一例肥厚型心肌病患者未被发现的冠状动脉间交通。

Discoveries (Craiova, Romania) Pub Date : 2024-09-30 eCollection Date: 2024-07-01 DOI:10.15190/d.2024.10
Khalid W Al-Kaissi, Arpita Meher, Ayeza Majid, Yamen Hussein
{"title":"一例肥厚型心肌病患者未被发现的冠状动脉间交通。","authors":"Khalid W Al-Kaissi, Arpita Meher, Ayeza Majid, Yamen Hussein","doi":"10.15190/d.2024.10","DOIUrl":null,"url":null,"abstract":"<p><p>Inter-coronary communication is a rare congenital anomaly, defined as a connection between two patent coronary arteries, and was first described in 1972. We report the case of a 61-year-old Emirati female who presented to the emergency department with chest pain and palpitations, along with a strong family history of cardiac disease. She was initially diagnosed with indolent hypertrophic obstructive cardiomyopathy and accordingly managed; however, the patient remained symptomatic. Further investigations revealed inter-coronary communication between her left circumflex (LCX) and left anterior descending (LAD) coronary arteries. This case highlights the importance of recognizing inter-coronary communications for better outcomes in patients with HOCM, as well as their potential clinical significance with the need for further studies to be done to pinpoint the true significance.</p>","PeriodicalId":72829,"journal":{"name":"Discoveries (Craiova, Romania)","volume":"12 3","pages":"e191"},"PeriodicalIF":0.0000,"publicationDate":"2024-09-30","publicationTypes":"Journal Article","fieldsOfStudy":null,"isOpenAccess":false,"openAccessPdf":"https://www.ncbi.nlm.nih.gov/pmc/articles/PMC11685063/pdf/","citationCount":"0","resultStr":"{\"title\":\"Unrecognized Inter-Coronary Communication in a Case of Hypertrophic Cardiomyopathy.\",\"authors\":\"Khalid W Al-Kaissi, Arpita Meher, Ayeza Majid, Yamen Hussein\",\"doi\":\"10.15190/d.2024.10\",\"DOIUrl\":null,\"url\":null,\"abstract\":\"<p><p>Inter-coronary communication is a rare congenital anomaly, defined as a connection between two patent coronary arteries, and was first described in 1972. We report the case of a 61-year-old Emirati female who presented to the emergency department with chest pain and palpitations, along with a strong family history of cardiac disease. She was initially diagnosed with indolent hypertrophic obstructive cardiomyopathy and accordingly managed; however, the patient remained symptomatic. Further investigations revealed inter-coronary communication between her left circumflex (LCX) and left anterior descending (LAD) coronary arteries. This case highlights the importance of recognizing inter-coronary communications for better outcomes in patients with HOCM, as well as their potential clinical significance with the need for further studies to be done to pinpoint the true significance.</p>\",\"PeriodicalId\":72829,\"journal\":{\"name\":\"Discoveries (Craiova, Romania)\",\"volume\":\"12 3\",\"pages\":\"e191\"},\"PeriodicalIF\":0.0000,\"publicationDate\":\"2024-09-30\",\"publicationTypes\":\"Journal Article\",\"fieldsOfStudy\":null,\"isOpenAccess\":false,\"openAccessPdf\":\"https://www.ncbi.nlm.nih.gov/pmc/articles/PMC11685063/pdf/\",\"citationCount\":\"0\",\"resultStr\":null,\"platform\":\"Semanticscholar\",\"paperid\":null,\"PeriodicalName\":\"Discoveries (Craiova, Romania)\",\"FirstCategoryId\":\"1085\",\"ListUrlMain\":\"https://doi.org/10.15190/d.2024.10\",\"RegionNum\":0,\"RegionCategory\":null,\"ArticlePicture\":[],\"TitleCN\":null,\"AbstractTextCN\":null,\"PMCID\":null,\"EPubDate\":\"2024/7/1 0:00:00\",\"PubModel\":\"eCollection\",\"JCR\":\"\",\"JCRName\":\"\",\"Score\":null,\"Total\":0}","platform":"Semanticscholar","paperid":null,"PeriodicalName":"Discoveries (Craiova, Romania)","FirstCategoryId":"1085","ListUrlMain":"https://doi.org/10.15190/d.2024.10","RegionNum":0,"RegionCategory":null,"ArticlePicture":[],"TitleCN":null,"AbstractTextCN":null,"PMCID":null,"EPubDate":"2024/7/1 0:00:00","PubModel":"eCollection","JCR":"","JCRName":"","Score":null,"Total":0}
引用次数: 0

摘要

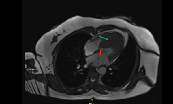
冠状动脉间通讯是一种罕见的先天性异常,定义为两条未闭冠状动脉之间的连接,于1972年首次被描述。我们报告的情况下,61岁的阿联酋女性谁提出了胸痛和心悸的急诊科,并与心脏疾病的强烈家族史。她最初被诊断为惰性肥厚性梗阻性心肌病并进行相应的治疗;然而,患者仍有症状。进一步的检查显示她的左旋冠状动脉(LCX)和左前降支冠状动脉(LAD)之间有冠状动脉间的通信。本病例强调了认识冠状动脉间通信对于HOCM患者更好预后的重要性,以及其潜在的临床意义,需要进一步研究以确定其真正意义。
本文章由计算机程序翻译,如有差异,请以英文原文为准。

Unrecognized Inter-Coronary Communication in a Case of Hypertrophic Cardiomyopathy.

Unrecognized Inter-Coronary Communication in a Case of Hypertrophic Cardiomyopathy.

Unrecognized Inter-Coronary Communication in a Case of Hypertrophic Cardiomyopathy.

Unrecognized Inter-Coronary Communication in a Case of Hypertrophic Cardiomyopathy.

Inter-coronary communication is a rare congenital anomaly, defined as a connection between two patent coronary arteries, and was first described in 1972. We report the case of a 61-year-old Emirati female who presented to the emergency department with chest pain and palpitations, along with a strong family history of cardiac disease. She was initially diagnosed with indolent hypertrophic obstructive cardiomyopathy and accordingly managed; however, the patient remained symptomatic. Further investigations revealed inter-coronary communication between her left circumflex (LCX) and left anterior descending (LAD) coronary arteries. This case highlights the importance of recognizing inter-coronary communications for better outcomes in patients with HOCM, as well as their potential clinical significance with the need for further studies to be done to pinpoint the true significance.

求助全文
通过发布文献求助,成功后即可免费获取论文全文。 去求助
来源期刊
自引率
0.00%
发文量
0
×
引用
GB/T 7714-2015
复制
MLA
复制
APA
复制
导出至
BibTeX EndNote RefMan NoteFirst NoteExpress
×
提示
您的信息不完整,为了账户安全,请先补充。
现在去补充
×
提示
您因"违规操作"
具体请查看互助需知
我知道了
×
提示
确定
请完成安全验证×
copy
已复制链接
快去分享给好友吧!
我知道了
右上角分享
点击右上角分享
0
联系我们:info@booksci.cn Book学术提供免费学术资源搜索服务,方便国内外学者检索中英文文献。致力于提供最便捷和优质的服务体验。 Copyright © 2023 布克学术 All rights reserved.
京ICP备2023020795号-1
ghs 京公网安备 11010802042870号
Book学术文献互助
Book学术文献互助群
群 号:604180095
Book学术官方微信