柑桔Cymbopogon citratus对多回线虫具有杀线虫活性。

IF 1.2 4区 农林科学 Q2 Veterinary
Revista Brasileira De Parasitologia Veterinaria Pub Date : 2024-12-20 eCollection Date: 2024-01-01 DOI:10.1590/S1984-29612024079
Viviane Souza Campos, Letícia Oliveira da Rocha, Hassan Jerdy Leandro, Teresa Pontes, Fábio Conceição de Oliveira, Eulógio Carlos Queiroz de Carvalho, Leonardo Siqueira Glória, Clóvis de Paula Santos
{"title":"柑桔Cymbopogon citratus对多回线虫具有杀线虫活性。","authors":"Viviane Souza Campos, Letícia Oliveira da Rocha, Hassan Jerdy Leandro, Teresa Pontes, Fábio Conceição de Oliveira, Eulógio Carlos Queiroz de Carvalho, Leonardo Siqueira Glória, Clóvis de Paula Santos","doi":"10.1590/S1984-29612024079","DOIUrl":null,"url":null,"abstract":"<p><p>This paper describes a novel in vivo study of Cymbopogon citratus (lemon grass) to assess its anthelmintic activity. To this end, C57BL/6 mice were separated into three groups: G1: uninfected; G2: negative control infected with Heligmosomoides polygyrus bakeri and administered with 3% dimethyl sulfoxide (DMSO); and G3: infected with H. polygyrus bakeri and treated with C. citratus aqueous extract (50mg/kg). The extract and H. polygyrus bakeri were administered via gavage and the anatomo-histopathological evaluation of the animals took place after necropsy and organ removal. In addition, the number of eggs per gram of feces (epg) and of adult parasites in the small intestine of each animal, as well as blood cell counts, were assessed. The in vivo assay revealed a reduction in the epg (54%), number of adult nematodes (89%), number of eosinophils, and intestinal lesions in mice treated with C. citratus. These results suggest that the crude aqueous extract of C. citratus at the dose evaluated here has anthelmintic and possibly anti-inflammatory properties, given its effectiveness against gastrointestinal H. polygyrus bakeri nematodes and the recovery of damaged tissues. Therefore, this plant shows potential to control gastrointestinal nematodes.</p>","PeriodicalId":48990,"journal":{"name":"Revista Brasileira De Parasitologia Veterinaria","volume":"33 4","pages":"e014224"},"PeriodicalIF":1.2000,"publicationDate":"2024-12-20","publicationTypes":"Journal Article","fieldsOfStudy":null,"isOpenAccess":false,"openAccessPdf":"https://www.ncbi.nlm.nih.gov/pmc/articles/PMC11756821/pdf/","citationCount":"0","resultStr":"{\"title\":\"Cymbopogon citratus showing nematicidal activity against Heligmosomoides polygyrus bakeri.\",\"authors\":\"Viviane Souza Campos, Letícia Oliveira da Rocha, Hassan Jerdy Leandro, Teresa Pontes, Fábio Conceição de Oliveira, Eulógio Carlos Queiroz de Carvalho, Leonardo Siqueira Glória, Clóvis de Paula Santos\",\"doi\":\"10.1590/S1984-29612024079\",\"DOIUrl\":null,\"url\":null,\"abstract\":\"<p><p>This paper describes a novel in vivo study of Cymbopogon citratus (lemon grass) to assess its anthelmintic activity. To this end, C57BL/6 mice were separated into three groups: G1: uninfected; G2: negative control infected with Heligmosomoides polygyrus bakeri and administered with 3% dimethyl sulfoxide (DMSO); and G3: infected with H. polygyrus bakeri and treated with C. citratus aqueous extract (50mg/kg). The extract and H. polygyrus bakeri were administered via gavage and the anatomo-histopathological evaluation of the animals took place after necropsy and organ removal. In addition, the number of eggs per gram of feces (epg) and of adult parasites in the small intestine of each animal, as well as blood cell counts, were assessed. The in vivo assay revealed a reduction in the epg (54%), number of adult nematodes (89%), number of eosinophils, and intestinal lesions in mice treated with C. citratus. These results suggest that the crude aqueous extract of C. citratus at the dose evaluated here has anthelmintic and possibly anti-inflammatory properties, given its effectiveness against gastrointestinal H. polygyrus bakeri nematodes and the recovery of damaged tissues. Therefore, this plant shows potential to control gastrointestinal nematodes.</p>\",\"PeriodicalId\":48990,\"journal\":{\"name\":\"Revista Brasileira De Parasitologia Veterinaria\",\"volume\":\"33 4\",\"pages\":\"e014224\"},\"PeriodicalIF\":1.2000,\"publicationDate\":\"2024-12-20\",\"publicationTypes\":\"Journal Article\",\"fieldsOfStudy\":null,\"isOpenAccess\":false,\"openAccessPdf\":\"https://www.ncbi.nlm.nih.gov/pmc/articles/PMC11756821/pdf/\",\"citationCount\":\"0\",\"resultStr\":null,\"platform\":\"Semanticscholar\",\"paperid\":null,\"PeriodicalName\":\"Revista Brasileira De Parasitologia Veterinaria\",\"FirstCategoryId\":\"97\",\"ListUrlMain\":\"https://doi.org/10.1590/S1984-29612024079\",\"RegionNum\":4,\"RegionCategory\":\"农林科学\",\"ArticlePicture\":[],\"TitleCN\":null,\"AbstractTextCN\":null,\"PMCID\":null,\"EPubDate\":\"2024/1/1 0:00:00\",\"PubModel\":\"eCollection\",\"JCR\":\"Q2\",\"JCRName\":\"Veterinary\",\"Score\":null,\"Total\":0}","platform":"Semanticscholar","paperid":null,"PeriodicalName":"Revista Brasileira De Parasitologia Veterinaria","FirstCategoryId":"97","ListUrlMain":"https://doi.org/10.1590/S1984-29612024079","RegionNum":4,"RegionCategory":"农林科学","ArticlePicture":[],"TitleCN":null,"AbstractTextCN":null,"PMCID":null,"EPubDate":"2024/1/1 0:00:00","PubModel":"eCollection","JCR":"Q2","JCRName":"Veterinary","Score":null,"Total":0}
引用次数: 0

摘要

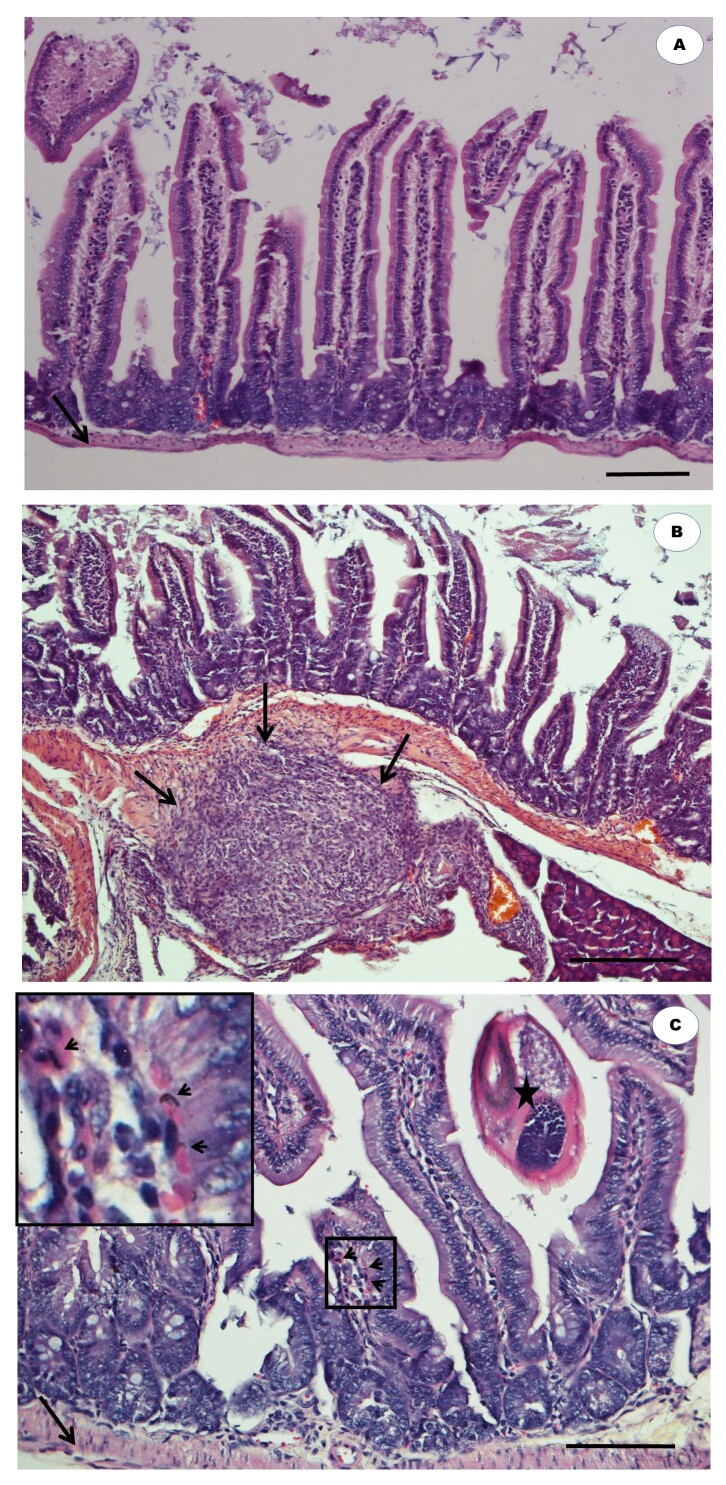
本文报道了一种新的柠檬草的体内研究,以评估其驱虫活性。为此,将C57BL/6小鼠分为三组:G1组:未感染;G2:阴性对照,感染多回螺旋体,给予3%二甲亚砜(DMSO);G3组:多回红僵菌感染,柑桔水提液(50mg/kg)处理。采用灌胃的方法,对大鼠进行解剖和脏器切除后的解剖组织病理学评价。此外,还评估了每克粪便中的卵数(epg)和每只动物小肠中成虫的数量,以及血细胞计数。体内实验显示,柑橘酸杆菌治疗小鼠的epg(54%)、成虫数量(89%)、嗜酸性粒细胞数量和肠道病变减少。这些结果表明,在这里评估的剂量下,柑橘的粗水提取物具有驱虫和可能的抗炎特性,因为它对胃肠道多回线虫和受损组织的恢复有效。因此,这种植物显示出控制胃肠道线虫的潜力。
本文章由计算机程序翻译,如有差异,请以英文原文为准。

Cymbopogon citratus showing nematicidal activity against Heligmosomoides polygyrus bakeri.

Cymbopogon citratus showing nematicidal activity against Heligmosomoides polygyrus bakeri.

Cymbopogon citratus showing nematicidal activity against Heligmosomoides polygyrus bakeri.

Cymbopogon citratus showing nematicidal activity against Heligmosomoides polygyrus bakeri.

This paper describes a novel in vivo study of Cymbopogon citratus (lemon grass) to assess its anthelmintic activity. To this end, C57BL/6 mice were separated into three groups: G1: uninfected; G2: negative control infected with Heligmosomoides polygyrus bakeri and administered with 3% dimethyl sulfoxide (DMSO); and G3: infected with H. polygyrus bakeri and treated with C. citratus aqueous extract (50mg/kg). The extract and H. polygyrus bakeri were administered via gavage and the anatomo-histopathological evaluation of the animals took place after necropsy and organ removal. In addition, the number of eggs per gram of feces (epg) and of adult parasites in the small intestine of each animal, as well as blood cell counts, were assessed. The in vivo assay revealed a reduction in the epg (54%), number of adult nematodes (89%), number of eosinophils, and intestinal lesions in mice treated with C. citratus. These results suggest that the crude aqueous extract of C. citratus at the dose evaluated here has anthelmintic and possibly anti-inflammatory properties, given its effectiveness against gastrointestinal H. polygyrus bakeri nematodes and the recovery of damaged tissues. Therefore, this plant shows potential to control gastrointestinal nematodes.

求助全文
通过发布文献求助,成功后即可免费获取论文全文。 去求助
来源期刊
Revista Brasileira De Parasitologia Veterinaria
Revista Brasileira De Parasitologia Veterinaria PARASITOLOGY-VETERINARY SCIENCES
CiteScore
2.60
自引率
7.70%
发文量
90
审稿时长
>12 weeks
期刊介绍: La revista es un órgano de difusión del Colegio Brasileño de Parasitología Veterinaria, con una especificidad dentro de esa área, la difusión de los resultados de la investigación brasileña en las áreas de Helmintología, Protozoología, Entomología y agentes transmitidos por artrópodos, relacionados con la salud animal.
×
引用
GB/T 7714-2015
复制
MLA
复制
APA
复制
导出至
BibTeX EndNote RefMan NoteFirst NoteExpress
×
提示
您的信息不完整,为了账户安全,请先补充。
现在去补充
×
提示
您因"违规操作"
具体请查看互助需知
我知道了
×
提示
确定
请完成安全验证×
copy
已复制链接
快去分享给好友吧!
我知道了
右上角分享
点击右上角分享
0
联系我们:info@booksci.cn Book学术提供免费学术资源搜索服务,方便国内外学者检索中英文文献。致力于提供最便捷和优质的服务体验。 Copyright © 2023 布克学术 All rights reserved.
京ICP备2023020795号-1
ghs 京公网安备 11010802042870号
Book学术文献互助
Book学术文献互助群
群 号:604180095
Book学术官方微信