通过靶向 PTP1B,Viscosol 治疗可改善 2 型糖尿病小鼠模型中胰岛素介导的血脂异常、肝脏脂肪变性和脂质代谢调节。

IF 2.3 4区 医学 Q3 ENDOCRINOLOGY & METABOLISM
International Journal of Endocrinology Pub Date : 2024-12-27 eCollection Date: 2024-01-01 DOI:10.1155/ije/3914332
Idrees Raza, Aamir Sohail, Hamza Muneer, Hajra Fayyaz, Zia Uddin, Amany I Almars, Waheeb S Aggad, Hailah M Almohaimeed, Imran Ullah
{"title":"通过靶向 PTP1B,Viscosol 治疗可改善 2 型糖尿病小鼠模型中胰岛素介导的血脂异常、肝脏脂肪变性和脂质代谢调节。","authors":"Idrees Raza, Aamir Sohail, Hamza Muneer, Hajra Fayyaz, Zia Uddin, Amany I Almars, Waheeb S Aggad, Hailah M Almohaimeed, Imran Ullah","doi":"10.1155/ije/3914332","DOIUrl":null,"url":null,"abstract":"<p><p>Type 2 diabetes mellitus (T2DM), a metabolic disorder, has the hallmarks of persistent hyperglycemia, insulin resistance, and dyslipidemia. Protein-tyrosine phosphatase 1B (PTP1B) was found to be overexpressed in many tissues in the case of T2DM and involved in the negative regulation of insulin signaling. So, PTP1B inhibition can act as a therapeutic target for T2DM. Numerous studies claimed the anti-inflammatory, hypoglycemic, hepatoprotective, and hypolipidemic activities of <i>Dodonaea viscosa</i>. Previously, we generated the high-fat diet (HFD)-low dose streptozotocin (STZ)-induced diabetic male mice model and treated it with a PTP1B inhibitor (5, 7-dihydroxy-3, 6-dimethoxy-2- (4-methoxy-3- (3-methyl-2-enyl) phenyl)-4H-chromen-4-one), isolated from Dodonaea viscosa. In the current study, we aimed to investigate the De novo lipogenesis, adipocyte differentiation, augmentation of lipoproteins clearance, fatty acid uptake, antilipolysis activity, and hepatic steatosis of PTP1B inhibition in adipose and liver tissues of the HFD-STZ-induced diabetic mice model. We found the retrieval of normal morphology of adipocytes and hepatocytes in the compound-treated group. The biochemical parameters showed the gradual reduction of LDL, VLDL, TC, and TG in the serum of the compound-treated group. To further test our hypothesis, real-time PCR was performed, and data revealed the reduction of PTP1B and other inflammatory markers in both tissues, showing enhanced expression of insulin signaling markers (INSR, IRS1, IRS2, and PI3K). Our compound upregulated the adipogenic (PPAR<i>γ</i>), lipogenic (SREBP1c, FAS, ACC, and DGAT2), lipoprotein clearance (LPL, LDLR, and VLDLR), fatty acid uptake (CD36 and FATP1), and lipid droplet forming (FSP27 and perilipin-1) markers expressions in adipocytes and downregulated in hepatocytes. Furthermore, we found elevated cholesterol efflux (in adipose and liver) and decreased lipolysis in adipocytes and elevated in hepatocytes. Hence, we can conclude that our compound protects the adipocytes from abrupt lipolysis and stimulates adipocyte differentiation. In addition, it plays a hepatic protective role by shifting clearance and uptake of lipoproteins and fatty acids to the peripheral tissues and retrieving the fatty liver condition.</p>","PeriodicalId":13966,"journal":{"name":"International Journal of Endocrinology","volume":"2024 ","pages":"3914332"},"PeriodicalIF":2.3000,"publicationDate":"2024-12-27","publicationTypes":"Journal Article","fieldsOfStudy":null,"isOpenAccess":false,"openAccessPdf":"https://www.ncbi.nlm.nih.gov/pmc/articles/PMC11698613/pdf/","citationCount":"0","resultStr":"{\"title\":\"Viscosol Treatment Ameliorates Insulin-Mediated Regulation of Dyslipidemia, Hepatic Steatosis, and Lipid Metabolism by Targeting PTP1B in Type-2 Diabetic Mice Model.\",\"authors\":\"Idrees Raza, Aamir Sohail, Hamza Muneer, Hajra Fayyaz, Zia Uddin, Amany I Almars, Waheeb S Aggad, Hailah M Almohaimeed, Imran Ullah\",\"doi\":\"10.1155/ije/3914332\",\"DOIUrl\":null,\"url\":null,\"abstract\":\"<p><p>Type 2 diabetes mellitus (T2DM), a metabolic disorder, has the hallmarks of persistent hyperglycemia, insulin resistance, and dyslipidemia. Protein-tyrosine phosphatase 1B (PTP1B) was found to be overexpressed in many tissues in the case of T2DM and involved in the negative regulation of insulin signaling. So, PTP1B inhibition can act as a therapeutic target for T2DM. Numerous studies claimed the anti-inflammatory, hypoglycemic, hepatoprotective, and hypolipidemic activities of <i>Dodonaea viscosa</i>. Previously, we generated the high-fat diet (HFD)-low dose streptozotocin (STZ)-induced diabetic male mice model and treated it with a PTP1B inhibitor (5, 7-dihydroxy-3, 6-dimethoxy-2- (4-methoxy-3- (3-methyl-2-enyl) phenyl)-4H-chromen-4-one), isolated from Dodonaea viscosa. In the current study, we aimed to investigate the De novo lipogenesis, adipocyte differentiation, augmentation of lipoproteins clearance, fatty acid uptake, antilipolysis activity, and hepatic steatosis of PTP1B inhibition in adipose and liver tissues of the HFD-STZ-induced diabetic mice model. We found the retrieval of normal morphology of adipocytes and hepatocytes in the compound-treated group. The biochemical parameters showed the gradual reduction of LDL, VLDL, TC, and TG in the serum of the compound-treated group. To further test our hypothesis, real-time PCR was performed, and data revealed the reduction of PTP1B and other inflammatory markers in both tissues, showing enhanced expression of insulin signaling markers (INSR, IRS1, IRS2, and PI3K). Our compound upregulated the adipogenic (PPAR<i>γ</i>), lipogenic (SREBP1c, FAS, ACC, and DGAT2), lipoprotein clearance (LPL, LDLR, and VLDLR), fatty acid uptake (CD36 and FATP1), and lipid droplet forming (FSP27 and perilipin-1) markers expressions in adipocytes and downregulated in hepatocytes. Furthermore, we found elevated cholesterol efflux (in adipose and liver) and decreased lipolysis in adipocytes and elevated in hepatocytes. Hence, we can conclude that our compound protects the adipocytes from abrupt lipolysis and stimulates adipocyte differentiation. In addition, it plays a hepatic protective role by shifting clearance and uptake of lipoproteins and fatty acids to the peripheral tissues and retrieving the fatty liver condition.</p>\",\"PeriodicalId\":13966,\"journal\":{\"name\":\"International Journal of Endocrinology\",\"volume\":\"2024 \",\"pages\":\"3914332\"},\"PeriodicalIF\":2.3000,\"publicationDate\":\"2024-12-27\",\"publicationTypes\":\"Journal Article\",\"fieldsOfStudy\":null,\"isOpenAccess\":false,\"openAccessPdf\":\"https://www.ncbi.nlm.nih.gov/pmc/articles/PMC11698613/pdf/\",\"citationCount\":\"0\",\"resultStr\":null,\"platform\":\"Semanticscholar\",\"paperid\":null,\"PeriodicalName\":\"International Journal of Endocrinology\",\"FirstCategoryId\":\"3\",\"ListUrlMain\":\"https://doi.org/10.1155/ije/3914332\",\"RegionNum\":4,\"RegionCategory\":\"医学\",\"ArticlePicture\":[],\"TitleCN\":null,\"AbstractTextCN\":null,\"PMCID\":null,\"EPubDate\":\"2024/1/1 0:00:00\",\"PubModel\":\"eCollection\",\"JCR\":\"Q3\",\"JCRName\":\"ENDOCRINOLOGY & METABOLISM\",\"Score\":null,\"Total\":0}","platform":"Semanticscholar","paperid":null,"PeriodicalName":"International Journal of Endocrinology","FirstCategoryId":"3","ListUrlMain":"https://doi.org/10.1155/ije/3914332","RegionNum":4,"RegionCategory":"医学","ArticlePicture":[],"TitleCN":null,"AbstractTextCN":null,"PMCID":null,"EPubDate":"2024/1/1 0:00:00","PubModel":"eCollection","JCR":"Q3","JCRName":"ENDOCRINOLOGY & METABOLISM","Score":null,"Total":0}
引用次数: 0

摘要

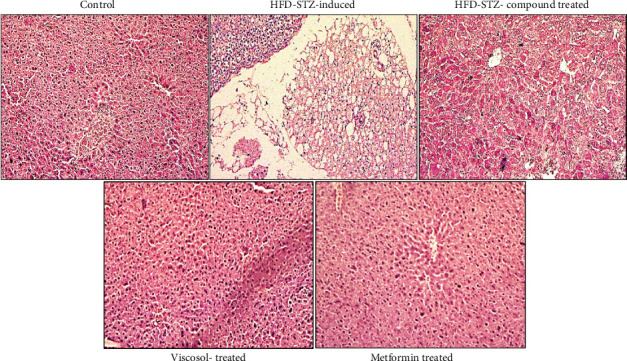
2型糖尿病(T2DM)是一种代谢紊乱,具有持续性高血糖、胰岛素抵抗和血脂异常的特征。蛋白酪氨酸磷酸酶1B (PTP1B)在T2DM患者的许多组织中被发现过表达,并参与胰岛素信号的负性调节。因此,抑制PTP1B可作为T2DM的治疗靶点。大量的研究表明,杜鹃具有抗炎、降血糖、保肝和降血脂的作用。在此之前,我们建立了高脂肪饮食(HFD)-低剂量链脲佐菌素(STZ)诱导的糖尿病雄性小鼠模型,并使用从粘家兔中分离的PTP1B抑制剂(5,7 -二羟基- 3,6 -二甲氧基-2-(4-甲氧基-3-(3-甲基-2-烯基)苯基)- 4h - chromen4 -one)治疗。在本研究中,我们旨在研究hfd - stz诱导的糖尿病小鼠模型脂肪和肝脏组织中PTP1B抑制的新生脂肪生成、脂肪细胞分化、脂蛋白清除增强、脂肪酸摄取、抗脂解活性和肝脏脂肪变性。我们发现化合物治疗组的脂肪细胞和肝细胞形态恢复正常。生化指标显示,化合物处理组血清LDL、VLDL、TC、TG逐渐降低。为了进一步验证我们的假设,我们进行了实时PCR,数据显示两种组织中PTP1B和其他炎症标志物的减少,胰岛素信号标志物(INSR, IRS1, IRS2和PI3K)的表达增强。我们的化合物上调脂肪细胞中的脂肪生成(PPARγ)、脂肪生成(SREBP1c、FAS、ACC和DGAT2)、脂蛋白清除(LPL、LDLR和VLDLR)、脂肪酸摄取(CD36和FATP1)和脂滴形成(FSP27和perilipin-1)标志物的表达,并下调肝细胞中的脂滴形成(FSP27和perilipin-1)标志物的表达。此外,我们发现胆固醇外排(在脂肪和肝脏)升高,脂肪细胞的脂解减少,肝细胞的脂解升高。因此,我们可以得出结论,我们的化合物保护脂肪细胞免受突然的脂肪分解和刺激脂肪细胞分化。此外,它还通过将脂蛋白和脂肪酸的清除和摄取转移到外周组织,恢复脂肪肝状况,发挥肝脏保护作用。
本文章由计算机程序翻译,如有差异,请以英文原文为准。

Viscosol Treatment Ameliorates Insulin-Mediated Regulation of Dyslipidemia, Hepatic Steatosis, and Lipid Metabolism by Targeting PTP1B in Type-2 Diabetic Mice Model.

Viscosol Treatment Ameliorates Insulin-Mediated Regulation of Dyslipidemia, Hepatic Steatosis, and Lipid Metabolism by Targeting PTP1B in Type-2 Diabetic Mice Model.

Viscosol Treatment Ameliorates Insulin-Mediated Regulation of Dyslipidemia, Hepatic Steatosis, and Lipid Metabolism by Targeting PTP1B in Type-2 Diabetic Mice Model.

Viscosol Treatment Ameliorates Insulin-Mediated Regulation of Dyslipidemia, Hepatic Steatosis, and Lipid Metabolism by Targeting PTP1B in Type-2 Diabetic Mice Model.

Type 2 diabetes mellitus (T2DM), a metabolic disorder, has the hallmarks of persistent hyperglycemia, insulin resistance, and dyslipidemia. Protein-tyrosine phosphatase 1B (PTP1B) was found to be overexpressed in many tissues in the case of T2DM and involved in the negative regulation of insulin signaling. So, PTP1B inhibition can act as a therapeutic target for T2DM. Numerous studies claimed the anti-inflammatory, hypoglycemic, hepatoprotective, and hypolipidemic activities of Dodonaea viscosa. Previously, we generated the high-fat diet (HFD)-low dose streptozotocin (STZ)-induced diabetic male mice model and treated it with a PTP1B inhibitor (5, 7-dihydroxy-3, 6-dimethoxy-2- (4-methoxy-3- (3-methyl-2-enyl) phenyl)-4H-chromen-4-one), isolated from Dodonaea viscosa. In the current study, we aimed to investigate the De novo lipogenesis, adipocyte differentiation, augmentation of lipoproteins clearance, fatty acid uptake, antilipolysis activity, and hepatic steatosis of PTP1B inhibition in adipose and liver tissues of the HFD-STZ-induced diabetic mice model. We found the retrieval of normal morphology of adipocytes and hepatocytes in the compound-treated group. The biochemical parameters showed the gradual reduction of LDL, VLDL, TC, and TG in the serum of the compound-treated group. To further test our hypothesis, real-time PCR was performed, and data revealed the reduction of PTP1B and other inflammatory markers in both tissues, showing enhanced expression of insulin signaling markers (INSR, IRS1, IRS2, and PI3K). Our compound upregulated the adipogenic (PPARγ), lipogenic (SREBP1c, FAS, ACC, and DGAT2), lipoprotein clearance (LPL, LDLR, and VLDLR), fatty acid uptake (CD36 and FATP1), and lipid droplet forming (FSP27 and perilipin-1) markers expressions in adipocytes and downregulated in hepatocytes. Furthermore, we found elevated cholesterol efflux (in adipose and liver) and decreased lipolysis in adipocytes and elevated in hepatocytes. Hence, we can conclude that our compound protects the adipocytes from abrupt lipolysis and stimulates adipocyte differentiation. In addition, it plays a hepatic protective role by shifting clearance and uptake of lipoproteins and fatty acids to the peripheral tissues and retrieving the fatty liver condition.

求助全文
通过发布文献求助,成功后即可免费获取论文全文。 去求助
来源期刊
International Journal of Endocrinology
International Journal of Endocrinology ENDOCRINOLOGY & METABOLISM-
CiteScore
5.20
自引率
0.00%
发文量
147
审稿时长
1 months
期刊介绍: International Journal of Endocrinology is a peer-reviewed, Open Access journal that provides a forum for scientists and clinicians working in basic and translational research. The journal publishes original research articles, review articles, and clinical studies that provide insights into the endocrine system and its associated diseases at a genomic, molecular, biochemical and cellular level.
×
引用
GB/T 7714-2015
复制
MLA
复制
APA
复制
导出至
BibTeX EndNote RefMan NoteFirst NoteExpress
×
提示
您的信息不完整,为了账户安全,请先补充。
现在去补充
×
提示
您因"违规操作"
具体请查看互助需知
我知道了
×
提示
确定
请完成安全验证×
copy
已复制链接
快去分享给好友吧!
我知道了
右上角分享
点击右上角分享
0
联系我们:info@booksci.cn Book学术提供免费学术资源搜索服务,方便国内外学者检索中英文文献。致力于提供最便捷和优质的服务体验。 Copyright © 2023 布克学术 All rights reserved.
京ICP备2023020795号-1
ghs 京公网安备 11010802042870号
Book学术文献互助
Book学术文献互助群
群 号:604180095
Book学术官方微信