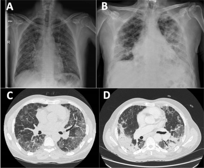
实体器官移植患者继发于鼻病毒感染的双侧组织性肺炎1例。

Q4 Medicine
Marina Utrero Rico, Cristina María Carrasco Carrasco, Jose Gregorio Soto Campos
{"title":"实体器官移植患者继发于鼻病毒感染的双侧组织性肺炎1例。","authors":"Marina Utrero Rico, Cristina María Carrasco Carrasco, Jose Gregorio Soto Campos","doi":"10.1016/j.opresp.2024.100386","DOIUrl":null,"url":null,"abstract":"","PeriodicalId":34317,"journal":{"name":"Open Respiratory Archives","volume":"7 1","pages":"Article 100386"},"PeriodicalIF":0.0000,"publicationDate":"2025-01-01","publicationTypes":"Journal Article","fieldsOfStudy":null,"isOpenAccess":false,"openAccessPdf":"https://www.ncbi.nlm.nih.gov/pmc/articles/PMC11696815/pdf/","citationCount":"0","resultStr":"{\"title\":\"Bilateral Organizing Pneumonia Secondary to Rhinovirus Infection in a Patient With a Solid Organ Transplant\",\"authors\":\"Marina Utrero Rico, Cristina María Carrasco Carrasco, Jose Gregorio Soto Campos\",\"doi\":\"10.1016/j.opresp.2024.100386\",\"DOIUrl\":null,\"url\":null,\"abstract\":\"\",\"PeriodicalId\":34317,\"journal\":{\"name\":\"Open Respiratory Archives\",\"volume\":\"7 1\",\"pages\":\"Article 100386\"},\"PeriodicalIF\":0.0000,\"publicationDate\":\"2025-01-01\",\"publicationTypes\":\"Journal Article\",\"fieldsOfStudy\":null,\"isOpenAccess\":false,\"openAccessPdf\":\"https://www.ncbi.nlm.nih.gov/pmc/articles/PMC11696815/pdf/\",\"citationCount\":\"0\",\"resultStr\":null,\"platform\":\"Semanticscholar\",\"paperid\":null,\"PeriodicalName\":\"Open Respiratory Archives\",\"FirstCategoryId\":\"1085\",\"ListUrlMain\":\"https://www.sciencedirect.com/science/article/pii/S2659663624001085\",\"RegionNum\":0,\"RegionCategory\":null,\"ArticlePicture\":[],\"TitleCN\":null,\"AbstractTextCN\":null,\"PMCID\":null,\"EPubDate\":\"\",\"PubModel\":\"\",\"JCR\":\"Q4\",\"JCRName\":\"Medicine\",\"Score\":null,\"Total\":0}","platform":"Semanticscholar","paperid":null,"PeriodicalName":"Open Respiratory Archives","FirstCategoryId":"1085","ListUrlMain":"https://www.sciencedirect.com/science/article/pii/S2659663624001085","RegionNum":0,"RegionCategory":null,"ArticlePicture":[],"TitleCN":null,"AbstractTextCN":null,"PMCID":null,"EPubDate":"","PubModel":"","JCR":"Q4","JCRName":"Medicine","Score":null,"Total":0}
引用次数: 0

摘要

本文章由计算机程序翻译,如有差异,请以英文原文为准。

Bilateral Organizing Pneumonia Secondary to Rhinovirus Infection in a Patient With a Solid Organ Transplant

Bilateral Organizing Pneumonia Secondary to Rhinovirus Infection in a Patient With a Solid Organ Transplant
求助全文
通过发布文献求助,成功后即可免费获取论文全文。 去求助
来源期刊
Open Respiratory Archives
Open Respiratory Archives Medicine-Pulmonary and Respiratory Medicine
CiteScore
1.10
自引率
0.00%
发文量
58
审稿时长
51 days
×
引用
GB/T 7714-2015
复制
MLA
复制
APA
复制
导出至
BibTeX EndNote RefMan NoteFirst NoteExpress
×
提示
您的信息不完整,为了账户安全,请先补充。
现在去补充
×
提示
您因"违规操作"
具体请查看互助需知
我知道了
×
提示
确定
请完成安全验证×
copy
已复制链接
快去分享给好友吧!
我知道了
右上角分享
点击右上角分享
0
联系我们:info@booksci.cn Book学术提供免费学术资源搜索服务,方便国内外学者检索中英文文献。致力于提供最便捷和优质的服务体验。 Copyright © 2023 布克学术 All rights reserved.
京ICP备2023020795号-1
ghs 京公网安备 11010802042870号
Book学术文献互助
Book学术文献互助群
群 号:604180095
Book学术官方微信