主动脉瓣狭窄中钙的识别和评分的计算机视觉模型:单中心体验。

IF 2.1 3区 医学 Q3 CARDIAC & CARDIOVASCULAR SYSTEMS
Cardiovascular diagnosis and therapy Pub Date : 2024-12-31 Epub Date: 2024-12-16 DOI:10.21037/cdt-24-179
Tibor Poruban, Dominik Pella, Ingrid Schusterova, Marta Jakubova, Karolina Angela Sieradzka Uchnar, Marianna Barbierik Vachalcova
{"title":"主动脉瓣狭窄中钙的识别和评分的计算机视觉模型:单中心体验。","authors":"Tibor Poruban, Dominik Pella, Ingrid Schusterova, Marta Jakubova, Karolina Angela Sieradzka Uchnar, Marianna Barbierik Vachalcova","doi":"10.21037/cdt-24-179","DOIUrl":null,"url":null,"abstract":"<p><strong>Background: </strong>Echocardiography is widely used to assess aortic stenosis (AS) but can yield inconsistent results, leading to uncertainty about AS severity and the need for further diagnostics. This retrospective study aimed to evaluate a novel echocardiography-based marker, the signal intensity coefficient (SIC), for its potential in accurately identifying and quantifying calcium in AS, enhancing noninvasive diagnostic methods.</p><p><strong>Methods: </strong>Between May 2022 and October 2023, 112 cases of AS that were previously considered severe by echocardiography were retrospectively evaluated, as well as a group of 50 cases of mild or moderate AS, both at the Eastern Slovak Institute of Cardiovascular Diseases in Kosice, Slovakia. Utilizing ImageJ software, we quantified the SIC based on ultrasonic signal intensity distribution at the aortic valve's interface. Pixel intensity histograms were generated to measure the SIC, and it was compared with echocardiographic variables. To account for variations in brightness due to differing acquisition settings in echocardiography images (where the highest intensity corresponds to calcium), adaptive image binarization has been implemented. Subsequently, the region of interest (ROI) containing calcium was interactively selected and extracted. This process enables the calculation of a calcium pixel count, representing the spatial quantity of calcium. This study employed multivariate logistic regression using backward elimination and stepwise techniques. Receiver operating characteristic (ROC) curves were utilized to assess the model's performance in predicting AS severity and to determine the optimal cut-off point.</p><p><strong>Results: </strong>The SIC emerged as a significant predictor of AS severity, with an odds ratio (OR) of 0.021 [95% confidence interval (CI): 0.004-0.295, P=0.008]. Incorporating SIC into a model alongside standard echocardiographic parameters notably enhanced the C-statistic/ROC area from 0.7023 to 0.8083 (P=0.01).</p><p><strong>Conclusions: </strong>The SIC, serving as an additional echocardiography-based marker, shows promise in enhancing AS severity detection.</p>","PeriodicalId":9592,"journal":{"name":"Cardiovascular diagnosis and therapy","volume":"14 6","pages":"1029-1037"},"PeriodicalIF":2.1000,"publicationDate":"2024-12-31","publicationTypes":"Journal Article","fieldsOfStudy":null,"isOpenAccess":false,"openAccessPdf":"https://www.ncbi.nlm.nih.gov/pmc/articles/PMC11707472/pdf/","citationCount":"0","resultStr":"{\"title\":\"A computer vision model for the identification and scoring of calcium in aortic valve stenosis: a single-center experience.\",\"authors\":\"Tibor Poruban, Dominik Pella, Ingrid Schusterova, Marta Jakubova, Karolina Angela Sieradzka Uchnar, Marianna Barbierik Vachalcova\",\"doi\":\"10.21037/cdt-24-179\",\"DOIUrl\":null,\"url\":null,\"abstract\":\"<p><strong>Background: </strong>Echocardiography is widely used to assess aortic stenosis (AS) but can yield inconsistent results, leading to uncertainty about AS severity and the need for further diagnostics. This retrospective study aimed to evaluate a novel echocardiography-based marker, the signal intensity coefficient (SIC), for its potential in accurately identifying and quantifying calcium in AS, enhancing noninvasive diagnostic methods.</p><p><strong>Methods: </strong>Between May 2022 and October 2023, 112 cases of AS that were previously considered severe by echocardiography were retrospectively evaluated, as well as a group of 50 cases of mild or moderate AS, both at the Eastern Slovak Institute of Cardiovascular Diseases in Kosice, Slovakia. Utilizing ImageJ software, we quantified the SIC based on ultrasonic signal intensity distribution at the aortic valve's interface. Pixel intensity histograms were generated to measure the SIC, and it was compared with echocardiographic variables. To account for variations in brightness due to differing acquisition settings in echocardiography images (where the highest intensity corresponds to calcium), adaptive image binarization has been implemented. Subsequently, the region of interest (ROI) containing calcium was interactively selected and extracted. This process enables the calculation of a calcium pixel count, representing the spatial quantity of calcium. This study employed multivariate logistic regression using backward elimination and stepwise techniques. Receiver operating characteristic (ROC) curves were utilized to assess the model's performance in predicting AS severity and to determine the optimal cut-off point.</p><p><strong>Results: </strong>The SIC emerged as a significant predictor of AS severity, with an odds ratio (OR) of 0.021 [95% confidence interval (CI): 0.004-0.295, P=0.008]. Incorporating SIC into a model alongside standard echocardiographic parameters notably enhanced the C-statistic/ROC area from 0.7023 to 0.8083 (P=0.01).</p><p><strong>Conclusions: </strong>The SIC, serving as an additional echocardiography-based marker, shows promise in enhancing AS severity detection.</p>\",\"PeriodicalId\":9592,\"journal\":{\"name\":\"Cardiovascular diagnosis and therapy\",\"volume\":\"14 6\",\"pages\":\"1029-1037\"},\"PeriodicalIF\":2.1000,\"publicationDate\":\"2024-12-31\",\"publicationTypes\":\"Journal Article\",\"fieldsOfStudy\":null,\"isOpenAccess\":false,\"openAccessPdf\":\"https://www.ncbi.nlm.nih.gov/pmc/articles/PMC11707472/pdf/\",\"citationCount\":\"0\",\"resultStr\":null,\"platform\":\"Semanticscholar\",\"paperid\":null,\"PeriodicalName\":\"Cardiovascular diagnosis and therapy\",\"FirstCategoryId\":\"3\",\"ListUrlMain\":\"https://doi.org/10.21037/cdt-24-179\",\"RegionNum\":3,\"RegionCategory\":\"医学\",\"ArticlePicture\":[],\"TitleCN\":null,\"AbstractTextCN\":null,\"PMCID\":null,\"EPubDate\":\"2024/12/16 0:00:00\",\"PubModel\":\"Epub\",\"JCR\":\"Q3\",\"JCRName\":\"CARDIAC & CARDIOVASCULAR SYSTEMS\",\"Score\":null,\"Total\":0}","platform":"Semanticscholar","paperid":null,"PeriodicalName":"Cardiovascular diagnosis and therapy","FirstCategoryId":"3","ListUrlMain":"https://doi.org/10.21037/cdt-24-179","RegionNum":3,"RegionCategory":"医学","ArticlePicture":[],"TitleCN":null,"AbstractTextCN":null,"PMCID":null,"EPubDate":"2024/12/16 0:00:00","PubModel":"Epub","JCR":"Q3","JCRName":"CARDIAC & CARDIOVASCULAR SYSTEMS","Score":null,"Total":0}
引用次数: 0

摘要

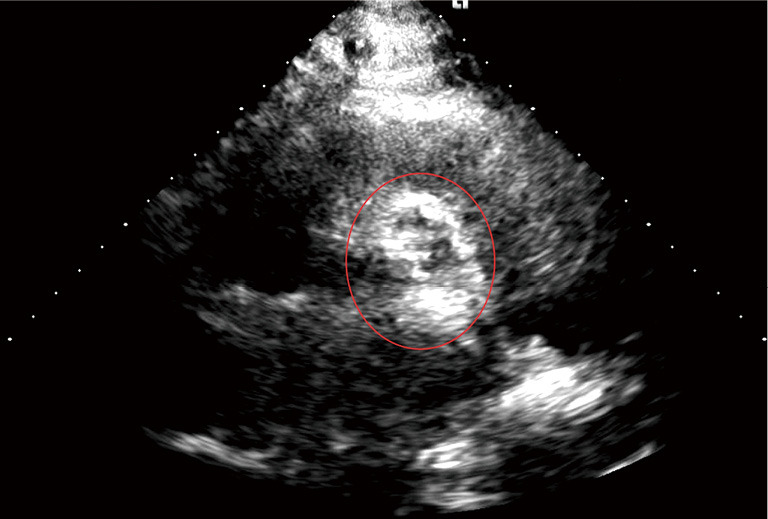
背景:超声心动图被广泛用于评估主动脉瓣狭窄(AS),但可能产生不一致的结果,导致AS严重程度的不确定性和进一步诊断的必要性。本回顾性研究旨在评估一种新的基于超声心动图的标志物,信号强度系数(SIC),其在准确识别和量化AS中钙的潜力,增强无创诊断方法。方法:在2022年5月至2023年10月期间,回顾性评估了112例以前被超声心动图认为是严重的AS,以及50例轻度或中度AS,均来自斯洛伐克科西采的东斯洛伐克心血管疾病研究所。利用ImageJ软件,基于超声信号在主动脉瓣界面处的强度分布,定量分析了超声信号在主动脉瓣界面处的强度分布。生成像素强度直方图来测量SIC,并与超声心动图变量进行比较。为了解释超声心动图图像中不同采集设置(其中最高强度对应于钙)引起的亮度变化,已经实现了自适应图像二值化。然后,交互选择和提取含钙的感兴趣区域(ROI)。这个过程可以计算钙像素数,代表钙的空间数量。本研究采用多元逻辑回归,采用逆向消去和逐步回归技术。使用受试者工作特征(ROC)曲线来评估模型预测AS严重程度的性能,并确定最佳分界点。结果:SIC是as严重程度的重要预测因子,比值比(OR)为0.021[95%可信区间(CI): 0.004-0.295, P=0.008]。将SIC与标准超声心动图参数合并到模型中,c -统计量/ROC面积从0.7023显著提高到0.8083 (P=0.01)。结论:SIC作为一种额外的基于超声心动图的标志物,在增强as严重程度检测方面表现出希望。
本文章由计算机程序翻译,如有差异,请以英文原文为准。

A computer vision model for the identification and scoring of calcium in aortic valve stenosis: a single-center experience.

A computer vision model for the identification and scoring of calcium in aortic valve stenosis: a single-center experience.

A computer vision model for the identification and scoring of calcium in aortic valve stenosis: a single-center experience.

A computer vision model for the identification and scoring of calcium in aortic valve stenosis: a single-center experience.

Background: Echocardiography is widely used to assess aortic stenosis (AS) but can yield inconsistent results, leading to uncertainty about AS severity and the need for further diagnostics. This retrospective study aimed to evaluate a novel echocardiography-based marker, the signal intensity coefficient (SIC), for its potential in accurately identifying and quantifying calcium in AS, enhancing noninvasive diagnostic methods.

Methods: Between May 2022 and October 2023, 112 cases of AS that were previously considered severe by echocardiography were retrospectively evaluated, as well as a group of 50 cases of mild or moderate AS, both at the Eastern Slovak Institute of Cardiovascular Diseases in Kosice, Slovakia. Utilizing ImageJ software, we quantified the SIC based on ultrasonic signal intensity distribution at the aortic valve's interface. Pixel intensity histograms were generated to measure the SIC, and it was compared with echocardiographic variables. To account for variations in brightness due to differing acquisition settings in echocardiography images (where the highest intensity corresponds to calcium), adaptive image binarization has been implemented. Subsequently, the region of interest (ROI) containing calcium was interactively selected and extracted. This process enables the calculation of a calcium pixel count, representing the spatial quantity of calcium. This study employed multivariate logistic regression using backward elimination and stepwise techniques. Receiver operating characteristic (ROC) curves were utilized to assess the model's performance in predicting AS severity and to determine the optimal cut-off point.

Results: The SIC emerged as a significant predictor of AS severity, with an odds ratio (OR) of 0.021 [95% confidence interval (CI): 0.004-0.295, P=0.008]. Incorporating SIC into a model alongside standard echocardiographic parameters notably enhanced the C-statistic/ROC area from 0.7023 to 0.8083 (P=0.01).

Conclusions: The SIC, serving as an additional echocardiography-based marker, shows promise in enhancing AS severity detection.

求助全文
通过发布文献求助,成功后即可免费获取论文全文。 去求助
来源期刊
Cardiovascular diagnosis and therapy
Cardiovascular diagnosis and therapy Medicine-Cardiology and Cardiovascular Medicine
CiteScore
4.90
自引率
4.20%
发文量
45
期刊介绍: The journal ''Cardiovascular Diagnosis and Therapy'' (Print ISSN: 2223-3652; Online ISSN: 2223-3660) accepts basic and clinical science submissions related to Cardiovascular Medicine and Surgery. The mission of the journal is the rapid exchange of scientific information between clinicians and scientists worldwide. To reach this goal, the journal will focus on novel media, using a web-based, digital format in addition to traditional print-version. This includes on-line submission, review, publication, and distribution. The digital format will also allow submission of extensive supporting visual material, both images and video. The website www.thecdt.org will serve as the central hub and also allow posting of comments and on-line discussion. The web-site of the journal will be linked to a number of international web-sites (e.g. www.dxy.cn), which will significantly expand the distribution of its contents.
×
引用
GB/T 7714-2015
复制
MLA
复制
APA
复制
导出至
BibTeX EndNote RefMan NoteFirst NoteExpress
×
提示
您的信息不完整,为了账户安全,请先补充。
现在去补充
×
提示
您因"违规操作"
具体请查看互助需知
我知道了
×
提示
确定
请完成安全验证×
copy
已复制链接
快去分享给好友吧!
我知道了
右上角分享
点击右上角分享
0
联系我们:info@booksci.cn Book学术提供免费学术资源搜索服务,方便国内外学者检索中英文文献。致力于提供最便捷和优质的服务体验。 Copyright © 2023 布克学术 All rights reserved.
京ICP备2023020795号-1
ghs 京公网安备 11010802042870号
Book学术文献互助
Book学术文献互助群
群 号:604180095
Book学术官方微信