奥西替尼治疗后肺腺癌向小细胞肺癌的转化:1例报告及文献复习。

IF 2.2 4区 医学 Q3 ONCOLOGY
Anti-Cancer Drugs Pub Date : 2025-03-01 Epub Date: 2025-01-08 DOI:10.1097/CAD.0000000000001686
Linwu Kuang, Peng Wang, Lin Zhou, Yangkai Li
{"title":"奥西替尼治疗后肺腺癌向小细胞肺癌的转化:1例报告及文献复习。","authors":"Linwu Kuang, Peng Wang, Lin Zhou, Yangkai Li","doi":"10.1097/CAD.0000000000001686","DOIUrl":null,"url":null,"abstract":"<p><p>Epidermal growth factor receptor (EGFR)-tyrosine kinase inhibitors (TKIs) effectively treat EGFR-mutant lung adenocarcinoma, demonstrating initial efficacy but eventually leading to acquired resistance. Small cell transformation is a rare resistance mechanism to EGFR-TKIs in lung adenocarcinoma, which can complicate clinical diagnosis and treatment. We present a patient with lung adenocarcinoma who underwent a prior pneumonectomy and adjuvant chemotherapy and was treated with osimertinib after the recurrence of lung cancer. Small cell transformation occurred approximately 20 months after starting osimertinib treatment. After this transformation, the patient underwent lung radiotherapy and cisplatin-etoposide chemotherapy, which stabilized the disease. Following the confirmation of small cell lung cancer (SCLC) via thyroid puncture, treatments with irinotecan, irinotecan plus atezolizumab, thyroid radiotherapy, adrenal radiotherapy, and head radiotherapy were sequentially administered, yet the disease continued to progress. The patient succumbed to the disease in May 2023 because of progression and organ failure, with an overall survival of 52.7 months, including 16 months post small cell transformation. This case highlights the possibility of osimertinib causing lung adenocarcinoma to transform into SCLC and underscores rebiopsies' importance in identifying resistance mechanisms to EGFR-TKIs. Increased levels of neuron-specific enolase and pro-gastrin releasing peptide can signal early transformation into SCLC.</p>","PeriodicalId":7969,"journal":{"name":"Anti-Cancer Drugs","volume":" ","pages":"253-259"},"PeriodicalIF":2.2000,"publicationDate":"2025-03-01","publicationTypes":"Journal Article","fieldsOfStudy":null,"isOpenAccess":false,"openAccessPdf":"https://www.ncbi.nlm.nih.gov/pmc/articles/PMC11781543/pdf/","citationCount":"0","resultStr":"{\"title\":\"Transformation of lung adenocarcinoma to small cell lung cancer following osimertinib treatment: a case report and literature review.\",\"authors\":\"Linwu Kuang, Peng Wang, Lin Zhou, Yangkai Li\",\"doi\":\"10.1097/CAD.0000000000001686\",\"DOIUrl\":null,\"url\":null,\"abstract\":\"<p><p>Epidermal growth factor receptor (EGFR)-tyrosine kinase inhibitors (TKIs) effectively treat EGFR-mutant lung adenocarcinoma, demonstrating initial efficacy but eventually leading to acquired resistance. Small cell transformation is a rare resistance mechanism to EGFR-TKIs in lung adenocarcinoma, which can complicate clinical diagnosis and treatment. We present a patient with lung adenocarcinoma who underwent a prior pneumonectomy and adjuvant chemotherapy and was treated with osimertinib after the recurrence of lung cancer. Small cell transformation occurred approximately 20 months after starting osimertinib treatment. After this transformation, the patient underwent lung radiotherapy and cisplatin-etoposide chemotherapy, which stabilized the disease. Following the confirmation of small cell lung cancer (SCLC) via thyroid puncture, treatments with irinotecan, irinotecan plus atezolizumab, thyroid radiotherapy, adrenal radiotherapy, and head radiotherapy were sequentially administered, yet the disease continued to progress. The patient succumbed to the disease in May 2023 because of progression and organ failure, with an overall survival of 52.7 months, including 16 months post small cell transformation. This case highlights the possibility of osimertinib causing lung adenocarcinoma to transform into SCLC and underscores rebiopsies' importance in identifying resistance mechanisms to EGFR-TKIs. Increased levels of neuron-specific enolase and pro-gastrin releasing peptide can signal early transformation into SCLC.</p>\",\"PeriodicalId\":7969,\"journal\":{\"name\":\"Anti-Cancer Drugs\",\"volume\":\" \",\"pages\":\"253-259\"},\"PeriodicalIF\":2.2000,\"publicationDate\":\"2025-03-01\",\"publicationTypes\":\"Journal Article\",\"fieldsOfStudy\":null,\"isOpenAccess\":false,\"openAccessPdf\":\"https://www.ncbi.nlm.nih.gov/pmc/articles/PMC11781543/pdf/\",\"citationCount\":\"0\",\"resultStr\":null,\"platform\":\"Semanticscholar\",\"paperid\":null,\"PeriodicalName\":\"Anti-Cancer Drugs\",\"FirstCategoryId\":\"3\",\"ListUrlMain\":\"https://doi.org/10.1097/CAD.0000000000001686\",\"RegionNum\":4,\"RegionCategory\":\"医学\",\"ArticlePicture\":[],\"TitleCN\":null,\"AbstractTextCN\":null,\"PMCID\":null,\"EPubDate\":\"2025/1/8 0:00:00\",\"PubModel\":\"Epub\",\"JCR\":\"Q3\",\"JCRName\":\"ONCOLOGY\",\"Score\":null,\"Total\":0}","platform":"Semanticscholar","paperid":null,"PeriodicalName":"Anti-Cancer Drugs","FirstCategoryId":"3","ListUrlMain":"https://doi.org/10.1097/CAD.0000000000001686","RegionNum":4,"RegionCategory":"医学","ArticlePicture":[],"TitleCN":null,"AbstractTextCN":null,"PMCID":null,"EPubDate":"2025/1/8 0:00:00","PubModel":"Epub","JCR":"Q3","JCRName":"ONCOLOGY","Score":null,"Total":0}
引用次数: 0

摘要

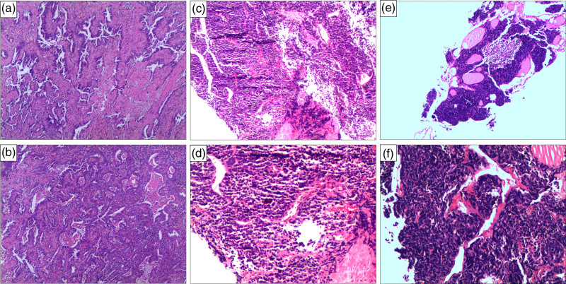
表皮生长因子受体(EGFR)-酪氨酸激酶抑制剂(TKIs)可有效治疗EGFR突变型肺腺癌,显示出初始疗效,但最终导致获得性耐药。小细胞转化是肺腺癌中罕见的EGFR-TKIs耐药机制,使临床诊断和治疗复杂化。我们报告了一位肺腺癌患者,他在肺癌复发后接受了肺切除术和辅助化疗,并接受了奥西替尼治疗。开始奥西替尼治疗约20个月后发生小细胞转化。转化后,患者接受了肺部放疗和顺铂-依托泊苷化疗,病情稳定。在通过甲状腺穿刺确认小细胞肺癌(SCLC)后,依次给予伊立替康、伊立替康联合阿特唑单抗、甲状腺放疗、肾上腺放疗和头部放疗,但疾病继续进展。由于进展和器官衰竭,患者于2023年5月死于该疾病,总生存期为52.7个月,其中包括小细胞转化后的16个月。该病例强调了奥西替尼导致肺腺癌转化为SCLC的可能性,并强调了再活检在确定对EGFR-TKIs的耐药机制方面的重要性。神经元特异性烯醇化酶和前胃泌素释放肽水平升高可提示早期转化为SCLC。
本文章由计算机程序翻译,如有差异,请以英文原文为准。

Transformation of lung adenocarcinoma to small cell lung cancer following osimertinib treatment: a case report and literature review.

Transformation of lung adenocarcinoma to small cell lung cancer following osimertinib treatment: a case report and literature review.

Transformation of lung adenocarcinoma to small cell lung cancer following osimertinib treatment: a case report and literature review.

Transformation of lung adenocarcinoma to small cell lung cancer following osimertinib treatment: a case report and literature review.

Epidermal growth factor receptor (EGFR)-tyrosine kinase inhibitors (TKIs) effectively treat EGFR-mutant lung adenocarcinoma, demonstrating initial efficacy but eventually leading to acquired resistance. Small cell transformation is a rare resistance mechanism to EGFR-TKIs in lung adenocarcinoma, which can complicate clinical diagnosis and treatment. We present a patient with lung adenocarcinoma who underwent a prior pneumonectomy and adjuvant chemotherapy and was treated with osimertinib after the recurrence of lung cancer. Small cell transformation occurred approximately 20 months after starting osimertinib treatment. After this transformation, the patient underwent lung radiotherapy and cisplatin-etoposide chemotherapy, which stabilized the disease. Following the confirmation of small cell lung cancer (SCLC) via thyroid puncture, treatments with irinotecan, irinotecan plus atezolizumab, thyroid radiotherapy, adrenal radiotherapy, and head radiotherapy were sequentially administered, yet the disease continued to progress. The patient succumbed to the disease in May 2023 because of progression and organ failure, with an overall survival of 52.7 months, including 16 months post small cell transformation. This case highlights the possibility of osimertinib causing lung adenocarcinoma to transform into SCLC and underscores rebiopsies' importance in identifying resistance mechanisms to EGFR-TKIs. Increased levels of neuron-specific enolase and pro-gastrin releasing peptide can signal early transformation into SCLC.

求助全文
通过发布文献求助,成功后即可免费获取论文全文。 去求助
来源期刊
Anti-Cancer Drugs
Anti-Cancer Drugs 医学-药学
CiteScore
3.80
自引率
0.00%
发文量
244
审稿时长
3 months
期刊介绍: Anti-Cancer Drugs reports both clinical and experimental results related to anti-cancer drugs, and welcomes contributions on anti-cancer drug design, drug delivery, pharmacology, hormonal and biological modalities and chemotherapy evaluation. An internationally refereed journal devoted to the fast publication of innovative investigations on therapeutic agents against cancer, Anti-Cancer Drugs aims to stimulate and report research on both toxic and non-toxic anti-cancer agents. Consequently, the scope on the journal will cover both conventional cytotoxic chemotherapy and hormonal or biological response modalities such as interleukins and immunotherapy. Submitted articles undergo a preliminary review by the editor. Some articles may be returned to authors without further consideration. Those being considered for publication will undergo further assessment and peer-review by the editors and those invited to do so from a reviewer pool.
×
引用
GB/T 7714-2015
复制
MLA
复制
APA
复制
导出至
BibTeX EndNote RefMan NoteFirst NoteExpress
×
提示
您的信息不完整,为了账户安全,请先补充。
现在去补充
×
提示
您因"违规操作"
具体请查看互助需知
我知道了
×
提示
确定
请完成安全验证×
copy
已复制链接
快去分享给好友吧!
我知道了
右上角分享
点击右上角分享
0
联系我们:info@booksci.cn Book学术提供免费学术资源搜索服务,方便国内外学者检索中英文文献。致力于提供最便捷和优质的服务体验。 Copyright © 2023 布克学术 All rights reserved.
京ICP备2023020795号-1
ghs 京公网安备 11010802042870号
Book学术文献互助
Book学术文献互助群
群 号:604180095
Book学术官方微信