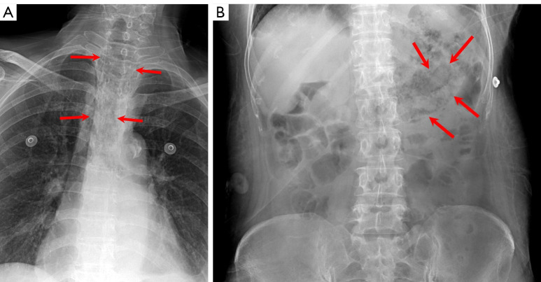
Background: Emphysematous esophagitis is a very rare disease and there are only a few previous reports in the literature. Previously reported cases have resulted in emphysematous esophagitis following anterior cervical procedures or ingestion of hydrogen peroxide (HP). In this report, we describe a case in which a patient with emphysematous esophagitis accompanied by gastritis without the above predisposing factors was treated with conservative treatment.

Case description: A 65-year-old woman was admitted to Inje University Sanggye Paik Hospital with general weakness, abdominal discomfort, nausea and chest discomfort. On chest and abdominal radiographs, there were abnormal air density in upper mediastinum and abdomen. Chest and abdomen computed tomography (CT) revealed mural air at entire esophagus and stomach. The patient managed with proton pump inhibitor (PPI), broad spectrum antibiotic therapy, and total parenteral nutrition (TPN).

Conclusions: Emphysematous gastritis occurs mainly along with emphysematous gastritis, with a mortality rate of up to 62%. It is mainly known to be caused by infection of the esophageal wall by gas forming bacteria, but there are also cases where there is no ingestion or exact cause. There is still controversy about treatment methods due to the high death rate, but if detected early like the reported patient, a good outcome can be expected with conservative treatment alone.

求助全文
通过发布文献求助,成功后即可免费获取论文全文。 去求助
来源期刊
CiteScore
1.20
自引率
0.00%
发文量
0
×
引用
GB/T 7714-2015
复制
MLA
复制
APA
复制
导出至
BibTeX EndNote RefMan NoteFirst NoteExpress
×
提示
您的信息不完整,为了账户安全,请先补充。
现在去补充
×
提示
您因"违规操作"
具体请查看互助需知
我知道了
×
提示
确定
请完成安全验证×
copy
已复制链接
快去分享给好友吧!
我知道了
右上角分享
点击右上角分享
0
联系我们:info@booksci.cn Book学术提供免费学术资源搜索服务,方便国内外学者检索中英文文献。致力于提供最便捷和优质的服务体验。 Copyright © 2023 布克学术 All rights reserved.
京ICP备2023020795号-1
ghs 京公网安备 11010802042870号
Book学术文献互助
Book学术文献互助群
群 号:604180095
Book学术官方微信