血流分流器治疗多发性动脉瘤的疗效:1例临床报告。

Discoveries (Craiova, Romania) Pub Date : 2023-12-31 eCollection Date: 2023-10-01 DOI:10.15190/d.2023.20
Erekle Ekvtimishvili, Rahul Yedpallikar Rajesh, Rowyna Reji Koshy, Binu Thomas Maliyil, Arsha Anil Kumar
{"title":"血流分流器治疗多发性动脉瘤的疗效:1例临床报告。","authors":"Erekle Ekvtimishvili, Rahul Yedpallikar Rajesh, Rowyna Reji Koshy, Binu Thomas Maliyil, Arsha Anil Kumar","doi":"10.15190/d.2023.20","DOIUrl":null,"url":null,"abstract":"<p><p>Brain aneurysms, also known as cerebral aneurysms, are the growths of the parent artery. Based on their shape, aneurysms can be categorized as saccular or non-saccular. Several factors have been linked to multiple brain aneurysms but the most prevalent is arterial hypertension. In the treatment of cerebral aneurysms, endovascular techniques like coil embolization have essentially taken the place of surgical clipping. Brain aneurysm treatment has undergone a revolutionary change owing to flow diverters. They are now used for complex aneurysms that are unresponsive to standard therapies, in addition to unruptured lesions that were previously treated with standard surgical or coil-based endovascular procedures. Flow diversion has shown to be a more successful treatment for aneurysms than other approaches due to its reduced complication and high recovery rate. We discuss the case of a patient who arrived with headache and was subsequently diagnosed with numerous aneurysms of the left internal carotid artery. Flow diverter stenting was employed to thrombose our patient's existing aneurysms, followed by dual antiplatelet therapy (Ticagrelor and Thrombo ASS) as a post-procedural need. Despite the fact that our patient had both large and minor aneurysms impacting challenging locations, there were no complications after treatment.</p>","PeriodicalId":72829,"journal":{"name":"Discoveries (Craiova, Romania)","volume":"11 4","pages":"e181"},"PeriodicalIF":0.0000,"publicationDate":"2023-12-31","publicationTypes":"Journal Article","fieldsOfStudy":null,"isOpenAccess":false,"openAccessPdf":"https://www.ncbi.nlm.nih.gov/pmc/articles/PMC11669053/pdf/","citationCount":"0","resultStr":"{\"title\":\"Efficacy of Flow Diverters in Managing Multiple Aneurysms: A Clinical Case Report.\",\"authors\":\"Erekle Ekvtimishvili, Rahul Yedpallikar Rajesh, Rowyna Reji Koshy, Binu Thomas Maliyil, Arsha Anil Kumar\",\"doi\":\"10.15190/d.2023.20\",\"DOIUrl\":null,\"url\":null,\"abstract\":\"<p><p>Brain aneurysms, also known as cerebral aneurysms, are the growths of the parent artery. Based on their shape, aneurysms can be categorized as saccular or non-saccular. Several factors have been linked to multiple brain aneurysms but the most prevalent is arterial hypertension. In the treatment of cerebral aneurysms, endovascular techniques like coil embolization have essentially taken the place of surgical clipping. Brain aneurysm treatment has undergone a revolutionary change owing to flow diverters. They are now used for complex aneurysms that are unresponsive to standard therapies, in addition to unruptured lesions that were previously treated with standard surgical or coil-based endovascular procedures. Flow diversion has shown to be a more successful treatment for aneurysms than other approaches due to its reduced complication and high recovery rate. We discuss the case of a patient who arrived with headache and was subsequently diagnosed with numerous aneurysms of the left internal carotid artery. Flow diverter stenting was employed to thrombose our patient's existing aneurysms, followed by dual antiplatelet therapy (Ticagrelor and Thrombo ASS) as a post-procedural need. Despite the fact that our patient had both large and minor aneurysms impacting challenging locations, there were no complications after treatment.</p>\",\"PeriodicalId\":72829,\"journal\":{\"name\":\"Discoveries (Craiova, Romania)\",\"volume\":\"11 4\",\"pages\":\"e181\"},\"PeriodicalIF\":0.0000,\"publicationDate\":\"2023-12-31\",\"publicationTypes\":\"Journal Article\",\"fieldsOfStudy\":null,\"isOpenAccess\":false,\"openAccessPdf\":\"https://www.ncbi.nlm.nih.gov/pmc/articles/PMC11669053/pdf/\",\"citationCount\":\"0\",\"resultStr\":null,\"platform\":\"Semanticscholar\",\"paperid\":null,\"PeriodicalName\":\"Discoveries (Craiova, Romania)\",\"FirstCategoryId\":\"1085\",\"ListUrlMain\":\"https://doi.org/10.15190/d.2023.20\",\"RegionNum\":0,\"RegionCategory\":null,\"ArticlePicture\":[],\"TitleCN\":null,\"AbstractTextCN\":null,\"PMCID\":null,\"EPubDate\":\"2023/10/1 0:00:00\",\"PubModel\":\"eCollection\",\"JCR\":\"\",\"JCRName\":\"\",\"Score\":null,\"Total\":0}","platform":"Semanticscholar","paperid":null,"PeriodicalName":"Discoveries (Craiova, Romania)","FirstCategoryId":"1085","ListUrlMain":"https://doi.org/10.15190/d.2023.20","RegionNum":0,"RegionCategory":null,"ArticlePicture":[],"TitleCN":null,"AbstractTextCN":null,"PMCID":null,"EPubDate":"2023/10/1 0:00:00","PubModel":"eCollection","JCR":"","JCRName":"","Score":null,"Total":0}
引用次数: 0

摘要

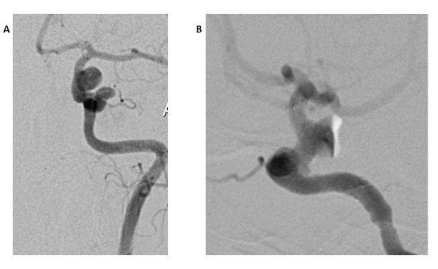
脑动脉瘤,也被称为脑动脉瘤,是母体动脉的生长。根据其形状,动脉瘤可分为囊状动脉瘤和非囊状动脉瘤。多种因素与多发性脑动脉瘤有关,但最常见的是动脉高血压。在脑动脉瘤的治疗中,像线圈栓塞这样的血管内技术基本上已经取代了手术夹闭。由于分流器的出现,脑动脉瘤的治疗发生了革命性的变化。它们现在用于治疗对标准治疗无反应的复杂动脉瘤,以及以前用标准手术或基于线圈的血管内手术治疗的未破裂病变。由于分流术并发症少,恢复率高,已被证明是一种比其他方法更成功的治疗动脉瘤的方法。我们讨论的情况下,病人谁到达头痛和随后被诊断为许多动脉瘤的左颈内动脉。血流分流支架植入用于栓塞患者现有的动脉瘤,随后作为术后需要进行双重抗血小板治疗(替格瑞洛和血栓ASS)。尽管我们的病人有大动脉瘤和小动脉瘤,但治疗后没有并发症。
本文章由计算机程序翻译,如有差异,请以英文原文为准。

Efficacy of Flow Diverters in Managing Multiple Aneurysms: A Clinical Case Report.

Efficacy of Flow Diverters in Managing Multiple Aneurysms: A Clinical Case Report.

Efficacy of Flow Diverters in Managing Multiple Aneurysms: A Clinical Case Report.

Efficacy of Flow Diverters in Managing Multiple Aneurysms: A Clinical Case Report.

Brain aneurysms, also known as cerebral aneurysms, are the growths of the parent artery. Based on their shape, aneurysms can be categorized as saccular or non-saccular. Several factors have been linked to multiple brain aneurysms but the most prevalent is arterial hypertension. In the treatment of cerebral aneurysms, endovascular techniques like coil embolization have essentially taken the place of surgical clipping. Brain aneurysm treatment has undergone a revolutionary change owing to flow diverters. They are now used for complex aneurysms that are unresponsive to standard therapies, in addition to unruptured lesions that were previously treated with standard surgical or coil-based endovascular procedures. Flow diversion has shown to be a more successful treatment for aneurysms than other approaches due to its reduced complication and high recovery rate. We discuss the case of a patient who arrived with headache and was subsequently diagnosed with numerous aneurysms of the left internal carotid artery. Flow diverter stenting was employed to thrombose our patient's existing aneurysms, followed by dual antiplatelet therapy (Ticagrelor and Thrombo ASS) as a post-procedural need. Despite the fact that our patient had both large and minor aneurysms impacting challenging locations, there were no complications after treatment.

求助全文
通过发布文献求助,成功后即可免费获取论文全文。 去求助
来源期刊
自引率
0.00%
发文量
0
×
引用
GB/T 7714-2015
复制
MLA
复制
APA
复制
导出至
BibTeX EndNote RefMan NoteFirst NoteExpress
×
提示
您的信息不完整,为了账户安全,请先补充。
现在去补充
×
提示
您因"违规操作"
具体请查看互助需知
我知道了
×
提示
确定
请完成安全验证×
copy
已复制链接
快去分享给好友吧!
我知道了
右上角分享
点击右上角分享
0
联系我们:info@booksci.cn Book学术提供免费学术资源搜索服务,方便国内外学者检索中英文文献。致力于提供最便捷和优质的服务体验。 Copyright © 2023 布克学术 All rights reserved.
京ICP备2023020795号-1
ghs 京公网安备 11010802042870号
Book学术文献互助
Book学术文献互助群
群 号:604180095
Book学术官方微信