治疗性拔牙的时机会影响整体前牙后缩:一项裂口随机临床试验。

IF 1.4 Q4 DENTISTRY, ORAL SURGERY & MEDICINE
Devi Priya, Shobha Sundareswaran, Navnita Mishra, Sreehari Sathyanathan, Mohammed Shibin, Baby Jisha
{"title":"治疗性拔牙的时机会影响整体前牙后缩:一项裂口随机临床试验。","authors":"Devi Priya, Shobha Sundareswaran, Navnita Mishra, Sreehari Sathyanathan, Mohammed Shibin, Baby Jisha","doi":"10.4274/TurkJOrthod.2024.2023.6","DOIUrl":null,"url":null,"abstract":"<p><strong>Objective: </strong>To investigate the effect of deferred timing of therapeutic extraction on the rate of space closure during en masse anterior retraction.</p><p><strong>Methods: </strong>Twenty-six patients (aged 16-24 years) with bimaxillary protrusion, crowding <3 mm, requiring bilateral extraction of four first premolars were recruited. Permuted block randomization was done. Allocations were concealed in opaque envelopes which were numbered and sealed. Each patient's right and left quadrant was randomly assigned for premolar extraction. The extraction of the contralateral side was deferred until the commencement of retraction. The primary outcome was the rate of space closure, and the secondary outcomes were anchorage loss and canine rotation. Blinding was applied only during the outcome assessment. The independent t-test and Intraclass correlation tests were used for statistical evaluation.</p><p><strong>Results: </strong>Twenty-four patients completed the study. The mean rate of space closure over a period of 4 months was found to be significantly higher for the recently extracted site (0.818±0.208) when compared with healed site(0.426±0.184)(p<0.001). The tipping of the canine was also significantly higher for the former (6.042°±1.398°) than the latter (5.125°±1.035°) (p<0.05). However, the amounts of anchorage loss and canine rotation were insignificant. No adverse effects were noted.</p><p><strong>Conclusion: </strong>The rate of space closure at the recent extraction site was faster than that at the healed site. There was no significant difference in the mesial movement of anchorage molars or rotation of canines into the extraction site. The tipping of canines was significantly greater in the recent extracted quadrant. The results of this trial indicate a clinical recommendation to initiate orthodontic retraction immediately following therapeutic extractions and offer a practical, non-invasive, safe procedure for increasing the rate of tooth movement.</p>","PeriodicalId":37013,"journal":{"name":"Turkish Journal of Orthodontics","volume":"37 4","pages":"213-220"},"PeriodicalIF":1.4000,"publicationDate":"2024-12-31","publicationTypes":"Journal Article","fieldsOfStudy":null,"isOpenAccess":false,"openAccessPdf":"https://www.ncbi.nlm.nih.gov/pmc/articles/PMC11705195/pdf/","citationCount":"0","resultStr":"{\"title\":\"Timing of Therapeutic Extractions Can Affect En Masse Anterior Retraction: A Split Mouth Randomized Clinical Trial.\",\"authors\":\"Devi Priya, Shobha Sundareswaran, Navnita Mishra, Sreehari Sathyanathan, Mohammed Shibin, Baby Jisha\",\"doi\":\"10.4274/TurkJOrthod.2024.2023.6\",\"DOIUrl\":null,\"url\":null,\"abstract\":\"<p><strong>Objective: </strong>To investigate the effect of deferred timing of therapeutic extraction on the rate of space closure during en masse anterior retraction.</p><p><strong>Methods: </strong>Twenty-six patients (aged 16-24 years) with bimaxillary protrusion, crowding <3 mm, requiring bilateral extraction of four first premolars were recruited. Permuted block randomization was done. Allocations were concealed in opaque envelopes which were numbered and sealed. Each patient's right and left quadrant was randomly assigned for premolar extraction. The extraction of the contralateral side was deferred until the commencement of retraction. The primary outcome was the rate of space closure, and the secondary outcomes were anchorage loss and canine rotation. Blinding was applied only during the outcome assessment. The independent t-test and Intraclass correlation tests were used for statistical evaluation.</p><p><strong>Results: </strong>Twenty-four patients completed the study. The mean rate of space closure over a period of 4 months was found to be significantly higher for the recently extracted site (0.818±0.208) when compared with healed site(0.426±0.184)(p<0.001). The tipping of the canine was also significantly higher for the former (6.042°±1.398°) than the latter (5.125°±1.035°) (p<0.05). However, the amounts of anchorage loss and canine rotation were insignificant. No adverse effects were noted.</p><p><strong>Conclusion: </strong>The rate of space closure at the recent extraction site was faster than that at the healed site. There was no significant difference in the mesial movement of anchorage molars or rotation of canines into the extraction site. The tipping of canines was significantly greater in the recent extracted quadrant. The results of this trial indicate a clinical recommendation to initiate orthodontic retraction immediately following therapeutic extractions and offer a practical, non-invasive, safe procedure for increasing the rate of tooth movement.</p>\",\"PeriodicalId\":37013,\"journal\":{\"name\":\"Turkish Journal of Orthodontics\",\"volume\":\"37 4\",\"pages\":\"213-220\"},\"PeriodicalIF\":1.4000,\"publicationDate\":\"2024-12-31\",\"publicationTypes\":\"Journal Article\",\"fieldsOfStudy\":null,\"isOpenAccess\":false,\"openAccessPdf\":\"https://www.ncbi.nlm.nih.gov/pmc/articles/PMC11705195/pdf/\",\"citationCount\":\"0\",\"resultStr\":null,\"platform\":\"Semanticscholar\",\"paperid\":null,\"PeriodicalName\":\"Turkish Journal of Orthodontics\",\"FirstCategoryId\":\"1085\",\"ListUrlMain\":\"https://doi.org/10.4274/TurkJOrthod.2024.2023.6\",\"RegionNum\":0,\"RegionCategory\":null,\"ArticlePicture\":[],\"TitleCN\":null,\"AbstractTextCN\":null,\"PMCID\":null,\"EPubDate\":\"\",\"PubModel\":\"\",\"JCR\":\"Q4\",\"JCRName\":\"DENTISTRY, ORAL SURGERY & MEDICINE\",\"Score\":null,\"Total\":0}","platform":"Semanticscholar","paperid":null,"PeriodicalName":"Turkish Journal of Orthodontics","FirstCategoryId":"1085","ListUrlMain":"https://doi.org/10.4274/TurkJOrthod.2024.2023.6","RegionNum":0,"RegionCategory":null,"ArticlePicture":[],"TitleCN":null,"AbstractTextCN":null,"PMCID":null,"EPubDate":"","PubModel":"","JCR":"Q4","JCRName":"DENTISTRY, ORAL SURGERY & MEDICINE","Score":null,"Total":0}
引用次数: 0

摘要

目的研究推迟治疗性拔牙时间对整体前牙牵引过程中牙间隙闭合率的影响:26名患有双颌前突、拥挤的患者(16-24岁 结果: 24名患者完成了研究:24 名患者完成了研究。与愈合部位(0.426±0.184)相比,最近拔牙部位 4 个月的平均间隙闭合率(0.818±0.208)明显更高(p 结论:最近拔牙部位的间隙闭合率明显高于愈合部位(0.818±0.208):近期拔牙部位的间隙闭合速度快于愈合部位。锚定磨牙的中线移动和犬齿向拔牙部位的旋转没有明显差异。在最近拔牙的象限,犬齿的倾斜度明显更大。这项试验的结果表明,临床上建议在治疗性拔牙后立即启动正畸牵引,并为提高牙齿移动速度提供了一种实用、无创、安全的方法。
本文章由计算机程序翻译,如有差异,请以英文原文为准。

Timing of Therapeutic Extractions Can Affect En Masse Anterior Retraction: A Split Mouth Randomized Clinical Trial.

Timing of Therapeutic Extractions Can Affect En Masse Anterior Retraction: A Split Mouth Randomized Clinical Trial.

Timing of Therapeutic Extractions Can Affect En Masse Anterior Retraction: A Split Mouth Randomized Clinical Trial.

Timing of Therapeutic Extractions Can Affect En Masse Anterior Retraction: A Split Mouth Randomized Clinical Trial.

Objective: To investigate the effect of deferred timing of therapeutic extraction on the rate of space closure during en masse anterior retraction.

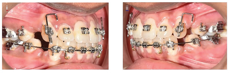
Methods: Twenty-six patients (aged 16-24 years) with bimaxillary protrusion, crowding <3 mm, requiring bilateral extraction of four first premolars were recruited. Permuted block randomization was done. Allocations were concealed in opaque envelopes which were numbered and sealed. Each patient's right and left quadrant was randomly assigned for premolar extraction. The extraction of the contralateral side was deferred until the commencement of retraction. The primary outcome was the rate of space closure, and the secondary outcomes were anchorage loss and canine rotation. Blinding was applied only during the outcome assessment. The independent t-test and Intraclass correlation tests were used for statistical evaluation.

Results: Twenty-four patients completed the study. The mean rate of space closure over a period of 4 months was found to be significantly higher for the recently extracted site (0.818±0.208) when compared with healed site(0.426±0.184)(p<0.001). The tipping of the canine was also significantly higher for the former (6.042°±1.398°) than the latter (5.125°±1.035°) (p<0.05). However, the amounts of anchorage loss and canine rotation were insignificant. No adverse effects were noted.

Conclusion: The rate of space closure at the recent extraction site was faster than that at the healed site. There was no significant difference in the mesial movement of anchorage molars or rotation of canines into the extraction site. The tipping of canines was significantly greater in the recent extracted quadrant. The results of this trial indicate a clinical recommendation to initiate orthodontic retraction immediately following therapeutic extractions and offer a practical, non-invasive, safe procedure for increasing the rate of tooth movement.

求助全文
通过发布文献求助,成功后即可免费获取论文全文。 去求助
来源期刊
Turkish Journal of Orthodontics
Turkish Journal of Orthodontics Dentistry-Orthodontics
CiteScore
2.10
自引率
9.10%
发文量
34
×
引用
GB/T 7714-2015
复制
MLA
复制
APA
复制
导出至
BibTeX EndNote RefMan NoteFirst NoteExpress
×
提示
您的信息不完整,为了账户安全,请先补充。
现在去补充
×
提示
您因"违规操作"
具体请查看互助需知
我知道了
×
提示
确定
请完成安全验证×
copy
已复制链接
快去分享给好友吧!
我知道了
右上角分享
点击右上角分享
0
联系我们:info@booksci.cn Book学术提供免费学术资源搜索服务,方便国内外学者检索中英文文献。致力于提供最便捷和优质的服务体验。 Copyright © 2023 布克学术 All rights reserved.
京ICP备2023020795号-1
ghs 京公网安备 11010802042870号
Book学术文献互助
Book学术文献互助群
群 号:604180095
Book学术官方微信