服用替西帕肽减肥的年轻人广泛深静脉血栓。

IF 1.2 Q3 Medicine
Mohammed Fareeduddin Farooqi FRCP , Muhammad Arshad Mehmood FRCP , Maria Khan MBBS , Hafiz Muhammad Salman Pharm D. , Adnan Agha FRCP
{"title":"服用替西帕肽减肥的年轻人广泛深静脉血栓。","authors":"Mohammed Fareeduddin Farooqi FRCP ,&nbsp;Muhammad Arshad Mehmood FRCP ,&nbsp;Maria Khan MBBS ,&nbsp;Hafiz Muhammad Salman Pharm D. ,&nbsp;Adnan Agha FRCP","doi":"10.1016/j.aace.2024.08.011","DOIUrl":null,"url":null,"abstract":"<div><h3>Background/Objective</h3><div>Obesity and rapid weight loss are risk factors for developing deep vein thromboses (DVTs). Our aims were to present a patient who developed extensive DVT after relatively rapid and severe weight loss that followed taking tirzepatide and to raise the awareness among health care professionals regarding the risk of DVT that can be associated with significant weight loss due to these agents.</div></div><div><h3>Case Report</h3><div>We present the case of a 20-year-old young man, with raised body mass index of &gt;35 kg/m<sup>2</sup>, who was initiated on tirzepatide treatment for weight loss, with 12-kg weight lost over 6 weeks. The patient did not have any risk factors for thrombophilia including family history, any recent travel, immobilization, recent infections, or recent surgeries. He presented with left leg swelling, and physical examination revealed signs of proximal DVT, and ultrasound Doppler and computed tomography venography confirmed extensive left-sided DVT with complete obstruction of the common femoral and iliac veins. He underwent mechanical thrombectomy and was maintained on anticoagulation therapy. His investigations for thrombophilia screening excluded any other cause for DVT, with the etiology attributed to possibly rapid weight loss.</div></div><div><h3>Discussion</h3><div>Newer and potent glucagon-like peptide 1 receptor agonists like tirzepatide are commonly used nowadays to induce weight loss in obese patients.</div></div><div><h3>Conclusion</h3><div>Adequate risk assessments and close monitoring should be performed in patients initiating glucagon-like peptide 1 receptor agonists, particularly if they have risk factors for developing venous thromboembolism.</div></div>","PeriodicalId":7051,"journal":{"name":"AACE Clinical Case Reports","volume":"10 6","pages":"Pages 261-263"},"PeriodicalIF":1.2000,"publicationDate":"2024-11-01","publicationTypes":"Journal Article","fieldsOfStudy":null,"isOpenAccess":false,"openAccessPdf":"https://www.ncbi.nlm.nih.gov/pmc/articles/PMC11680757/pdf/","citationCount":"0","resultStr":"{\"title\":\"Extensive Deep Vein Thrombosis in a Young Man Taking Tirzepatide for Weight Loss\",\"authors\":\"Mohammed Fareeduddin Farooqi FRCP ,&nbsp;Muhammad Arshad Mehmood FRCP ,&nbsp;Maria Khan MBBS ,&nbsp;Hafiz Muhammad Salman Pharm D. ,&nbsp;Adnan Agha FRCP\",\"doi\":\"10.1016/j.aace.2024.08.011\",\"DOIUrl\":null,\"url\":null,\"abstract\":\"<div><h3>Background/Objective</h3><div>Obesity and rapid weight loss are risk factors for developing deep vein thromboses (DVTs). Our aims were to present a patient who developed extensive DVT after relatively rapid and severe weight loss that followed taking tirzepatide and to raise the awareness among health care professionals regarding the risk of DVT that can be associated with significant weight loss due to these agents.</div></div><div><h3>Case Report</h3><div>We present the case of a 20-year-old young man, with raised body mass index of &gt;35 kg/m<sup>2</sup>, who was initiated on tirzepatide treatment for weight loss, with 12-kg weight lost over 6 weeks. The patient did not have any risk factors for thrombophilia including family history, any recent travel, immobilization, recent infections, or recent surgeries. He presented with left leg swelling, and physical examination revealed signs of proximal DVT, and ultrasound Doppler and computed tomography venography confirmed extensive left-sided DVT with complete obstruction of the common femoral and iliac veins. He underwent mechanical thrombectomy and was maintained on anticoagulation therapy. His investigations for thrombophilia screening excluded any other cause for DVT, with the etiology attributed to possibly rapid weight loss.</div></div><div><h3>Discussion</h3><div>Newer and potent glucagon-like peptide 1 receptor agonists like tirzepatide are commonly used nowadays to induce weight loss in obese patients.</div></div><div><h3>Conclusion</h3><div>Adequate risk assessments and close monitoring should be performed in patients initiating glucagon-like peptide 1 receptor agonists, particularly if they have risk factors for developing venous thromboembolism.</div></div>\",\"PeriodicalId\":7051,\"journal\":{\"name\":\"AACE Clinical Case Reports\",\"volume\":\"10 6\",\"pages\":\"Pages 261-263\"},\"PeriodicalIF\":1.2000,\"publicationDate\":\"2024-11-01\",\"publicationTypes\":\"Journal Article\",\"fieldsOfStudy\":null,\"isOpenAccess\":false,\"openAccessPdf\":\"https://www.ncbi.nlm.nih.gov/pmc/articles/PMC11680757/pdf/\",\"citationCount\":\"0\",\"resultStr\":null,\"platform\":\"Semanticscholar\",\"paperid\":null,\"PeriodicalName\":\"AACE Clinical Case Reports\",\"FirstCategoryId\":\"1085\",\"ListUrlMain\":\"https://www.sciencedirect.com/science/article/pii/S2376060524000981\",\"RegionNum\":0,\"RegionCategory\":null,\"ArticlePicture\":[],\"TitleCN\":null,\"AbstractTextCN\":null,\"PMCID\":null,\"EPubDate\":\"\",\"PubModel\":\"\",\"JCR\":\"Q3\",\"JCRName\":\"Medicine\",\"Score\":null,\"Total\":0}","platform":"Semanticscholar","paperid":null,"PeriodicalName":"AACE Clinical Case Reports","FirstCategoryId":"1085","ListUrlMain":"https://www.sciencedirect.com/science/article/pii/S2376060524000981","RegionNum":0,"RegionCategory":null,"ArticlePicture":[],"TitleCN":null,"AbstractTextCN":null,"PMCID":null,"EPubDate":"","PubModel":"","JCR":"Q3","JCRName":"Medicine","Score":null,"Total":0}
引用次数: 0

摘要

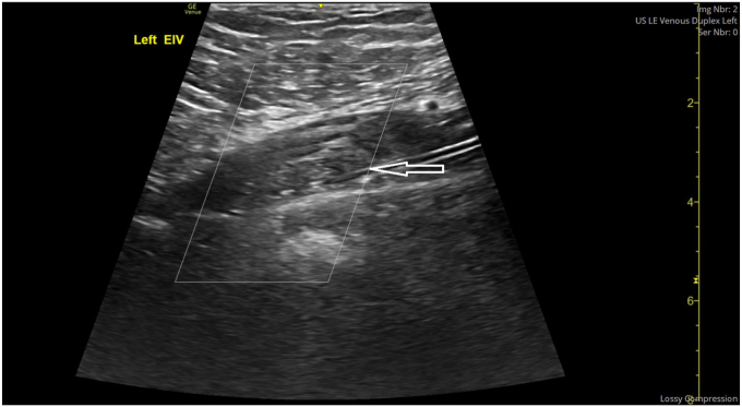
背景/目的:肥胖和体重快速减轻是发生深静脉血栓形成(DVTs)的危险因素。我们的目的是介绍一位在服用替西帕肽后相对快速和严重的体重减轻后发生广泛深静脉血栓的患者,并提高卫生保健专业人员对深静脉血栓风险的认识,这些风险可能与这些药物导致的显著体重减轻有关。病例报告:我们报告了一名20岁的年轻人,体重指数升高,体重指数为bbb35 kg/m2,他开始使用替西帕肽治疗减肥,6周内体重减轻了12 kg。患者没有任何血栓形成的危险因素,包括家族史、近期旅行、固定、近期感染或近期手术。患者表现为左腿肿胀,体格检查显示近端DVT征象,超声多普勒和计算机断层静脉造影证实左侧广泛DVT,股总静脉和髂总静脉完全阻塞。他接受了机械取栓术,并继续接受抗凝治疗。他的血栓筛查调查排除了任何其他导致深静脉血栓形成的原因,病因可能归因于体重迅速减轻。讨论:较新的和有效的胰高血糖素样肽1受体激动剂,如替西肽,目前常用于诱导肥胖患者减肥。结论:对开始使用胰高血糖素样肽1受体激动剂的患者应进行充分的风险评估和密切监测,特别是如果他们有发生静脉血栓栓塞的危险因素。
本文章由计算机程序翻译,如有差异,请以英文原文为准。

Extensive Deep Vein Thrombosis in a Young Man Taking Tirzepatide for Weight Loss

Extensive Deep Vein Thrombosis in a Young Man Taking Tirzepatide for Weight Loss

Background/Objective

Obesity and rapid weight loss are risk factors for developing deep vein thromboses (DVTs). Our aims were to present a patient who developed extensive DVT after relatively rapid and severe weight loss that followed taking tirzepatide and to raise the awareness among health care professionals regarding the risk of DVT that can be associated with significant weight loss due to these agents.

Case Report

We present the case of a 20-year-old young man, with raised body mass index of >35 kg/m2, who was initiated on tirzepatide treatment for weight loss, with 12-kg weight lost over 6 weeks. The patient did not have any risk factors for thrombophilia including family history, any recent travel, immobilization, recent infections, or recent surgeries. He presented with left leg swelling, and physical examination revealed signs of proximal DVT, and ultrasound Doppler and computed tomography venography confirmed extensive left-sided DVT with complete obstruction of the common femoral and iliac veins. He underwent mechanical thrombectomy and was maintained on anticoagulation therapy. His investigations for thrombophilia screening excluded any other cause for DVT, with the etiology attributed to possibly rapid weight loss.

Discussion

Newer and potent glucagon-like peptide 1 receptor agonists like tirzepatide are commonly used nowadays to induce weight loss in obese patients.

Conclusion

Adequate risk assessments and close monitoring should be performed in patients initiating glucagon-like peptide 1 receptor agonists, particularly if they have risk factors for developing venous thromboembolism.
求助全文
通过发布文献求助,成功后即可免费获取论文全文。 去求助
来源期刊
AACE Clinical Case Reports
AACE Clinical Case Reports Medicine-Endocrinology, Diabetes and Metabolism
CiteScore
2.30
自引率
0.00%
发文量
61
审稿时长
55 days
×
引用
GB/T 7714-2015
复制
MLA
复制
APA
复制
导出至
BibTeX EndNote RefMan NoteFirst NoteExpress
×
提示
您的信息不完整,为了账户安全,请先补充。
现在去补充
×
提示
您因"违规操作"
具体请查看互助需知
我知道了
×
提示
确定
请完成安全验证×
copy
已复制链接
快去分享给好友吧!
我知道了
右上角分享
点击右上角分享
0
联系我们:info@booksci.cn Book学术提供免费学术资源搜索服务,方便国内外学者检索中英文文献。致力于提供最便捷和优质的服务体验。 Copyright © 2023 布克学术 All rights reserved.
京ICP备2023020795号-1
ghs 京公网安备 11010802042870号
Book学术文献互助
Book学术文献互助群
群 号:604180095
Book学术官方微信