血管周围浸润:乳腺癌的一个有希望的预后参数。

IF 1.1 Q2 MEDICINE, GENERAL & INTERNAL
Begüm Çalım Gürbüz, Tuçe Söylemez Akkurt, Handan Eren, Hazal İzol Özmen, Ebru Şen, Burçin Pehlivanoğlu
{"title":"血管周围浸润:乳腺癌的一个有希望的预后参数。","authors":"Begüm Çalım Gürbüz, Tuçe Söylemez Akkurt, Handan Eren, Hazal İzol Özmen, Ebru Şen, Burçin Pehlivanoğlu","doi":"10.4274/MMJ.galenos.2024.66169","DOIUrl":null,"url":null,"abstract":"<p><strong>Objective: </strong>Angiotropism/perivascular invasion (PVI) is an emerging topic in various types of cancer, with studies primarily focusing on melanoma. However, limited data are available on the significance of PVI in breast cancer. This study aimed to assess the prognostic significance of PVI in breast cancer and its correlation with traditional clinicopathological prognostic parameters.</p><p><strong>Methods: </strong>A total of 150 patients with breast cancer diagnosed between July 2020 and January 2022 were included. Clinicopathological data were retrieved from the hospital records. The presence of PVI was evaluated on hematoxylin&eosin stained slides, and the association between PVI and clinicopathological parameters was statistically analyzed. A p-value of <0.05 was regarded as statistically significant.</p><p><strong>Results: </strong>All patients were female. The mean age was 54.0±13.6 years (range 26-97 years). PVI was significantly more common in patients with ≥2.5 cm tumors and the absence of PVI showed a significant correlation with a lower histologic grade (p=0.004 and p=0.040, respectively). Lymphovascular invasion (LVI) and perineural invasion (PNI) were also significantly more frequent in tumors with PVI (p=0.001 and 0.02, respectively). There was a statistically significant association between the absence of both PVI and extranodal extension (ENE) (p=0.035).</p><p><strong>Conclusions: </strong>The specific role of PVI in different types of cancer has not yet been clarified. Our findings showed that PVI was significantly associated with tumor size, histological grade, LVI, PNI, and ENE, all of which are well-known negative prognostic factors in breast cancer. The presence of PVI is a promising topic in breast cancer research, and the PVI status in pathology reports may help oncologists perform better risk assessments for patients with breast carcinoma.</p>","PeriodicalId":37427,"journal":{"name":"Medeniyet medical journal","volume":"39 4","pages":"302-308"},"PeriodicalIF":1.1000,"publicationDate":"2024-12-27","publicationTypes":"Journal Article","fieldsOfStudy":null,"isOpenAccess":false,"openAccessPdf":"https://www.ncbi.nlm.nih.gov/pmc/articles/PMC11683298/pdf/","citationCount":"0","resultStr":"{\"title\":\"Perivascular Invasion: A Promising Prognostic Parameter for Breast Cancer.\",\"authors\":\"Begüm Çalım Gürbüz, Tuçe Söylemez Akkurt, Handan Eren, Hazal İzol Özmen, Ebru Şen, Burçin Pehlivanoğlu\",\"doi\":\"10.4274/MMJ.galenos.2024.66169\",\"DOIUrl\":null,\"url\":null,\"abstract\":\"<p><strong>Objective: </strong>Angiotropism/perivascular invasion (PVI) is an emerging topic in various types of cancer, with studies primarily focusing on melanoma. However, limited data are available on the significance of PVI in breast cancer. This study aimed to assess the prognostic significance of PVI in breast cancer and its correlation with traditional clinicopathological prognostic parameters.</p><p><strong>Methods: </strong>A total of 150 patients with breast cancer diagnosed between July 2020 and January 2022 were included. Clinicopathological data were retrieved from the hospital records. The presence of PVI was evaluated on hematoxylin&eosin stained slides, and the association between PVI and clinicopathological parameters was statistically analyzed. A p-value of <0.05 was regarded as statistically significant.</p><p><strong>Results: </strong>All patients were female. The mean age was 54.0±13.6 years (range 26-97 years). PVI was significantly more common in patients with ≥2.5 cm tumors and the absence of PVI showed a significant correlation with a lower histologic grade (p=0.004 and p=0.040, respectively). Lymphovascular invasion (LVI) and perineural invasion (PNI) were also significantly more frequent in tumors with PVI (p=0.001 and 0.02, respectively). There was a statistically significant association between the absence of both PVI and extranodal extension (ENE) (p=0.035).</p><p><strong>Conclusions: </strong>The specific role of PVI in different types of cancer has not yet been clarified. Our findings showed that PVI was significantly associated with tumor size, histological grade, LVI, PNI, and ENE, all of which are well-known negative prognostic factors in breast cancer. The presence of PVI is a promising topic in breast cancer research, and the PVI status in pathology reports may help oncologists perform better risk assessments for patients with breast carcinoma.</p>\",\"PeriodicalId\":37427,\"journal\":{\"name\":\"Medeniyet medical journal\",\"volume\":\"39 4\",\"pages\":\"302-308\"},\"PeriodicalIF\":1.1000,\"publicationDate\":\"2024-12-27\",\"publicationTypes\":\"Journal Article\",\"fieldsOfStudy\":null,\"isOpenAccess\":false,\"openAccessPdf\":\"https://www.ncbi.nlm.nih.gov/pmc/articles/PMC11683298/pdf/\",\"citationCount\":\"0\",\"resultStr\":null,\"platform\":\"Semanticscholar\",\"paperid\":null,\"PeriodicalName\":\"Medeniyet medical journal\",\"FirstCategoryId\":\"1085\",\"ListUrlMain\":\"https://doi.org/10.4274/MMJ.galenos.2024.66169\",\"RegionNum\":0,\"RegionCategory\":null,\"ArticlePicture\":[],\"TitleCN\":null,\"AbstractTextCN\":null,\"PMCID\":null,\"EPubDate\":\"\",\"PubModel\":\"\",\"JCR\":\"Q2\",\"JCRName\":\"MEDICINE, GENERAL & INTERNAL\",\"Score\":null,\"Total\":0}","platform":"Semanticscholar","paperid":null,"PeriodicalName":"Medeniyet medical journal","FirstCategoryId":"1085","ListUrlMain":"https://doi.org/10.4274/MMJ.galenos.2024.66169","RegionNum":0,"RegionCategory":null,"ArticlePicture":[],"TitleCN":null,"AbstractTextCN":null,"PMCID":null,"EPubDate":"","PubModel":"","JCR":"Q2","JCRName":"MEDICINE, GENERAL & INTERNAL","Score":null,"Total":0}
引用次数: 0

摘要

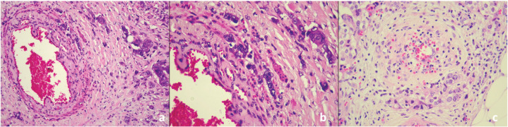
目的:血管趋向性/血管周围侵犯(PVI)是各种类型癌症的新兴课题,研究主要集中在黑色素瘤上。然而,关于PVI在乳腺癌中的意义的数据有限。本研究旨在评估PVI在乳腺癌中的预后意义及其与传统临床病理预后参数的相关性。方法:选取2020年7月至2022年1月诊断为乳腺癌的150例患者。临床病理资料从医院记录中检索。在苏木精和伊红染色玻片上评估PVI的存在,并统计分析PVI与临床病理参数的关系。结果的p值:所有患者均为女性。平均年龄54.0±13.6岁(26 ~ 97岁)。PVI在≥2.5 cm的肿瘤患者中更为常见,PVI的缺失与较低的组织学分级有显著相关性(p=0.004和p=0.040)。淋巴血管侵犯(LVI)和神经周围侵犯(PNI)在PVI肿瘤中也更为常见(p分别=0.001和0.02)。PVI的缺失与结外延伸(ENE)之间有统计学意义的关联(p=0.035)。结论:PVI在不同类型癌症中的具体作用尚未明确。我们的研究结果表明,PVI与肿瘤大小、组织学分级、LVI、PNI和ENE显著相关,这些都是众所周知的乳腺癌预后不良因素。PVI的存在是乳腺癌研究中一个很有前景的话题,病理报告中的PVI状态可以帮助肿瘤学家更好地对乳腺癌患者进行风险评估。
本文章由计算机程序翻译,如有差异,请以英文原文为准。

Perivascular Invasion: A Promising Prognostic Parameter for Breast Cancer.

Perivascular Invasion: A Promising Prognostic Parameter for Breast Cancer.

Objective: Angiotropism/perivascular invasion (PVI) is an emerging topic in various types of cancer, with studies primarily focusing on melanoma. However, limited data are available on the significance of PVI in breast cancer. This study aimed to assess the prognostic significance of PVI in breast cancer and its correlation with traditional clinicopathological prognostic parameters.

Methods: A total of 150 patients with breast cancer diagnosed between July 2020 and January 2022 were included. Clinicopathological data were retrieved from the hospital records. The presence of PVI was evaluated on hematoxylin&eosin stained slides, and the association between PVI and clinicopathological parameters was statistically analyzed. A p-value of <0.05 was regarded as statistically significant.

Results: All patients were female. The mean age was 54.0±13.6 years (range 26-97 years). PVI was significantly more common in patients with ≥2.5 cm tumors and the absence of PVI showed a significant correlation with a lower histologic grade (p=0.004 and p=0.040, respectively). Lymphovascular invasion (LVI) and perineural invasion (PNI) were also significantly more frequent in tumors with PVI (p=0.001 and 0.02, respectively). There was a statistically significant association between the absence of both PVI and extranodal extension (ENE) (p=0.035).

Conclusions: The specific role of PVI in different types of cancer has not yet been clarified. Our findings showed that PVI was significantly associated with tumor size, histological grade, LVI, PNI, and ENE, all of which are well-known negative prognostic factors in breast cancer. The presence of PVI is a promising topic in breast cancer research, and the PVI status in pathology reports may help oncologists perform better risk assessments for patients with breast carcinoma.

求助全文
通过发布文献求助,成功后即可免费获取论文全文。 去求助
来源期刊
Medeniyet medical journal
Medeniyet medical journal Medicine-Medicine (all)
CiteScore
1.70
自引率
0.00%
发文量
88
审稿时长
5 weeks
期刊介绍: The Medeniyet Medical Journal (Medeniyet Med J) is an open access, peer-reviewed, and scientific journal of Istanbul Medeniyet University Faculty of Medicine on various academic disciplines in medicine, which is published in English four times a year, in March, June, September, and December by a group of academics. Medeniyet Medical Journal is the continuation of Göztepe Medical Journal (ISSN: 1300-526X) which was started publishing in 1985. It changed the name as Medeniyet Medical Journal in 2015. Submission and publication are free of charge. No fees are asked from the authors for evaluation or publication process. All published articles are available online in the journal website (www.medeniyetmedicaljournal.org) without any fee. The journal publishes intradisciplinary or interdisciplinary clinical, experimental, and basic researches as well as original case reports, reviews, invited reviews, or letters to the editor, Being published since 1985, the Medeniyet Med J recognizes that the best science should lead to better lives based on the fact that the medicine should serve to the needs of society, and knowledge should transform society. The journal aims to address current issues at both national and international levels, start debates, and exert an influence on decision-makers all over the world by integrating science in everyday life. Medeniyet Med J is committed to serve the public and influence people’s lives in a positive way by making science widely accessible. Believing that the only goal is improving lives, and research has an impact on people’s lives, we select the best research papers in line with this goal.
×
引用
GB/T 7714-2015
复制
MLA
复制
APA
复制
导出至
BibTeX EndNote RefMan NoteFirst NoteExpress
×
提示
您的信息不完整,为了账户安全,请先补充。
现在去补充
×
提示
您因"违规操作"
具体请查看互助需知
我知道了
×
提示
确定
请完成安全验证×
copy
已复制链接
快去分享给好友吧!
我知道了
右上角分享
点击右上角分享
0
联系我们:info@booksci.cn Book学术提供免费学术资源搜索服务,方便国内外学者检索中英文文献。致力于提供最便捷和优质的服务体验。 Copyright © 2023 布克学术 All rights reserved.
京ICP备2023020795号-1
ghs 京公网安备 11010802042870号
Book学术文献互助
Book学术文献互助群
群 号:604180095
Book学术官方微信