一种新的海洋分枝杆菌的非水生人畜共患传播。

IF 0.8 Q4 INFECTIOUS DISEASES
Case Reports in Infectious Diseases Pub Date : 2024-12-27 eCollection Date: 2024-01-01 DOI:10.1155/crdi/2767290
Georgios Kravvas, Nada Aboukhatwah, Lola Meghoma, Victoria Vilenchik, Jon Oxley, Daniel Keith
{"title":"一种新的海洋分枝杆菌的非水生人畜共患传播。","authors":"Georgios Kravvas, Nada Aboukhatwah, Lola Meghoma, Victoria Vilenchik, Jon Oxley, Daniel Keith","doi":"10.1155/crdi/2767290","DOIUrl":null,"url":null,"abstract":"<p><p><b>Introduction:</b> <i>Mycobacterium marinum</i> was first described in humans in 1954, known to infect fish species and contaminate water and fish products. Inoculation to humans occurs through injured skin resulting in the formation of a solitary nodule known as \"fish tank granuloma.\" Disseminated infections have been reported in the immunocompromised and can present with extracutaneous manifestations such as arthritis and osteomyelitis. Nonaquatic transmission has not been previously reported. <b>Case Presentation:</b> A 63-year-old lady with rheumatoid arthritis and bronchiectasis was referred to dermatology with widespread soft dermal plaques, pustules, erosions, and necrotic wounds. Multiple bacterial and viral swabs were negative. A biopsy was performed that showed a neutrophilic dermatosis suggestive of Sweet's Syndrome. The patient initially improved with prednisolone, but subsequently deteriorated with a worsening rash, joint pains, and neutropenic sepsis. Repeat biopsies eventually revealed abundant acid-fast bacilli, later confirmed to be <i>Mycobacterium marinum</i>. Our patient had no history of exposure to aquatic organisms but had previously cared for an inland bearded dragon with an unknown illness. Although infection with <i>M. marinum</i> has been reported in reptiles, cases of nonaquatic zoonotic transmission have not been described in the literature. <b>Conclusion:</b> <i>Mycobacterium marinum</i> infection should be considered in patients with indicative clinical and histological features, especially in the immunocompromised, even in the absence of an obvious aquatic source of infection. Awareness of this entity could lead to earlier diagnoses and reduced morbidity and mortality.</p>","PeriodicalId":9608,"journal":{"name":"Case Reports in Infectious Diseases","volume":"2024 ","pages":"2767290"},"PeriodicalIF":0.8000,"publicationDate":"2024-12-27","publicationTypes":"Journal Article","fieldsOfStudy":null,"isOpenAccess":false,"openAccessPdf":"https://www.ncbi.nlm.nih.gov/pmc/articles/PMC11698610/pdf/","citationCount":"0","resultStr":"{\"title\":\"A Novel, Nonaquatic Zoonotic Transmission of <i>Mycobacterium marinum</i>.\",\"authors\":\"Georgios Kravvas, Nada Aboukhatwah, Lola Meghoma, Victoria Vilenchik, Jon Oxley, Daniel Keith\",\"doi\":\"10.1155/crdi/2767290\",\"DOIUrl\":null,\"url\":null,\"abstract\":\"<p><p><b>Introduction:</b> <i>Mycobacterium marinum</i> was first described in humans in 1954, known to infect fish species and contaminate water and fish products. Inoculation to humans occurs through injured skin resulting in the formation of a solitary nodule known as \\\"fish tank granuloma.\\\" Disseminated infections have been reported in the immunocompromised and can present with extracutaneous manifestations such as arthritis and osteomyelitis. Nonaquatic transmission has not been previously reported. <b>Case Presentation:</b> A 63-year-old lady with rheumatoid arthritis and bronchiectasis was referred to dermatology with widespread soft dermal plaques, pustules, erosions, and necrotic wounds. Multiple bacterial and viral swabs were negative. A biopsy was performed that showed a neutrophilic dermatosis suggestive of Sweet's Syndrome. The patient initially improved with prednisolone, but subsequently deteriorated with a worsening rash, joint pains, and neutropenic sepsis. Repeat biopsies eventually revealed abundant acid-fast bacilli, later confirmed to be <i>Mycobacterium marinum</i>. Our patient had no history of exposure to aquatic organisms but had previously cared for an inland bearded dragon with an unknown illness. Although infection with <i>M. marinum</i> has been reported in reptiles, cases of nonaquatic zoonotic transmission have not been described in the literature. <b>Conclusion:</b> <i>Mycobacterium marinum</i> infection should be considered in patients with indicative clinical and histological features, especially in the immunocompromised, even in the absence of an obvious aquatic source of infection. Awareness of this entity could lead to earlier diagnoses and reduced morbidity and mortality.</p>\",\"PeriodicalId\":9608,\"journal\":{\"name\":\"Case Reports in Infectious Diseases\",\"volume\":\"2024 \",\"pages\":\"2767290\"},\"PeriodicalIF\":0.8000,\"publicationDate\":\"2024-12-27\",\"publicationTypes\":\"Journal Article\",\"fieldsOfStudy\":null,\"isOpenAccess\":false,\"openAccessPdf\":\"https://www.ncbi.nlm.nih.gov/pmc/articles/PMC11698610/pdf/\",\"citationCount\":\"0\",\"resultStr\":null,\"platform\":\"Semanticscholar\",\"paperid\":null,\"PeriodicalName\":\"Case Reports in Infectious Diseases\",\"FirstCategoryId\":\"1085\",\"ListUrlMain\":\"https://doi.org/10.1155/crdi/2767290\",\"RegionNum\":0,\"RegionCategory\":null,\"ArticlePicture\":[],\"TitleCN\":null,\"AbstractTextCN\":null,\"PMCID\":null,\"EPubDate\":\"2024/1/1 0:00:00\",\"PubModel\":\"eCollection\",\"JCR\":\"Q4\",\"JCRName\":\"INFECTIOUS DISEASES\",\"Score\":null,\"Total\":0}","platform":"Semanticscholar","paperid":null,"PeriodicalName":"Case Reports in Infectious Diseases","FirstCategoryId":"1085","ListUrlMain":"https://doi.org/10.1155/crdi/2767290","RegionNum":0,"RegionCategory":null,"ArticlePicture":[],"TitleCN":null,"AbstractTextCN":null,"PMCID":null,"EPubDate":"2024/1/1 0:00:00","PubModel":"eCollection","JCR":"Q4","JCRName":"INFECTIOUS DISEASES","Score":null,"Total":0}
引用次数: 0

摘要

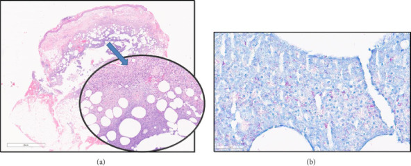
简介海洋分枝杆菌于 1954 年首次在人类身上被描述,已知会感染鱼类物种并污染水和鱼类产品。人是通过受伤的皮肤接种分枝杆菌的,会形成一个单发的结节,称为 "鱼缸肉芽肿"。据报道,免疫力低下的人也会受到播散性感染,并可能出现关节炎和骨髓炎等皮外表现。此前尚未有非水生传播的报道。病例介绍:一位 63 岁的女士患有类风湿性关节炎和支气管扩张,因广泛的真皮软斑块、脓疱、糜烂和坏死性伤口转诊至皮肤科。多次细菌和病毒拭子检查均呈阴性。活组织检查显示,嗜中性粒细胞皮肤病提示斯威特综合征。患者最初服用泼尼松龙后病情有所好转,但随后病情恶化,皮疹、关节疼痛和中性粒细胞败血症不断加重。重复活检最终发现了大量的耐酸杆菌,后证实为马氏分枝杆菌。我们的病人没有接触水生生物的历史,但之前曾照顾过一条患病不明的内陆胡须龙。虽然爬行动物感染马氏分枝杆菌的病例已有报道,但非水生动物传染的病例在文献中还没有描述。结论对于具有临床和组织学特征的患者,尤其是免疫力低下的患者,即使没有明显的水生传染源,也应考虑感染马氏分枝杆菌。对这一实体的认识可使诊断更早,降低发病率和死亡率。
本文章由计算机程序翻译,如有差异,请以英文原文为准。

A Novel, Nonaquatic Zoonotic Transmission of <i>Mycobacterium marinum</i>.

A Novel, Nonaquatic Zoonotic Transmission of <i>Mycobacterium marinum</i>.

A Novel, Nonaquatic Zoonotic Transmission of <i>Mycobacterium marinum</i>.

A Novel, Nonaquatic Zoonotic Transmission of Mycobacterium marinum.

Introduction: Mycobacterium marinum was first described in humans in 1954, known to infect fish species and contaminate water and fish products. Inoculation to humans occurs through injured skin resulting in the formation of a solitary nodule known as "fish tank granuloma." Disseminated infections have been reported in the immunocompromised and can present with extracutaneous manifestations such as arthritis and osteomyelitis. Nonaquatic transmission has not been previously reported. Case Presentation: A 63-year-old lady with rheumatoid arthritis and bronchiectasis was referred to dermatology with widespread soft dermal plaques, pustules, erosions, and necrotic wounds. Multiple bacterial and viral swabs were negative. A biopsy was performed that showed a neutrophilic dermatosis suggestive of Sweet's Syndrome. The patient initially improved with prednisolone, but subsequently deteriorated with a worsening rash, joint pains, and neutropenic sepsis. Repeat biopsies eventually revealed abundant acid-fast bacilli, later confirmed to be Mycobacterium marinum. Our patient had no history of exposure to aquatic organisms but had previously cared for an inland bearded dragon with an unknown illness. Although infection with M. marinum has been reported in reptiles, cases of nonaquatic zoonotic transmission have not been described in the literature. Conclusion: Mycobacterium marinum infection should be considered in patients with indicative clinical and histological features, especially in the immunocompromised, even in the absence of an obvious aquatic source of infection. Awareness of this entity could lead to earlier diagnoses and reduced morbidity and mortality.

求助全文
通过发布文献求助,成功后即可免费获取论文全文。 去求助
来源期刊
自引率
0.00%
发文量
64
审稿时长
13 weeks
×
引用
GB/T 7714-2015
复制
MLA
复制
APA
复制
导出至
BibTeX EndNote RefMan NoteFirst NoteExpress
×
提示
您的信息不完整,为了账户安全,请先补充。
现在去补充
×
提示
您因"违规操作"
具体请查看互助需知
我知道了
×
提示
确定
请完成安全验证×
copy
已复制链接
快去分享给好友吧!
我知道了
右上角分享
点击右上角分享
0
联系我们:info@booksci.cn Book学术提供免费学术资源搜索服务,方便国内外学者检索中英文文献。致力于提供最便捷和优质的服务体验。 Copyright © 2023 布克学术 All rights reserved.
京ICP备2023020795号-1
ghs 京公网安备 11010802042870号
Book学术文献互助
Book学术文献互助群
群 号:604180095
Book学术官方微信