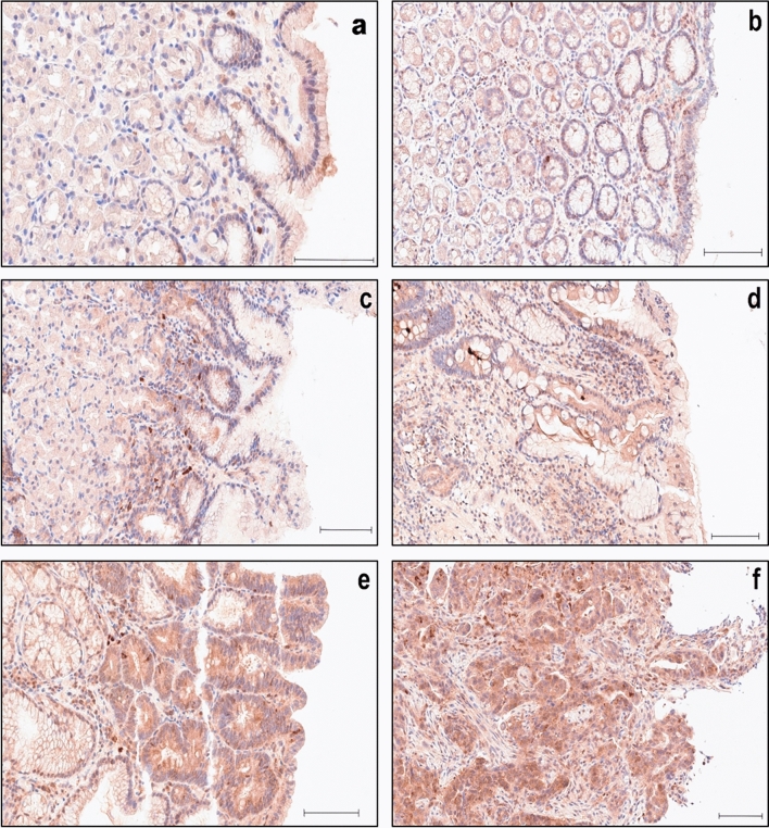
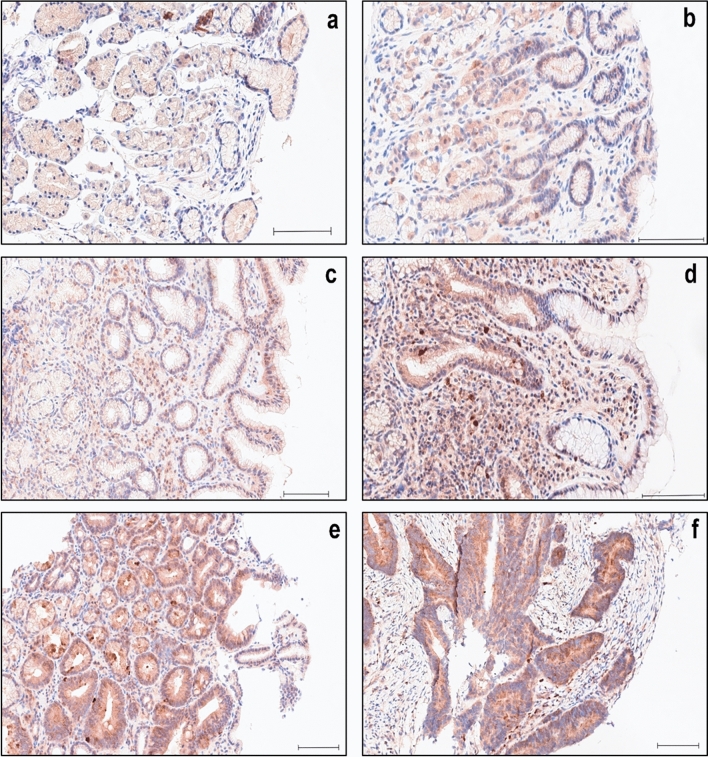
胃活检中泛素编辑酶A20的差异表达表明疾病的严重程度。

IF 2.1 4区 生物学 Q4 CELL BIOLOGY
Stephan Schnizler, Michael Naumann, Michael Vieth
{"title":"胃活检中泛素编辑酶A20的差异表达表明疾病的严重程度。","authors":"Stephan Schnizler, Michael Naumann, Michael Vieth","doi":"10.1007/s00418-024-02345-2","DOIUrl":null,"url":null,"abstract":"<p><p>A20, an ubiquitin-editing enzyme, plays a pivotal role in regulating cell signaling and immune responses. Dysregulated A20 expression has been associated with various pathological conditions, including inflammatory diseases and malignancies, where its expression levels often correlate with differing prognoses in solid tumors. This study aimed to explore the expression and cellular localization of A20 in both nonpathological and diseased human gastric tissues to gain deeper insights into its involvement in gastric pathologies. We analyzed paraffin-embedded gastric tissue samples from 326 patients. A20 expression was assessed using immunohistochemistry (IHC) with results categorized according to the Remmele and Stegner immunoreactive score (IRS). The study compared A20 expression across a spectrum of gastric pathologies, including Helicobacter pylori (HP) gastritis, autoimmune gastritis (A-gastritis), reactive gastropathy (C-gastritis), Ex-HP-gastritis, adenomas, and adenocarcinomas, with nonpathological gastric mucosa serving as a baseline. Our findings demonstrate a significant increase in A20 expression in HP-gastritis (p = 0.019), A-gastritis (p = 0.001), adenomas (p < 0.001), and adenocarcinomas (p < 0.001). Conversely, no significant differences in A20 expression were observed in C-gastritis or Ex-HP-gastritis cases.</p>","PeriodicalId":13107,"journal":{"name":"Histochemistry and Cell Biology","volume":"163 1","pages":"22"},"PeriodicalIF":2.1000,"publicationDate":"2024-12-31","publicationTypes":"Journal Article","fieldsOfStudy":null,"isOpenAccess":false,"openAccessPdf":"https://www.ncbi.nlm.nih.gov/pmc/articles/PMC11978676/pdf/","citationCount":"0","resultStr":"{\"title\":\"Differential expression of the ubiquitin-editing enzyme A20 in gastric biopsies indicates the severity of disease.\",\"authors\":\"Stephan Schnizler, Michael Naumann, Michael Vieth\",\"doi\":\"10.1007/s00418-024-02345-2\",\"DOIUrl\":null,\"url\":null,\"abstract\":\"<p><p>A20, an ubiquitin-editing enzyme, plays a pivotal role in regulating cell signaling and immune responses. Dysregulated A20 expression has been associated with various pathological conditions, including inflammatory diseases and malignancies, where its expression levels often correlate with differing prognoses in solid tumors. This study aimed to explore the expression and cellular localization of A20 in both nonpathological and diseased human gastric tissues to gain deeper insights into its involvement in gastric pathologies. We analyzed paraffin-embedded gastric tissue samples from 326 patients. A20 expression was assessed using immunohistochemistry (IHC) with results categorized according to the Remmele and Stegner immunoreactive score (IRS). The study compared A20 expression across a spectrum of gastric pathologies, including Helicobacter pylori (HP) gastritis, autoimmune gastritis (A-gastritis), reactive gastropathy (C-gastritis), Ex-HP-gastritis, adenomas, and adenocarcinomas, with nonpathological gastric mucosa serving as a baseline. Our findings demonstrate a significant increase in A20 expression in HP-gastritis (p = 0.019), A-gastritis (p = 0.001), adenomas (p < 0.001), and adenocarcinomas (p < 0.001). Conversely, no significant differences in A20 expression were observed in C-gastritis or Ex-HP-gastritis cases.</p>\",\"PeriodicalId\":13107,\"journal\":{\"name\":\"Histochemistry and Cell Biology\",\"volume\":\"163 1\",\"pages\":\"22\"},\"PeriodicalIF\":2.1000,\"publicationDate\":\"2024-12-31\",\"publicationTypes\":\"Journal Article\",\"fieldsOfStudy\":null,\"isOpenAccess\":false,\"openAccessPdf\":\"https://www.ncbi.nlm.nih.gov/pmc/articles/PMC11978676/pdf/\",\"citationCount\":\"0\",\"resultStr\":null,\"platform\":\"Semanticscholar\",\"paperid\":null,\"PeriodicalName\":\"Histochemistry and Cell Biology\",\"FirstCategoryId\":\"99\",\"ListUrlMain\":\"https://doi.org/10.1007/s00418-024-02345-2\",\"RegionNum\":4,\"RegionCategory\":\"生物学\",\"ArticlePicture\":[],\"TitleCN\":null,\"AbstractTextCN\":null,\"PMCID\":null,\"EPubDate\":\"\",\"PubModel\":\"\",\"JCR\":\"Q4\",\"JCRName\":\"CELL BIOLOGY\",\"Score\":null,\"Total\":0}","platform":"Semanticscholar","paperid":null,"PeriodicalName":"Histochemistry and Cell Biology","FirstCategoryId":"99","ListUrlMain":"https://doi.org/10.1007/s00418-024-02345-2","RegionNum":4,"RegionCategory":"生物学","ArticlePicture":[],"TitleCN":null,"AbstractTextCN":null,"PMCID":null,"EPubDate":"","PubModel":"","JCR":"Q4","JCRName":"CELL BIOLOGY","Score":null,"Total":0}
引用次数: 0

摘要

A20是一种泛素编辑酶,在调节细胞信号传导和免疫反应中起着关键作用。A20表达失调与多种病理状况相关,包括炎症性疾病和恶性肿瘤,其中其表达水平通常与实体肿瘤的不同预后相关。本研究旨在探讨A20在非病理和病变人胃组织中的表达和细胞定位,以深入了解其在胃病理中的作用。我们分析了326例患者的石蜡包埋胃组织样本。采用免疫组织化学(IHC)评估A20的表达,并根据Remmele和Stegner免疫反应评分(IRS)对结果进行分类。该研究比较了A20在胃病谱中的表达,包括幽门螺杆菌(HP)胃炎、自身免疫性胃炎(a -胃炎)、反应性胃炎(c -胃炎)、前HP-胃炎、腺瘤和腺癌,以非病理性胃粘膜为基线。我们的研究结果显示,A20在hp -胃炎(p = 0.019), a -胃炎(p = 0.001),腺瘤(p = 0.001)中表达显著增加
本文章由计算机程序翻译,如有差异,请以英文原文为准。

Differential expression of the ubiquitin-editing enzyme A20 in gastric biopsies indicates the severity of disease.

Differential expression of the ubiquitin-editing enzyme A20 in gastric biopsies indicates the severity of disease.

Differential expression of the ubiquitin-editing enzyme A20 in gastric biopsies indicates the severity of disease.

Differential expression of the ubiquitin-editing enzyme A20 in gastric biopsies indicates the severity of disease.

A20, an ubiquitin-editing enzyme, plays a pivotal role in regulating cell signaling and immune responses. Dysregulated A20 expression has been associated with various pathological conditions, including inflammatory diseases and malignancies, where its expression levels often correlate with differing prognoses in solid tumors. This study aimed to explore the expression and cellular localization of A20 in both nonpathological and diseased human gastric tissues to gain deeper insights into its involvement in gastric pathologies. We analyzed paraffin-embedded gastric tissue samples from 326 patients. A20 expression was assessed using immunohistochemistry (IHC) with results categorized according to the Remmele and Stegner immunoreactive score (IRS). The study compared A20 expression across a spectrum of gastric pathologies, including Helicobacter pylori (HP) gastritis, autoimmune gastritis (A-gastritis), reactive gastropathy (C-gastritis), Ex-HP-gastritis, adenomas, and adenocarcinomas, with nonpathological gastric mucosa serving as a baseline. Our findings demonstrate a significant increase in A20 expression in HP-gastritis (p = 0.019), A-gastritis (p = 0.001), adenomas (p < 0.001), and adenocarcinomas (p < 0.001). Conversely, no significant differences in A20 expression were observed in C-gastritis or Ex-HP-gastritis cases.

求助全文
通过发布文献求助,成功后即可免费获取论文全文。 去求助
来源期刊
Histochemistry and Cell Biology
Histochemistry and Cell Biology 生物-细胞生物学
CiteScore
4.90
自引率
8.70%
发文量
112
审稿时长
1 months
期刊介绍: Histochemistry and Cell Biology is devoted to the field of molecular histology and cell biology, publishing original articles dealing with the localization and identification of molecular components, metabolic activities and cell biological aspects of cells and tissues. Coverage extends to the development, application, and/or evaluation of methods and probes that can be used in the entire area of histochemistry and cell biology.
×
引用
GB/T 7714-2015
复制
MLA
复制
APA
复制
导出至
BibTeX EndNote RefMan NoteFirst NoteExpress
×
提示
您的信息不完整,为了账户安全,请先补充。
现在去补充
×
提示
您因"违规操作"
具体请查看互助需知
我知道了
×
提示
确定
请完成安全验证×
copy
已复制链接
快去分享给好友吧!
我知道了
右上角分享
点击右上角分享
0
联系我们:info@booksci.cn Book学术提供免费学术资源搜索服务,方便国内外学者检索中英文文献。致力于提供最便捷和优质的服务体验。 Copyright © 2023 布克学术 All rights reserved.
京ICP备2023020795号-1
ghs 京公网安备 11010802042870号
Book学术文献互助
Book学术文献互助群
群 号:604180095
Book学术官方微信