伊匹单抗和纳武单抗在肺硬化性肺细胞瘤患者中的成功免疫治疗。

IF 0.5 Q4 ONCOLOGY
International Cancer Conference Journal Pub Date : 2024-11-29 eCollection Date: 2025-01-01 DOI:10.1007/s13691-024-00737-8
Yumi Inukai-Motokura, Kiichiro Ninomiya, Takahiro Baba, Hiroki Omori, Tetsuya Takeguchi, Mari Uno, Yoshiyuki Ayada, Takehiro Tanaka, Yoshinobu Maeda, Kadoaki Ohashi
{"title":"伊匹单抗和纳武单抗在肺硬化性肺细胞瘤患者中的成功免疫治疗。","authors":"Yumi Inukai-Motokura, Kiichiro Ninomiya, Takahiro Baba, Hiroki Omori, Tetsuya Takeguchi, Mari Uno, Yoshiyuki Ayada, Takehiro Tanaka, Yoshinobu Maeda, Kadoaki Ohashi","doi":"10.1007/s13691-024-00737-8","DOIUrl":null,"url":null,"abstract":"<p><p>Pulmonary sclerosing pneumocytoma (PSP) is a rare form of lung cancer that occasionally presents with lymph node and extrapulmonary metastases, and multiple lesions. The treatment of metastatic PSP remains undefined. This study reports the case of a 48-year-old female patient diagnosed with PSP following surgical intervention for a solitary nodule in the left lower lobe. Four years later, recurrence occurred in the left hilar and mediastinal lymph nodes, necessitating an additional resection. Concurrently, sacral metastases developed and required palliative radiotherapy. Genetic analysis identified an <i>AKT1</i> E17K mutation, characteristic of PSP, and absence of programmed cell death ligand 1 (PD-L1) expression in the tumor. Two years post-recurrence, the tumor recurred in the left mammary gland and mediastinal lymph nodes. Combination immunotherapy with ipilimumab and nivolumab yielded a significantly positive response in this metastatic PSP case. This is the first reported case of successful treatment of multiple distant metastatic PSP with ipilimumab and nivolumab, following the failure of various local treatments. Further case series are warranted to validate the efficacy of immunotherapy in metastatic PSP.</p>","PeriodicalId":13703,"journal":{"name":"International Cancer Conference Journal","volume":"14 1","pages":"60-63"},"PeriodicalIF":0.5000,"publicationDate":"2024-11-29","publicationTypes":"Journal Article","fieldsOfStudy":null,"isOpenAccess":false,"openAccessPdf":"https://www.ncbi.nlm.nih.gov/pmc/articles/PMC11695534/pdf/","citationCount":"0","resultStr":"{\"title\":\"Successful immunotherapy with ipilimumab and nivolumab in a patient with pulmonary sclerosing pneumocytoma.\",\"authors\":\"Yumi Inukai-Motokura, Kiichiro Ninomiya, Takahiro Baba, Hiroki Omori, Tetsuya Takeguchi, Mari Uno, Yoshiyuki Ayada, Takehiro Tanaka, Yoshinobu Maeda, Kadoaki Ohashi\",\"doi\":\"10.1007/s13691-024-00737-8\",\"DOIUrl\":null,\"url\":null,\"abstract\":\"<p><p>Pulmonary sclerosing pneumocytoma (PSP) is a rare form of lung cancer that occasionally presents with lymph node and extrapulmonary metastases, and multiple lesions. The treatment of metastatic PSP remains undefined. This study reports the case of a 48-year-old female patient diagnosed with PSP following surgical intervention for a solitary nodule in the left lower lobe. Four years later, recurrence occurred in the left hilar and mediastinal lymph nodes, necessitating an additional resection. Concurrently, sacral metastases developed and required palliative radiotherapy. Genetic analysis identified an <i>AKT1</i> E17K mutation, characteristic of PSP, and absence of programmed cell death ligand 1 (PD-L1) expression in the tumor. Two years post-recurrence, the tumor recurred in the left mammary gland and mediastinal lymph nodes. Combination immunotherapy with ipilimumab and nivolumab yielded a significantly positive response in this metastatic PSP case. This is the first reported case of successful treatment of multiple distant metastatic PSP with ipilimumab and nivolumab, following the failure of various local treatments. Further case series are warranted to validate the efficacy of immunotherapy in metastatic PSP.</p>\",\"PeriodicalId\":13703,\"journal\":{\"name\":\"International Cancer Conference Journal\",\"volume\":\"14 1\",\"pages\":\"60-63\"},\"PeriodicalIF\":0.5000,\"publicationDate\":\"2024-11-29\",\"publicationTypes\":\"Journal Article\",\"fieldsOfStudy\":null,\"isOpenAccess\":false,\"openAccessPdf\":\"https://www.ncbi.nlm.nih.gov/pmc/articles/PMC11695534/pdf/\",\"citationCount\":\"0\",\"resultStr\":null,\"platform\":\"Semanticscholar\",\"paperid\":null,\"PeriodicalName\":\"International Cancer Conference Journal\",\"FirstCategoryId\":\"1085\",\"ListUrlMain\":\"https://doi.org/10.1007/s13691-024-00737-8\",\"RegionNum\":0,\"RegionCategory\":null,\"ArticlePicture\":[],\"TitleCN\":null,\"AbstractTextCN\":null,\"PMCID\":null,\"EPubDate\":\"2025/1/1 0:00:00\",\"PubModel\":\"eCollection\",\"JCR\":\"Q4\",\"JCRName\":\"ONCOLOGY\",\"Score\":null,\"Total\":0}","platform":"Semanticscholar","paperid":null,"PeriodicalName":"International Cancer Conference Journal","FirstCategoryId":"1085","ListUrlMain":"https://doi.org/10.1007/s13691-024-00737-8","RegionNum":0,"RegionCategory":null,"ArticlePicture":[],"TitleCN":null,"AbstractTextCN":null,"PMCID":null,"EPubDate":"2025/1/1 0:00:00","PubModel":"eCollection","JCR":"Q4","JCRName":"ONCOLOGY","Score":null,"Total":0}
引用次数: 0

摘要

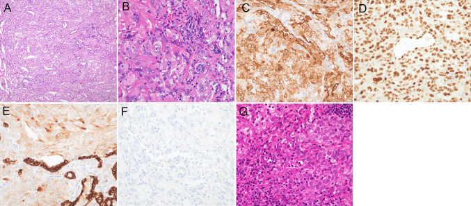
肺硬化性肺细胞瘤(PSP)是一种罕见的肺癌,偶尔表现为淋巴结和肺外转移,以及多发病变。转移性PSP的治疗方法尚不明确。本研究报告一名48岁女性病患,因左下叶单发结节手术后被诊断为PSP。四年后,复发发生在左肺门和纵隔淋巴结,需要进一步切除。同时,骶骨转移发生,需要姑息性放疗。遗传分析发现肿瘤中AKT1 E17K突变,PSP特征,缺乏程序性细胞死亡配体1 (PD-L1)表达。复发2年后,肿瘤复发于左乳腺及纵隔淋巴结。ipilimumab和nivolumab联合免疫治疗在这个转移性PSP病例中产生了显著的阳性反应。这是在各种局部治疗失败后,ipilimumab和nivolumab成功治疗多发性远处转移性PSP的第一例报道。需要进一步的病例序列来验证免疫治疗对转移性PSP的疗效。
本文章由计算机程序翻译,如有差异,请以英文原文为准。

Successful immunotherapy with ipilimumab and nivolumab in a patient with pulmonary sclerosing pneumocytoma.

Successful immunotherapy with ipilimumab and nivolumab in a patient with pulmonary sclerosing pneumocytoma.

Successful immunotherapy with ipilimumab and nivolumab in a patient with pulmonary sclerosing pneumocytoma.

Pulmonary sclerosing pneumocytoma (PSP) is a rare form of lung cancer that occasionally presents with lymph node and extrapulmonary metastases, and multiple lesions. The treatment of metastatic PSP remains undefined. This study reports the case of a 48-year-old female patient diagnosed with PSP following surgical intervention for a solitary nodule in the left lower lobe. Four years later, recurrence occurred in the left hilar and mediastinal lymph nodes, necessitating an additional resection. Concurrently, sacral metastases developed and required palliative radiotherapy. Genetic analysis identified an AKT1 E17K mutation, characteristic of PSP, and absence of programmed cell death ligand 1 (PD-L1) expression in the tumor. Two years post-recurrence, the tumor recurred in the left mammary gland and mediastinal lymph nodes. Combination immunotherapy with ipilimumab and nivolumab yielded a significantly positive response in this metastatic PSP case. This is the first reported case of successful treatment of multiple distant metastatic PSP with ipilimumab and nivolumab, following the failure of various local treatments. Further case series are warranted to validate the efficacy of immunotherapy in metastatic PSP.

求助全文
通过发布文献求助,成功后即可免费获取论文全文。 去求助
来源期刊
自引率
14.30%
发文量
57
期刊介绍: This online-only journal publishes original case reports on all types of cancer. In particular, we welcome not only case reports of educational value in the diagnosis and treatment of cancers, but also reports on molecularly analyzed cancer cases, including gene mutations, gene fusions, gene expression, and changes in copy number, regardless of their known clinical significance. Assessing the molecular analysis of a tumor usually requires a “cancer conference” in which experts from various fields discuss it. Even if the authors and their respective “cancer conference” were unable to determine the clinical significance of molecular changes at the time of submission and publication, their data may provide evidence that will help the scientific community develop precision medicine solutions in the future. We welcome case reports with reviews of the literature on similar cases, as they are more useful and valuable to readers than are reports of rare cases. International Cancer Conference Journal is the official publication of the Japan Society of Clinical Oncology (JSCO). - Presents an online-only collection of original case reports on all types of cancer - In particular, welcomes molecularly analyzed cancer cases - The Official Publication of the Japan Society of Clinical Oncology (JSCO)
×
引用
GB/T 7714-2015
复制
MLA
复制
APA
复制
导出至
BibTeX EndNote RefMan NoteFirst NoteExpress
×
提示
您的信息不完整,为了账户安全,请先补充。
现在去补充
×
提示
您因"违规操作"
具体请查看互助需知
我知道了
×
提示
确定
请完成安全验证×
copy
已复制链接
快去分享给好友吧!
我知道了
右上角分享
点击右上角分享
0
联系我们:info@booksci.cn Book学术提供免费学术资源搜索服务,方便国内外学者检索中英文文献。致力于提供最便捷和优质的服务体验。 Copyright © 2023 布克学术 All rights reserved.
京ICP备2023020795号-1
ghs 京公网安备 11010802042870号
Book学术文献互助
Book学术文献互助群
群 号:604180095
Book学术官方微信