法洛四联症修复中的主动脉病变。

IF 2.1 3区 医学 Q3 CARDIAC & CARDIOVASCULAR SYSTEMS
Cardiovascular diagnosis and therapy Pub Date : 2024-12-31 Epub Date: 2024-10-31 DOI:10.21037/cdt-24-264
Naoko Ichikawa, Yumi Shiina, Kohei Abe, Koichiro Niwa
{"title":"法洛四联症修复中的主动脉病变。","authors":"Naoko Ichikawa, Yumi Shiina, Kohei Abe, Koichiro Niwa","doi":"10.21037/cdt-24-264","DOIUrl":null,"url":null,"abstract":"<p><p>Tetralogy of Fallot (TOF) is a condition that often leads to long-term enlargement of the aortic root in after surgery. The aortic dilation is believed to be caused by histological abnormalities of the aortic media and the hemodynamic characteristics of increased aortic flow, compared to pulmonary flow. Severe cyanosis, severe right ventricular outflow tract (RVOT) obstruction, older age at repair, a larger aortic size at the time of repair, and a history of an aortopulmonary shunt parameters related to long-standing volume overload of the aortic root were the reported risk factors. Right aortic arch, male sex, and the association of chromosome 22q11 deletion were also reported to be risk factors. The enlargement of the aortic root can cause aortic regurgitation (AR), leading to left ventricular dysfunction and an increased risk of aortic dissection, necessitating surgical intervention. The outcomes of aortic valve repair for AR have improved, leading to an increasing trend of choosing this approach, particularly in younger patients who would otherwise require mechanical valve replacement, thereby avoiding the need for anticoagulation therapy. The indications and timing of prophylactic aortic root replacement in adult patients with congenital heart disease have not been described, and the current consensus recommends surgical intervention for an ascending aorta with a diameter of ≥55 mm. In this review article, we focus on valve-sparing root replacement (VSRR) in TOF.</p>","PeriodicalId":9592,"journal":{"name":"Cardiovascular diagnosis and therapy","volume":"14 6","pages":"1228-1235"},"PeriodicalIF":2.1000,"publicationDate":"2024-12-31","publicationTypes":"Journal Article","fieldsOfStudy":null,"isOpenAccess":false,"openAccessPdf":"https://www.ncbi.nlm.nih.gov/pmc/articles/PMC11707484/pdf/","citationCount":"0","resultStr":"{\"title\":\"Aortopathy in repaired tetralogy of Fallot and David procedure.\",\"authors\":\"Naoko Ichikawa, Yumi Shiina, Kohei Abe, Koichiro Niwa\",\"doi\":\"10.21037/cdt-24-264\",\"DOIUrl\":null,\"url\":null,\"abstract\":\"<p><p>Tetralogy of Fallot (TOF) is a condition that often leads to long-term enlargement of the aortic root in after surgery. The aortic dilation is believed to be caused by histological abnormalities of the aortic media and the hemodynamic characteristics of increased aortic flow, compared to pulmonary flow. Severe cyanosis, severe right ventricular outflow tract (RVOT) obstruction, older age at repair, a larger aortic size at the time of repair, and a history of an aortopulmonary shunt parameters related to long-standing volume overload of the aortic root were the reported risk factors. Right aortic arch, male sex, and the association of chromosome 22q11 deletion were also reported to be risk factors. The enlargement of the aortic root can cause aortic regurgitation (AR), leading to left ventricular dysfunction and an increased risk of aortic dissection, necessitating surgical intervention. The outcomes of aortic valve repair for AR have improved, leading to an increasing trend of choosing this approach, particularly in younger patients who would otherwise require mechanical valve replacement, thereby avoiding the need for anticoagulation therapy. The indications and timing of prophylactic aortic root replacement in adult patients with congenital heart disease have not been described, and the current consensus recommends surgical intervention for an ascending aorta with a diameter of ≥55 mm. In this review article, we focus on valve-sparing root replacement (VSRR) in TOF.</p>\",\"PeriodicalId\":9592,\"journal\":{\"name\":\"Cardiovascular diagnosis and therapy\",\"volume\":\"14 6\",\"pages\":\"1228-1235\"},\"PeriodicalIF\":2.1000,\"publicationDate\":\"2024-12-31\",\"publicationTypes\":\"Journal Article\",\"fieldsOfStudy\":null,\"isOpenAccess\":false,\"openAccessPdf\":\"https://www.ncbi.nlm.nih.gov/pmc/articles/PMC11707484/pdf/\",\"citationCount\":\"0\",\"resultStr\":null,\"platform\":\"Semanticscholar\",\"paperid\":null,\"PeriodicalName\":\"Cardiovascular diagnosis and therapy\",\"FirstCategoryId\":\"3\",\"ListUrlMain\":\"https://doi.org/10.21037/cdt-24-264\",\"RegionNum\":3,\"RegionCategory\":\"医学\",\"ArticlePicture\":[],\"TitleCN\":null,\"AbstractTextCN\":null,\"PMCID\":null,\"EPubDate\":\"2024/10/31 0:00:00\",\"PubModel\":\"Epub\",\"JCR\":\"Q3\",\"JCRName\":\"CARDIAC & CARDIOVASCULAR SYSTEMS\",\"Score\":null,\"Total\":0}","platform":"Semanticscholar","paperid":null,"PeriodicalName":"Cardiovascular diagnosis and therapy","FirstCategoryId":"3","ListUrlMain":"https://doi.org/10.21037/cdt-24-264","RegionNum":3,"RegionCategory":"医学","ArticlePicture":[],"TitleCN":null,"AbstractTextCN":null,"PMCID":null,"EPubDate":"2024/10/31 0:00:00","PubModel":"Epub","JCR":"Q3","JCRName":"CARDIAC & CARDIOVASCULAR SYSTEMS","Score":null,"Total":0}
引用次数: 0

摘要

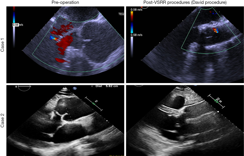
法洛四联症(TOF)是一种经常导致术后主动脉根部长期扩大的疾病。与肺血流相比,主动脉扩张被认为是由主动脉介质的组织学异常和主动脉血流增加的血流动力学特征引起的。严重紫绀、严重右心室流出道(RVOT)梗阻、修复时年龄较大、修复时主动脉尺寸较大以及与主动脉根部长期容量过载相关的主动脉-肺分流术史是报道的危险因素。右主动脉弓、男性和22q11染色体缺失也被报道为危险因素。主动脉根部扩大可引起主动脉反流(AR),导致左心室功能障碍和主动脉夹层风险增加,需要手术干预。主动脉瓣修复治疗AR的结果有所改善,导致选择这种方法的趋势增加,特别是在需要机械瓣膜置换术的年轻患者中,从而避免了抗凝治疗的需要。成人先天性心脏病患者预防性主动脉根置换术的适应症和时机尚未描述,目前的共识是对升主动脉直径≥55mm的患者进行手术干预。在这篇综述文章中,我们着重于保留瓣膜的根置换(VSRR)在TOF中的应用。
本文章由计算机程序翻译,如有差异,请以英文原文为准。

Aortopathy in repaired tetralogy of Fallot and David procedure.

Aortopathy in repaired tetralogy of Fallot and David procedure.

Aortopathy in repaired tetralogy of Fallot and David procedure.

Aortopathy in repaired tetralogy of Fallot and David procedure.

Tetralogy of Fallot (TOF) is a condition that often leads to long-term enlargement of the aortic root in after surgery. The aortic dilation is believed to be caused by histological abnormalities of the aortic media and the hemodynamic characteristics of increased aortic flow, compared to pulmonary flow. Severe cyanosis, severe right ventricular outflow tract (RVOT) obstruction, older age at repair, a larger aortic size at the time of repair, and a history of an aortopulmonary shunt parameters related to long-standing volume overload of the aortic root were the reported risk factors. Right aortic arch, male sex, and the association of chromosome 22q11 deletion were also reported to be risk factors. The enlargement of the aortic root can cause aortic regurgitation (AR), leading to left ventricular dysfunction and an increased risk of aortic dissection, necessitating surgical intervention. The outcomes of aortic valve repair for AR have improved, leading to an increasing trend of choosing this approach, particularly in younger patients who would otherwise require mechanical valve replacement, thereby avoiding the need for anticoagulation therapy. The indications and timing of prophylactic aortic root replacement in adult patients with congenital heart disease have not been described, and the current consensus recommends surgical intervention for an ascending aorta with a diameter of ≥55 mm. In this review article, we focus on valve-sparing root replacement (VSRR) in TOF.

求助全文
通过发布文献求助,成功后即可免费获取论文全文。 去求助
来源期刊
Cardiovascular diagnosis and therapy
Cardiovascular diagnosis and therapy Medicine-Cardiology and Cardiovascular Medicine
CiteScore
4.90
自引率
4.20%
发文量
45
期刊介绍: The journal ''Cardiovascular Diagnosis and Therapy'' (Print ISSN: 2223-3652; Online ISSN: 2223-3660) accepts basic and clinical science submissions related to Cardiovascular Medicine and Surgery. The mission of the journal is the rapid exchange of scientific information between clinicians and scientists worldwide. To reach this goal, the journal will focus on novel media, using a web-based, digital format in addition to traditional print-version. This includes on-line submission, review, publication, and distribution. The digital format will also allow submission of extensive supporting visual material, both images and video. The website www.thecdt.org will serve as the central hub and also allow posting of comments and on-line discussion. The web-site of the journal will be linked to a number of international web-sites (e.g. www.dxy.cn), which will significantly expand the distribution of its contents.
×
引用
GB/T 7714-2015
复制
MLA
复制
APA
复制
导出至
BibTeX EndNote RefMan NoteFirst NoteExpress
×
提示
您的信息不完整,为了账户安全,请先补充。
现在去补充
×
提示
您因"违规操作"
具体请查看互助需知
我知道了
×
提示
确定
请完成安全验证×
copy
已复制链接
快去分享给好友吧!
我知道了
右上角分享
点击右上角分享
0
联系我们:info@booksci.cn Book学术提供免费学术资源搜索服务,方便国内外学者检索中英文文献。致力于提供最便捷和优质的服务体验。 Copyright © 2023 布克学术 All rights reserved.
京ICP备2023020795号-1
ghs 京公网安备 11010802042870号
Book学术文献互助
Book学术文献互助群
群 号:604180095
Book学术官方微信