支气管镜下肺体积缩小合并同侧胸腔积液。

IF 0.7 Q4 RESPIRATORY SYSTEM
Marc Assaad, Wasif Shamsi, Anthony Loschner, Maria del Mar Cirino-Marcano
{"title":"支气管镜下肺体积缩小合并同侧胸腔积液。","authors":"Marc Assaad,&nbsp;Wasif Shamsi,&nbsp;Anthony Loschner,&nbsp;Maria del Mar Cirino-Marcano","doi":"10.1016/j.rmcr.2024.102151","DOIUrl":null,"url":null,"abstract":"<div><div>Chronic obstructive lung disease is the third leading cause of death worldwide. It affects the airways and lung parenchyma leading to emphysema. Bronchoscopic lung volume reduction is another strategy that aims to reduce air trapping and hyperinflation, leading to improvement in symptoms and pulmonary function. Several techniques have been employed, one of them is the blocking method using Zephyr or Spiration valves. The use of both valves is approved by the Food and Drug Administration view their established efficacy in improving lung functions, quality of life and survival. Although they have a relatively safe profile, several adverse events have been reported, pneumothorax being the most common and pleural effusion being the least reported. We show herein, a case of 74-year-old female presenting with pleural effusion secondary to bronchoscopic lung volume reduction. Although uncommon, highlighting this potential outcome is crucial.</div></div>","PeriodicalId":51565,"journal":{"name":"Respiratory Medicine Case Reports","volume":"53 ","pages":"Article 102151"},"PeriodicalIF":0.7000,"publicationDate":"2025-01-01","publicationTypes":"Journal Article","fieldsOfStudy":null,"isOpenAccess":false,"openAccessPdf":"https://www.ncbi.nlm.nih.gov/pmc/articles/PMC11713475/pdf/","citationCount":"0","resultStr":"{\"title\":\"Bronchoscopic lung volume reduction complicated by ipsilateral pleural effusion\",\"authors\":\"Marc Assaad,&nbsp;Wasif Shamsi,&nbsp;Anthony Loschner,&nbsp;Maria del Mar Cirino-Marcano\",\"doi\":\"10.1016/j.rmcr.2024.102151\",\"DOIUrl\":null,\"url\":null,\"abstract\":\"<div><div>Chronic obstructive lung disease is the third leading cause of death worldwide. It affects the airways and lung parenchyma leading to emphysema. Bronchoscopic lung volume reduction is another strategy that aims to reduce air trapping and hyperinflation, leading to improvement in symptoms and pulmonary function. Several techniques have been employed, one of them is the blocking method using Zephyr or Spiration valves. The use of both valves is approved by the Food and Drug Administration view their established efficacy in improving lung functions, quality of life and survival. Although they have a relatively safe profile, several adverse events have been reported, pneumothorax being the most common and pleural effusion being the least reported. We show herein, a case of 74-year-old female presenting with pleural effusion secondary to bronchoscopic lung volume reduction. Although uncommon, highlighting this potential outcome is crucial.</div></div>\",\"PeriodicalId\":51565,\"journal\":{\"name\":\"Respiratory Medicine Case Reports\",\"volume\":\"53 \",\"pages\":\"Article 102151\"},\"PeriodicalIF\":0.7000,\"publicationDate\":\"2025-01-01\",\"publicationTypes\":\"Journal Article\",\"fieldsOfStudy\":null,\"isOpenAccess\":false,\"openAccessPdf\":\"https://www.ncbi.nlm.nih.gov/pmc/articles/PMC11713475/pdf/\",\"citationCount\":\"0\",\"resultStr\":null,\"platform\":\"Semanticscholar\",\"paperid\":null,\"PeriodicalName\":\"Respiratory Medicine Case Reports\",\"FirstCategoryId\":\"1085\",\"ListUrlMain\":\"https://www.sciencedirect.com/science/article/pii/S2213007124001746\",\"RegionNum\":0,\"RegionCategory\":null,\"ArticlePicture\":[],\"TitleCN\":null,\"AbstractTextCN\":null,\"PMCID\":null,\"EPubDate\":\"\",\"PubModel\":\"\",\"JCR\":\"Q4\",\"JCRName\":\"RESPIRATORY SYSTEM\",\"Score\":null,\"Total\":0}","platform":"Semanticscholar","paperid":null,"PeriodicalName":"Respiratory Medicine Case Reports","FirstCategoryId":"1085","ListUrlMain":"https://www.sciencedirect.com/science/article/pii/S2213007124001746","RegionNum":0,"RegionCategory":null,"ArticlePicture":[],"TitleCN":null,"AbstractTextCN":null,"PMCID":null,"EPubDate":"","PubModel":"","JCR":"Q4","JCRName":"RESPIRATORY SYSTEM","Score":null,"Total":0}
引用次数: 0

摘要

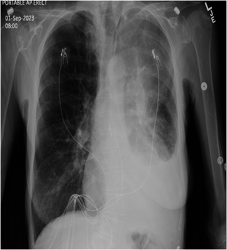
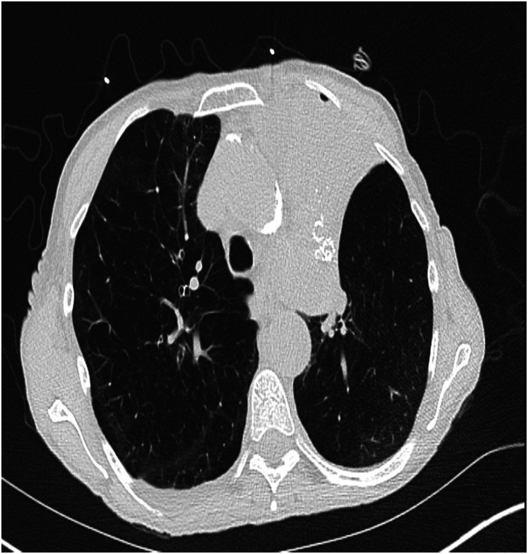
慢性阻塞性肺病是全世界第三大死亡原因。它影响气道和肺实质,导致肺气肿。支气管镜下肺减容是另一种策略,旨在减少空气捕获和恶性膨胀,从而改善症状和肺功能。采用了几种技术,其中一种是使用Zephyr或Spiration阀的阻塞方法。这两种瓣膜的使用都得到了美国食品和药物管理局的批准,因为它们在改善肺功能、生活质量和生存率方面具有既定的功效。虽然它们具有相对安全的特点,但也有一些不良事件的报道,气胸是最常见的,而胸腔积液是最少的报道。我们在此报告一例74岁女性,以支气管镜下肺体积缩小继发胸腔积液为主诉。尽管不常见,但强调这一潜在结果至关重要。
本文章由计算机程序翻译,如有差异,请以英文原文为准。

Bronchoscopic lung volume reduction complicated by ipsilateral pleural effusion

Bronchoscopic lung volume reduction complicated by ipsilateral pleural effusion

Bronchoscopic lung volume reduction complicated by ipsilateral pleural effusion
Chronic obstructive lung disease is the third leading cause of death worldwide. It affects the airways and lung parenchyma leading to emphysema. Bronchoscopic lung volume reduction is another strategy that aims to reduce air trapping and hyperinflation, leading to improvement in symptoms and pulmonary function. Several techniques have been employed, one of them is the blocking method using Zephyr or Spiration valves. The use of both valves is approved by the Food and Drug Administration view their established efficacy in improving lung functions, quality of life and survival. Although they have a relatively safe profile, several adverse events have been reported, pneumothorax being the most common and pleural effusion being the least reported. We show herein, a case of 74-year-old female presenting with pleural effusion secondary to bronchoscopic lung volume reduction. Although uncommon, highlighting this potential outcome is crucial.
求助全文
通过发布文献求助,成功后即可免费获取论文全文。 去求助
来源期刊
Respiratory Medicine Case Reports
Respiratory Medicine Case Reports RESPIRATORY SYSTEM-
CiteScore
2.10
自引率
0.00%
发文量
213
审稿时长
87 days
×
引用
GB/T 7714-2015
复制
MLA
复制
APA
复制
导出至
BibTeX EndNote RefMan NoteFirst NoteExpress
×
提示
您的信息不完整,为了账户安全,请先补充。
现在去补充
×
提示
您因"违规操作"
具体请查看互助需知
我知道了
×
提示
确定
请完成安全验证×
copy
已复制链接
快去分享给好友吧!
我知道了
右上角分享
点击右上角分享
0
联系我们:info@booksci.cn Book学术提供免费学术资源搜索服务,方便国内外学者检索中英文文献。致力于提供最便捷和优质的服务体验。 Copyright © 2023 布克学术 All rights reserved.
京ICP备2023020795号-1
ghs 京公网安备 11010802042870号
Book学术文献互助
Book学术文献互助群
群 号:604180095
Book学术官方微信