三阴性乳腺癌中的碳酸酐酶IX:与预后因素和对新辅助化疗的反应的关系。

IF 1.7 Q4 ONCOLOGY
Özgen Arslan Solmaz, Nizamettin Kutluer, Mehmet Buğra Bozan
{"title":"三阴性乳腺癌中的碳酸酐酶IX:与预后因素和对新辅助化疗的反应的关系。","authors":"Özgen Arslan Solmaz, Nizamettin Kutluer, Mehmet Buğra Bozan","doi":"10.4274/ejbh.galenos.2024.2024-6-1","DOIUrl":null,"url":null,"abstract":"<p><strong>Objective: </strong>Triple negative breast carcinoma (TNBC) is characterized by the absence of estrogen receptor, progesterone receptor and human epidermal growth factor receptor-2 receptor expression. Carbonic anhydrase IX (CA IX) is a tumor-associated cell surface glycoprotein that is involved in adaptation to hypoxia-induced acidosis and plays a role in cancer progression. The aim of this study was to investigate CA IX expression in TNBC and its relationship with treatment effect.</p><p><strong>Materials and methods: </strong>Immunohistochemical staining was performed on tru-cut biopsy materials with CA IX antibody. Positive staining was graded as low (<10%) and high (>10%). In addition, the relationship between tumor diameter, histological grade and the treatment effect on mastectomy materials performed after neoadjuvant treatment was evaluated.</p><p><strong>Results: </strong>TNBCs with positive staining for CA IX exhibited higher histological grade, and higher Ki-67 index compared to TNBCs with negative staining (<i>p</i> < 0.05). The response to treatment decreased as the degree of CA IX staining increased. There was no significant difference between the high staining group and low staining group in terms of patient age, tumor diameter and breast localisation.</p><p><strong>Conclusion: </strong>CA IX enzyme is a poor prognostic marker in TNBC cases. However, overexpression of CA IX was associated with reduced response to treatment.</p>","PeriodicalId":93996,"journal":{"name":"European journal of breast health","volume":"21 1","pages":"57-62"},"PeriodicalIF":1.7000,"publicationDate":"2025-01-01","publicationTypes":"Journal Article","fieldsOfStudy":null,"isOpenAccess":false,"openAccessPdf":"https://www.ncbi.nlm.nih.gov/pmc/articles/PMC11706115/pdf/","citationCount":"0","resultStr":"{\"title\":\"Carbonic Anhydrase IX Enzyme in Triple Negative Breast Carcinoma: Relationship With Prognostic Factors and Response to Neoadjuvant Chemotherapy.\",\"authors\":\"Özgen Arslan Solmaz, Nizamettin Kutluer, Mehmet Buğra Bozan\",\"doi\":\"10.4274/ejbh.galenos.2024.2024-6-1\",\"DOIUrl\":null,\"url\":null,\"abstract\":\"<p><strong>Objective: </strong>Triple negative breast carcinoma (TNBC) is characterized by the absence of estrogen receptor, progesterone receptor and human epidermal growth factor receptor-2 receptor expression. Carbonic anhydrase IX (CA IX) is a tumor-associated cell surface glycoprotein that is involved in adaptation to hypoxia-induced acidosis and plays a role in cancer progression. The aim of this study was to investigate CA IX expression in TNBC and its relationship with treatment effect.</p><p><strong>Materials and methods: </strong>Immunohistochemical staining was performed on tru-cut biopsy materials with CA IX antibody. Positive staining was graded as low (<10%) and high (>10%). In addition, the relationship between tumor diameter, histological grade and the treatment effect on mastectomy materials performed after neoadjuvant treatment was evaluated.</p><p><strong>Results: </strong>TNBCs with positive staining for CA IX exhibited higher histological grade, and higher Ki-67 index compared to TNBCs with negative staining (<i>p</i> < 0.05). The response to treatment decreased as the degree of CA IX staining increased. There was no significant difference between the high staining group and low staining group in terms of patient age, tumor diameter and breast localisation.</p><p><strong>Conclusion: </strong>CA IX enzyme is a poor prognostic marker in TNBC cases. However, overexpression of CA IX was associated with reduced response to treatment.</p>\",\"PeriodicalId\":93996,\"journal\":{\"name\":\"European journal of breast health\",\"volume\":\"21 1\",\"pages\":\"57-62\"},\"PeriodicalIF\":1.7000,\"publicationDate\":\"2025-01-01\",\"publicationTypes\":\"Journal Article\",\"fieldsOfStudy\":null,\"isOpenAccess\":false,\"openAccessPdf\":\"https://www.ncbi.nlm.nih.gov/pmc/articles/PMC11706115/pdf/\",\"citationCount\":\"0\",\"resultStr\":null,\"platform\":\"Semanticscholar\",\"paperid\":null,\"PeriodicalName\":\"European journal of breast health\",\"FirstCategoryId\":\"1085\",\"ListUrlMain\":\"https://doi.org/10.4274/ejbh.galenos.2024.2024-6-1\",\"RegionNum\":0,\"RegionCategory\":null,\"ArticlePicture\":[],\"TitleCN\":null,\"AbstractTextCN\":null,\"PMCID\":null,\"EPubDate\":\"\",\"PubModel\":\"\",\"JCR\":\"Q4\",\"JCRName\":\"ONCOLOGY\",\"Score\":null,\"Total\":0}","platform":"Semanticscholar","paperid":null,"PeriodicalName":"European journal of breast health","FirstCategoryId":"1085","ListUrlMain":"https://doi.org/10.4274/ejbh.galenos.2024.2024-6-1","RegionNum":0,"RegionCategory":null,"ArticlePicture":[],"TitleCN":null,"AbstractTextCN":null,"PMCID":null,"EPubDate":"","PubModel":"","JCR":"Q4","JCRName":"ONCOLOGY","Score":null,"Total":0}
引用次数: 0

摘要

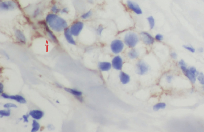
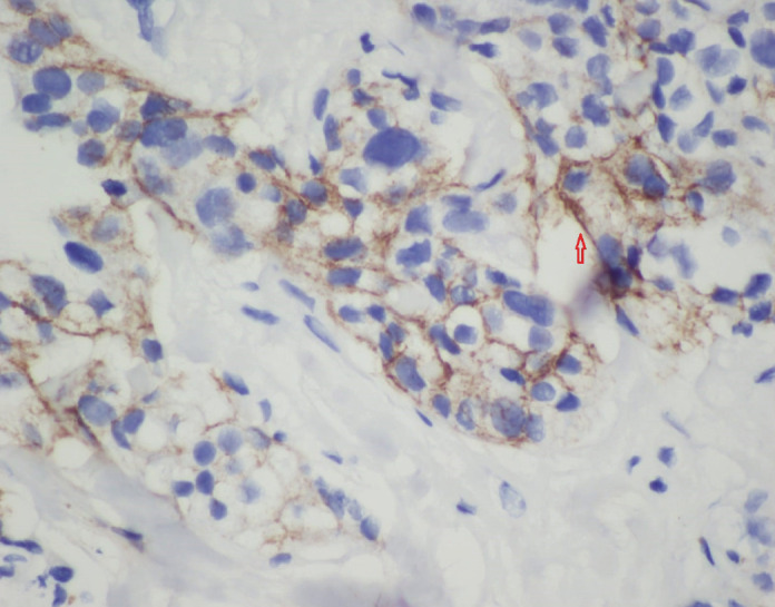
目的:三阴性乳腺癌(Triple negative breast carcinoma, TNBC)以雌激素受体、孕激素受体和人表皮生长因子受体-2受体表达缺失为特征。碳酸酐酶IX (CA IX)是一种肿瘤相关的细胞表面糖蛋白,参与适应缺氧诱导的酸中毒,并在癌症进展中发挥作用。本研究的目的是探讨CA IX在TNBC中的表达及其与治疗效果的关系。材料和方法:用CA IX抗体对真切活检材料进行免疫组化染色。阳性染色分级为低(10%)。此外,评估肿瘤直径、组织学分级与新辅助治疗后乳腺切除材料治疗效果的关系。结果:CA - IX阳性tnbc的组织学分级和Ki-67指数均高于阴性tnbc (p < 0.05)。随着CA - IX染色程度的增加,对治疗的反应降低。高染组与低染组在患者年龄、肿瘤直径、乳腺定位等方面无显著差异。结论:caix酶在TNBC病例中是一个不良的预后指标。然而,CA IX的过表达与治疗反应降低有关。
本文章由计算机程序翻译,如有差异,请以英文原文为准。

Carbonic Anhydrase IX Enzyme in Triple Negative Breast Carcinoma: Relationship With Prognostic Factors and Response to Neoadjuvant Chemotherapy.

Carbonic Anhydrase IX Enzyme in Triple Negative Breast Carcinoma: Relationship With Prognostic Factors and Response to Neoadjuvant Chemotherapy.

Carbonic Anhydrase IX Enzyme in Triple Negative Breast Carcinoma: Relationship With Prognostic Factors and Response to Neoadjuvant Chemotherapy.

Carbonic Anhydrase IX Enzyme in Triple Negative Breast Carcinoma: Relationship With Prognostic Factors and Response to Neoadjuvant Chemotherapy.

Objective: Triple negative breast carcinoma (TNBC) is characterized by the absence of estrogen receptor, progesterone receptor and human epidermal growth factor receptor-2 receptor expression. Carbonic anhydrase IX (CA IX) is a tumor-associated cell surface glycoprotein that is involved in adaptation to hypoxia-induced acidosis and plays a role in cancer progression. The aim of this study was to investigate CA IX expression in TNBC and its relationship with treatment effect.

Materials and methods: Immunohistochemical staining was performed on tru-cut biopsy materials with CA IX antibody. Positive staining was graded as low (<10%) and high (>10%). In addition, the relationship between tumor diameter, histological grade and the treatment effect on mastectomy materials performed after neoadjuvant treatment was evaluated.

Results: TNBCs with positive staining for CA IX exhibited higher histological grade, and higher Ki-67 index compared to TNBCs with negative staining (p < 0.05). The response to treatment decreased as the degree of CA IX staining increased. There was no significant difference between the high staining group and low staining group in terms of patient age, tumor diameter and breast localisation.

Conclusion: CA IX enzyme is a poor prognostic marker in TNBC cases. However, overexpression of CA IX was associated with reduced response to treatment.

求助全文
通过发布文献求助,成功后即可免费获取论文全文。 去求助
来源期刊
CiteScore
2.60
自引率
0.00%
发文量
0
×
引用
GB/T 7714-2015
复制
MLA
复制
APA
复制
导出至
BibTeX EndNote RefMan NoteFirst NoteExpress
×
提示
您的信息不完整,为了账户安全,请先补充。
现在去补充
×
提示
您因"违规操作"
具体请查看互助需知
我知道了
×
提示
确定
请完成安全验证×
copy
已复制链接
快去分享给好友吧!
我知道了
右上角分享
点击右上角分享
0
联系我们:info@booksci.cn Book学术提供免费学术资源搜索服务,方便国内外学者检索中英文文献。致力于提供最便捷和优质的服务体验。 Copyright © 2023 布克学术 All rights reserved.
京ICP备2023020795号-1
ghs 京公网安备 11010802042870号
Book学术文献互助
Book学术文献互助群
群 号:604180095
Book学术官方微信